How Do Keratin 10 Antibodies Reveal the Pathogenic Mechanism of Bullous Congenital Ichthyosiform Erythroderma?

How Do Keratin 10 Antibodies Reveal the Pathogenic Mechanism of Bullous Congenital Ichthyosiform Erythroderma?

I. What are the Clinical Features of Bullous Congenital Ichthyosiform Erythroderma?

Bullous Congenital Ichthyosiform Erythroderma (BCIE) is a rare autosomal dominant genetic skin disorder whose pathogenesis is closely linked to heterozygous mutations in the Keratin 1 (KRT1) and Keratin 10 (KRT10) genes. The disease clinically presents with a characteristic triad: skin erythema and blisters present at birth, scaly thickened plaques that develop with age, and typical increased skin fragility. The lesion distribution follows specific patterns, predominantly affecting the flexural aspects of the limbs and skin folds, while the head, face, and mucous membranes are usually spared.

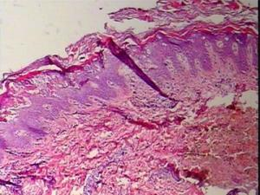
This study reports a case of a 2-year-old female child who presented with recurrent erythema and blisters on the trunk and limbs since birth. As the disease progressed, the original lesion areas gradually developed diffuse light red patches covered with ichthyosiform scales. Histopathological examination revealed characteristic changes including irregular epidermal hyperplasia, focal thickening of the granular layer, and intercellular edema of spinous cells, consistent with the typical pathological manifestations of BCIE. The in-depth study of this case provides important clinical data for understanding the disease pathogenesis.

II. What Research Methods Were Used for Keratin 10 Gene Mutation Analysis?

To identify the pathogenic mutation, researchers employed systematic molecular genetic analysis methods. After ethical review and obtaining informed consent, peripheral blood samples were collected from the proband and core family members, and genomic DNA was extracted. Specific primers were designed for PCR amplification targeting all coding exons and their flanking sequences of the KRT1 and KRT10 genes.

The amplified products were verified by agarose gel electrophoresis and then subjected to bidirectional sequencing analysis. Professional bioinformatics software was used to compare the sequencing results with reference sequences to identify potential pathogenic mutations. To confirm the origin and inheritance pattern of the mutation, sequencing analysis of the same loci was simultaneously performed on the patient's parents and sister. This rigorous experimental design ensured the accuracy and reliability of mutation detection.

 

III. What Important Findings Did Keratin 10 Antibodies Reveal in Mutation Analysis?

Gene sequencing results revealed two significant heterozygous mutations in the patient's KRT10 gene. In exon 1, a G→A heterozygous mutation at base 467 resulted in the 156th amino acid changing from arginine to histidine. This mutation is located at the start of the keratin 1A domain, a known mutation hotspot. Pedigree analysis indicated this was a de novo mutation, as neither parent nor the sister carried it.

Concurrently, a duplication mutation was identified in exon 7, causing a glycine repeat at amino acids 556 to 565. This mutation was present in both the patient and her mother, but the mother did not exhibit clinical symptoms. Notably, no pathogenic mutations were detected in the KRT1 gene. These findings, validated using Keratin 10 antibodies, provided important clues for understanding the genotype-phenotype relationship.

 

IV. How Do Keratin 10 Gene Mutations Affect Protein Function?

As an important member of the intermediate filament protein family, the Keratin 10 molecular structure comprises four helical subdomains connected by non-helical linker sequences. The arginine at position 156 is located at the highly conserved start of the 1A domain. Substitution of this arginine with histidine significantly affects the stability of the α-helical conformation. Molecular modeling studies suggest this mutation may interfere with the normal formation of KRT1/KRT10 heterodimers, disrupting the keratin intermediate filament network.

In contrast, the glycine repeat mutation in exon 7 is located in a non-helical region of the protein, which has a relatively minor impact on structural stability. This may explain why individuals carrying this mutation do not exhibit clinical symptoms. These findings emphasize the critical role of the mutation site in protein structure and function and highlight the value of Keratin 10 antibodies in functional studies.

 

V. What are the Treatment Strategies and Future Research Directions?

Current treatment for BCIE primarily involves comprehensive management strategies. Systemic retinoids can effectively improve hyperkeratosis and reduce blister formation, but careful dose adjustment in children and long-term safety monitoring are necessary. Topical treatments include using moisturizers to repair the skin barrier and topical retinoids to regulate keratinocyte differentiation.

In recent years, targeted therapies focusing on specific signaling pathways have shown potential. Research suggests the IL-17/IL-23 pathway might play a role in ichthyosis pathogenesis, and therapeutic attempts using corresponding monoclonal antibodies offer new avenues for refractory cases. Future research should focus on establishing precise genotype-phenotype correlations, developing functional correction strategies for specific mutations, and exploring more effective targeted treatments.

Through the application of Keratin 10 antibodies, this study not only confirmed known pathogenic mutations but also identified a new genetic variant, providing a fresh perspective for understanding the molecular mechanisms of BCIE. These findings emphasize the importance of systematic genetic analysis for rare inherited skin diseases and lay a solid foundation for future precision diagnosis and individualized therapy.

 

VI. Which Manufacturers Provide Keratin 10 Antibodies?

Hangzhou Start Bio-tech Co., Ltd.'s self-developed "Keratin 10 Recombinant Rabbit Monoclonal Antibody" is a high-performance antibody product characterized by high specificity, excellent sensitivity, and exceptional staining consistency. This product is ideal for applications in epidermal differentiation research and the diagnosis/differential diagnosis of squamous epithelial lesions.

Product Core Advantages:

·       High Specificity & Precise Staining Localization: Precisely recognizes the Keratin 10 (KRT10) antigen, demonstrating excellent cytoplasmic staining specificity in FFPE samples, clearly marking the granular layer and upper spinous layer of the skin epidermis, with clean background and accurate localization.

·       Excellent Staining Stability & Batch Consistency: Under strict quality control standards, the product exhibits excellent staining stability and minimal batch-to-batch variation, ensuring reliable and reproducible results across different laboratories and experimental batches, providing stable support for diagnostics and research.

Suitable Key Application Scenarios:
This product is an ideal tool for conducting the following research:

·       Skin Squamous Epithelial Differentiation Research: Serves as a terminal differentiation marker for studying keratinocyte differentiation in normal skin and hair follicles.

·       Squamous Cell Carcinoma Diagnosis & Differential Diagnosis: Used for diagnosing well-differentiated squamous cell carcinoma and assists in differentiating from other skin tumors like basal cell carcinoma and adenocarcinoma.

·       Benign Hyperplastic Lesion Evaluation: For assessing the differentiation status of keratinocytes in benign hyperplastic lesions such as seborrheic keratosis and keratoacanthoma.

·       Skin Pathogenesis Exploration: For investigating KRT10 expression changes in diseases characterized by epidermal hyperplasia and abnormal differentiation, such as psoriasis.

Professional Technical Support: We provide detailed product technical documentation, including complete IHC experimental protocols, optimized antigen retrieval methods, and clear interpretation criteria, fully committed to assisting customers in obtaining accurate and reliable results in dermatopathological research and diagnosis.

Hangzhou Start Bio-tech Co., Ltd. is always dedicated to providing high-quality, high-value biological reagents and solutions for global innovative pharmaceutical companies and research institutions. For more details about the "Keratin 10 Recombinant Rabbit Monoclonal Antibody" or to request a sample test, please feel free to contact us.

Product Information

Catalog Number

Product Name

Product Parameters

S0B2098

S-RMab® Keratin 10 Recombinant Rabbit mAb (SDT-R067)

Host : Rabbit

S0B2098P

S-RMab® Keratin 10 Recombinant Rabbit mAb,PBS Only (SDT-R067)

Host : Rabbit

S0B2123

Keratin 10 Recombinant Rabbit mAb (SDT-124-6)

Host : Rabbit

S0B2123P

Keratin 10 Recombinant Rabbit mAb,PBS Only (SDT-124-6)

Host : Rabbit