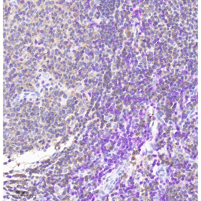
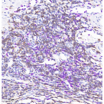
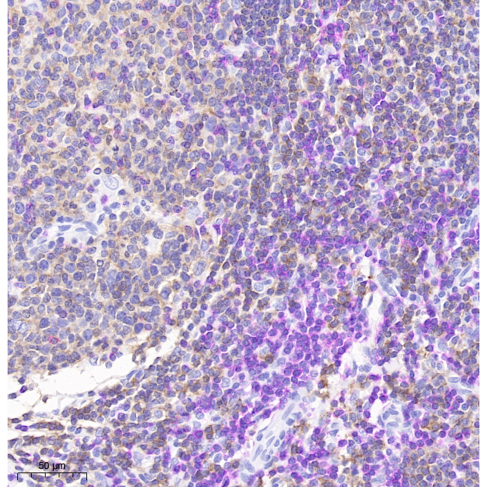
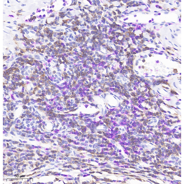
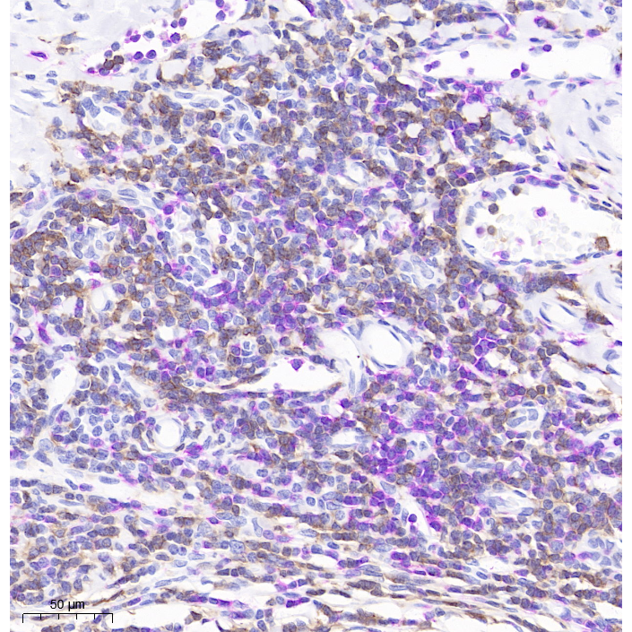
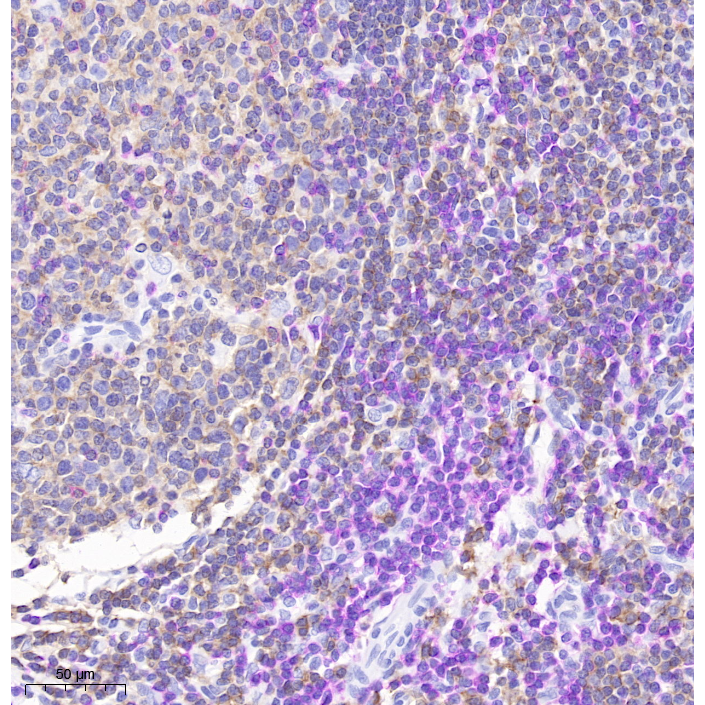
Human tonsil histochemical double staining: red chromogen-CD3 (pink), DAB-CD20 (brown)
Product Details
Product Details
Product Specification
| Synonym | IHC DoubleStain Kit | ||||||||||||||||||||||||||||
| Description | Principle: the primary antibody recognizes the antigen, HRP-labeled secondary antibody recognizes the primary antibody, HRP catalytic intermediate TY permanently marks the antigen and realizes signal amplification, red chromogens specifically recognize the TY product (covalent binding), so as to realize the accumulation of red signal and complete the red color. DAB was used for routine immunohistochemical staining to form a brown substance. DAB is brown and red, forming a unique histochemical double staining color. The histochemical double staining signal can be neutrally sealed, which is different from the traditional red signal such as alkaline phosphatase AEC or AP-red (which cannot neutrally seal the slides). Components:
|
||||||||||||||||||||||||||||
| General Notes | (1) The color of DAB should not be too dark, too dark will affect the result of red color. 2. The two antigens of double staining should be expressed in different positions (such as labeling different cells or different expression positions), which is not suitable for the co-localization of two antigens (different from the co-localization of fluorescence). 3. The concentration of the primary antibody corresponding to the red chromogenic antigen should be appropriately increased, and the high-sensitivity polyantibody should be used as the histochemical secondary antibody. 4. The first color can be red, the second color can be brown. |
||||||||||||||||||||||||||||
| Instructions |
Red color method: After the incubation of HRP secondary antibody, the reaction was added to the immediate TY for about 20min, and then the reaction was washed three times with PBS. After that, the red chromogenic solution (PB:CU: red chromogenic :AC=860:40:1:100) was added and the reaction lasted for more than 15min (Note: The above reagents were thawed and restored to liquid state before use, mixed and centrifuged if necessary. Self-prepared reagents: PBS, repair solution, hematoxylin, etc. Operation steps: 1. Paraffin sections were deparaffinized to water: successively put the sections into xylene Ⅰ for 15min — — Xylene Ⅱ15min— — Absolute ethanol Ⅰ5min— — Absolute ethanol Ⅱ5min— — 85% alcohol for 5min— — 75% alcohol for 5min— — Wash with distilled water. 2. Antigen repair: tissue sections were placed in a repair box filled with EDTA antigen repair buffer (PH8.0) in a microwave oven for antigen repair, with a medium fire for 8 minutes to boiling, a fire stop for 8 minutes to keep warm, and then turn to a medium and low fire for 7 minutes. Other antigen repair methods can also be used, such as: 95° C water bath for 25min or high pressure etc. After natural cooling, the slide was placed in PBS (PH7.4) and shaken on a decolorization shaker for 3 times, 5min each time. 3 To block endogenous peroxidase: The sections were placed in 3% hydrogen peroxide solution and incubated at room temperature in the dark for 25min. The slides were placed in PBS (PH7.4) and washed 3 times with shaking on a decolorization shaker for 5min each time. 4. BSA/ blocking solution: After the sections were slightly dried, a circle was drawn around the tissue with a histochemical pen (to prevent antibody from flowing away), and 3%BSA was dropped into the circle to evenly cover the tissue, and the slides were blocked at room temperature for 30min. 5. Add primary antibody: gently shake off the blocking solution, drop on the section according to the recommended proportion of the primary antibody instruction of the first index primary antibody, the section is placed flat in the wet box 4° C. Incubate overnight. (Add a small amount of water in the wet box to prevent the antibody from evaporating) 6 Add secondary antibody: The slides were washed 3 times by shaking in PBS (PH7.4) on a decolorizing shaker for 5min each time. After the sections were slightly dried, the secondary antibody (HRP labeled) of the corresponding species of the primary antibody was added to the ring to cover the tissue, and the tissue was incubated at room temperature for 50min. 7. DAB color development: DAB and DAB buffer were prepared as working solution at a ratio of 1:100. The slide was shaken and washed 3 times in PBS (PH7.4) on a decolorizing shaker, 5min each time. After the slides were dried slightly, DAB working solution was added into the ring, and the color development time was controlled under the microscope. The positive color was brown yellow, and the color development was terminated by washing the slides with tap water. 8. Antigen repair: the tissue sections were placed in the repair box filled with EDTA antigen repair buffer (PH8.0) in the microwave oven for the second antigen repair. Medium heat for 8min. During this process, excessive evaporation of buffer solution should be prevented and the slices should not be dried. Other antigen repair methods can also be used, such as: 95° C water bath for 25min or high pressure etc. After natural cooling, the slide was placed in PBS (PH7.4) and shaken on a decolorization shaker for 3 times, 5min each time. (Repair solution and repair conditions are determined according to the tissue) 9. BSA/ blocking solution: After the section is slightly dried, circle around the tissue with a histochemical pen (reinforcement to prevent antibody from flowing away), evenly cover the tissue with 3%BSA dripping in the circle, and block for 30min at room temperature. 10. Add the primary antibody: gently shake off the blocking solution, drop on the section with PBS according to the recommended proportion of the primary antibody instruction second index primary antibody, the section is placed flat in a dark wet box 4° C. Incubate overnight. (Add a small amount of water in the wet box to prevent the antibody from evaporating) 11 Add secondary antibody: The slides were washed 3 times by shaking in PBS (PH7.4) on a decolorizing shaker for 5min each time. After the sections were slightly dried, the secondary antibody (HRP labeled) of the corresponding species of the primary antibody was added to the ring to cover the tissue, and the cells were incubated at room temperature for 50min. 12. Red color: The slides were placed in PBS (PH7.4) and washed 3 times by shaking on a decolorization shaker, 5min each time. After the slides were slightly dried, the thawed TY reaction solution was added in the loop for 20min, and then the red chromogenic solution (PB:CU: red chromogenic :AC=860:40:1:100) was added for 15min. The color development time could be controlled under the microscope. The positive color was red, and the color development was terminated by rinsing the slides with tap water. 13. Counterstain the nuclei with hematoxylin #abs9214. 14. Dehydration and sealing: put the sections in 75% alcohol for 6min. — 85% alcohol 6min— — Anhydrous ethanol Ⅰ6min— — Anhydrous ethanol Ⅱ6min— — Dehydrated and transparent in xylene I for 5min. Take the slices out of xylene to dry slightly and seal the slices with neutral gum. 15. Microscopic examination, image acquisition and analysis. 16. Interpretation of immunohistochemical results in paraffin sections: the nuclei stained with hematoxylin were blue, the positive expression of DAB in the first indicator was brown yellow, and the positive expression of red in the second indicator was red or pink. |
||||||||||||||||||||||||||||
| Storage Temp. | stored at 4°C, Red chromogenic reagent - 20 ° C, valid for 1 year. | ||||||||||||||||||||||||||||
Picture
Picture
Immunohistochemistry


Human tonsil histochemical double staining: red chromogen-CD3 (pink), DAB-CD20 (brown)
