How does the S100P antibody reveal the molecular mechanism by which GnRH antagonists affect endometrial receptivity
1. What are the clinical challenges of GnRH antagonist protocols in assisted reproduction?
In the ovarian stimulation process of in vitro fertilization-embryo transfer (IVF-ET), the gonadotropin-releasing hormone (GnRH) antagonist protocol has become one of the mainstream approaches due to its advantages in significantly reducing the risk of ovarian hyperstimulation syndrome (OHSS), shortening treatment cycles, and decreasing gonadotropin dosage. However, compared with the traditional GnRH agonist long protocol, the clinical pregnancy rate of fresh embryo transfer using the antagonist protocol shows a certain gap. Numerous studies indicate that this pregnancy rate difference is primarily attributed to reduced endometrial receptivity, i.e., the impaired ability of the endometrium to accept embryo implantation during the specific time window. Although the clinical phenomenon is clear, the specific molecular mechanisms leading to decreased endometrial receptivity in antagonist protocols remain unclear, which constitutes a key scientific problem limiting further improvement of the clinical efficacy of this protocol. Therefore, elucidating the underlying biological pathways is of significant clinical importance for identifying intervention targets to improve endometrial receptivity and enhance the overall success rate of IVF.
2. What role does S100P protein play in endometrial receptivity?
S100P (S100 calcium-binding protein P), a member of the S100 calcium-binding protein family, has been confirmed as an important biomarker of endometrial receptivity. S100P protein is specifically highly expressed in endometrial epithelial cells, with its expression level peaking during the implantation window. Studies show that S100P participates in regulating various biological processes such as cell proliferation, differentiation, migration, and apoptosis. In the field of reproduction, normal S100P expression is crucial for maintaining the homeostasis of endometrial epithelial cells and establishing a suitable implantation microenvironment. Its abnormal expression or dysfunction is considered to be associated with adverse reproductive outcomes such as embryo implantation failure and recurrent miscarriage. Therefore, investigating the regulatory changes of S100P under specific ovarian stimulation protocols is an important entry point for understanding endometrial functional alterations.
3. Does the GnRH antagonist affect the fate of endometrial epithelial cells by regulating S100P?
To explore the mechanism of decreased endometrial receptivity in antagonist protocols, the research team compared endometrial samples from women receiving GnRH antagonist protocols, GnRH agonist protocols, and natural cycles during the implantation window. Key findings include:
1. Increased endometrial cell apoptosis: Compared with the agonist protocol and natural cycles, endometrial epithelial cell apoptosis was significantly increased in antagonist protocol patients, accompanied by decreased expression of the anti-apoptotic protein Bcl-2, suggesting weakened cell survival signals.
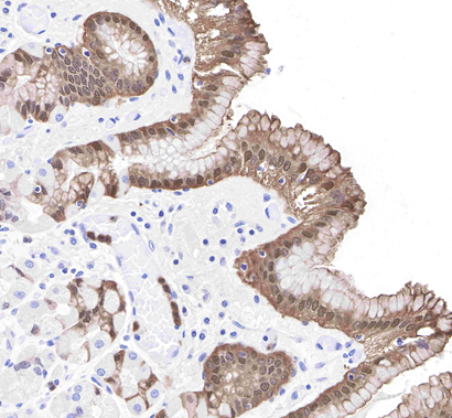
2. Specific downregulation of S100P expression: In the aforementioned samples, the S100P protein expression level in endometrial tissues of the antagonist protocol group was significantly reduced. Immunofluorescence co-localization analysis further confirmed that S100P is mainly expressed in endometrial epithelial cells, and its downregulation occurs simultaneously with the decreased expression of the receptivity marker HOXA10.
3. Direct causal relationship between S100P and cell apoptosis: To validate the function of S100P, in vitro experiments were conducted in endometrial epithelial cell lines (e.g., Ishikawa cells). Knocking down S100P expression successfully induced an increase in cell apoptosis rate, accompanied by decreased Bcl-2; conversely, overexpressing S100P could inhibit cell apoptosis, upregulate Bcl-2, and downregulate the pro-apoptotic protein Bax. This directly proves that S100P exerts a protective effect against endometrial epithelial cell apoptosis by regulating the Bcl-2/Bax apoptosis pathway.
4. Target of GnRH antagonist action: Direct addition of GnRH antagonist to the cell culture system could be observed to decrease S100P expression, subsequently triggering increased cell apoptosis. However, in cells previously overexpressing S100P, even with the addition of GnRH antagonist, apoptosis could not be induced. This "rescue experiment" strongly demonstrates that the GnRH antagonist initiates the apoptosis program by downregulating S100P expression, thereby impairing the survival of endometrial epithelial cells.
4. What are the key applications of S100P antibodies in related mechanism research?
In the construction of the complete evidence chain from clinical phenomena to molecular mechanisms, highly specific S100P antibodies are indispensable core tools, with their applications spanning multiple levels:
1. Tissue expression localization and quantitative analysis:
- Immunohistochemistry/immunofluorescence: Using S100P antibodies to stain patient endometrial biopsy tissues can visually display the spatial distribution and expression intensity of S100P protein in different endometrial cell types (epithelial cells vs. stromal cells), directly comparing differences under various protocols.
- Western Blot: Used for quantitative analysis of total S100P protein levels in endometrial tissues or cell lysates from different groups, providing objective quantitative data for "downregulation".
2. Cell function and mechanism research:
- Protein level validation: In cell knockdown or overexpression experiments, using S100P antibodies via Western Blot or flow cytometry to verify interference or overexpression efficiency is a prerequisite for confirming the validity of the experimental model.
- Signal pathway analysis: Combining S100P antibodies with apoptosis-related protein antibodies (e.g., Bcl-2, Bax, cleaved Caspase-3) can systematically elucidate the specific steps of S100P-regulated downstream apoptosis pathways.
3. Potential clinical translation exploration:
- Diagnostic marker development: In the future, endometrial S100P expression levels could potentially be explored as biomarkers to predict the embryo implantation potential of antagonist protocol patients, with S100P antibodies being the foundation for developing such detection methods.
- Therapeutic target validation tool: If intervention strategies aimed at enhancing S100P expression or activity are developed in the future, S100P antibodies will be key detection reagents for evaluating intervention effects.
5. Which manufacturers provide S100P antibodies?
Hangzhou Start Biotech Co., Ltd. has independently developed the "S-RMab® S100P Recombinant Rabbit Monoclonal Antibody (S-RMab® S100P Recombinant Rabbit mAb (SDT-070-44))" (Catalog No.: S0B2031), a high-quality detection antibody with outstanding specificity, high sensitivity, and excellent batch-to-batch consistency. This product was developed using the company's patented S-RMab® recombinant rabbit monoclonal antibody platform technology, which can highly specifically recognize human S100P protein and performs excellently in various applications such as Western Blot (WB), immunohistochemistry (IHC), and immunofluorescence (IF). It is an important tool for tumor biomarker research, cancer progression mechanism exploration, and diagnostic-related development.

Professional Technical Support: We provide detailed validation data packages for this antibody, including specificity identification reports (e.g., peptide competition experiments), optimized experimental conditions for various applications, typical result images, and references. Our professional technical team can provide targeted application advice to help customers overcome technical challenges and accelerate research progress.
Hangzhou Start Biotech Co., Ltd. is committed to providing high-performance, highly reliable antibodies and biological detection solutions for global tumor research institutions, biotechnology companies, and in vitro diagnostic fields. For more information about the "S-RMab® S100P Recombinant Rabbit Monoclonal Antibody" (Catalog No. S0B2031), to obtain validation data, or to request trial samples, please feel free to contact us at any time.
Product Information
|
S-RMab® S100P Recombinant Rabbit mAb (SDT-070-44) |
Host : Rabbit Conjugation : Unconjugated |