CK-HMW Antibody: How to Advance Pathological Diagnosis of Epithelial-Derived Tumors Through Precision Detection?

CK-HMW Antibody: How to Advance Pathological Diagnosis of Epithelial-Derived Tumors Through Precision Detection?

1. What are the molecular characteristics and biological functions of cytokeratins?

Cytokeratins, as important members of the intermediate filament protein family in eukaryotic cytoskeletons, constitute a group of structural proteins with molecular weights ranging from 40-68 kDa. This protein family includes 54 known members, systematically classified into two major categories based on isoelectric points and molecular weight differences: Type I (acidic) and Type II (neutral to alkaline). Under normal physiological conditions, specific Type I and Type II cytokeratins form heterodimers through precise pairing, which then assemble into intermediate filament networks with tissue-specific expression patterns. High molecular weight cytokeratins (CK-HMW) primarily include members such as CK1-6, CK9, and CK10, whose immunohistochemical detection shows typical cytoplasmic localization patterns, providing an important molecular basis for the identification and classification of epithelial-derived tissues.

2. How does CK-HMW demonstrate its core value in prostate pathological diagnosis?

In the pathological evaluation of prostate tissue, the integrity of the basal cell layer is a key morphological indicator for distinguishing benign from malignant lesions. As a specific marker for basal cells, the expression pattern of CK-HMW provides objective evidence for the diagnosis and grading of prostate cancer. Studies have shown that persistent high expression of CK-HMW indicates intact basal cell layer structure, serving as an important reference for excluding invasive carcinoma. In the differential diagnosis of prostatic hyperplastic lesions, combined detection of CK-HMW with markers such as P63 and P504S can significantly improve diagnostic accuracy, offering more reliable pathological support for clinical treatment decisions.

3. What role does CK-HMW play in the differential diagnosis of urinary system tumors?

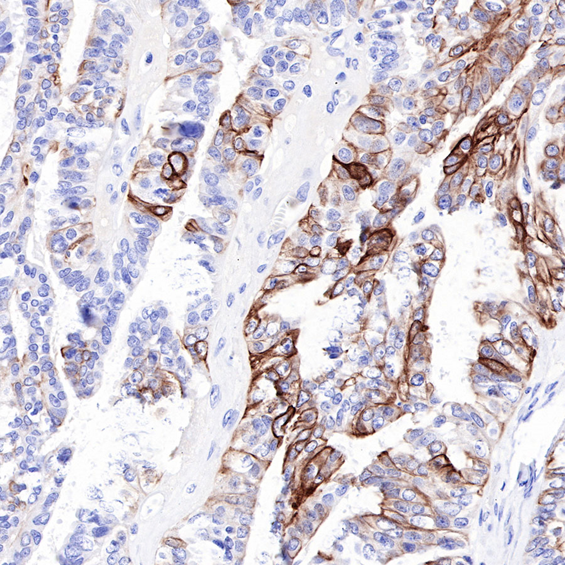
In the field of urinary pathology, the expression pattern of CK-HMW provides critical distinguishing criteria for the differential diagnosis of urothelial lesions. For differentiating urothelial dysplasia from carcinoma in situ, CK-HMW exhibits characteristic differential expression: in dysplastic tissues, only the basal layer cells show positive expression, whereas in carcinoma in situ, there is diffuse strong positivity across the entire epithelial layer. This difference in expression patterns reflects the fundamental distinction in the biological behavior of the lesions, providing important evidence for precise clinical diagnosis and treatment selection.

4. How does a multi-marker combined detection strategy optimize tumor diagnostic efficacy?

Systematic integration of multiple immunohistochemical markers can significantly enhance the specificity and sensitivity of tumor diagnosis. In thyroid pathology, combined detection of CK-HMW with markers such as P53, Ki-67, and galectin-3 effectively improves the accuracy of differentiating papillary thyroid carcinoma from benign lesions. Similar combined detection strategies have demonstrated significant value in the diagnosis of various types of epithelial-derived tumors. Notably, the synergistic use of CK-HMW and low molecular weight cytokeratins provides a reliable standard for distinguishing squamous epithelial from non-squamous epithelial tumors.

5. How does a standardized quality control system ensure the reliability of test results?

The complexity of immunohistochemical testing processes necessitates the establishment of strict quality control systems. Traditional tissue controls have limitations such as long preparation cycles and strong tissue heterogeneity, while the development of novel liquid cell-based quality control products offers a technological breakthrough to address these issues. These quality control products achieve high uniformity and stability in the expression of specific biomarkers through engineered cell line technology, creating conditions for standardized internal laboratory quality control and inter-laboratory quality assessment. The establishment of a standardized quality control system effectively ensures the comparability and reproducibility of CK-HMW test results across different laboratories.

6. How does technological innovation drive the precision development of pathological diagnosis?

Continuous innovation in pathological diagnostic technology provides strong support for clinical diagnosis and treatment. The emergence of liquid cell-based quality control technology addresses traditional challenges such as scarcity of rare positive samples and interference from tissue heterogeneity. This technology achieves standardization of testing processes and objective interpretation of results through the preparation of standardized cell suspensions. With the deepening application of artificial intelligence in pathology, standardized quality control systems will further provide technical guarantees for accurate analysis of digital pathology images and remote diagnosis, driving the development of pathological diagnosis toward higher levels of precision and standardization.

7. Conclusion

As an important tool for diagnosing epithelial-derived tumors, the clinical application value of CK-HMW antibodies has been widely recognized in the field of pathology. From the evaluation of basal cells in prostate cancer to the differential diagnosis of urinary system tumors, and from single-marker detection to multi-marker combined analysis, the continuous improvement of CK-HMW detection technology has significantly enhanced the accuracy and reliability of pathological diagnosis. With the standardization of quality control systems and the innovation of technological platforms, CK-HMW testing will play an even more important role in tumor pathological diagnosis, providing more precise pathological evidence for the formulation of individualized treatment plans.

8. Which manufacturers provide CK-HMW antibodies?

Hangzhou Start Biotech Co., Ltd. has independently developed the "S-RMab® High Molecular Weight Cytokeratin Recombinant Rabbit Monoclonal Antibody" (Product Name: S-RMab® CK-HMW Recombinant Rabbit mAb (SDT-P002), Catalog Number: S0B2119), a high-performance antibody product with high specificity, excellent sensitivity, and outstanding staining consistency. This product was developed using the proprietary S-RMab® recombinant rabbit monoclonal antibody technology platform and has been rigorously validated across multiple technical platforms, including immunohistochemistry (IHC). It holds key application value in marking stratified and squamous epithelial cells, as well as in the diagnosis and differential diagnosis of squamous cell carcinoma.

Core Product Advantages:

Applicable to Multiple Key Scenarios:

 

 This product is an ideal tool for the following research applications:

 Professional Technical Support: We provide comprehensive product technical documentation, including complete IHC experimental protocols, optimized antigen retrieval solutions, and professional interpretation guidance, fully assisting customers in obtaining accurate and reliable results in tumor pathological diagnosis and differential diagnosis.

Hangzhou Start Biotech Co., Ltd. is committed to providing high-quality, high-value biological reagents and solutions for global innovative pharmaceutical companies and research institutions. For more details about the "S-RMab® High Molecular Weight Cytokeratin Recombinant Rabbit Monoclonal Antibody" (Catalog Number S0B2119) or to request sample testing, please feel free to contact us.

Product Information

S0B2119

S-RMab® CK-HMW Recombinant Rabbit mAb (SDT-P002)

Host : Rabbit

S0B2119P

S-RMab® CK-HMW Recombinant Rabbit mAb,PBS Only (SDT-P002)

Host : Rabbit