Product Specification
Host |
Rabbit |
Antigen |
BCL-6 |
Synonyms |
BCL5, LAZ3, ZBTB27, ZNF51,BCL6 |
Immunogen |
Synthetic Peptide |
Location |
Nucleus |
Accession |
P41182 |
Clone Number |
SDT-103-21 |
Antibody Type |
Rabbit mAb |
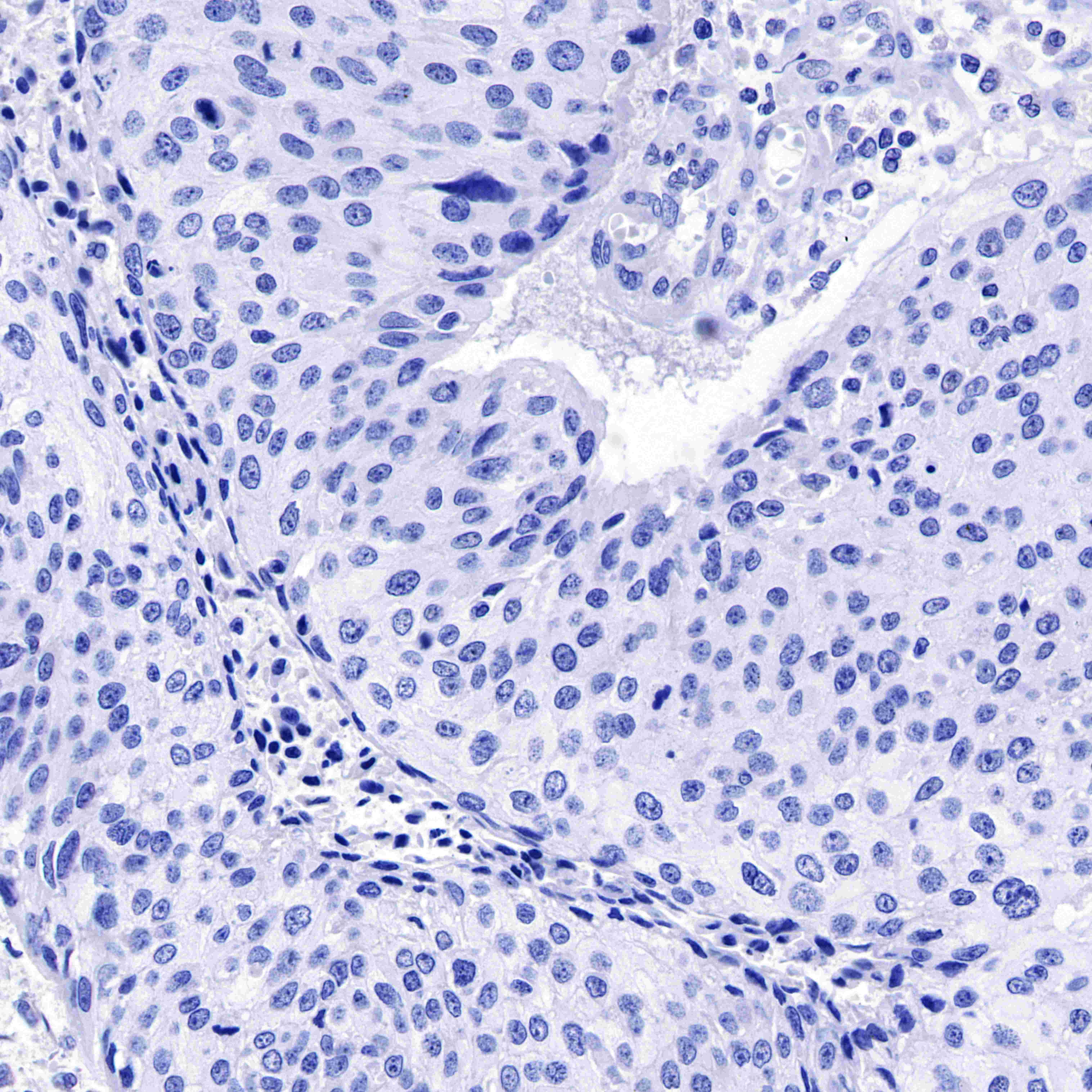
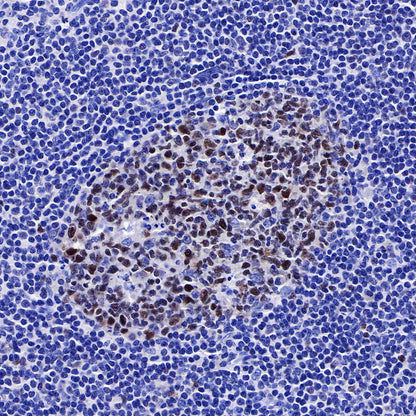
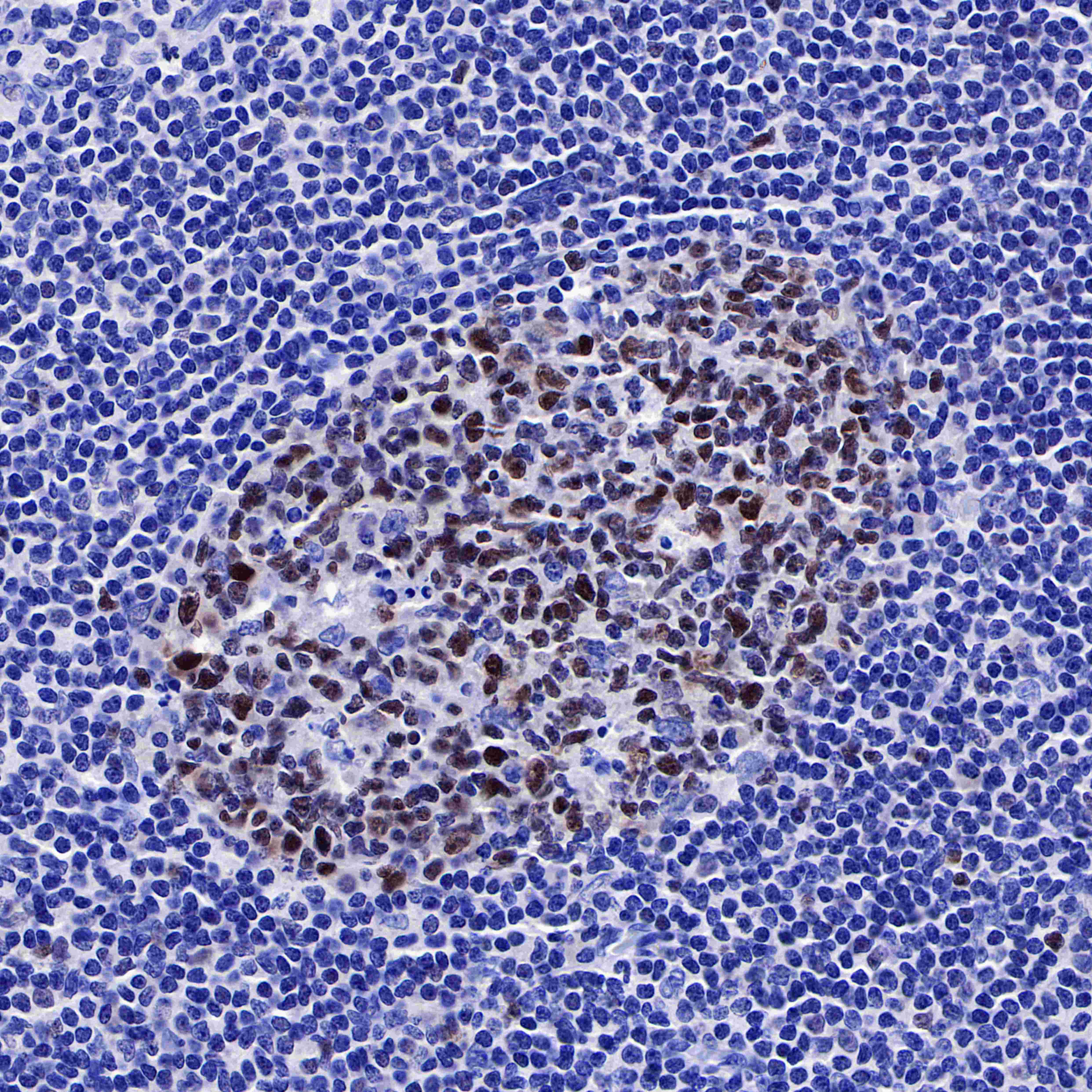
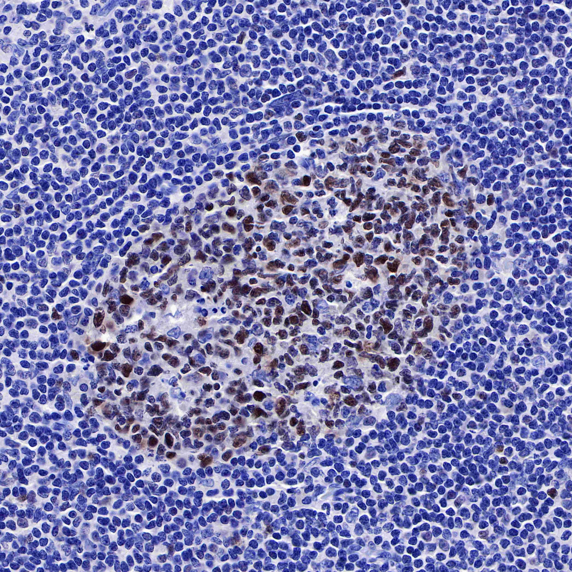
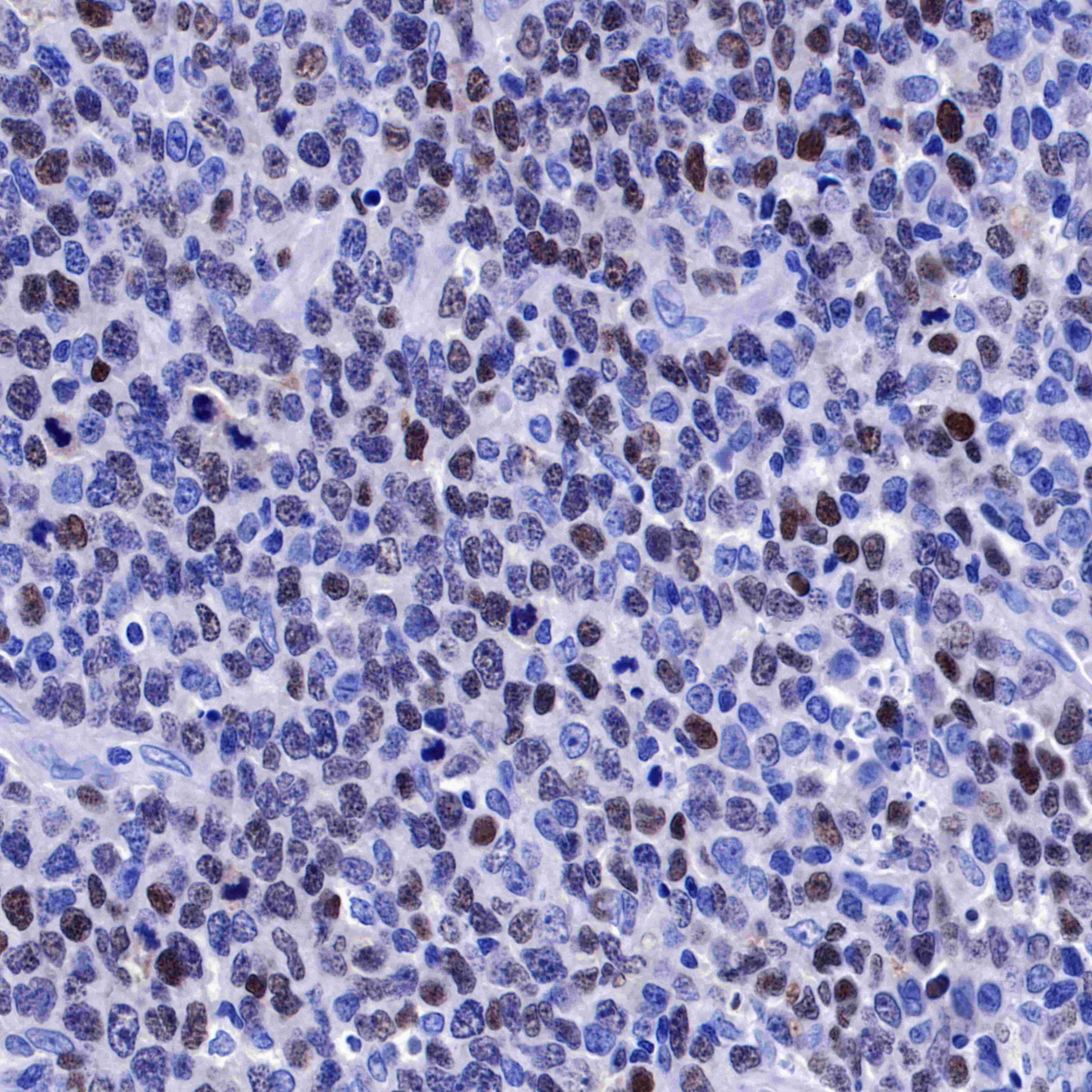
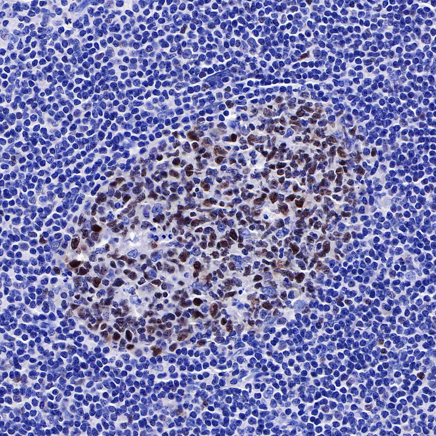
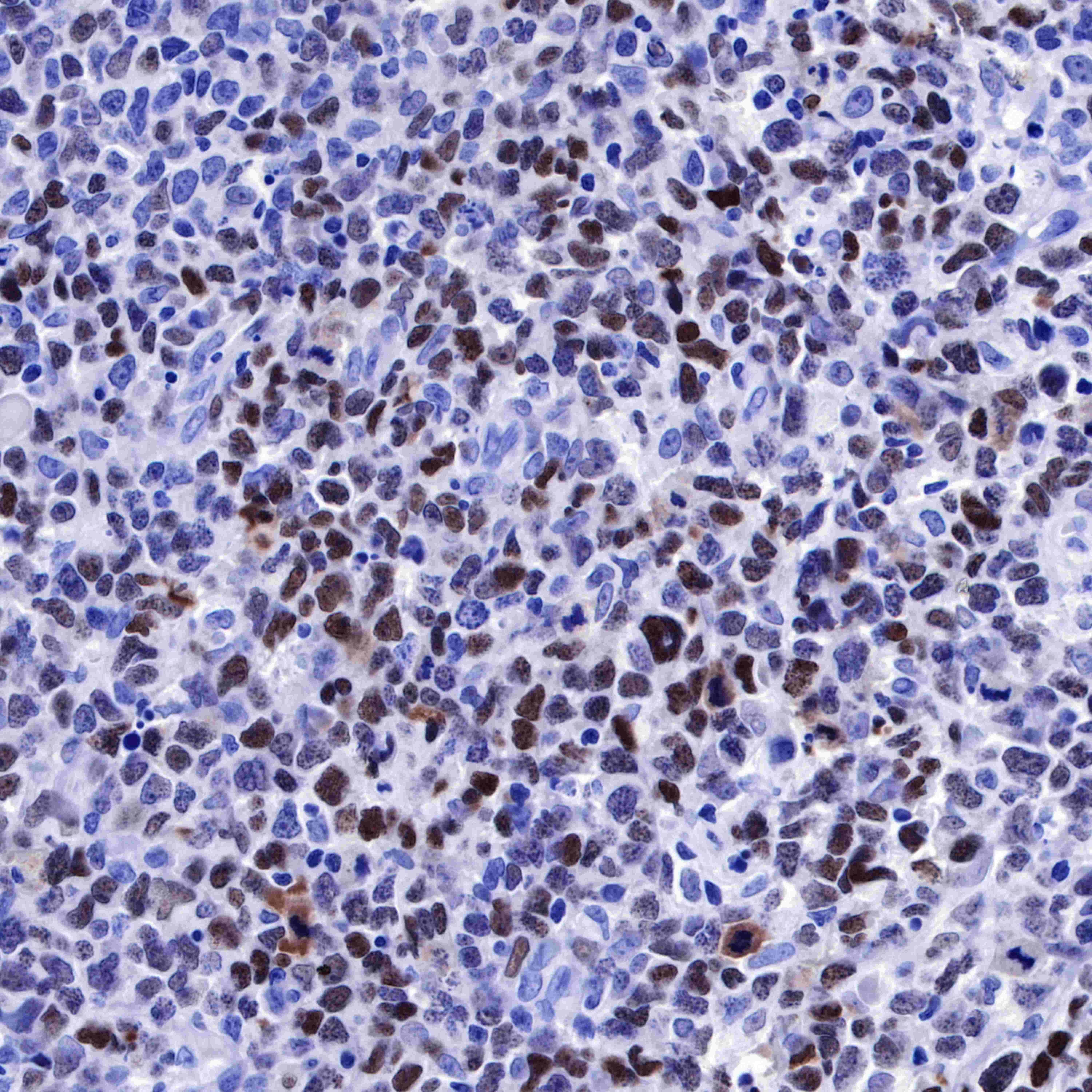
Application |
WB, IHC-P, ICC, ICFCM |
Reactivity |
Hu |
Purification |
Protein A |
Concentration |
0.5 mg/ml |
Physical Appearance |
Liquid |
Storage Buffer |
PBS, 40% Glycerol, 0.05%BSA, 0.03% Proclin 300 |
Stability & Storage |
12 months from date of receipt / reconstitution, -20 °C as supplied |
Dilution
application |
dilution |
species |
WB |
1:1000 |
|
ICFCM |
1:500 |
|
ICC |
1:500 |
|
IHC-P |
1:500-1:1000 |
|
Background
B-cell lymphoma 6 (BCL6) is a protooncogene in adult and pediatric cancers, first identified in diffuse large B-cell lymphoma (DLBCL) where it acts as a repressor of the tumor suppressor TP53, conferring survival, protection, and maintenance of lymphoma cells. BCL6 expression in normal B cells is fundamental in the regulation of humoral immunity, via initiation and maintenance of the germinal centers (GC). Its role in B cells during the production of high affinity immunoglobins (that recognize and bind specific antigens) is believed to underpin its function as an oncogene. BCL6 is known to drive the self-renewal capacity of leukemia-initiating cells (LIC), with high BCL6 expression in acute lymphoblastic leukemia (ALL), acute myeloid leukemia (AML), and glioblastoma (GBM) associated with disease progression and treatment resistance.