Immobilized IL-4R alpha/CD124 Fc Chimera Protein, Cynomolgus (Cat. No. UA010387) at 4 μg/mL (50 μL/well) can bind Human IL-4, His tag with EC50 of 13.4-18.2 ng/mL.
Product Details
Product Details
Product Specification
Species | Human |
Synonyms | B-cell stimulatory factor 1 (BSF-1), Binetrakin, Lymphocyte stimulatory factor 1, Pitrakinra |
Accession | P05112 |
Amino Acid Sequence | Protein sequence(P05112, His25-Ser153, with C-10*His) HKCDITLQEIIKTLNSLTEQKTLCTELTVTDIFAASKNTTEKETFCRAATVLRQFYSHHEKDTRCLGATAQQFHRHKQLIRFLKRLDRNLWGLAGLNSCPVKEANQSTLENFLERLKTIMREKYSKCSSGGGGSHHHHHHHHHH |
Expression System | HEK293 |
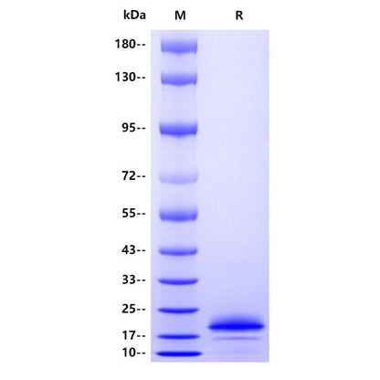
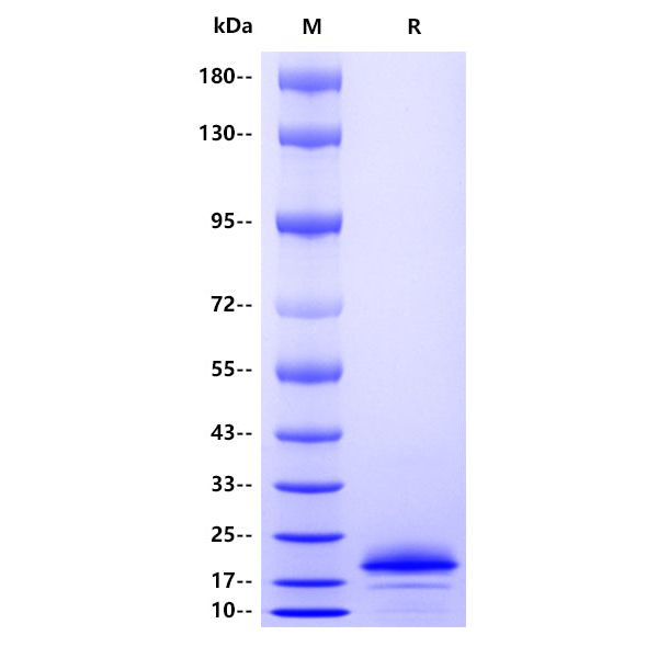
Molecular Weight | Theoretical:16.6kDa Actual:20kDa |
Purity | >90% by SDS-PAGE |
Endotoxin | <1EU/μg |
Tag | His Tag |
Physical Appearance | Lyophilized Powder |
Storage Buffer | Lyophilized from a 0.2 μm filtered solution of 0.2M PBS, 1mM EDTA, pH7.4. |
Reconstitution | Reconstitute no more than 1 mg/mL according to the size in deionized water after rapid centrifugation. |
Stability & Storage | 12 months from date of receipt, -20 to -70 °C as supplied. 6 months, -20 to -70 °C under sterile conditions after reconstitution. 1 week, 2 to 8 °C under sterile conditions after reconstitution. Please avoid repeated freeze-thaw cycles. |
Background
The interleukin 4 (IL4, IL-4) is a cytokine that induces differentiation of naive helper T cells (Th0 cells) to Th2 cells. Upon activation by IL-4, Th2 cells subsequently produce additional IL-4 in a positive feedback loop. IL-4 is produced primarily by mast cells, Th2 cells, eosinophils and basophils. It is closely related and has functions similar to IL-13. Interleukin 4 has many biological roles, including the stimulation of activated B cell and T cell proliferation, and the differentiation of B cells into plasma cells. It is a key regulator in humoral and adaptive immunity. IL-4 induces B cell class switching to IgE, and up-regulates MHC class II production. IL-4 decreases the production of Th1 cells, macrophages, IFNγ, and dendritic cells IL-12. IL-4 has also been shown to drive mitogenesis, dedifferentiation, and metastasis in rhabdomyosarcoma. IL-4, along with other Th2 cytokines, is involved in the airway inflammation observed in the lungs of patients with allergic asthma.
Picture
Picture
Bioactivity
SDS-PAGE

2μg (R: reducing conditions)

