WB result of GPA33 Rabbit mAb
Primary antibody: GPA33 Rabbit mAb at 1/500 dilution
Lane 1: HT-29 whole cell lysate 20 µg
Secondary antibody: Goat Anti-Rabbit IgG, (H+L), HRP conjugated at 1/10000 dilution
Predicted MW: 36 kDa
Observed MW: 50 kDa
Exposure time: 180 s(This blot was developed with high sensitivity substrate)
Product Details
Product Details
Product Specification
Host | Rabbit |
Antigen | GPA33 |
Synonyms | Cell surface A33 antigen, Glycoprotein A33 |
Immunogen | Synthetic Peptide |
Location | Membrane |
Accession | Q99795 |
Clone Number | SDT-248-76 |
Antibody Type | Recombinant mAb |
Application | WB, IHC-P |
Reactivity | Hu |
Purification | Protein A |
Concentration | 0.25 mg/ml |
Physical Appearance | Liquid |
Storage Buffer | PBS, 40% Glycerol, 0.05% BSA, 0.03% Proclin 300 |
Stability & Storage | 12 months from date of receipt / reconstitution, -20 °C as supplied |
Dilution
application | dilution | species |
WB | 1:500 | |
IHC-P | 1:2000 |
Background
The A33 cell-surface differentiation antigen is a glycoprotein that belongs to the immunoglobulin superfamily [PMID: 9012807]. This antigen is expressed in >95% of primary and metastatic colon cancer cells, but is absent in most normal and tumor cell types [PMID: 9245713, PMID: 16000578]. Although the exact function of this glycoprotein is unknown, antibodies developed against the A33 antigen bind to tumor cells and exhibit prolonged retention in the tumor tissue [PMID: 8656247].
Picture
Picture
Western Blot

Immunohistochemistry

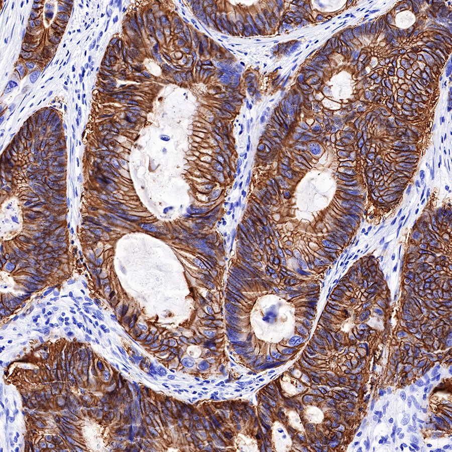
IHC shows positive staining in paraffin-embedded human colon. Anti-GPA33 antibody was used at 1/2000 dilution, followed by a HRP Polymer for Mouse & Rabbit IgG (ready to use). Counterstained with hematoxylin. Heat mediated antigen retrieval with Tris/EDTA buffer pH9.0 was performed before commencing with IHC staining protocol.

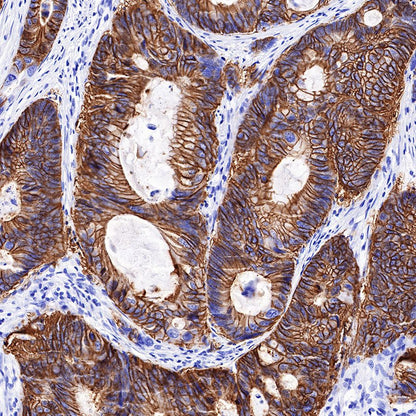
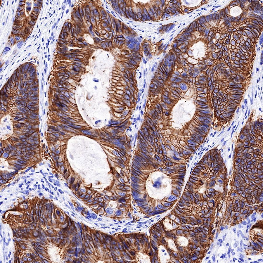
IHC shows positive staining in paraffin-embedded human colon cancer. Anti-GPA33 antibody was used at 1/2000 dilution, followed by a HRP Polymer for Mouse & Rabbit IgG (ready to use). Counterstained with hematoxylin. Heat mediated antigen retrieval with Tris/EDTA buffer pH9.0 was performed before commencing with IHC staining protocol.

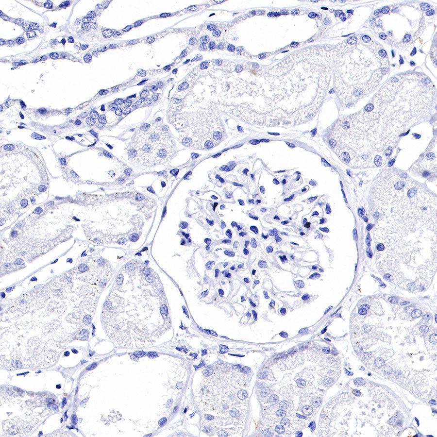
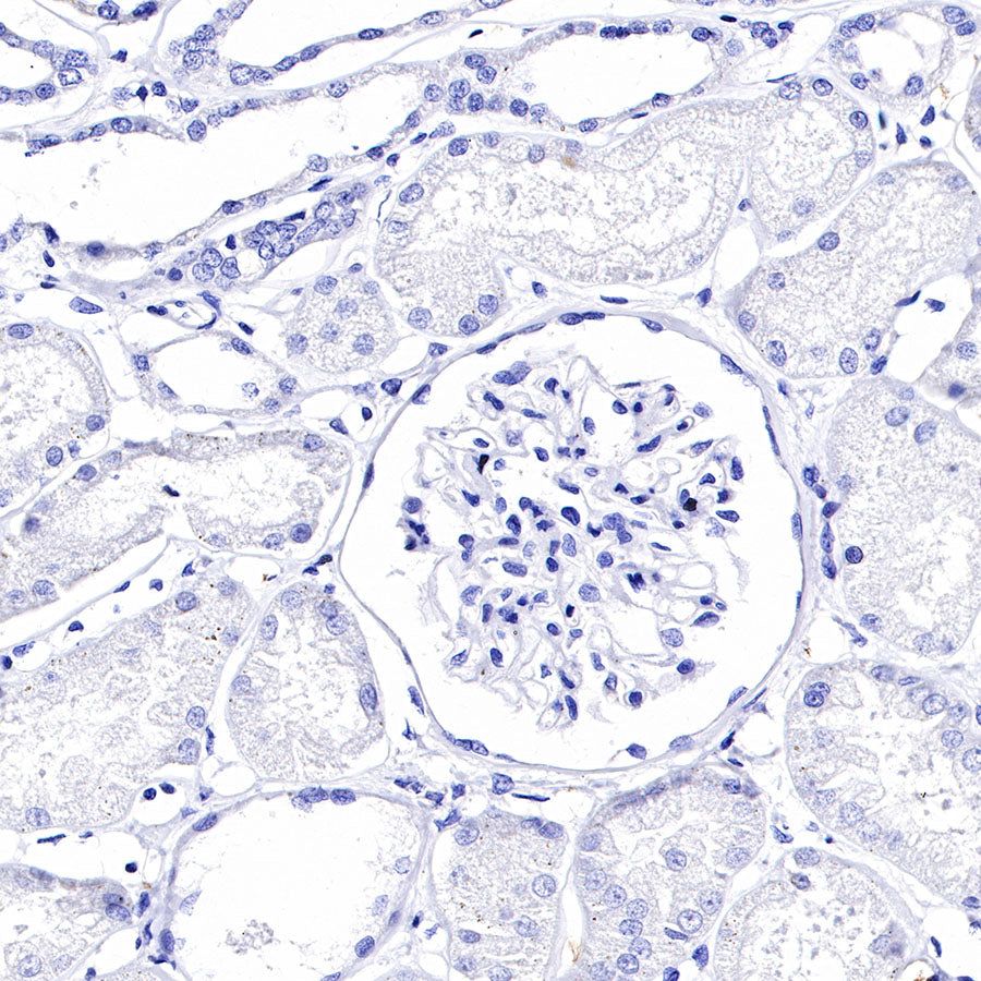
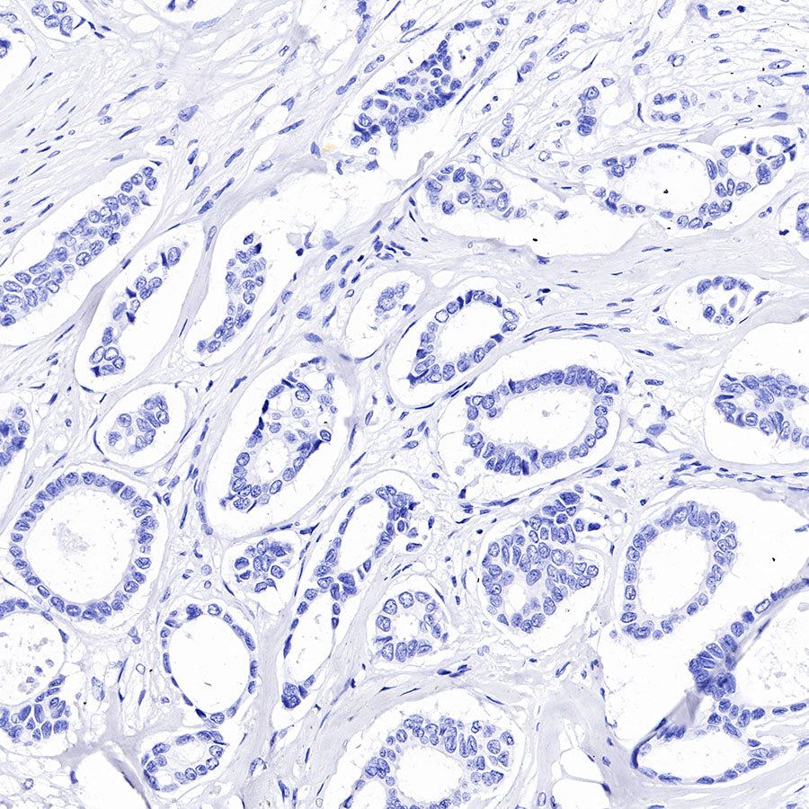
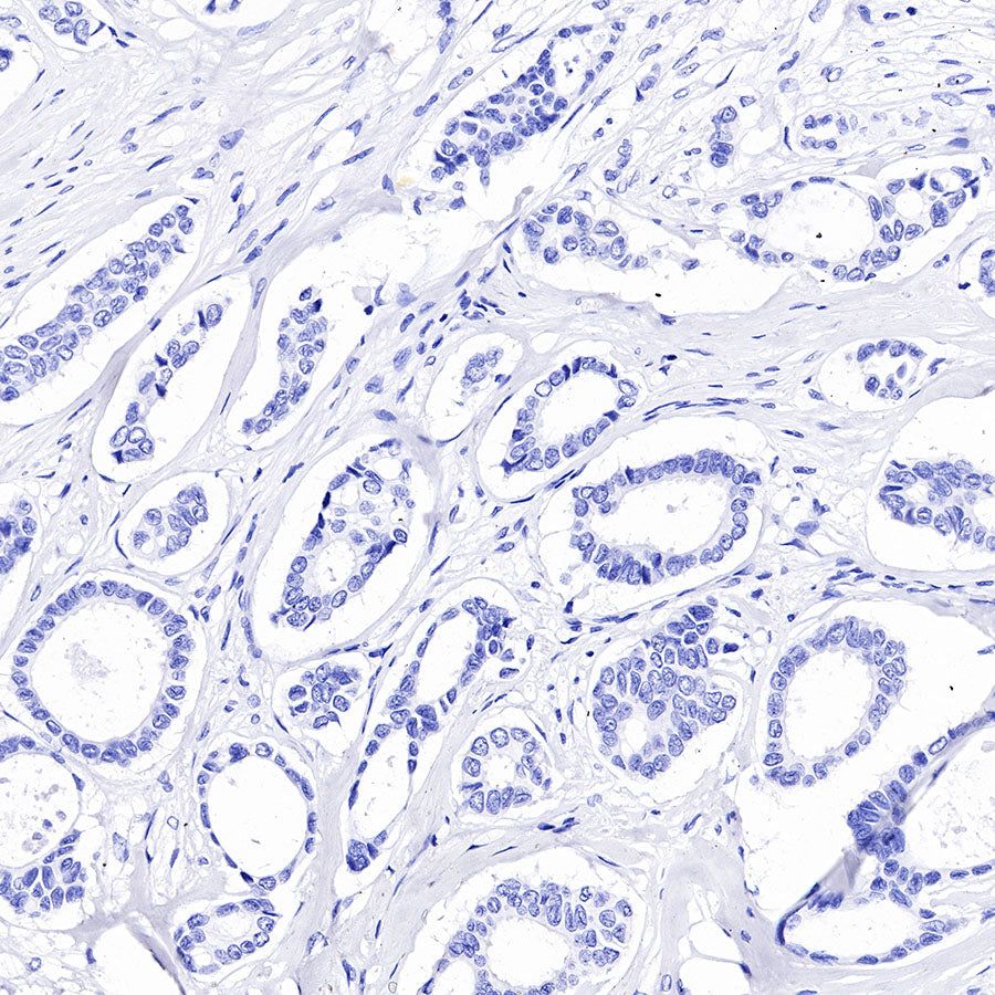
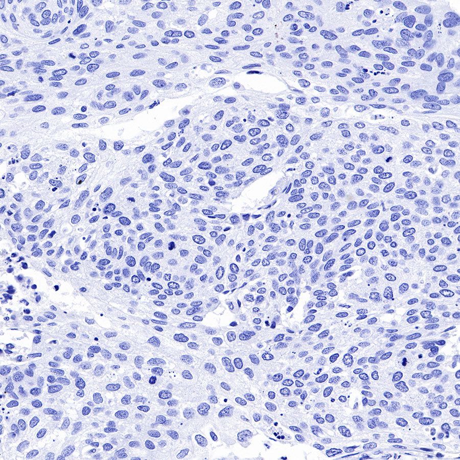
Negative control: IHC shows negative staining in paraffin-embedded human kidney. Anti-GPA33 antibody was used at 1/2000 dilution, followed by a HRP Polymer for Mouse & Rabbit IgG (ready to use). Counterstained with hematoxylin. Heat mediated antigen retrieval with Tris/EDTA buffer pH9.0 was performed before commencing with IHC staining protocol.

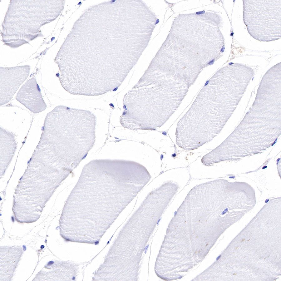
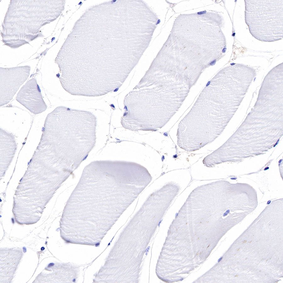
Negative control: IHC shows negative staining in paraffin-embedded human skeletal muscle. Anti-GPA33 antibody was used at 1/2000 dilution, followed by a HRP Polymer for Mouse & Rabbit IgG (ready to use). Counterstained with hematoxylin. Heat mediated antigen retrieval with Tris/EDTA buffer pH9.0 was performed before commencing with IHC staining protocol.

Negative control: IHC shows negative staining in paraffin-embedded human breast cancer. Anti-GPA33 antibody was used at 1/2000 dilution, followed by a HRP Polymer for Mouse & Rabbit IgG (ready to use). Counterstained with hematoxylin. Heat mediated antigen retrieval with Tris/EDTA buffer pH9.0 was performed before commencing with IHC staining protocol.

Negative control: IHC shows negative staining in paraffin-embedded human cervical squamous cell carcinoma. Anti-GPA33 antibody was used at 1/2000 dilution, followed by a HRP Polymer for Mouse & Rabbit IgG (ready to use). Counterstained with hematoxylin. Heat mediated antigen retrieval with Tris/EDTA buffer pH9.0 was performed before commencing with IHC staining protocol.






