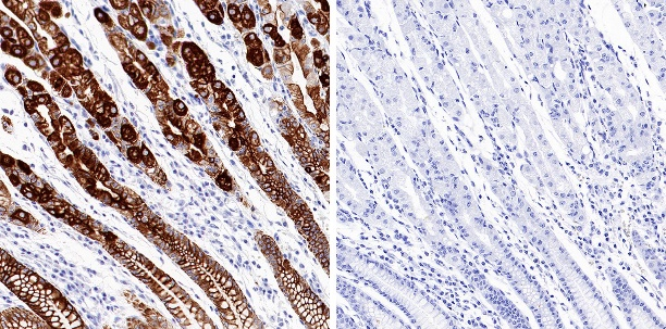
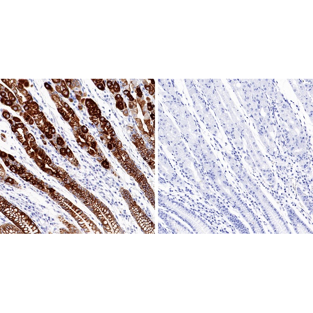
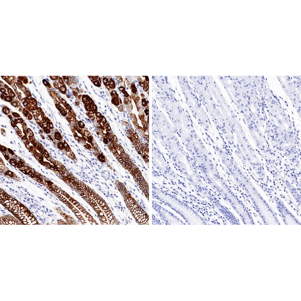
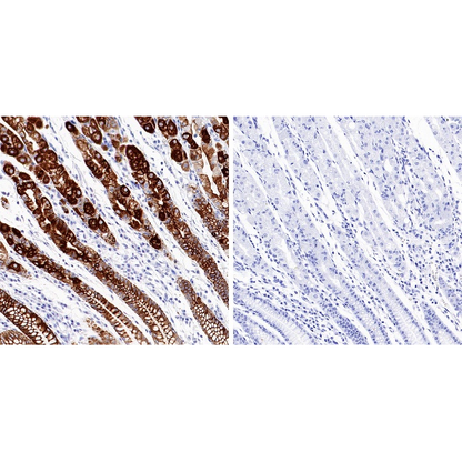
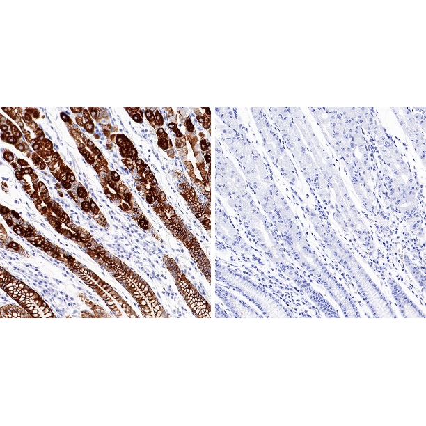
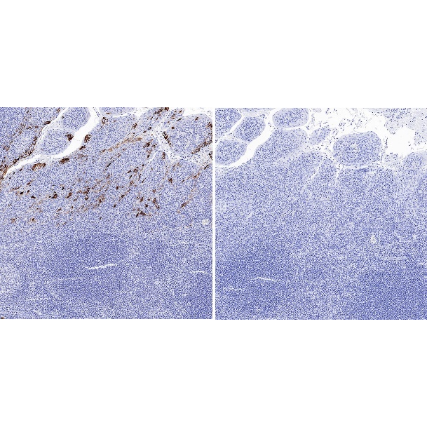
IHC analysis of paraffin-embedded human stomach labelling vimentin antibody (S0B2254) at 1/1000 dilution (Left) compared with PBS negative control (Right), Goat Anti-Rabbit IgG (H+L) (min X Hu Sr Prot) (S0B4011) was used as the secondary antibody, followed by a HRP Donkey anti-Goat IgG (H+L). Counterstained with hematoxylin. Heat mediated antigen retrieval with Tris/EDTA buffer pH9.0 was performed before commencing with IHC staining protocol.
Product Details
Product Details
Product Specification
Host | Goat |
Antigen | Rabbit IgG |
Immunogen | Rabbit IgG |
Antibody Type | Polyclonal antibody |
Application | ELISA, IHC-P |
Reactivity | Rb |
Purification | Immunogen Affinity |
Concentration | Lot specific* (generally 1 to 5 mg/ml)* |
Conjugation | Unconjugated |
Physical Appearance | Liquid |
Storage Buffer | PBS, pH7.4 |
Stability & Storage | 12 months from date of receipt / reconstitution, 2 to 8 °C as supplied. |
Dilution
application | dilution | species |
ELISA | 0.5-2 μg/ml | Rb |
IHC-P | 10-40 μg/ml | Rb |
Background
This antibody has been tested by ELISA to ensure minimal cross-reaction with human serum proteins.
Picture
Picture
Immunohistochemistry


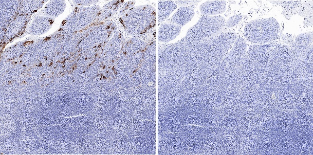
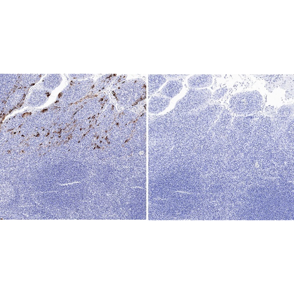
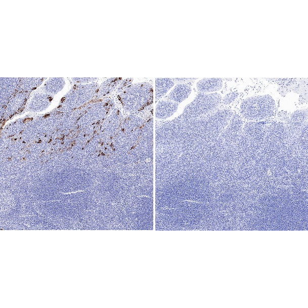
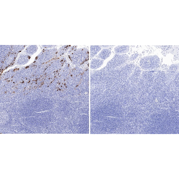
IHC analysis of paraffin-embedded human tonsil labelling vimentin antibody (S0B2254) at 1/1000 dilution (Left) compared with PBS negative control (Right), Goat Anti-Rabbit IgG (H+L) (min X Hu Sr Prot) (S0B4011) was used as the secondary antibody, followed by a HRP Donkey anti-Goat IgG (H+L). Counterstained with hematoxylin. Heat mediated antigen retrieval with Tris/EDTA buffer pH9.0 was performed before commencing with IHC staining protocol.

