Skip to product information
1 of 2

Endo S

Endo S

Catalog Number: UA070039 Reactivity: Other Conjugation: Unconjugated Brand: UA BIOSCIENCE
Price:
Regular price $270 USD
Regular price Sale price $270 USD
Size:
For shipping services or bulk orders, you may request a quotation.
Secure checkout with
View full details

Product Details

Product Specification


Species Streptococcus pyogenes
Synonyms Endo-beta-N-acetylglucosaminidase EndoS, Endoglycosidase S, EndoS
Expression System E.coli
Molecular Weight

109  kDa (Reducing)

Purity

>95% by SDS-PAGE

Conjugation Unconjugated
Tag His Tag
Physical Appearance Liquid
Storage Buffer 20 mM Tris-HCl、50 mM NaCl、5 mM EDTA(pH 7.5 @ 25°C)
Stability & Storage

Store at -25 ~ -15℃ for 2 years

Reference

[1] Collin,M.EndoS, a novel secreted protein from Streptococcus pyogenes with endoglycosidase activity on human IgG[J].Embo Journal, 2014, 20(12):3046-3055. 

[2] Beatriz,Trastoy,Joseph,et al.Liquid–liquid diffusion crystallization improves the X-ray diffraction of EndoS, an endo-β-N-acetylglucosaminidase from Streptococcus pyogenes with activity on human IgG[J].Acta Crystallographica, 2013.

Background

Anenzyme expressed by Streptococcus pyogenes capable of releasing the terminal sialic acid residues from glycoproteins such as immunoglobulins.Specifically catalyzes the hydrolysis of the beta-1,4 linkage between the first two N-acetylglucosamine residues of the complex-type N-linked glycan located on 'Asn-297' of the Fc region of IgG antibodies (IGHG1, IGHG2, IGHG3 or IGHG4), thereby preventing interaction between IgGs and Fc receptors and ability to activate the complement pathway. Endo S is an endoglycosidase specific for cleaving the N-linked glycans from the chitobiose core of the heavy chain of native IgG.

Components

Storage Solution : 200U/ul Endo S、20 mM Tris-HCl, 50 mM NaCl, 5 mM EDTA. (pH 7.5 @ 25°C)

10*Reaction Buffer:50mM CaCl2、500 mM sodium acetate (pH 5.5 @ 25°C)

Protocol

1. Combine 100 µg of native IgG, 1 µl of 10*Reaction Buffer and H20 (if necessary) to make a 10 µl total reaction volume.

2. Add 1 µl Endo S.

3. Incubate reaction at 37°C for 1 hour

Unit Definition

One unit is defined as the amount of enzyme required to remove > 95% of the carbohydrate from 5μg of native mouse monoclonal IgG in 1 hour at 37°C in a total reaction volume of 10µl.

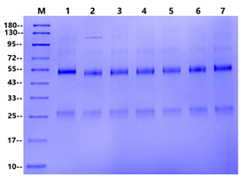
Picture

Bioactivity

The experimental design added 10 U, 2 U, 1 U, 0.5 U, 0.4U and 0.25 U enzymes into the 20 ul reaction system to investigate the effect of Endo S on the digestion of human IgG.

M marker

Lan1 human IgG 1μg

Lan2 human IgG 1μg+10 U Endo S

Lan3 human IgG 1μg+2 U Endo S

Lan4 human IgG 1μg+1 U Endo S

Lan5 human IgG 1μg+0.5 U Endo S

 Lan6 human IgG 1μg+0.4 U Endo S

Lan7 human IgG 1μg+0.25 U Endo S

Customer Reviews

Be the first to write a review
0%
(0)
0%
(0)
0%
(0)
0%
(0)
0%
(0)