Can FSHB Antibody Become a Novel Target for Intervening in Ovarian Aging?

Can FSHB Antibody Become a Novel Target for Intervening in Ovarian Aging?

I. What Key Pathways Are Involved in the Molecular Mechanisms of Ovarian Aging?

 

Ovarian aging, as the core process of functional decline in the female reproductive system, has seen significant progress in the study of its molecular mechanisms in recent years. The follicle-stimulating hormone (FSH) signaling pathway plays a key role in regulating ovarian function. Research has found that as physiological ovarian function declines, serum FSH levels progressively increase. This elevation is not merely a compensatory response to decreased ovarian function but may also directly participate in the process of ovarian aging through specific molecular mechanisms.

In-depth mechanistic studies indicate that FSH, by binding to its receptor, activates the transforming growth factor beta 1 (TGF-β1)/Smad signaling cascade, thereby promoting the occurrence and progression of ovarian fibrosis. Ovarian fibrosis is characterized by excessive deposition of extracellular matrix, particularly the significant upregulation of collagen proteins COL1A1, COL1A2, COL3A1, and COL5A2, leading to remodeling of ovarian tissue structure and impaired function. This discovery updates the traditional view that high FSH levels are merely an accompanying phenomenon of ovarian aging, revealing its active role in driving the ovarian aging process.

 

II. How Does the FSHB Antibody Intervene in the Ovarian Fibrosis Process?

 

Targeting the active role of FSH in ovarian aging, researchers developed a specific FSHB antibody as an intervention tool. In animal model experiments, a mouse model with high FSH levels was established by injecting GnRH agonist and FSH, which showed significantly aggravated ovarian fibrosis and a marked reduction in the number of primordial and primary follicles. However, when the FSH action was blocked using the FSHB antibody, ovarian fibrosis was effectively alleviated, and the follicle count was partially restored.

At the cellular and molecular level, studies found that mouse ovarian fibroblasts express functional FSH receptors. FSH stimulation induced the expression of fibrosis-related molecules in a dose- and time-dependent manner, and this effect could be reversed by knocking out the FSH receptor gene or using the TGF-β receptor 1 inhibitor SB431542. Further CUT&Tag analysis confirmed that FSH regulates the fibrotic process by promoting the direct binding of p-Smad3 to collagen protein gene clusters. These findings provide a solid theoretical foundation for the clinical application of the FSHB antibody.

 

III. How Do Genetic and Environmental Factors Interact to Affect Ovarian Function?

 

Beyond molecular mechanisms, the influencing factors of ovarian aging have also garnered significant attention. Large-scale population-based longitudinal studies show that genetic factors play an important role in premature ovarian insufficiency (POI). By dividing the population into high, medium, and low genetic risk categories using polygenic risk scores (PRS), it was found that individuals with high genetic risk have a significantly increased risk of POI. However, this genetic susceptibility is not unchangeable; intervention through environmental factors can significantly modulate the actual expression of genetic risk.

Smoking, as a modifiable factor closely related to ovarian aging, was quantified using pack-years. The results showed that compared to women with high genetic risk and heavy smoking (30 pack-years), women with the same genetic risk who never smoked had nearly half the risk of developing POI. This finding highlights the importance of lifestyle interventions in protecting ovarian function and provides specific prevention strategies for individuals with a genetic predisposition to POI.

 

IV. What is the Prospect of Multi-Target Intervention Strategies in Preventing and Treating Ovarian Aging?

 

Based on current research progress, preventing and treating ovarian aging requires multi-target, comprehensive intervention strategies. At the molecular level, the FSHB antibody inhibits the TGF-β1/Smads signaling cascade activation by blocking the FSH signaling pathway, thereby alleviating the ovarian fibrosis process, offering a new direction for clinical intervention. At the lifestyle level, regulating modifiable factors like smoking can effectively reduce the actual disease risk in genetically susceptible individuals.

Future research should focus on optimizing the dosing regimen and safety evaluation of the FSHB antibody to promote its translation into clinical application. Simultaneously, it is necessary to establish a risk assessment system integrating multi-dimensional information such as genetic risk, telomere length, and hormone levels to achieve individualized monitoring and early intervention for ovarian function. Furthermore, exploring combination strategies of the FSHB antibody with other intervention methods may open broader prospects for the prevention and treatment of ovarian aging.

 

V. What Challenges Does the Clinical Translation of Ovarian Aging Research Face?

 

Although significant progress has been made in understanding the mechanisms of ovarian aging, clinical translation still faces many challenges. Firstly, the exact mechanism of action and long-term safety of the FSHB antibody in the human ovary need further clarification. Secondly, the impact of individual differences on treatment response requires systematic evaluation to develop personalized treatment plans. Additionally, early diagnostic biomarkers for ovarian aging remain to be developed and validated.

On the technical front, more precise ovarian function assessment systems need to be established, and non-invasive detection methods for ovarian fibrosis need improvement. In clinical practice, the integrated application of the FSHB antibody with other fertility preservation strategies needs exploration. With in-depth research on these issues, intervention strategies based on the FSHB antibody are expected to provide new solutions for ovarian function protection and the maintenance of female reproductive health.

 

VI. Which Manufacturers Provide FSHB Antibodies?

 

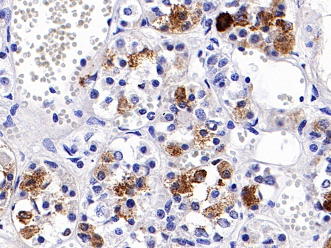
Hangzhou Start Bio-tech Co., Ltd.'s self-developed "S-RMab® FSHB Recombinant Rabbit Monoclonal Antibody" is a high-performance antibody product characterized by high specificity, excellent sensitivity, and exceptional staining consistency. This product is ideal for applications in pituitary adenoma subtyping, reproductive endocrinology research, and reproductive system tumor diagnosis.

Product Core Advantages:

  • High Specificity & Clear Localization: Precisely recognizes the Follicle-Stimulating Hormone beta subunit (FSHβ), demonstrating excellent cytoplasmic staining specificity in FFPE samples, with a clean background and clear signals, providing a reliable basis for accurate interpretation.
  • Excellent Staining Stability & Batch Consistency: Under strict quality control standards, the product exhibits excellent staining stability and minimal batch-to-batch variation, ensuring high comparability of results across different laboratories and experimental batches, providing stable support for clinical diagnosis and basic research.

Suitable Key Application Scenarios:
This product is an ideal tool for conducting the following research:

  • Pituitary Adenoma Functional Subtyping: Used for the functional subtyping and identification of gonadotroph adenomas; an important marker for the pathological diagnosis of pituitary adenomas.
  • Reproductive Endocrinology Regulation Research: For basic research on the hypothalamic-pituitary-gonadal axis, exploring the mechanisms regulating FSH synthesis and secretion.
  • Germ Cell Tumor Research: For research and auxiliary diagnosis of FSH-related tumors such as ovarian granulosa cell tumors and testicular Sertoli cell tumors.
  • Developmental Biology Research: For studies related to FSH expression and regulation during embryonic development and gonadal differentiation.

Professional Technical Support: We provide detailed product technical documentation, including complete IHC experimental protocols, optimized antigen retrieval methods, and professional interpretation guidance, fully committed to assisting customers in obtaining accurate and reliable results in endocrine pathology research and diagnosis.

Hangzhou Start Bio-tech Co., Ltd. is always dedicated to providing high-quality, high-value biological reagents and solutions for global innovative pharmaceutical companies and research institutions. For more details about the "S-RMab® FSHB Recombinant Rabbit Monoclonal Antibody" or to request a sample test, please feel free to contact us.

Product Information

S0B2272

FSHB Recombinant Rabbit mAb (SDT-R287)

Host : Rabbit

Conjugation : Unconjugated

S0B2271

S-RMab® FSHB Recombinant Rabbit mAb (SDT-544-22)

Host : Rabbit

Conjugation : Unconjugated

S0B2271P

S-RMab® FSHB Recombinant Rabbit mAb,PBS Only (SDT-544-22)

Host : Rabbit

Conjugation : Unconjugated