Product Details
Product Details
Product Specification
Host | Rabbit |
Antigen | CGA/HCG-α |
Synonyms | Glycoprotein hormones alpha chain, CG-alpha, FSH-alpha, LSH-alpha, TSH-alpha |
Immunogen | Recombinant Protein |
Location | Secreted |
Accession | P01215 |
Clone Number | SDT-227-66 |
Antibody Type | Rabbit mAb |
Application | IHC-P |
Reactivity | Hu |
Purification | Protein A |
Concentration | 0.25 mg/ml |
Physical Appearance | Liquid |
Storage Buffer | PBS, 40% Glycerol, 0.05% BSA, 0.03% Proclin 300 |
Stability & Storage | 12 months from date of receipt / reconstitution, -20 °C as supplied |
Dilution
application | dilution | species |
IHC-P | 1:1000 | null |
Background
Human chorionic gonadotropin (HCG) is a glycoprotein hormone consisting of two noncovalently bonded subunits, alpha and beta [PMID: 68892], and is normally synthesized by placental trophoblasts during pregnancy. The alpha subunit of hCG is identical to the alpha subunit of 3 hormones synthesized by the anterior pituitary gland but the beta subunit of each of these hormones is unique and confers biological specificity. Among the beta subunits, hCGbeta and Lhbeta are vey homologous such that both hormones bind to the LH receptor.
Picture
Picture
Immunohistochemistry

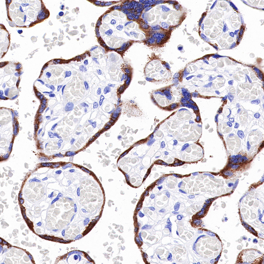
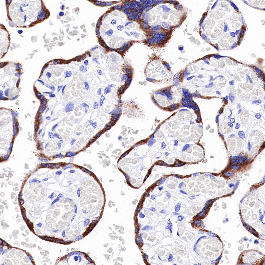
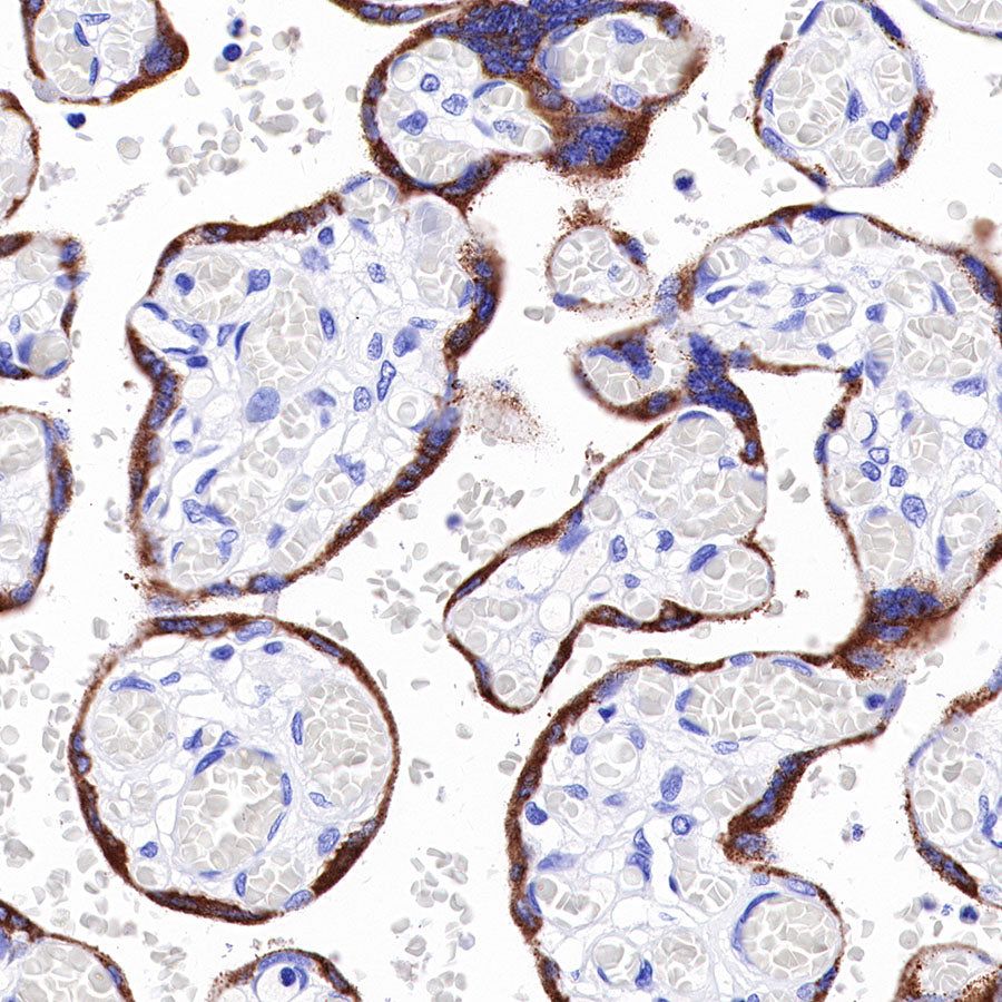
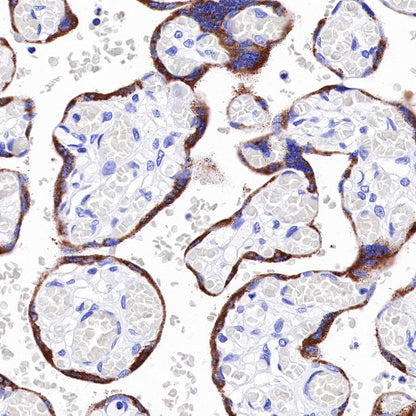
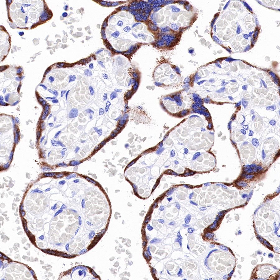
IHC shows positive staining in paraffin-embedded human placenta. Anti-CGA/HCG-α antibody was used at 1/1000 dilution, followed by a HRP Polymer for Mouse & Rabbit IgG (ready to use). Counterstained with hematoxylin. Heat mediated antigen retrieval with Tris/EDTA buffer pH9.0 was performed before commencing with IHC staining protocol.

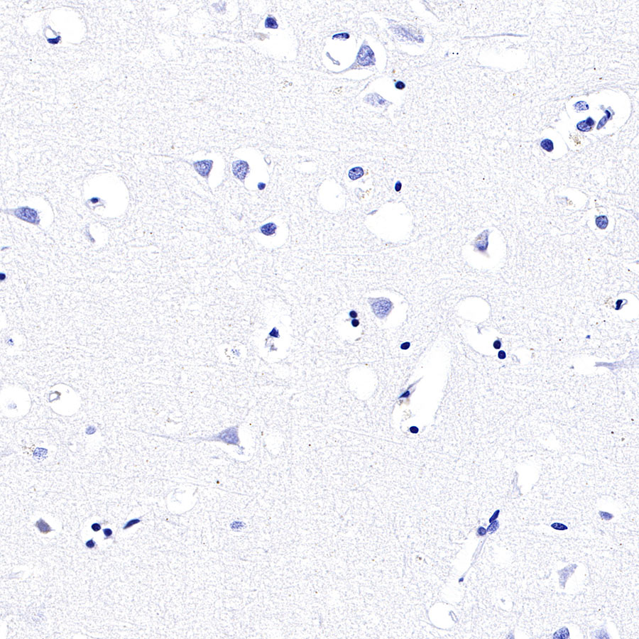
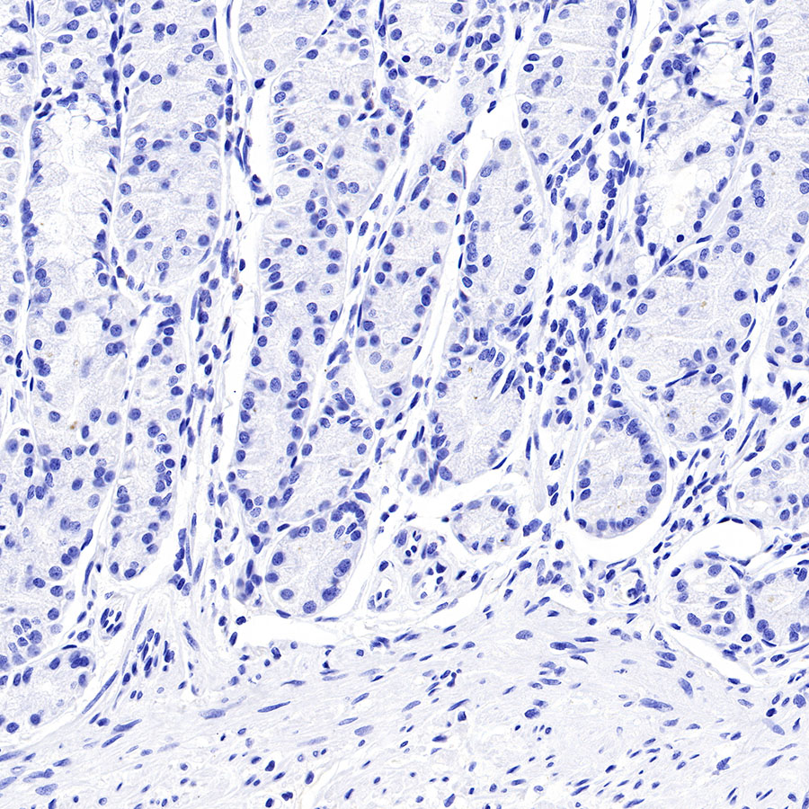
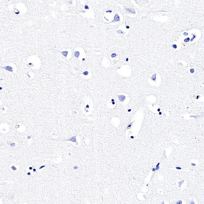
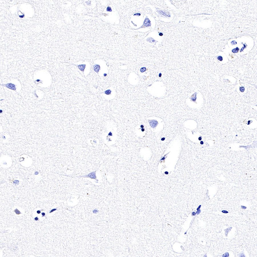
Negative control: IHC shows negative staining in paraffin-embedded human cerebral cortex. Anti-CGA/HCG-α antibody was used at 1/1000 dilution, followed by a HRP Polymer for Mouse & Rabbit IgG (ready to use). Counterstained with hematoxylin. Heat mediated antigen retrieval with Tris/EDTA buffer pH9.0 was performed before commencing with IHC staining protocol.

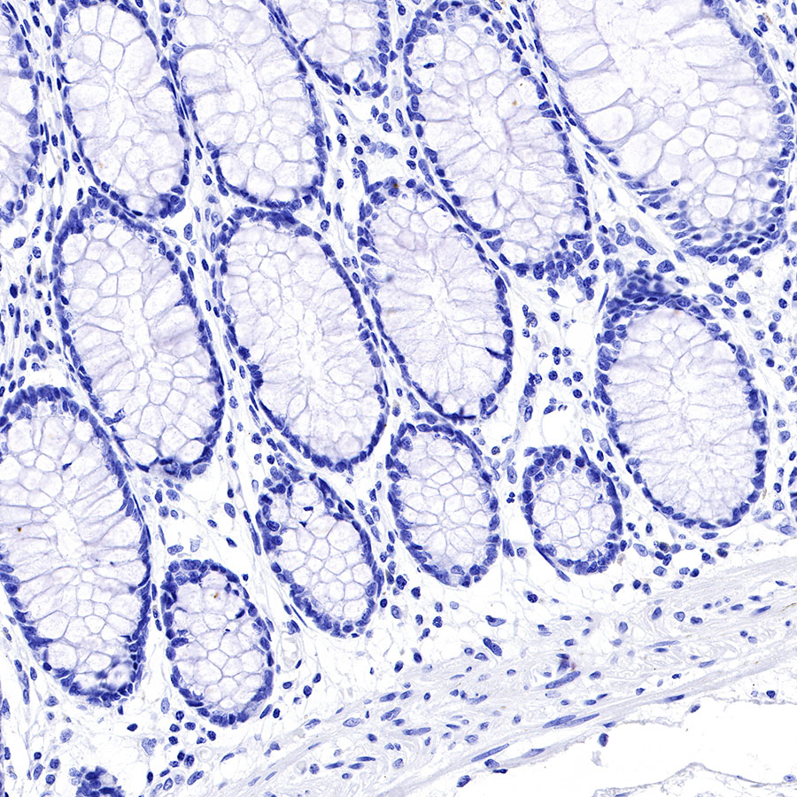
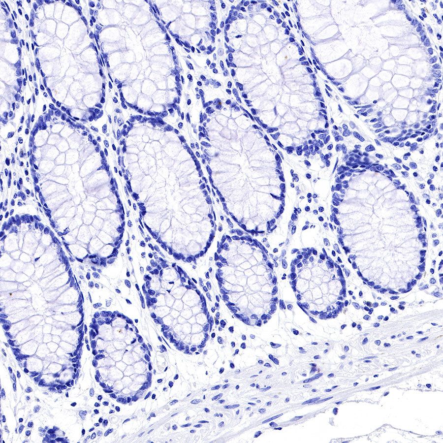
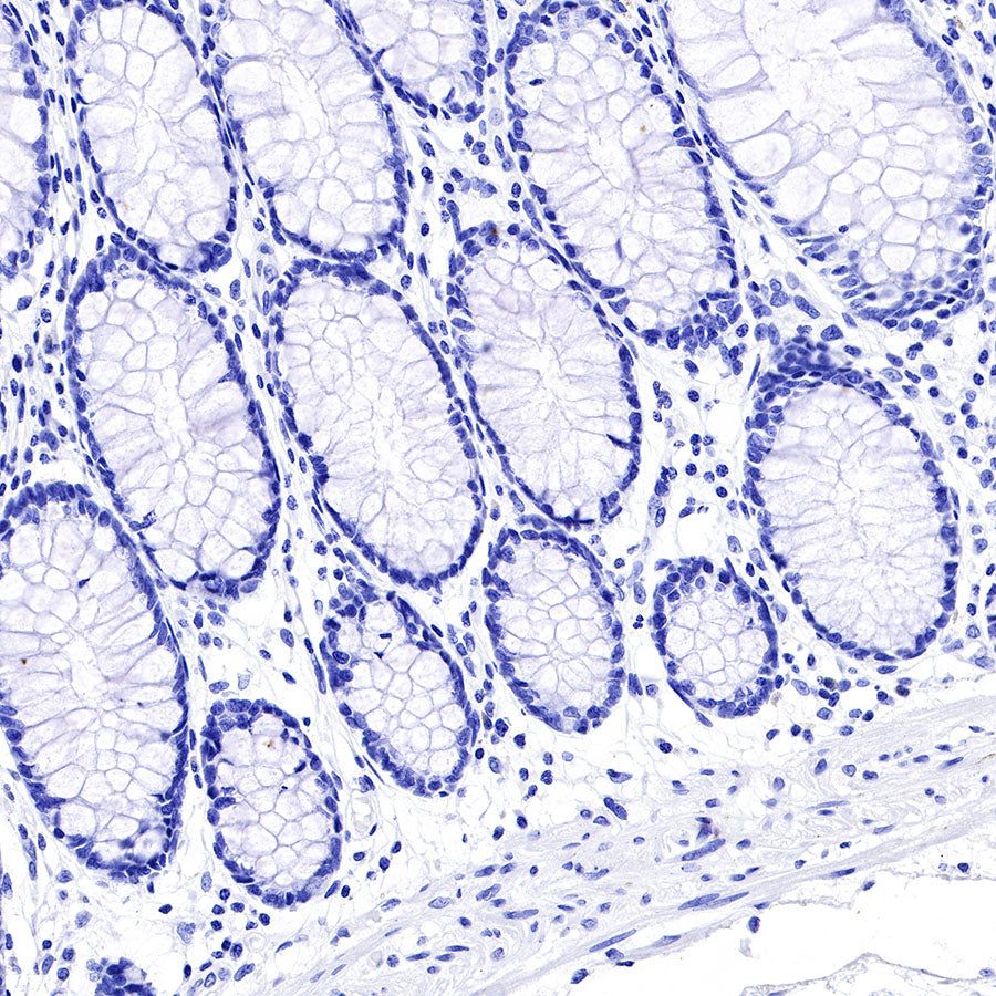
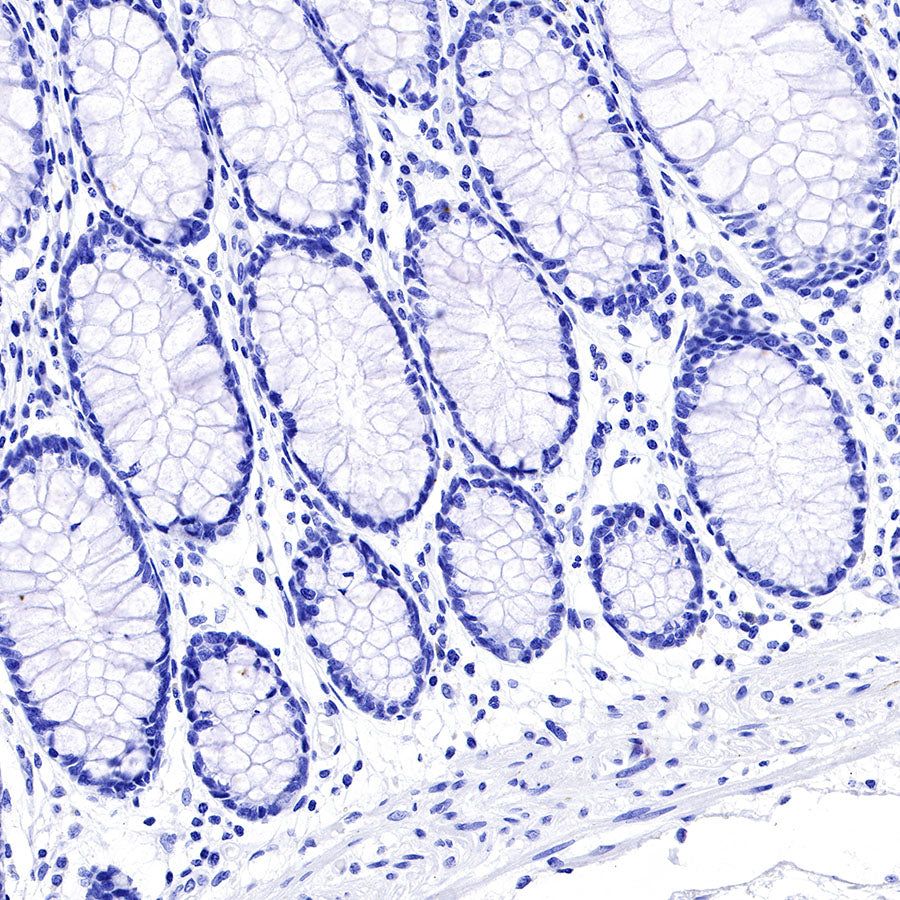
Negative control: IHC shows negative staining in paraffin-embedded human colon. Anti-CGA/HCG-α antibody was used at 1/1000 dilution, followed by a HRP Polymer for Mouse & Rabbit IgG (ready to use). Counterstained with hematoxylin. Heat mediated antigen retrieval with Tris/EDTA buffer pH9.0 was performed before commencing with IHC staining protocol.

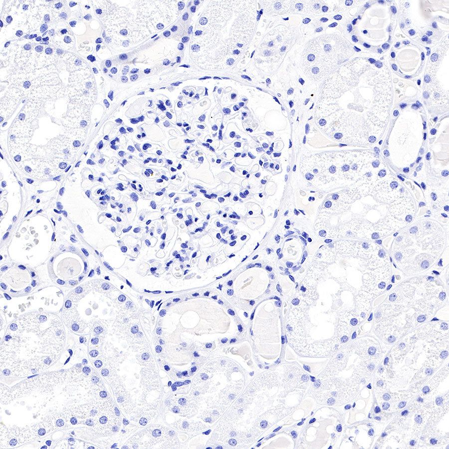
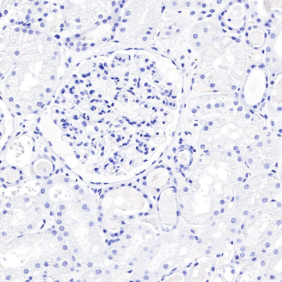
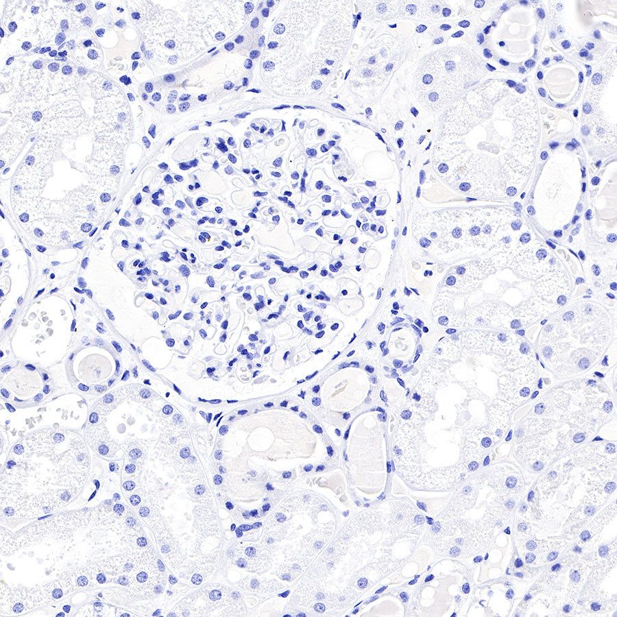
Negative control: IHC shows negative staining in paraffin-embedded human kidney. Anti-CGA/HCG-α antibody was used at 1/1000 dilution, followed by a HRP Polymer for Mouse & Rabbit IgG (ready to use). Counterstained with hematoxylin. Heat mediated antigen retrieval with Tris/EDTA buffer pH9.0 was performed before commencing with IHC staining protocol.

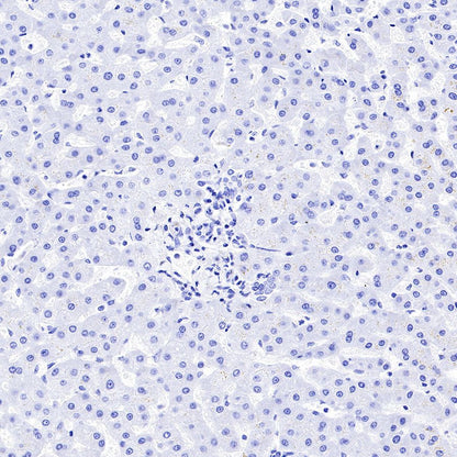
Negative control: IHC shows negative staining in paraffin-embedded human liver. Anti-CGA/HCG-α antibody was used at 1/1000 dilution, followed by a HRP Polymer for Mouse & Rabbit IgG (ready to use). Counterstained with hematoxylin. Heat mediated antigen retrieval with Tris/EDTA buffer pH9.0 was performed before commencing with IHC staining protocol.

Negative control: IHC shows negative staining in paraffin-embedded human stomach. Anti-CGA/HCG-α antibody was used at 1/1000 dilution, followed by a HRP Polymer for Mouse & Rabbit IgG (ready to use). Counterstained with hematoxylin. Heat mediated antigen retrieval with Tris/EDTA buffer pH9.0 was performed before commencing with IHC staining protocol.

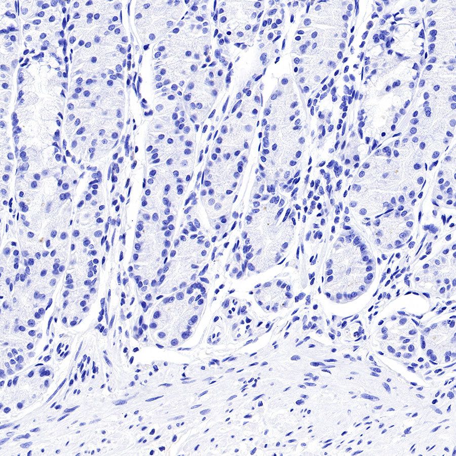
Negative control: IHC shows negative staining in paraffin-embedded human tonsil. Anti-CGA/HCG-α antibody was used at 1/1000 dilution, followed by a HRP Polymer for Mouse & Rabbit IgG (ready to use). Counterstained with hematoxylin. Heat mediated antigen retrieval with Tris/EDTA buffer pH9.0 was performed before commencing with IHC staining protocol.






