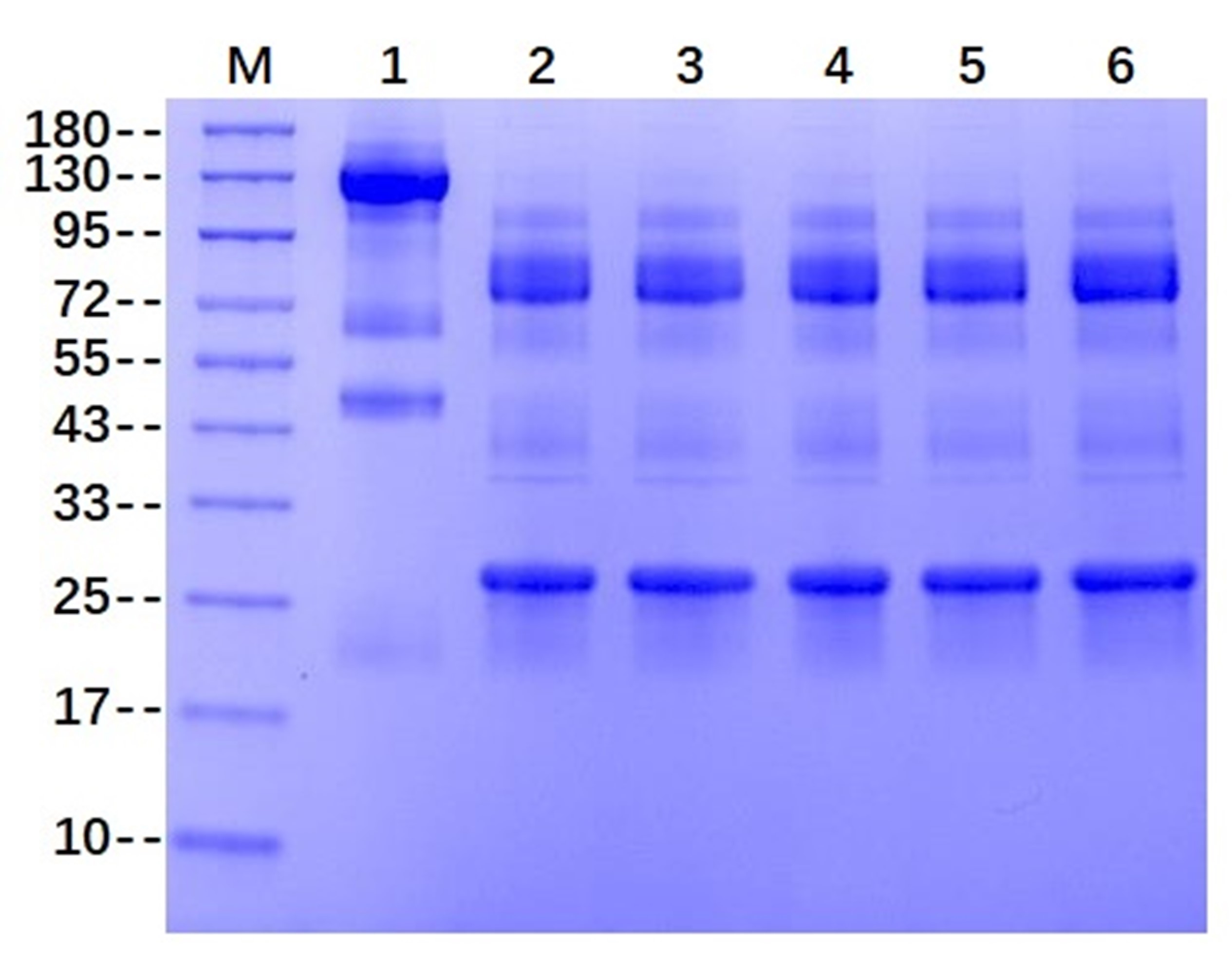
M, marker;
lane 1 rabbit IgG;
lane 2 rabbit IgG add 5 units IdeS;
lane 3 rabbit IgG add 6.25 units IdeS;
lane 4 rabbit IgG add 8.3 units IdeS;
lane 5 rabbit IgG add 12.5 units IdeS;
lane 6 rabbit IgG add 25 units IdeS
| Species | Streptococcus pyogenes |
| Synonyms | IdeS |
| Amino Acid Sequence | N.A |
| Expression System | E.coli |
| Molecular Weight | 37.7kDa |
| Purity | >95% by SDS-PAGE |
| Conjugation | Unconjugated |
| Tag | His Tag |
| Physical Appearance | Liquid |
| Storage Buffer | PBS pH 6.6, 50% glycerol |
| Reconstitution | N.A |
| Stability & Storage |
12 months from date of receipt, -20 to -70 °C as supplied; |
| Reference |
1.Vincents B, Von Pawel-Rammingen U, Bj?Rck L ,et al.Enzymatic characterization of the streptococcal endopeptidase, IdeS, reveals that it is a cysteine protease with strict specificity for IgG cleavage due to exosite binding.[J].Biochemistry, 2004, 43(49):15540-15549. 2.Pawel-Rammingen V, U. IdeS, a novel streptococcal cysteine proteinase with unique specificity for immunoglobulin G[J]. Embo Journal, 2014, 21(7):1607-1615. |
IdeS Protease is a cysteine hydrolase secreted by the human pathogen Streptococcuspyogenes. This product use E. coli recombinant expression, high purity, has good enzyme digestion activity, can specifically identify IgG, and perform enzyme digestion at specific sites in the hinge region of the antibody, and IgG can be hydrolyzed into F(ab')2 fragments and Fc fragments, which can identify human and other animal IgG, such as mouse, rabbit, monkey, sheep and human animal chimeric IgG, etc, It can be used for structural characterization analysis of antibodies and fusion protein drugs.
1. Add the desired amount of 5mg IgG in digestion buffer or other compatible buffer*.
2. Add IdeS Protease to the reaction system:
• Add 1 unit of IdeS Protease per 1µg of IgG to be digested.
• For example, add 5µl (200 units) of reconstituted IdeS to digest 200µg of IgG.
3. Incubate sample at 37°C for 30–60 minutes

M, marker;
lane 1 rabbit IgG;
lane 2 rabbit IgG add 5 units IdeS;
lane 3 rabbit IgG add 6.25 units IdeS;
lane 4 rabbit IgG add 8.3 units IdeS;
lane 5 rabbit IgG add 12.5 units IdeS;
lane 6 rabbit IgG add 25 units IdeS

M: marker ; Complement IdeS protease,2μg on SDS-PAGE under Non-reducing and reducing
condition . The purity is greater than 95%.
