How Are Classic Pathology Antibodies Gaining New Life?

How Are Classic Pathology Antibodies Gaining New Life?

I. Why Do Traditional Pathology Antibodies Need Re-evaluation?

In the field of pathological diagnosis, routinely used, well-established antibodies are often referred to as "old" antibodies. These antibodies have been widely used in laboratories for many years, and their characteristics and application ranges seem to be fully understood. However, with the deepening of pathological research and the accumulation of clinical practice, these traditional antibodies are revealing new diagnostic value. Re-examining these classic markers can not only expand diagnostic thinking but also provide more tools for precision medicine.

The 2016 Workshop on New Advances in Tumor Pathology Diagnosis specifically included a training session on "Immunohistochemical Diagnostic Clues and Pitfalls," where internationally renowned clinical pathologists systematically introduced new ideas and methods in immunohistochemical diagnosis. The discussion on the new uses of "old" antibodies provided important insights for pathological diagnostic work.

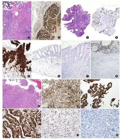
II. What New Value Does S-100 Protein Offer in Salivary Gland Tumor Diagnosis?

 

S-100 protein, a traditional marker for Schwann cells and melanocytes, has recently shown new application value in the diagnosis of salivary gland tumors. Mammary analogue secretory carcinoma (MASC) of the salivary gland is a newly recognized salivary gland tumor. Its histomorphology resembles that of secretory carcinoma of the breast and shares the same chromosomal translocation t(12;15) and the *ETV6-NTRK3* fusion gene.

The clinical presentation of MASC is similar to that of acinic cell carcinoma, both being indolent tumors with no significant difference in overall survival. Histologically, MASC exhibits broad, pushing borders with focal invasion. The main growth patterns include papillary-cystic, microcystic-cribriform, solid, and thyroid follicular-like structures. The tumor cells have low-grade nuclear features, appear as vacuolated non-specific glandular epithelial cells, lack basophilic zymogen granules, and intraluminal bubbly secretions are visible.

It is noteworthy that 20% to 30% of cases previously diagnosed as acinic cell carcinoma were actually MASC. A panel of antibodies can now be used to differentiate these two tumors. A profile of S-100 protein positivity (combined with Mammaglobin and STAT5a positivity) and DOG1 negativity supports a diagnosis of MASC. S-100 protein shows a diffuse strong cytoplasmic/nuclear positive expression pattern in MASC, making it an important tool in the differential diagnosis.

 

III. How Does CD10 Assist in Differentiating Benign from Malignant Biliary Lesions?

 

CD10, a traditional germinal center marker, shows new promise in the diagnosis of biliary epithelial tumors. In normal bile ducts and reactive hyperplastic mucosa, CD10 shows continuous strong positive expression on the luminal surface. As the lesion progresses, this expression pattern changes characteristically: it becomes discontinuous in low-grade biliary dysplasia and adenomas, and turns completely negative in high-grade dysplasia and invasive carcinoma.

This evolution in expression pattern provides an important basis for distinguishing between benign and malignant extrahepatic bile duct lesions. By observing the characteristics of CD10 expression, pathologists can diagnose and grade these lesions more accurately, providing reliable support for clinical treatment decisions.

 

IV. What Breakthroughs Does Calretinin Offer in Diagnosing Neurogenic Tumors?

 

Calretinin, a traditional mesothelial cell marker, has recently made significant progress in the diagnosis of neurogenic tumors. In the normal nasal olfactory neuroepithelium, Calretinin is positively expressed. Studies show that the vast majority of olfactory neuroblastomas (20/21) express Calretinin, making it an important marker for the diagnosis and differential diagnosis of this tumor.

Furthermore, Calretinin has become a new standard diagnostic tool for Hirschsprung's disease. In normal colon tissue, nerve fibers and ganglion cells in the muscularis mucosae or mucosa stain positive for Calretinin. In Hirschsprung's disease, the nerve fibers are completely negative for Calretinin, with only the hypertrophic nerves in the submucosa showing weak positivity.

It is particularly important to note that when Calretinin staining is completely negative, the possibility of immunohistochemical staining failure must be excluded. The immunohistochemical result is considered valid only when the internal control (mast cells in the tissue) is positive or the external control (normal colon tissue) is positive. This quality control requirement ensures diagnostic accuracy.

 

VII. Summary

 

The new applications of traditional pathology antibodies are continuously expanding the boundaries of diagnostic pathology. By deeply understanding the biological characteristics and expression patterns of these markers, pathologists can diagnose and classify diseases more precisely. With ongoing research, it is believed that more classic antibodies will gain new life, providing powerful diagnostic tools for the era of precision medicine. Pathology practitioners should maintain an open and learning attitude, continuously updating their knowledge reserves to fully leverage the value of these precious tools.

 

VIII. Which Companies Supply Pathology Antibodies?

 

Hangzhou Start Biotech Co., Ltd. has independently developed the "S-RMab® MCM2 Recombinant Rabbit Monoclonal Antibody" (Product Code: S0B1019). This is a pathology-grade antibody product characterized by high sensitivity, high specificity, and excellent staining stability. Developed using the proprietary S-RMab® recombinant rabbit monoclonal antibody technology platform and rigorously validated for IHC-P, it holds key application value in pathological diagnosis and research areas such as tumor proliferation index assessment, cancer prognosis judgment, and cell cycle studies.

Core Product Advantages:

·       High Sensitivity and Specificity: Validated across various tissue samples, this product accurately recognizes the MCM2 (Minichromosome Maintenance Protein 2) antigen and demonstrates exceptional staining performance in Formalin-Fixed Paraffin-Embedded (FFPE) samples. Very low non-specific background ensures accurate and reliable pathological interpretation.

·       Excellent Staining Stability and Batch Consistency: Under stringent quality control standards, the product exhibits outstanding staining stability and excellent batch-to-batch consistency. The staining results are clear and reproducible, providing a stable and reliable tool for clinical pathological diagnosis and large-scale research projects.

Suitable for Various Key Application Scenarios: This product is an ideal tool for the following areas:

·       Tumor Proliferative Activity Assessment: Serves as an effective alternative or supplement to Ki-67 for the accurate assessment of the proliferation index in various malignant tumors.

·       Cancer Prognosis and Diagnostic Research: Used to evaluate the correlation between MCM2 expression levels and patient prognosis, providing evidence for cancer diagnosis and risk stratification.

·       Precancerous Lesions and Benign-Malignant Differentiation: Assists in differentiating hyperplastic lesions, precancerous lesions, and malignant tumors.

·       Cell Cycle and Proliferation Mechanism Research: Used in basic research to explore the regulation of cell proliferation and related signaling pathways.

Professional Technical Support: We provide detailed product technical documentation, including complete IHC-P experimental procedures, optimized antigen retrieval protocols, and interpretation standards, fully committed to assisting customers in achieving accurate and reliable results in tumor pathology research and diagnosis.

Hangzhou Start Biotech Co., Ltd. is consistently dedicated to providing high-quality, high-value biological reagents and solutions for global innovative pharmaceutical companies and research institutions. For more details about the "S-RMab® MCM2 Recombinant Rabbit Monoclonal Antibody" (Product Code S0B1019) or to request a sample test, please feel free to contact us.

Product Information

S0B2102

S-RMab® GLUT1 Recombinant Rabbit mAb (SDT-047-53)

Host : Rabbit

S0B2098

S-RMab® Keratin 10 Recombinant Rabbit mAb (SDT-R067)

Host : Rabbit

S0B2057

S-RMab® Cytokeratin 7 Recombinant Rabbit mAb (SDT-121-17)

Host : Rabbit

S0B2031

S-RMab® S100P Recombinant Rabbit mAb (SDT-070-44)

Host : Rabbit

Conjugation : Unconjugated

S0B1019

S-RMab® MCM2 Recombinant Rabbit mAb (SDT-018-68)

Host : Rabbit

Conjugation : Unconjugated