Skip to product information
1 of 16

Myosin-11/SMMHC Recombinant Rabbit mAb (SDT-188-112)

Myosin-11/SMMHC Recombinant Rabbit mAb (SDT-188-112)

Catalog Number: S0B2173 Application: WB,IHC-P,IF Reactivity: Human,Mouse,Rat Conjugation: Unconjugated Brand: Starter
Price:
Regular price $100 USD
Regular price Sale price $100 USD
Size:
For shipping services or bulk orders, you may request a quotation.
Secure checkout with
View full details

Product Details

Product Specification


Host Rabbit
Antigen Myosin-11/SMMHC
Synonyms smooth muscle myosin heavy chain, HSM-V, SMMS-1, SM-MYOSIN-H, Myosin heavy chain 11, MYH11
Immunogen Synthetic Peptide
Location Melanosome
Accession P35749
Clone Number SDT-188-112
Antibody Type Recombinant mAb
Application WB, IHC-P, IF
Reactivity Hu, Ms, Rt
Predicted Reactivity Rb
Purification Protein A
Concentration 0.25 mg/ml
Physical Appearance Liquid
Storage Buffer PBS, 40% Glycerol, 0.05% BSA, 0.03% Proclin 300
Stability & Storage 12 months from date of receipt / reconstitution, -20 °C as supplied

Dilution


application dilution species
WB 1:1000-1:25000
IHC-P 1:1000
IF 1:125

Background

SMMHC is a structural component of the smooth muscle myosin molecule and is a specific marker of “terminal” smooth muscle differentiation [PMID: 10721417, PMID: 3882826]. SMMHC is composed of at least two isoforms: SM1 (204 kDa) and SM2 (200 kDa), both of which are encoded by a single gene [PMID: 9702855, PMID: 10998642]. The SM1 isoform is expressed in the MEC of normal mammary glands, fibrocystic diseases, and in myoepithelial derived tumours of the breast [PMID: 11493962, PMID: 9702855]. Furthermore, studies have documented that antibodies to SMMHC and calponin, both markers of terminal smooth muscle differentiation, are more specific for breast MEC than are other more commonly used antibodies, such as those that recognise SMA [PMID: 11493962].

Picture

Western Blot

WB result of Myosin-11 Rabbit mAb Primary antibody: Myosin-11 Rabbit mAb at 1/25000 dilution Lane 1: mouse skeletal muscle lysate 5 µg Lane 2: mouse bladder lysate 5 µg Negative control: mouse skeletal muscle lysate Secondary antibody: Goat Anti-Rabbit IgG, (H+L), HRP conjugated at 1/10000 dilution Predicted MW: 227kDa Observed MW: 250kDa Exposure time: 30s
WB result of Myosin-11 Rabbit mAb Primary antibody: Myosin-11 Rabbit mAb at 1/1000 dilution Lane 1: mouse skeletal muscle lysate 20 µg Lane 2: mouse prostate lysate 20 µg Negative control: mouse skeletal muscle lysate Secondary antibody: Goat Anti-Rabbit IgG, (H+L), HRP conjugated at 1/10000 dilution Predicted MW: 227kDa Observed MW: 250kDa Exposure time: 60s
WB result of Myosin-11 Rabbit mAb Primary antibody: Myosin-11 Rabbit mAb at 1/25000 dilution Lane 1: rat skeletal muscle lysate 5 µg Lane 2: rat bladder lysate 5 µg Negative control: rat skeletal muscle lysate Secondary antibody: Goat Anti-Rabbit IgG, (H+L), HRP conjugated at 1/10000 dilution Predicted MW: 227kDa Observed MW: 250kDa Exposure time: 30s

Immunohistochemistry

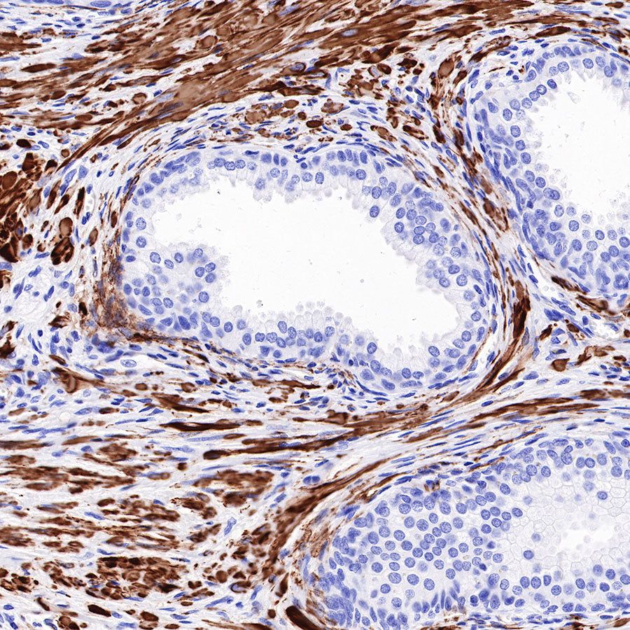
IHC shows positive staining in paraffin-embedded human breast. Anti-Myosin-11 antibody was used at 1/1000 dilution, followed by a HRP Polymer for Mouse & Rabbit IgG (ready to use). Counterstained with hematoxylin. Heat mediated antigen retrieval with Tris/EDTA buffer pH9.0 was performed before commencing with IHC staining protocol.
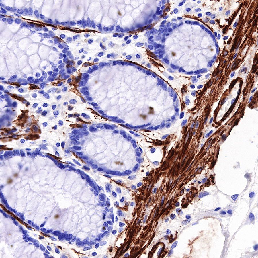
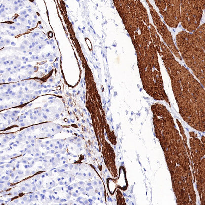
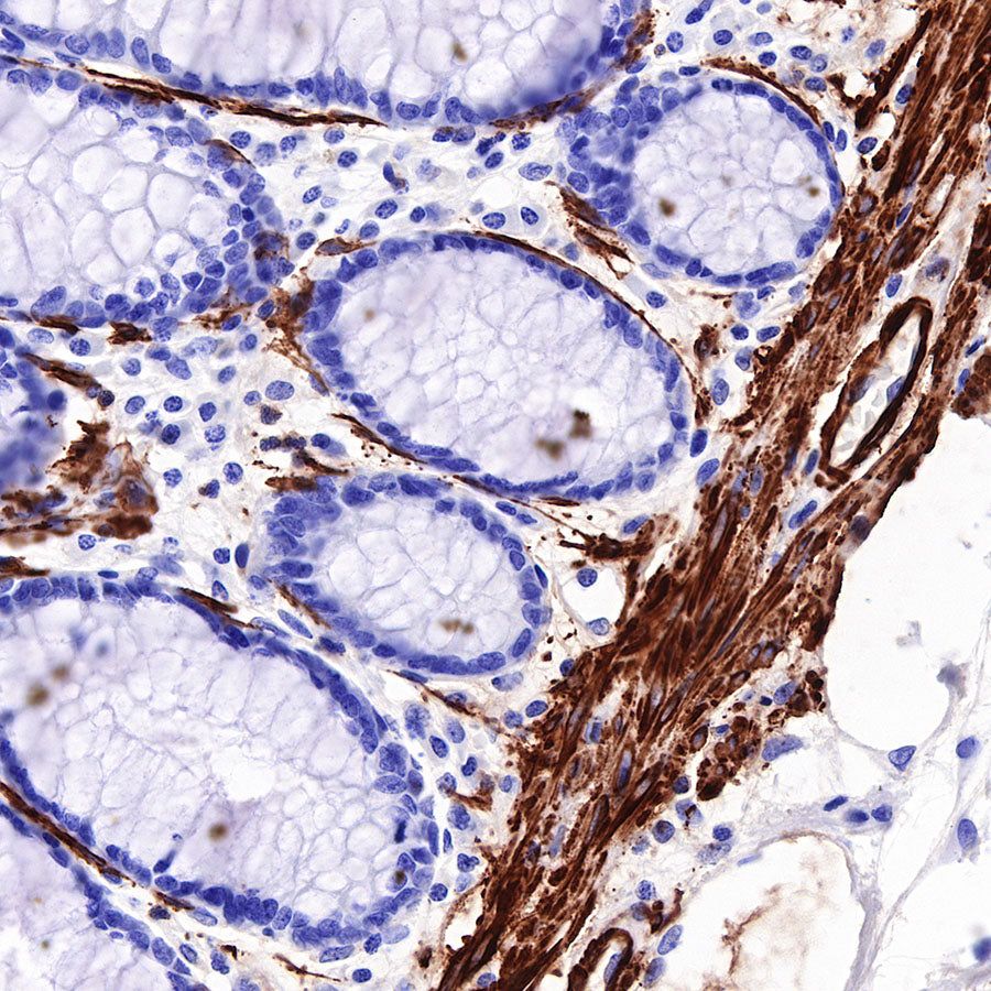
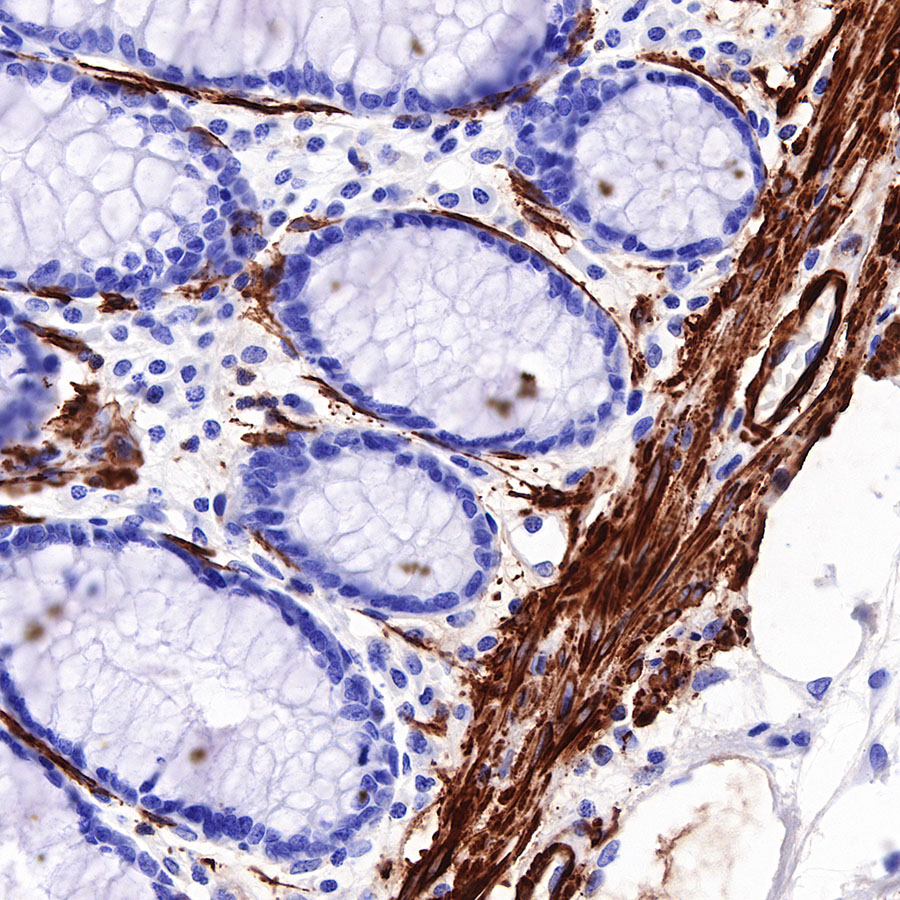
IHC shows positive staining in paraffin-embedded human colon. Anti-Myosin-11 antibody was used at 1/1000 dilution, followed by a HRP Polymer for Mouse & Rabbit IgG (ready to use). Counterstained with hematoxylin. Heat mediated antigen retrieval with Tris/EDTA buffer pH9.0 was performed before commencing with IHC staining protocol.
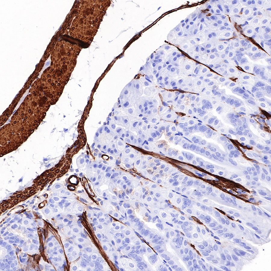
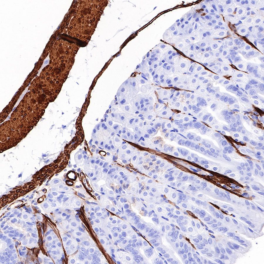
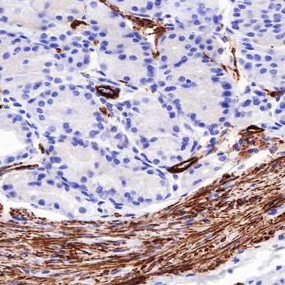
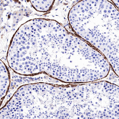
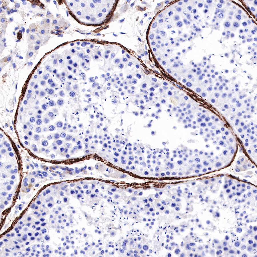
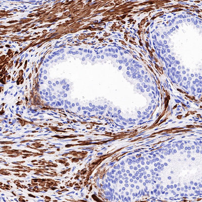
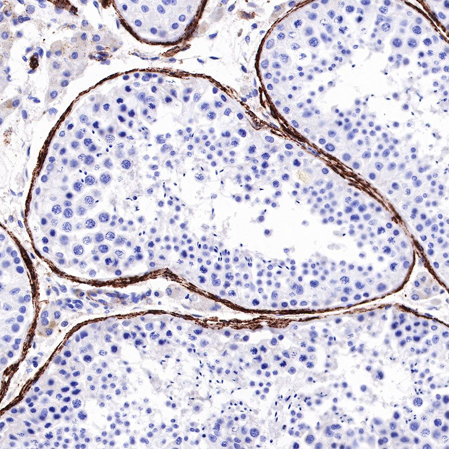
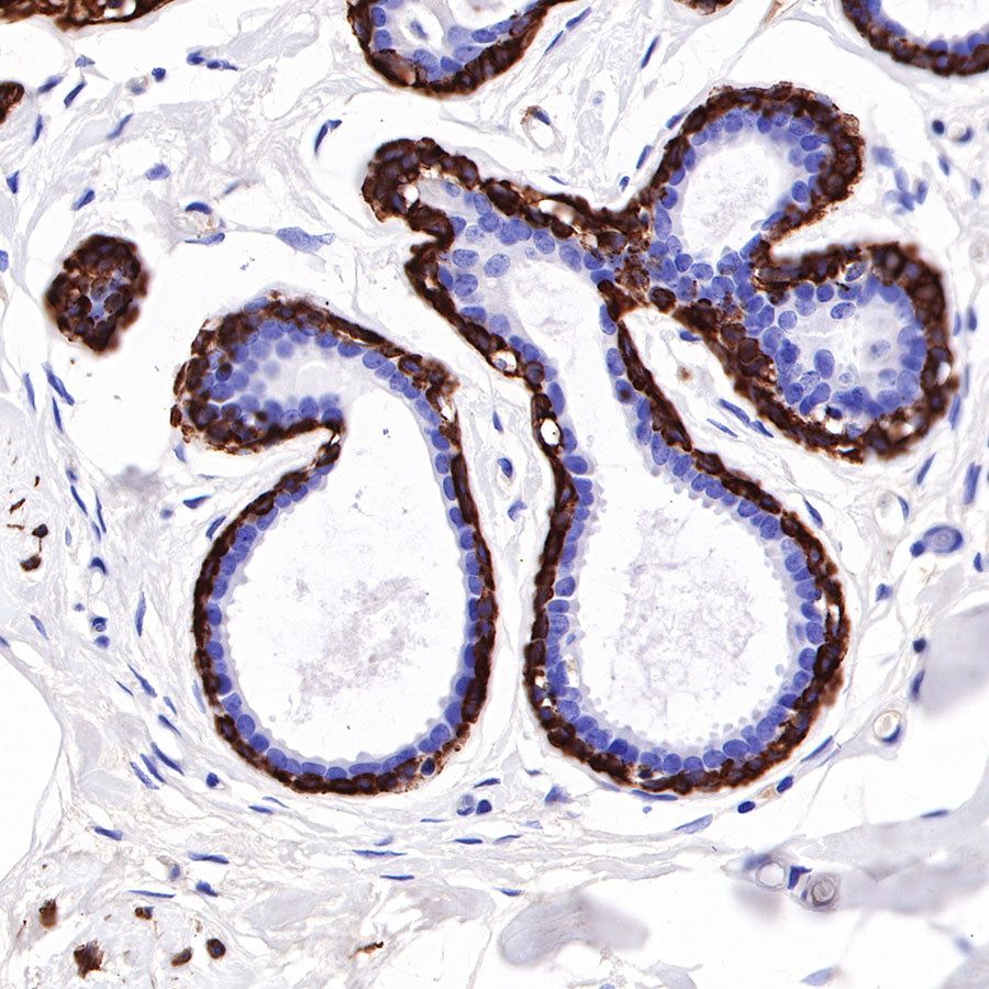
IHC shows positive staining in paraffin-embedded human prostate. Anti-Myosin-11 antibody was used at 1/1000 dilution, followed by a HRP Polymer for Mouse & Rabbit IgG (ready to use). Counterstained with hematoxylin. Heat mediated antigen retrieval with Tris/EDTA buffer pH9.0 was performed before commencing with IHC staining protocol.
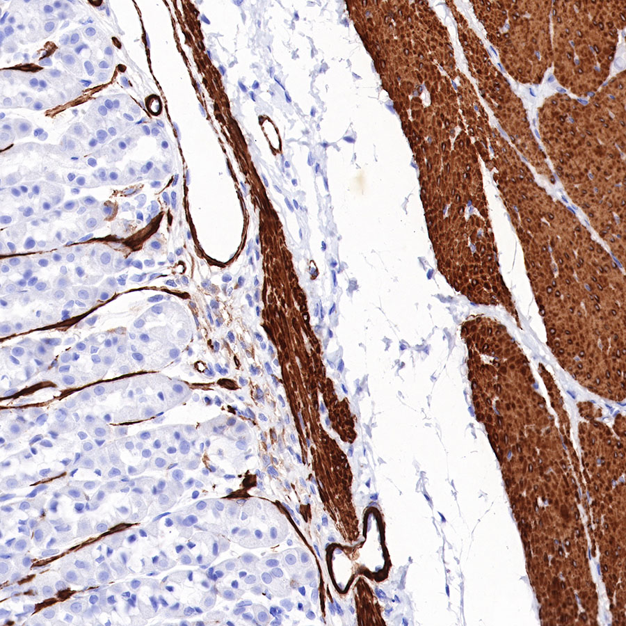
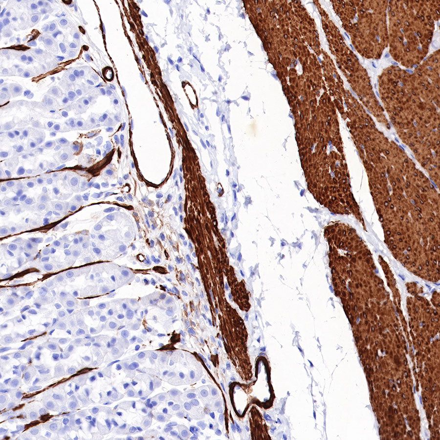
IHC shows positive staining in paraffin-embedded human stomach. Anti-Myosin-11 antibody was used at 1/1000 dilution, followed by a HRP Polymer for Mouse & Rabbit IgG (ready to use). Counterstained with hematoxylin. Heat mediated antigen retrieval with Tris/EDTA buffer pH9.0 was performed before commencing with IHC staining protocol.
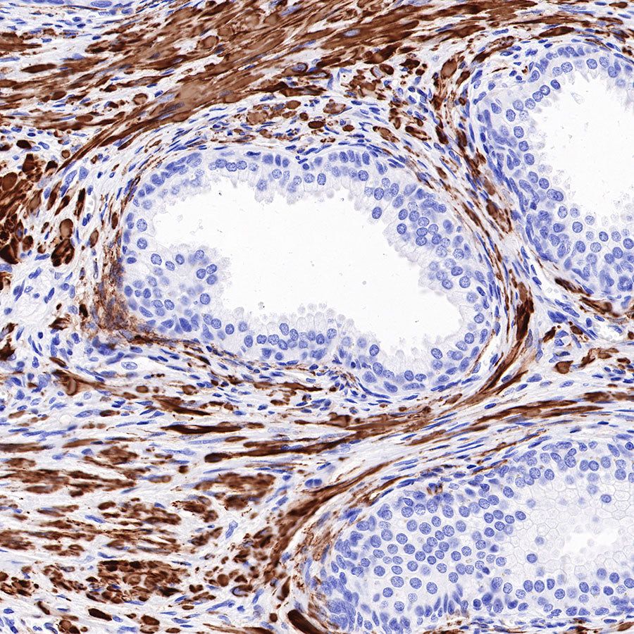
IHC shows positive staining in paraffin-embedded human testis. Anti-Myosin-11 antibody was used at 1/1000 dilution, followed by a HRP Polymer for Mouse & Rabbit IgG (ready to use). Counterstained with hematoxylin. Heat mediated antigen retrieval with Tris/EDTA buffer pH9.0 was performed before commencing with IHC staining protocol.
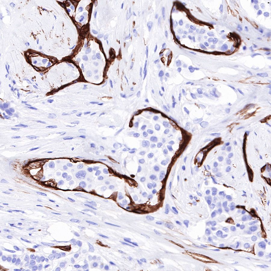
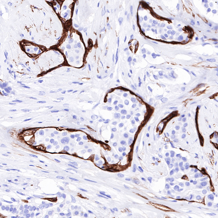
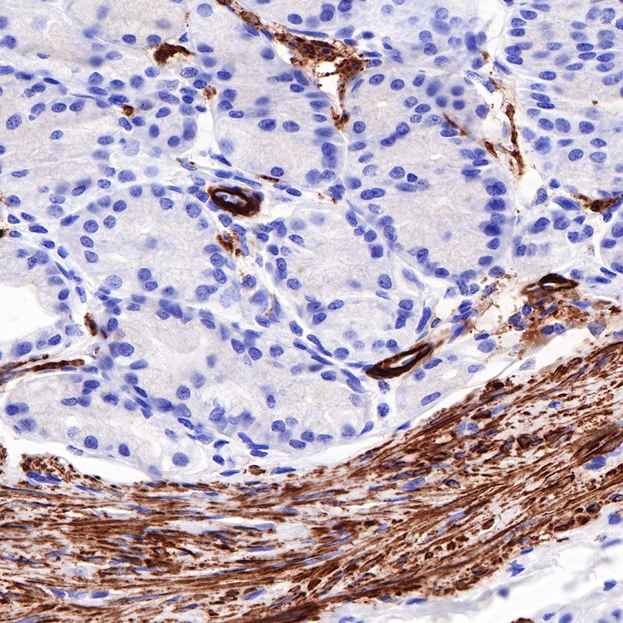
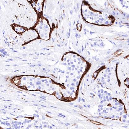
IHC shows positive staining in paraffin-embedded human breast cancer. Anti-Myosin-11 antibody was used at 1/1000 dilution, followed by a HRP Polymer for Mouse & Rabbit IgG (ready to use). Counterstained with hematoxylin. Heat mediated antigen retrieval with Tris/EDTA buffer pH9.0 was performed before commencing with IHC staining protocol.
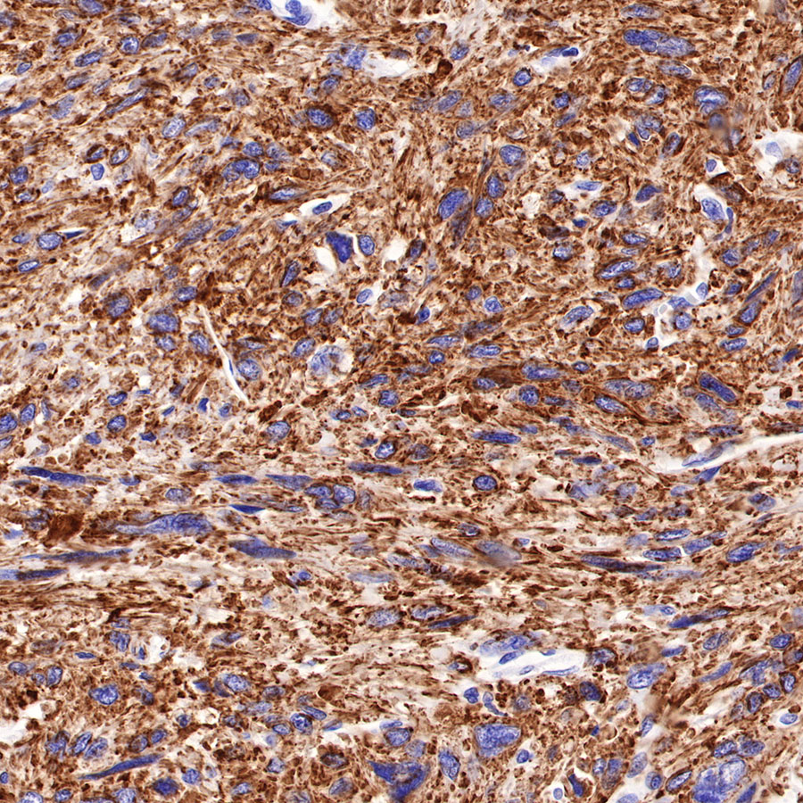
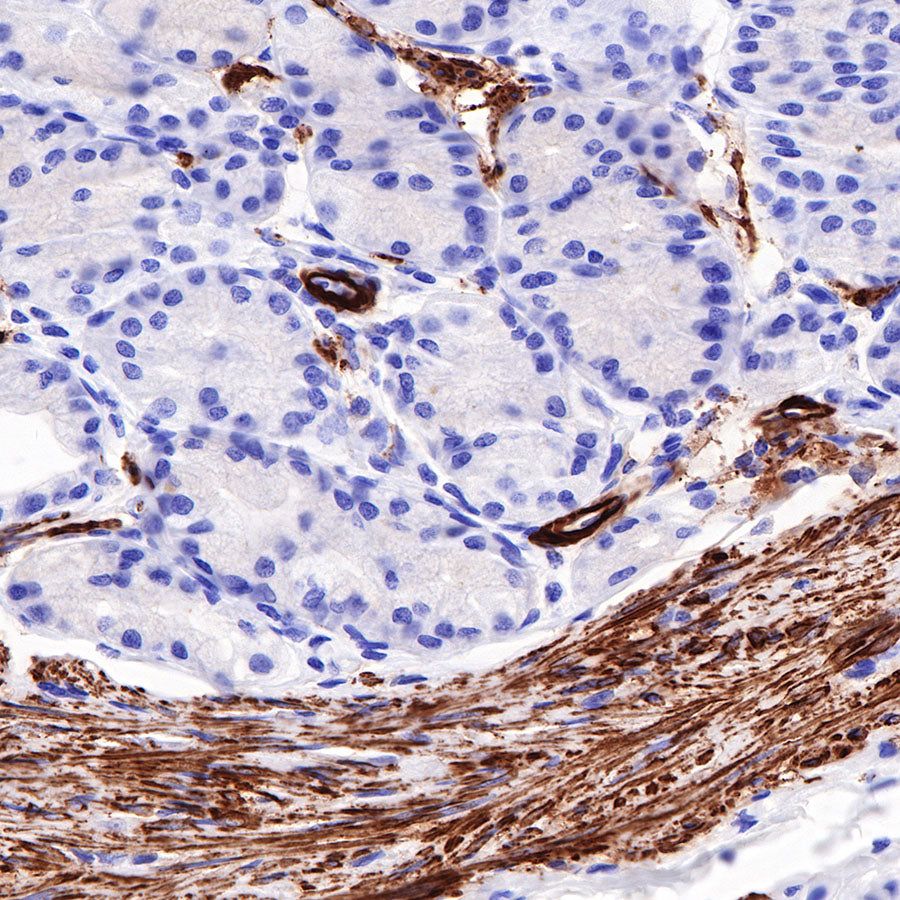
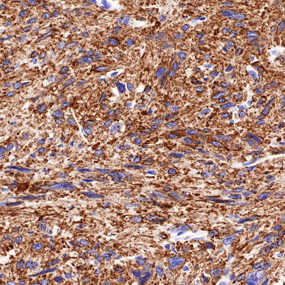
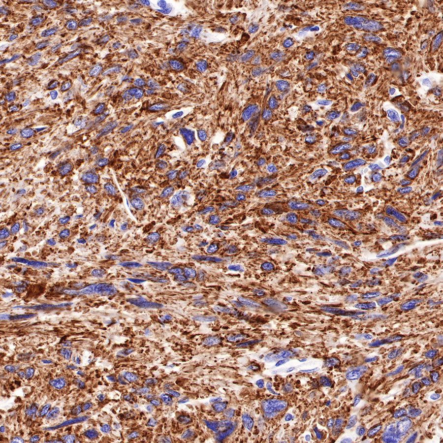
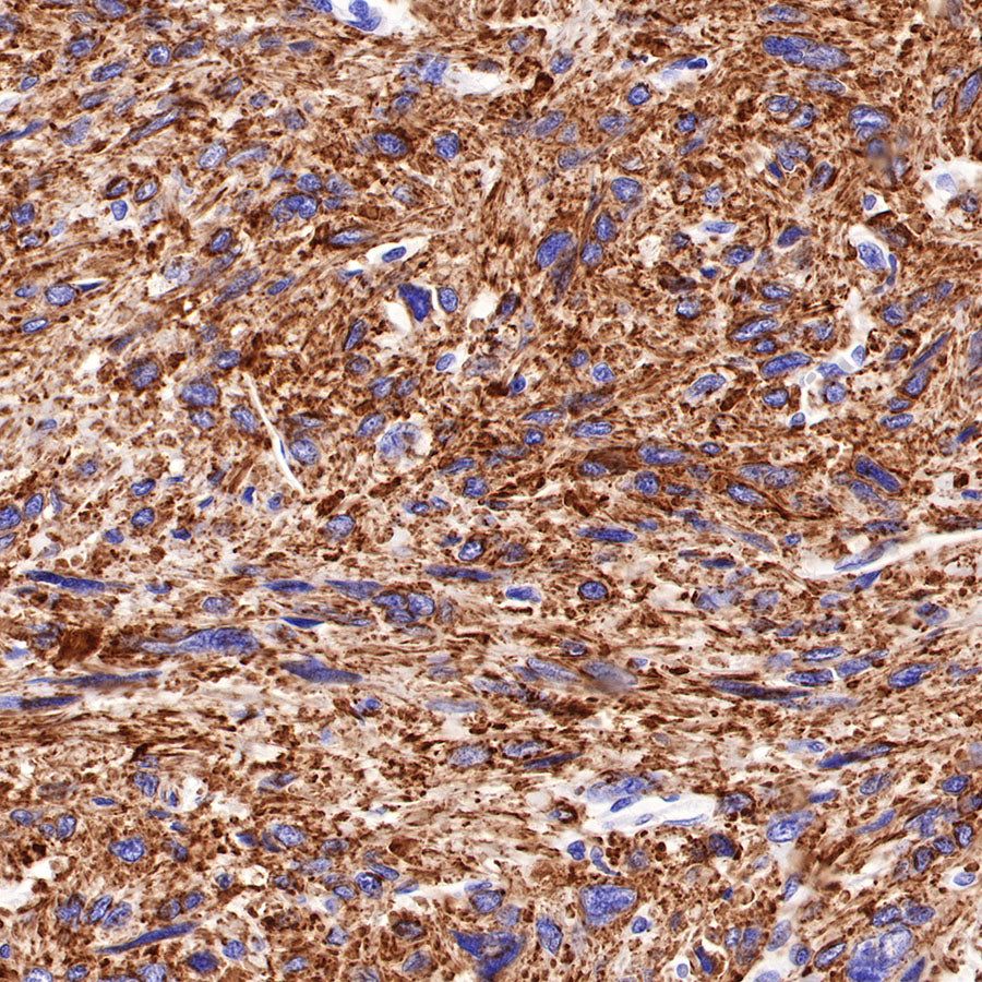
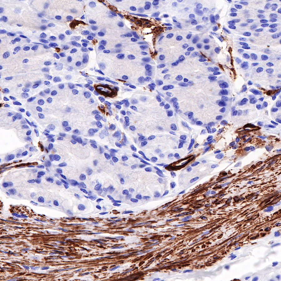
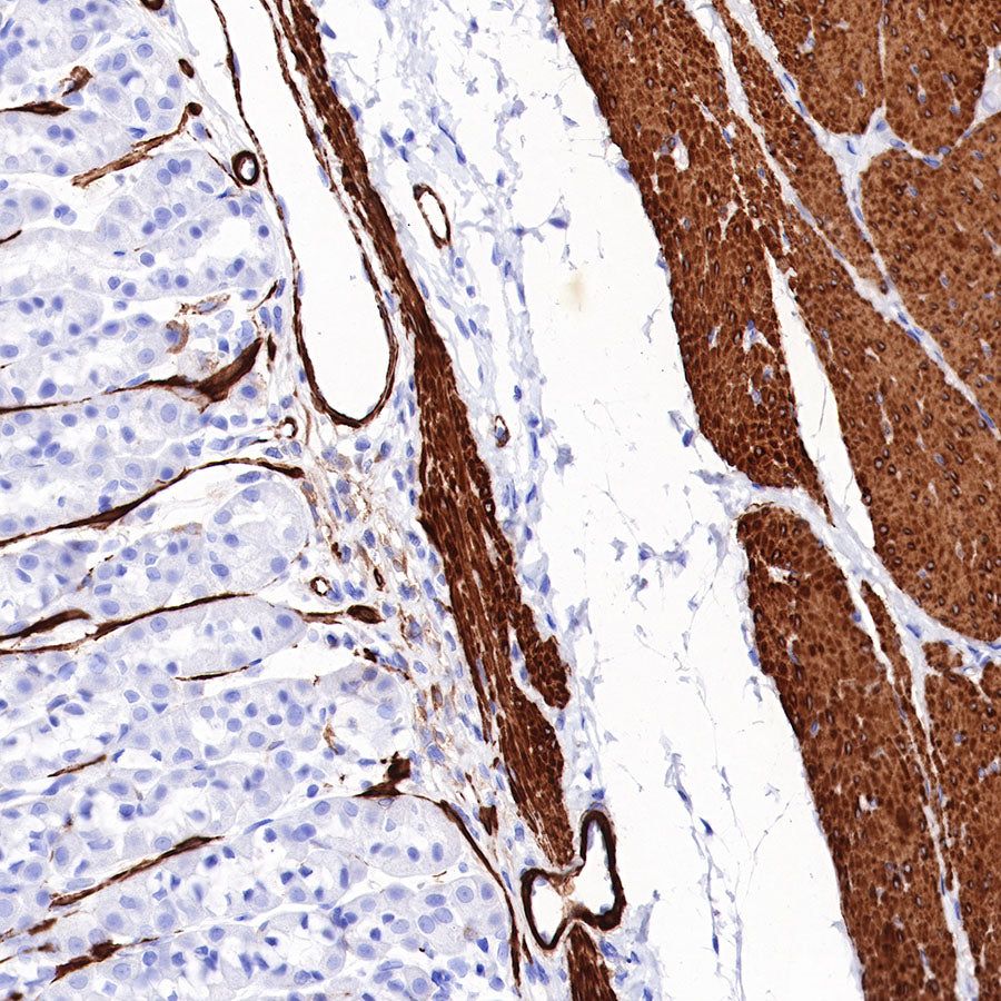
IHC shows positive staining in paraffin-embedded human leiomyosarcoma. Anti-Myosin-11 antibody was used at 1/1000 dilution, followed by a HRP Polymer for Mouse & Rabbit IgG (ready to use). Counterstained with hematoxylin. Heat mediated antigen retrieval with Tris/EDTA buffer pH9.0 was performed before commencing with IHC staining protocol.
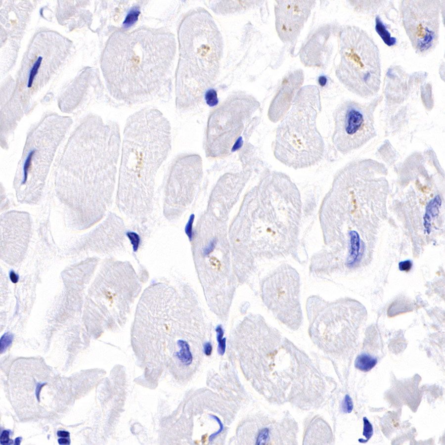
Negative control: IHC shows negative staining in paraffin-embedded human cardiac muscle. Anti-Myosin-11 antibody was used at 1/1000 dilution, followed by a HRP Polymer for Mouse & Rabbit IgG (ready to use). Counterstained with hematoxylin. Heat mediated antigen retrieval with Tris/EDTA buffer pH9.0 was performed before commencing with IHC staining protocol.
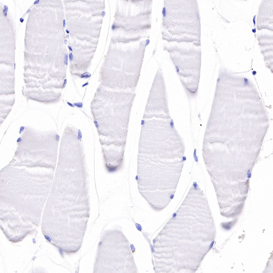
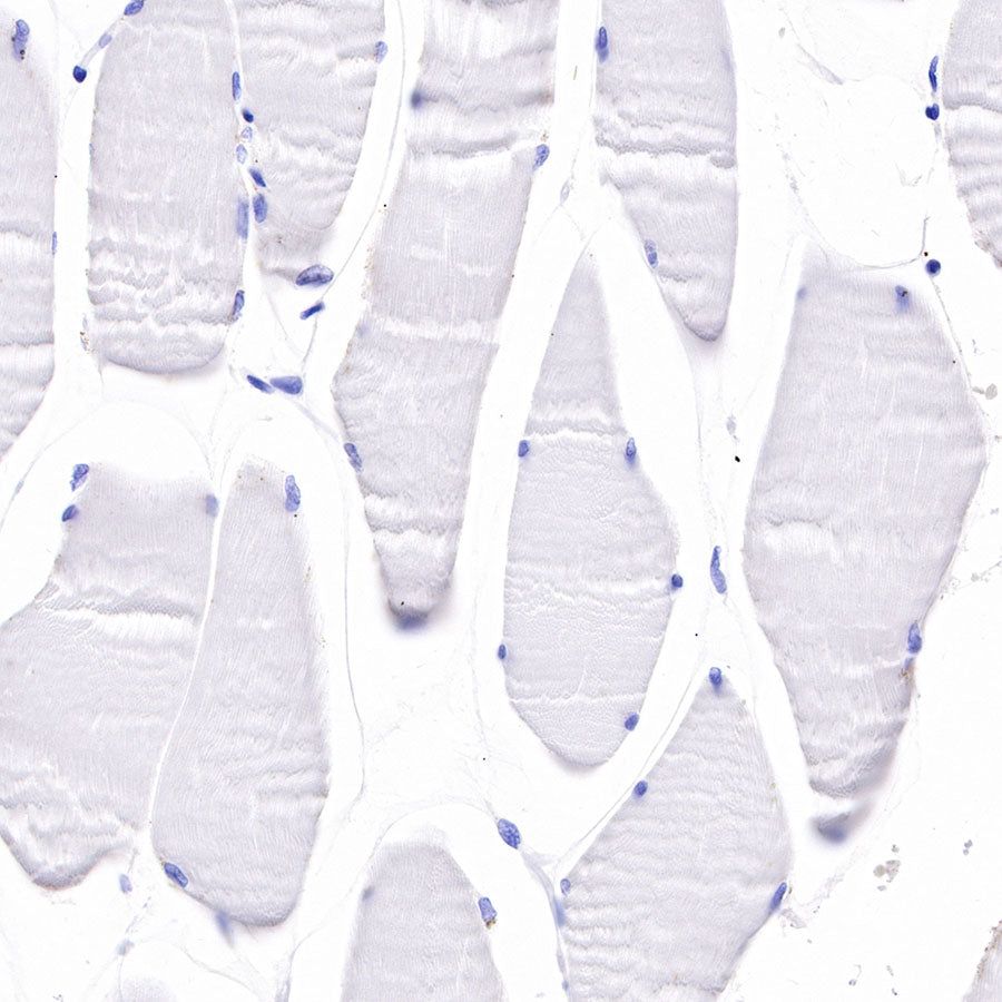
Negative control: IHC shows negative staining in paraffin-embedded human skeletal muscle. Anti-Myosin-11 antibody was used at 1/1000 dilution, followed by a HRP Polymer for Mouse & Rabbit IgG (ready to use). Counterstained with hematoxylin. Heat mediated antigen retrieval with Tris/EDTA buffer pH9.0 was performed before commencing with IHC staining protocol.
IHC shows positive staining in paraffin-embedded mouse stomach. Anti-Myosin-11 antibody was used at 1/1000 dilution, followed by a HRP Polymer for Mouse & Rabbit IgG (ready to use). Counterstained with hematoxylin. Heat mediated antigen retrieval with Tris/EDTA buffer pH9.0 was performed before commencing with IHC staining protocol.
IHC shows positive staining in paraffin-embedded rat stomach. Anti-Myosin-11 antibody was used at 1/1000 dilution, followed by a HRP Polymer for Mouse & Rabbit IgG (ready to use). Counterstained with hematoxylin. Heat mediated antigen retrieval with Tris/EDTA buffer pH9.0 was performed before commencing with IHC staining protocol.
IF shows positive staining in paraffin-embedded human colon. Anti-Myosin-11 antibody was used at 1/125 dilution (Green). Goat polyclonal Antibody to Rabbit IgG - H&L (Alexa Fluor® 488) was used as secondary antibody at 1/1000 dilution. Counterstained with DAPI (Blue). Heat mediated antigen retrieval with Tris/EDTA buffer pH9.0 was performed before commencing with IF staining protocol.
IF shows positive staining in paraffin-embedded mouse colon. Anti-Myosin-11 antibody was used at 1/125 dilution (Green). Goat polyclonal Antibody to Rabbit IgG - H&L (Alexa Fluor® 488) was used as secondary antibody at 1/1000 dilution. Counterstained with DAPI (Blue). Heat mediated antigen retrieval with Tris/EDTA buffer pH9.0 was performed before commencing with IF staining protocol.

Customer Reviews

Be the first to write a review
0%
(0)
0%
(0)
0%
(0)
0%
(0)
0%
(0)