Skip to product information
1 of 9

S-RMab® Stat6 Recombinant Rabbit mAb (SDT-337-32)

S-RMab® Stat6 Recombinant Rabbit mAb (SDT-337-32)

Catalog Number: S0B0085 Application: WB,IHC-P,ICC,FCM,IP Reactivity: Human,Mouse Conjugation: Unconjugated Brand: Starter
Price:
Regular price $350 USD
Regular price Sale price $350 USD
Size:
For shipping services or bulk orders, you may request a quotation.
Secure checkout with
View full details

Product Details

Product Specification


Host Rabbit
Antigen Stat6
Synonyms IL-4 Stat, Signal transducer and activator of transcription 6
Immunogen Synthetic Peptide
Location Cytoplasm, Nucleus
Accession P42226
Clone Number SDT-337-32
Antibody Type Recombinant mAb
Application WB, IHC-P, ICC, IP, ICFCM
Reactivity Hu, Ms
Purification Protein A
Concentration 0.5 mg/ml
Physical Appearance Liquid
Storage Buffer

PBS, 40% Glycerol, 0.05% BSA, 0.03% Proclin 300

Stability & Storage

12 months from date of receipt / reconstitution, -20 °C as supplied

Dilution


application dilution species
WB 1:1000
IHC-P 1:500
ICC 1:250
ICFCM 1:500
IP 1:50

Background

Signal Transducer and Activator of Transcription 6 (STAT6), belonging to a family of seven similar members is primarily stimulated by interleukin(IL)-4 and IL-13, and acts as a T helper type 2 (Th2)-inducing factor. Thus, it is implicated in the pathophysiology of various allergic conditions, such as asthma, atopic dermatitis, eosinophilic esophagitis and food allergies, but also in tumor microenvironment regulation. Furthermore, certain forms of lymphomas, notably the Hodgkin lymphoma group, the primary mediastinal and primary central nervous system lymphoma, as well as some follicular and T cell lymphomas are associated with dysregulation of the STAT6 pathway [PMID: 33991851].

Picture

Western Blot

WB result of Stat6 Rabbit mAb Primary antibody: Stat6 Rabbit mAb at 1/1000 dilution Lane 1: HeLa whole cell lysate 20 µg Lane 2: Jurkat whole cell lysate 20 µg Lane 3: NIH/3T3 whole cell lysate 20 µg Secondary antibody: Goat Anti-Rabbit IgG, (H+L), HRP conjugated at 1/10000 dilution Predicted MW: 94kDa Observed MW: 110kDa

FC

Flow cytometric analysis of HeLa cells labelling Stat6 antibody at 1/500 (0.1 μg) dilution/ (red) compared with a Rabbit monoclonal IgG (Black) isotype control and an unlabelled control (cells without incubation with primary antibody and secondary antibody) (Blue). Goat Anti-Rabbit IgG Alexa Fluor® 488 was used as the secondary antibody.

IP

Stat6 Rabbit mAb at 1/50 dilution (1µg) immunoprecipitating Stat6 in 0.4mg HeLa whole cell lysate.
Western blot was performed on the immunoprecipitate using Stat6 Rabbit mAb at 1/1000 dilution.
Secondary antibody (HRP) for IP was used at 1/400 dilution.
Lane 1 : HeLa whole cell lysate 20µg(input)
Lane 2 : Stat6 Rabbit mAb IP in HeLa whole cell lysate
Lane 3 : Rabbit monoclonal IgG IP in HeLa whole cell lysate
Predicted MW: 94 kDa
Observed MW: 110 kDa

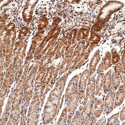
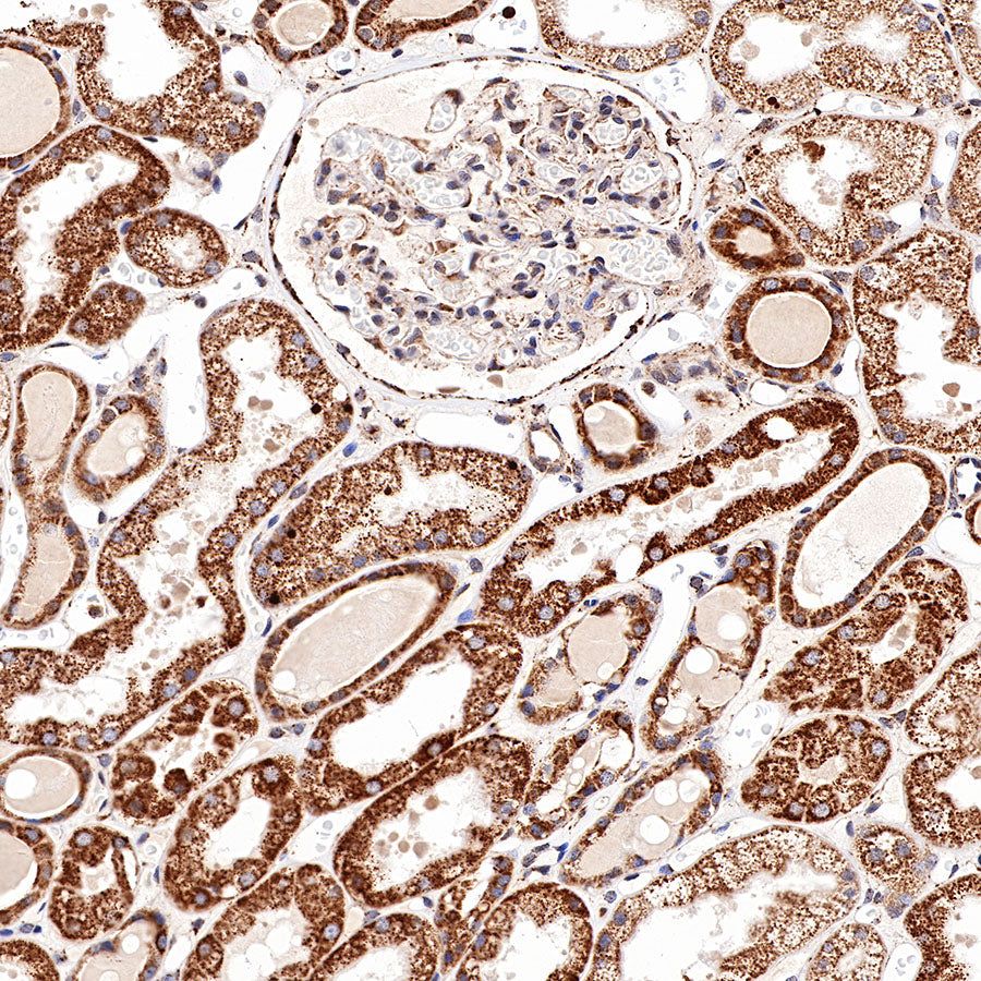
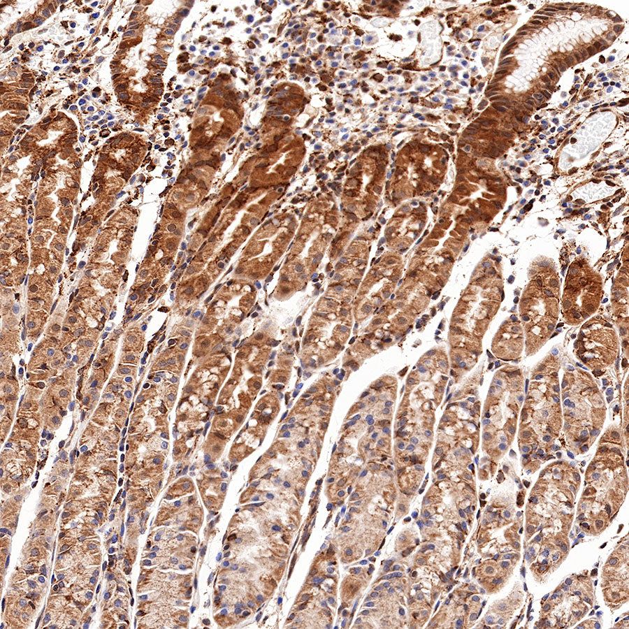
Immunohistochemistry

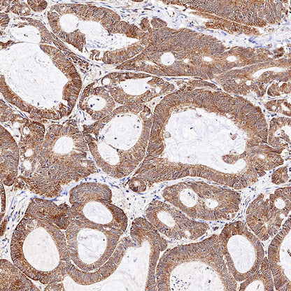
IHC shows positive staining in paraffin-embedded human colon. Anti-Stat6 antibody was used at 1/500 dilution, followed by a HRP Polymer for Mouse & Rabbit IgG (ready to use). Counterstained with hematoxylin. Heat mediated antigen retrieval with Tris/EDTA buffer pH9.0 was performed before commencing with IHC staining protocol.
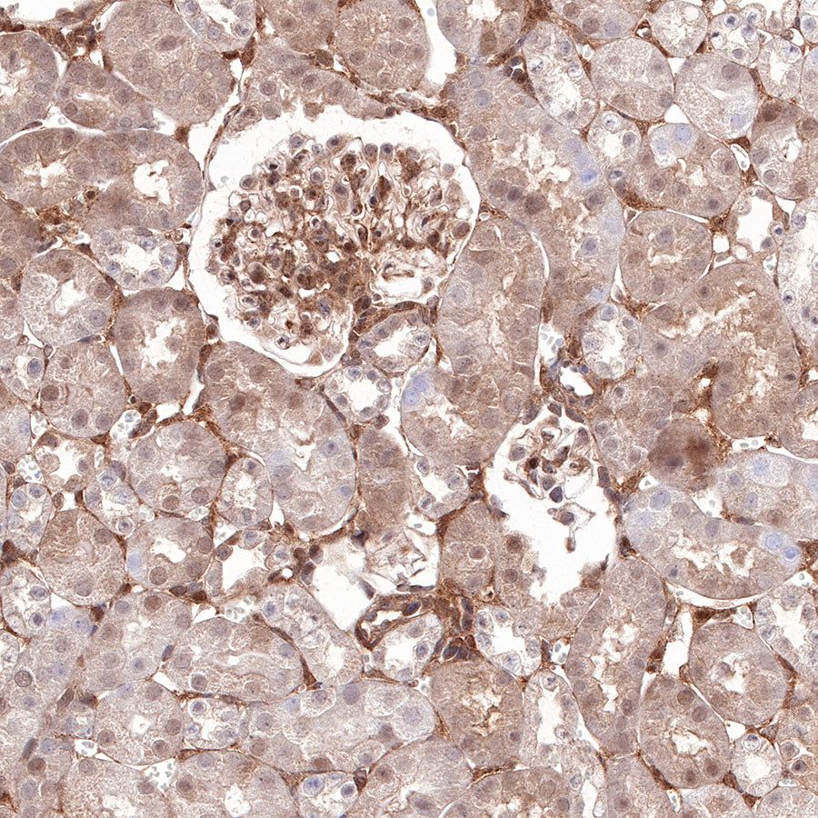
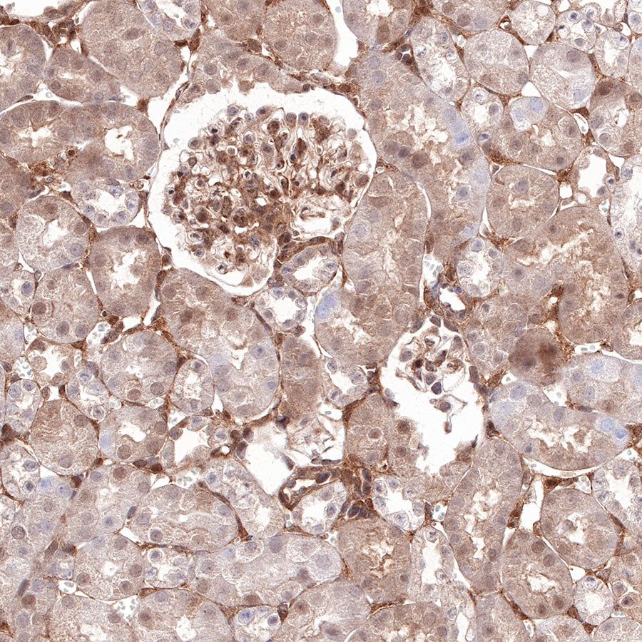
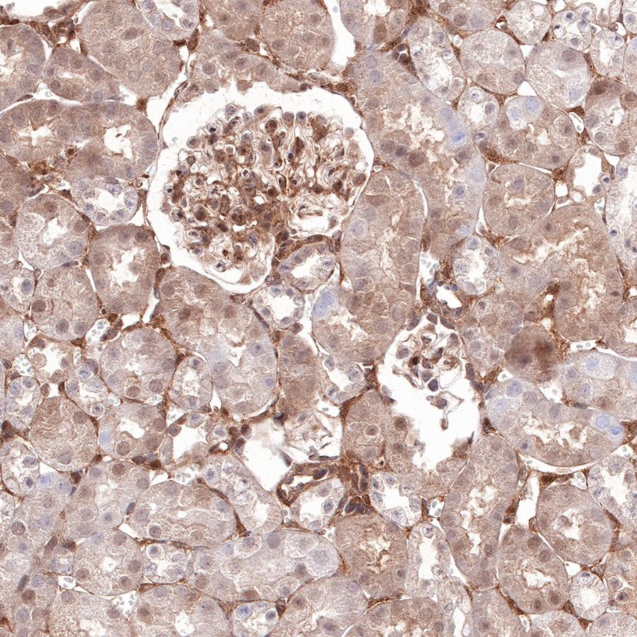
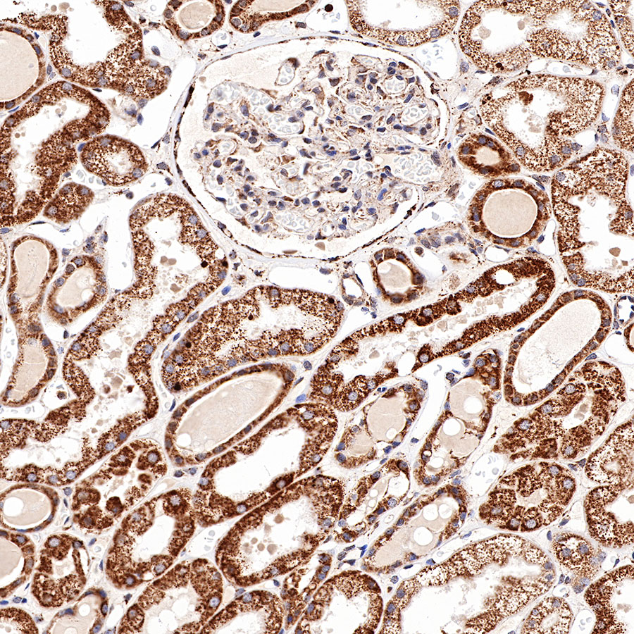
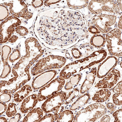
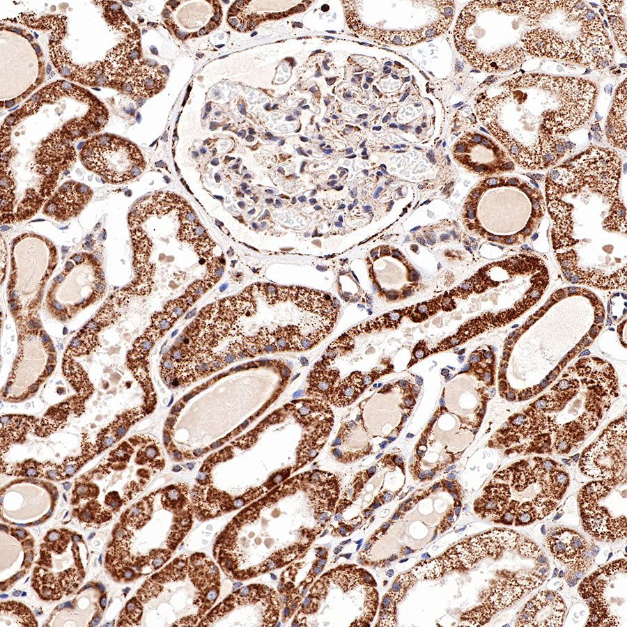
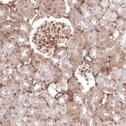
IHC shows positive staining in paraffin-embedded human kidney. Anti-Stat6 antibody was used at 1/500 dilution, followed by a HRP Polymer for Mouse & Rabbit IgG (ready to use). Counterstained with hematoxylin. Heat mediated antigen retrieval with Tris/EDTA buffer pH9.0 was performed before commencing with IHC staining protocol.
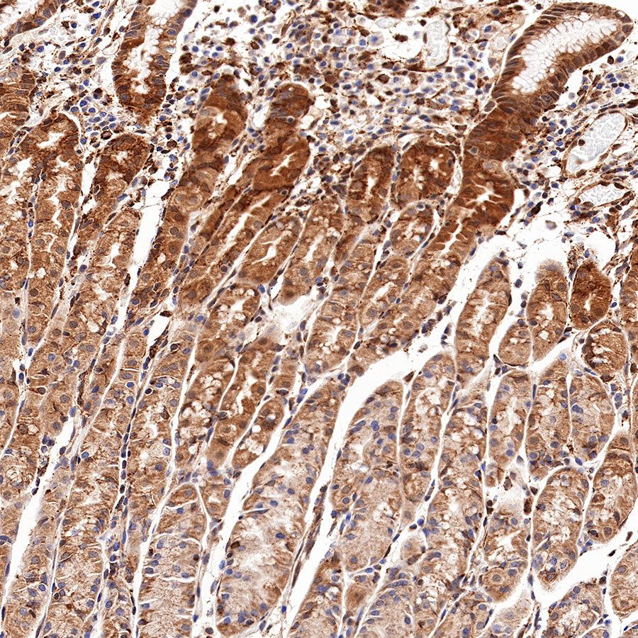
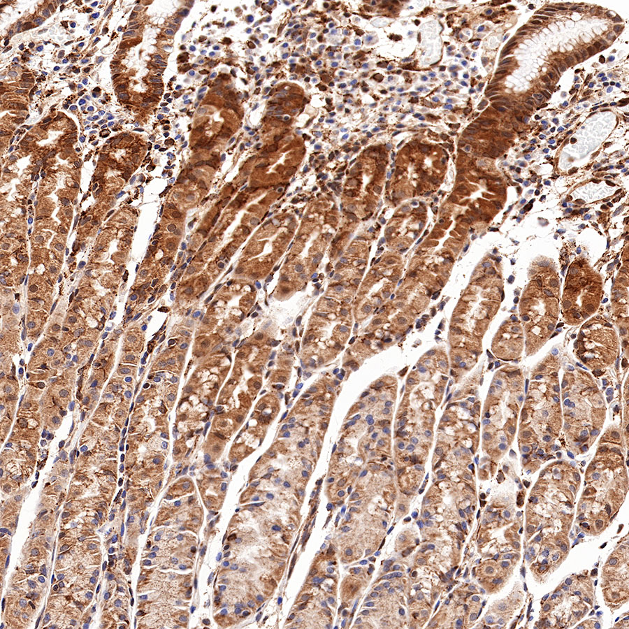
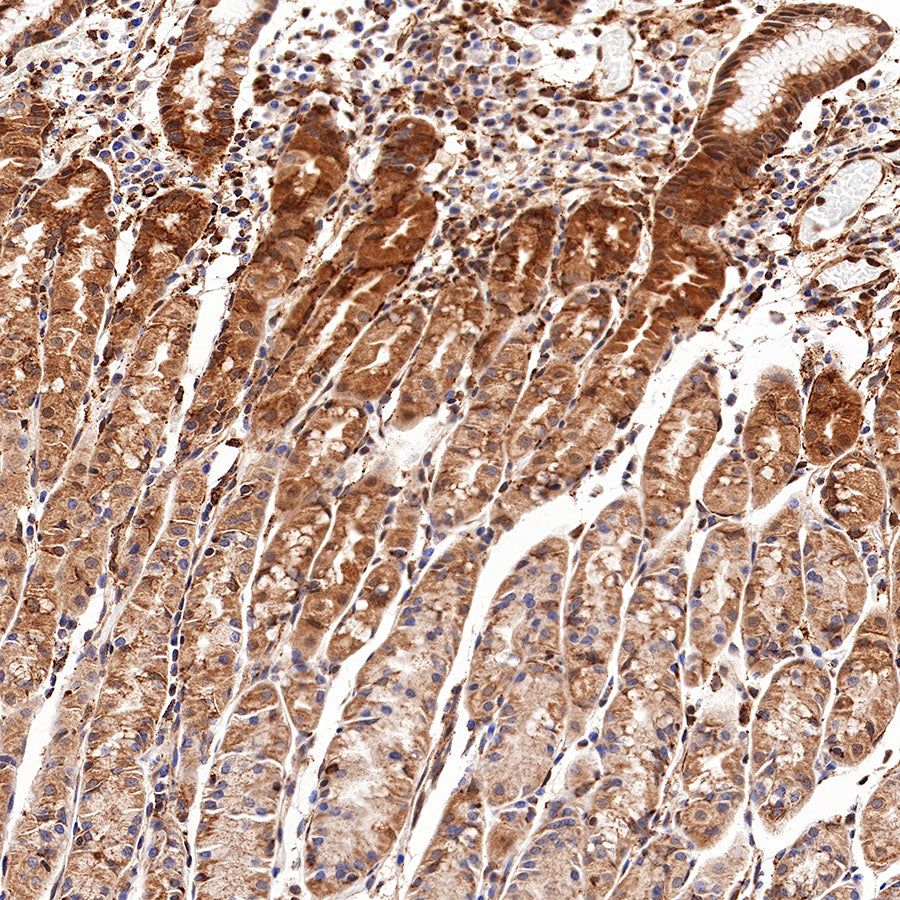
IHC shows positive staining in paraffin-embedded human stomach. Anti-Stat6 antibody was used at 1/500 dilution, followed by a HRP Polymer for Mouse & Rabbit IgG (ready to use). Counterstained with hematoxylin. Heat mediated antigen retrieval with Tris/EDTA buffer pH9.0 was performed before commencing with IHC staining protocol.
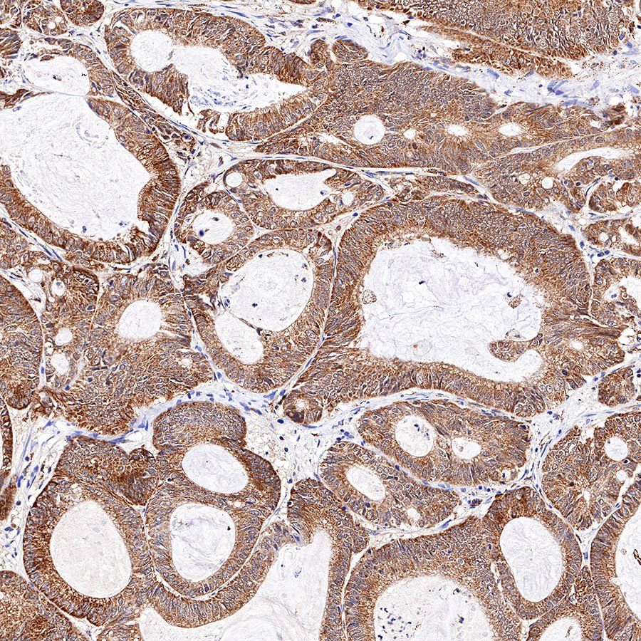
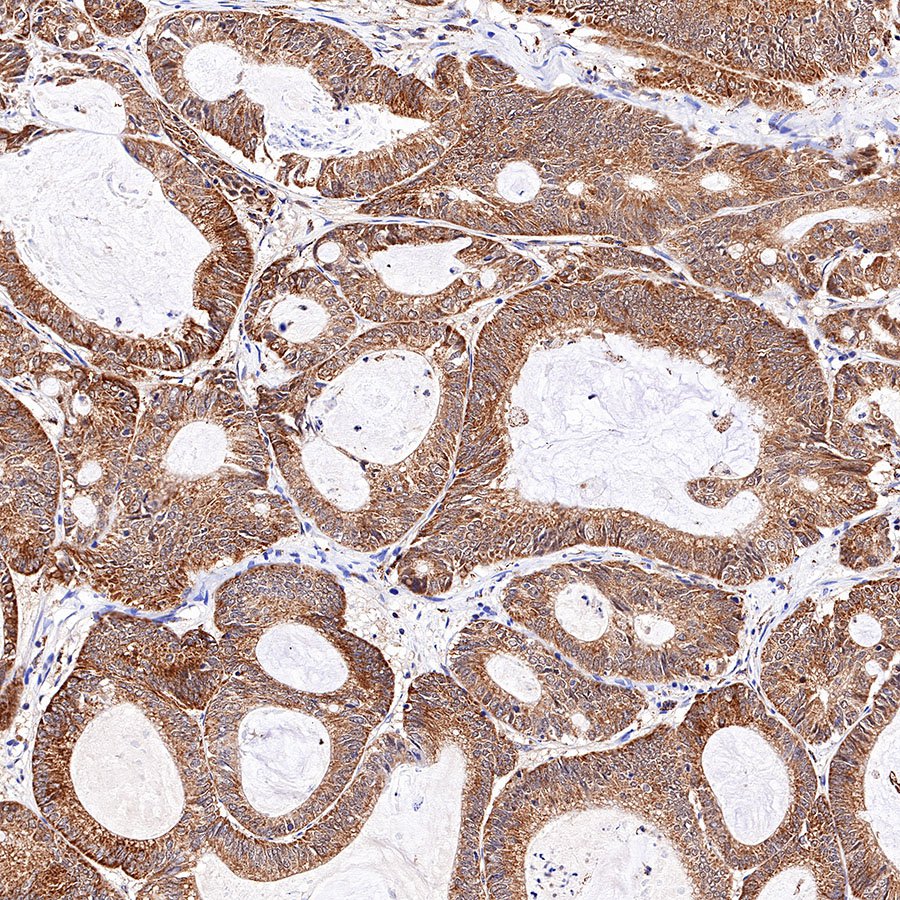
IHC shows positive staining in paraffin-embedded human colon cancer. Anti-Stat6 antibody was used at 1/500 dilution, followed by a HRP Polymer for Mouse & Rabbit IgG (ready to use). Counterstained with hematoxylin. Heat mediated antigen retrieval with Tris/EDTA buffer pH9.0 was performed before commencing with IHC staining protoco
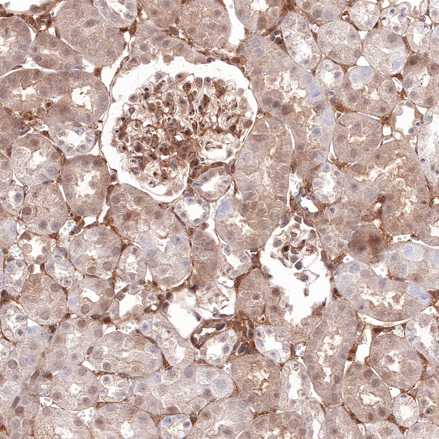
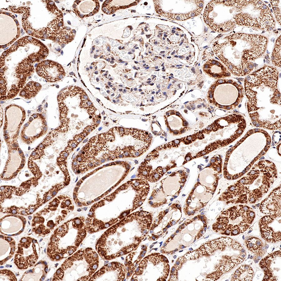
IHC shows positive staining in paraffin-embedded mouse kidney. Anti-Stat6 antibody was used at 1/500 dilution, followed by a HRP Polymer for Mouse & Rabbit IgG (ready to use). Counterstained with hematoxylin. Heat mediated antigen retrieval with Tris/EDTA buffer pH9.0 was performed before commencing with IHC staining protocol.

Immunocytochemistry

ICC shows positive staining in HeLa cells. Anti-Stat6 antibody was used at 1/250 dilution (Green) and incubated overnight at 4°C. Goat polyclonal Antibody to Rabbit IgG - H&L (Alexa Fluor® 488) was used as secondary antibody at 1/1000 dilution. The cells were fixed with 4% PFA and permeabilized with 0.1% PBS-Triton X-100. Nuclei were counterstained with DAPI (Blue).

Customer Reviews

Be the first to write a review
0%
(0)
0%
(0)
0%
(0)
0%
(0)
0%
(0)