Product Details
Product Details
Product Specification
Host | Rabbit |
Antigen | PAPP-A |
Synonyms | Pappalysin-1, IGFBP-4ase |
Immunogen | Recombinant Protein |
Accession | Q13219 |
Clone Number | SDT-226-46 |
Antibody Type | Rabbit mAb |
Reactivity | Hu |
Purification | Protein A |
Concentration | 0.25 mg/ml |
Physical Appearance | Liquid |
Storage Buffer | PBS, 40% Glycerol, 0.05% BSA, 0.03% Proclin 300 |
Stability & Storage | 12 months from date of receipt / reconstitution, -20 °C as supplied |
Dilution
application | dilution | species |
IHC-P | 1:1000 | null |
Background
PAPP-A is a proteolytic enzyme that was discovered to increase local insulin-like growth factor (IGF) availability for receptor activation through cleavage of inhibitory IGF binding proteins (IGFBPs). Reduced IGF signaling has been associated with increased lifespan and healthspan.
Therefore, inhibition of PAPP-A represents a novel approach to indirectly decrease the availability of bioactive IGF [PMID: 28035757IF: 8.0 Q1 ].
Picture
Picture
Immunohistochemistry

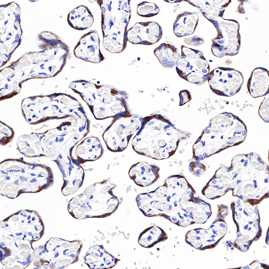
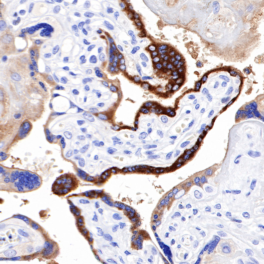
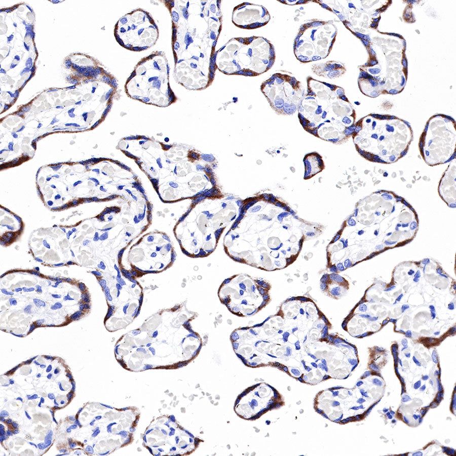
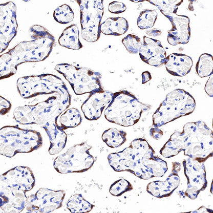
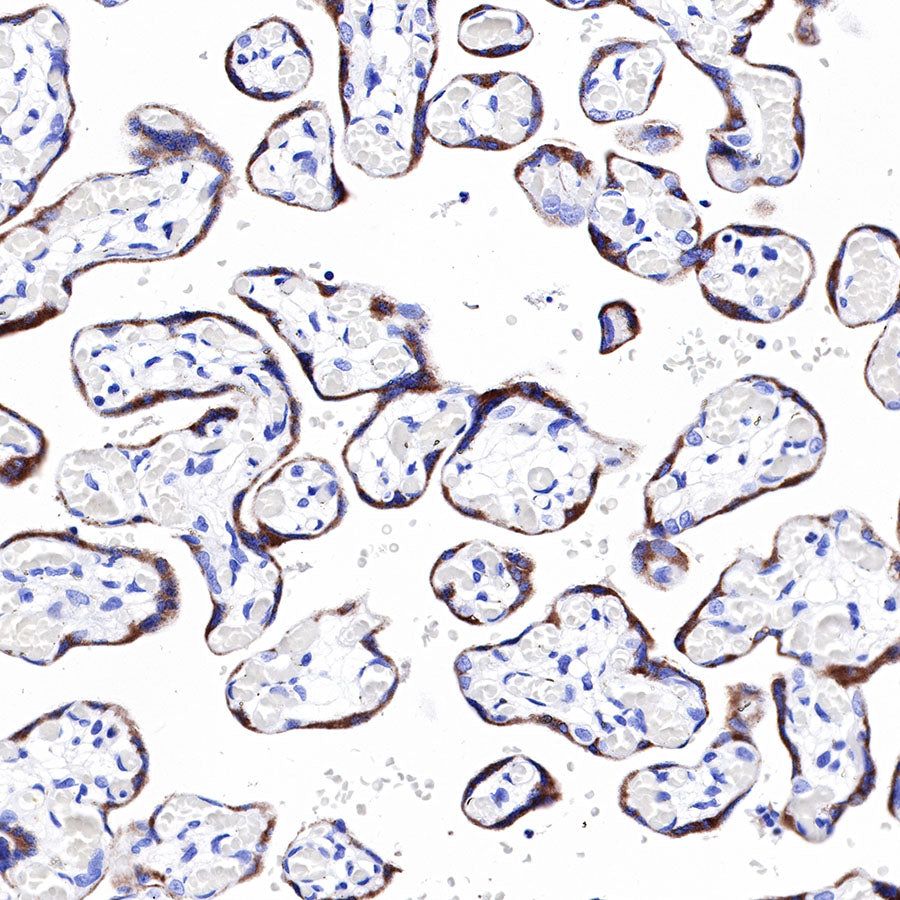
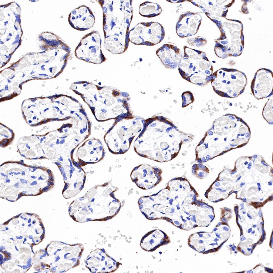
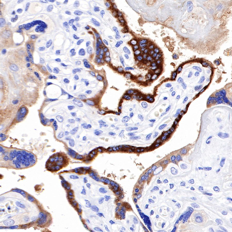
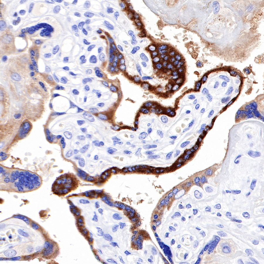
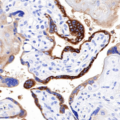
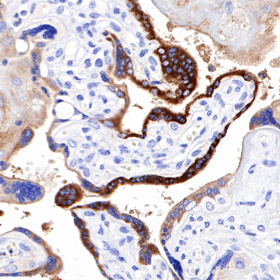
IHC shows positive staining in paraffin-embedded human placenta. Anti-PAPP-A antibody was used at 1/1000 dilution, followed by a HRP Polymer for Mouse & Rabbit IgG (ready to use). Counterstained with hematoxylin. Heat mediated antigen retrieval with Tris/EDTA buffer pH9.0 was performed before commencing with IHC staining protocol.

IHC shows positive staining in paraffin-embedded human placenta. Anti-PAPP-A antibody was used at 1/1000 dilution, followed by a HRP Polymer for Mouse & Rabbit IgG (ready to use). Counterstained with hematoxylin. Heat mediated antigen retrieval with Tris/EDTA buffer pH9.0 was performed before commencing with IHC staining protocol.

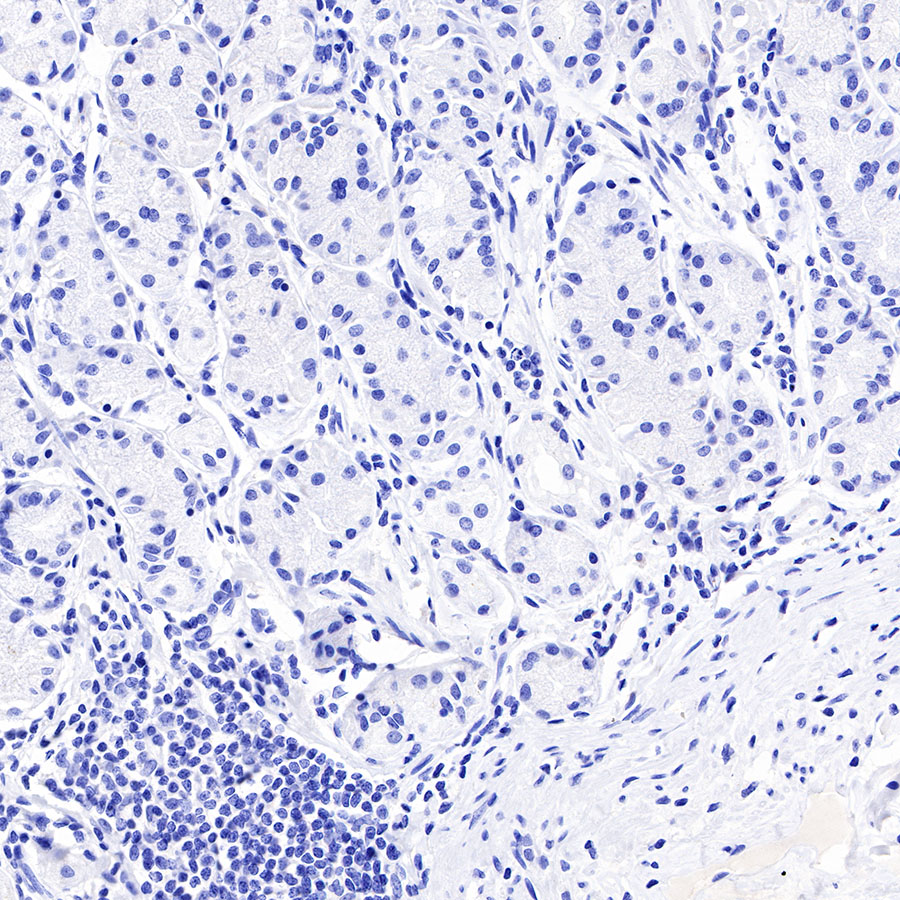
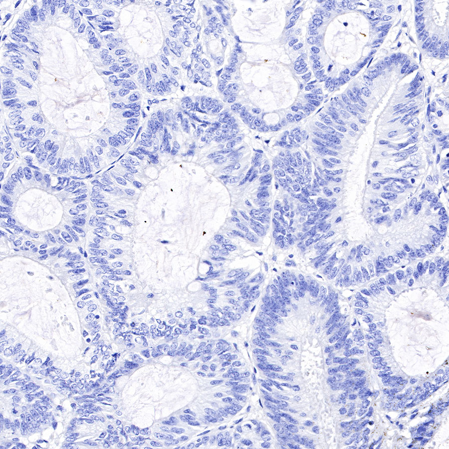
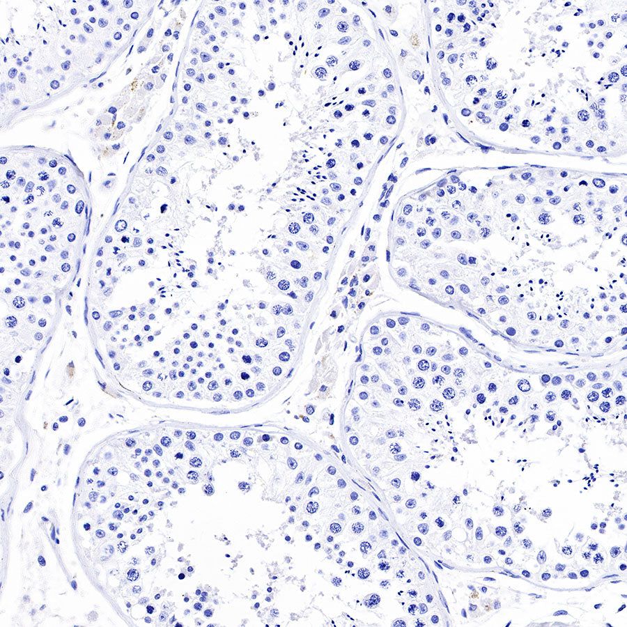
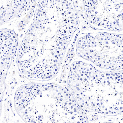
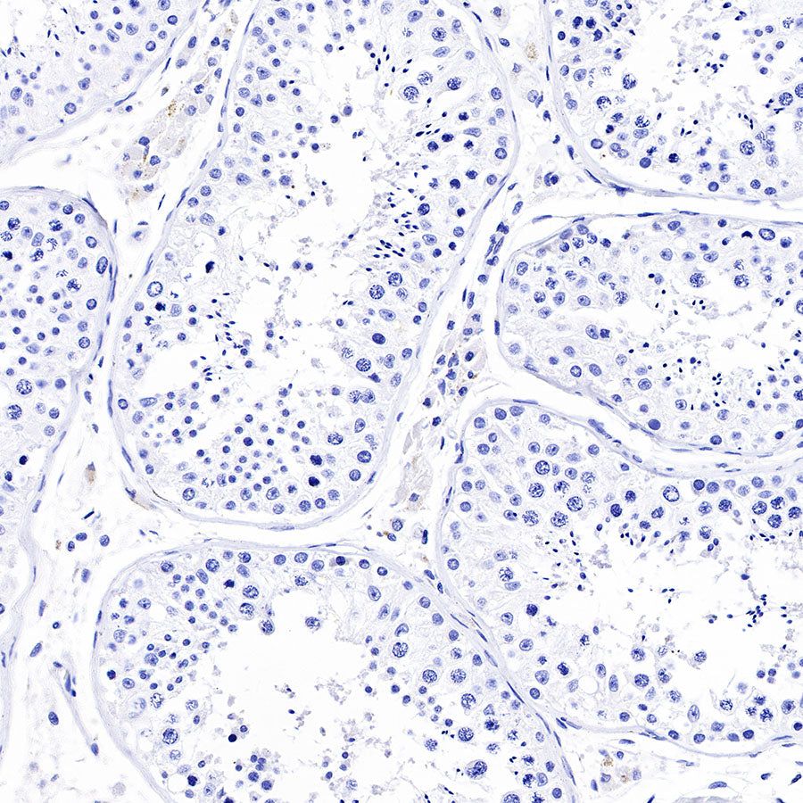
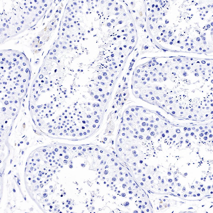
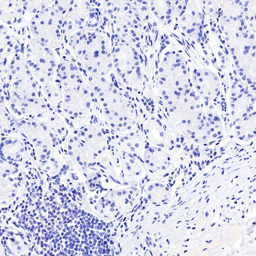
Negative control: IHC shows negative staining in paraffin-embedded human testis. Anti-PAPP-A antibody was used at 1/1000 dilution, followed by a HRP Polymer for Mouse & Rabbit IgG (ready to use). Counterstained with hematoxylin. Heat mediated antigen retrieval with Tris/EDTA buffer pH9.0 was performed before commencing with IHC staining protocol.

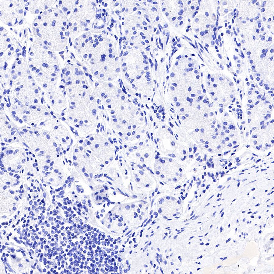
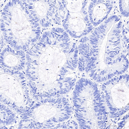
Negative control: IHC shows negative staining in paraffin-embedded human stomach. Anti-PAPP-A antibody was used at 1/1000 dilution, followed by a HRP Polymer for Mouse & Rabbit IgG (ready to use). Counterstained with hematoxylin. Heat mediated antigen retrieval with Tris/EDTA buffer pH9.0 was performed before commencing with IHC staining protocol.

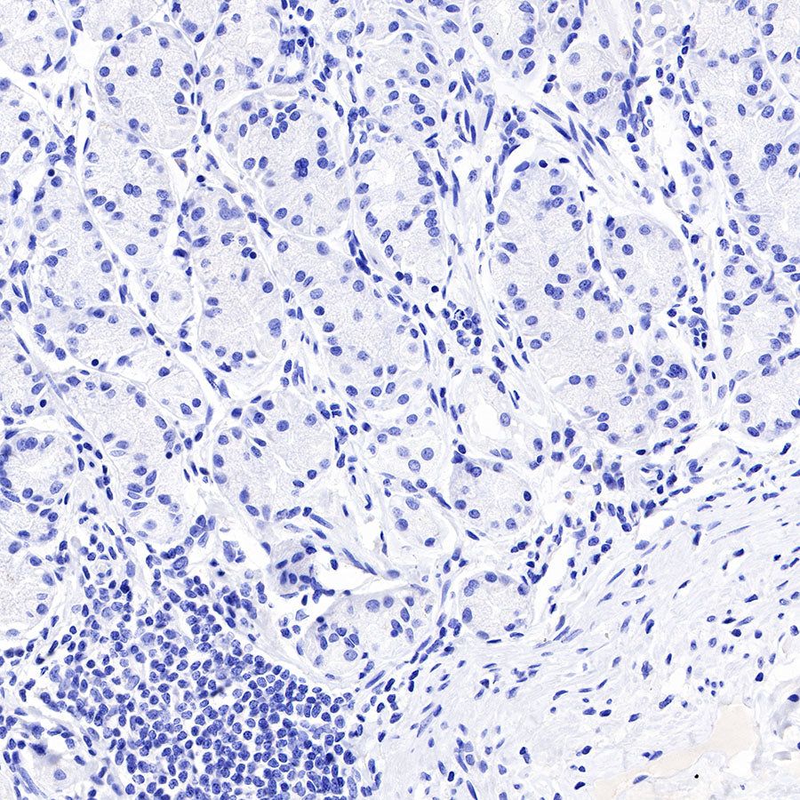
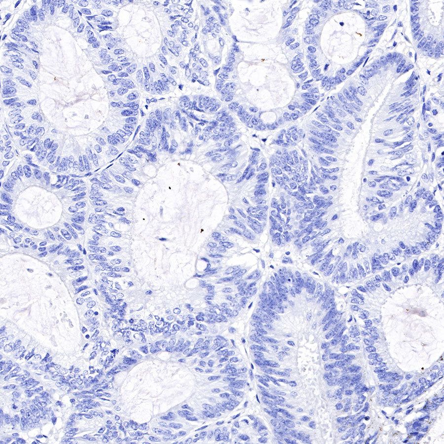
Negative control: IHC shows negative staining in paraffin-embedded human colon cancer. Anti-PAPP-A antibody was used at 1/1000 dilution, followed by a HRP Polymer for Mouse & Rabbit IgG (ready to use). Counterstained with hematoxylin. Heat mediated antigen retrieval with Tris/EDTA buffer pH9.0 was performed before commencing with IHC staining protocol.

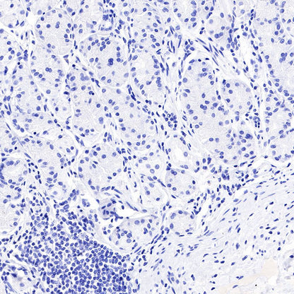
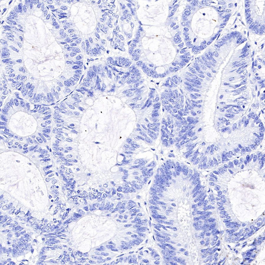
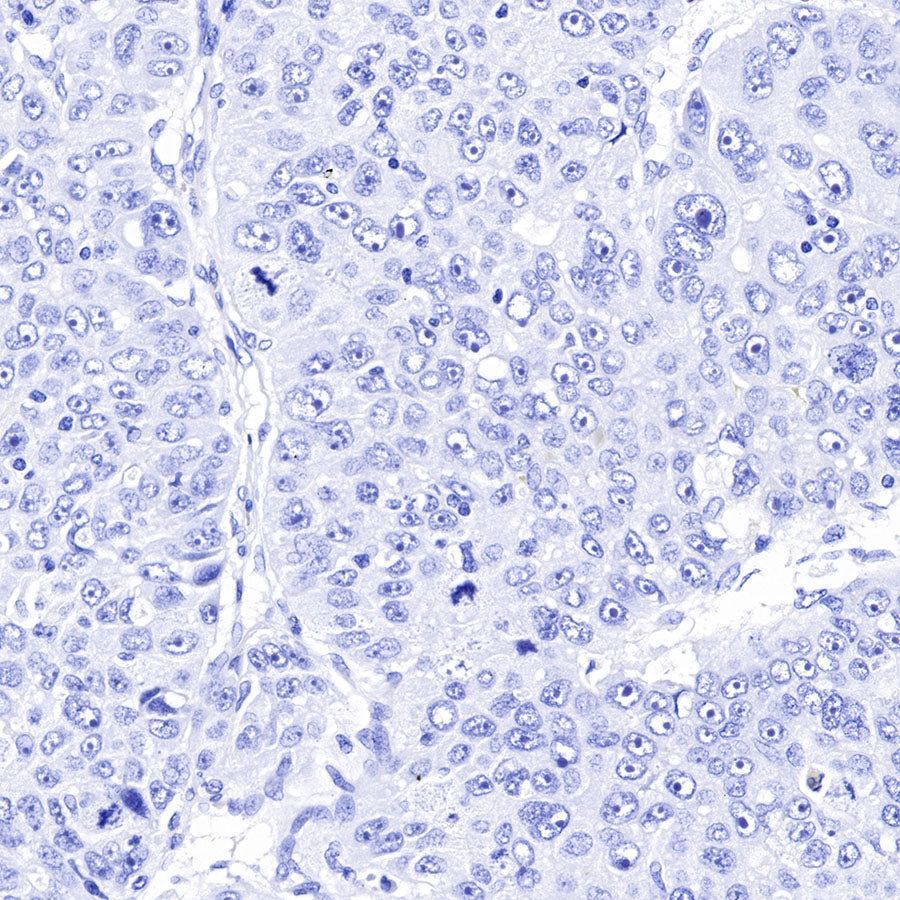
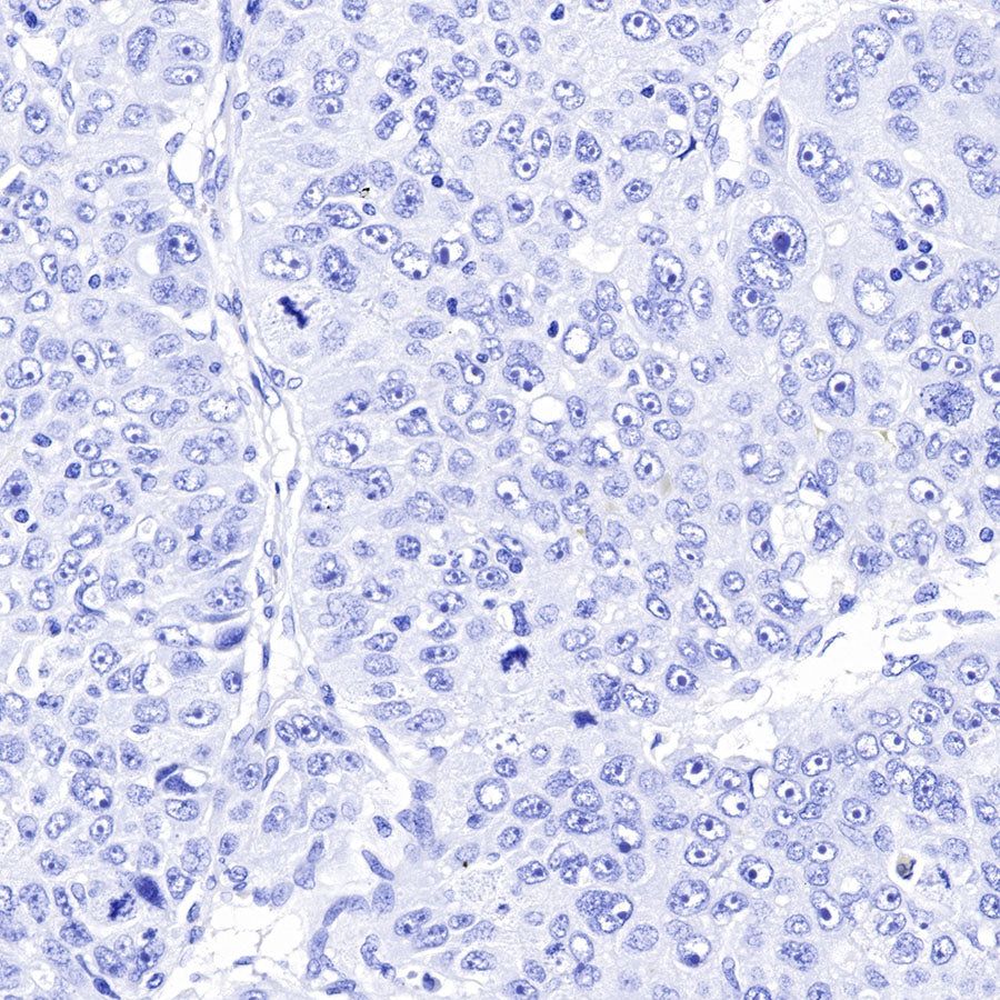
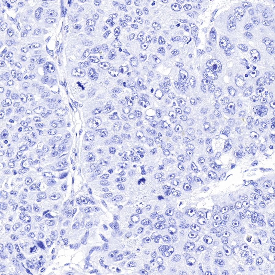
Negative control: IHC shows negative staining in paraffin-embedded human hepatocellular carcinoma. Anti-PAPP-A antibody was used at 1/1000 dilution, followed by a HRP Polymer for Mouse & Rabbit IgG (ready to use). Counterstained with hematoxylin. Heat mediated antigen retrieval with Tris/EDTA buffer pH9.0 was performed before commencing with IHC staining protocol.





