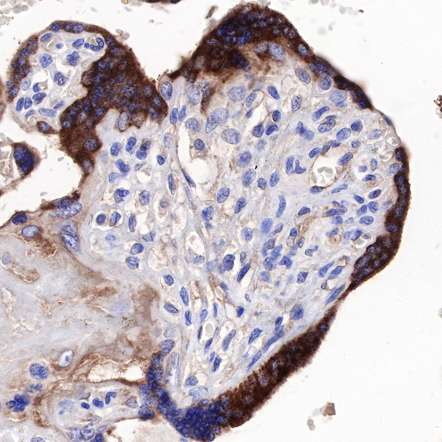
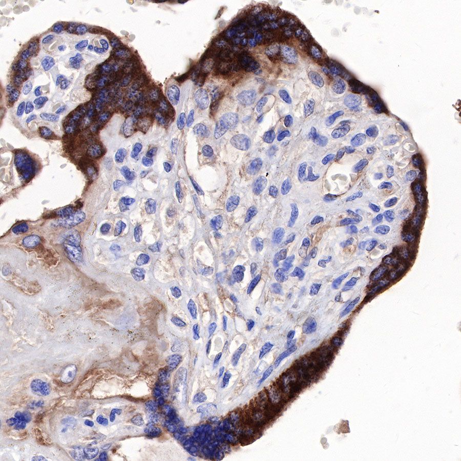
IHC shows positive staining in paraffin-embedded human placenta. Anti-sFlt-1/VEGF Receptor 1 antibody was used at 1/1000 dilution, followed by a HRP Polymer for Mouse & Rabbit IgG (ready to use). Counterstained with hematoxylin. Heat mediated antigen retrieval with Tris/EDTA buffer pH9.0 was performed before commencing with IHC staining protocol.
Product Details
Product Details
Product Specification
| Host | Rabbit |
| Antigen | sFlt-1/VEGF Receptor 1 |
| Synonyms | VEGFR-1, FRT |
| Immunogen | Recombinant Protein |
| Location | Secreted |
| Accession | P17948-2 |
| Clone Number | SDT-233-29 |
| Antibody Type | Recombinant mAb |
| Application | IHC-P |
| Reactivity | Hu |
| Purification | Protein A |
| Concentration | 0.25 mg/ml |
| Conjugation | Unconjugated |
| Physical Appearance | Liquid |
| Storage Buffer | PBS, 40% Glycerol, 0.05% BSA, 0.03% Proclin 300 |
| Stability & Storage | 12 months from date of receipt / reconstitution, -20 °C as supplied |
Dilution
| application | dilution | species |
| IHC-P | 1:1000 | null |
Background
Vascular endothelial growth factor (VEGF) represents a growth factor with important pro-angiogenic activity, having a mitogenic and an anti-apoptotic effect on endothelial cells, increasing the vascular permeability, promoting cell migration, etc. VEGF binds to tyrosine kinase cell receptors (VEGFRs): VEGFR-1 [Fms-like tyrosine kinase 1 (Flt-1)], VEGFR-2 [kinase insert domain receptor (KDR) in human; fetal liver kinase 1 (Flk-1) in mouse] and VEGFR-3 [Fms-like tyrosine kinase 4 (Flt-4)]. While VEGFR-1 and VEGFR-2 are expressed predominantly on vascular endothelial cells, VEGFR-3 is expressed especially on lymphatic endothelial cells [PMID: 30173249].
Picture
Picture
Immunohistochemistry


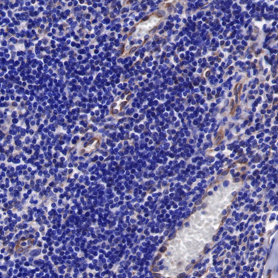
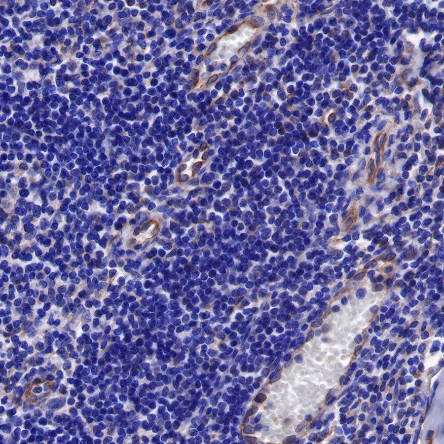
IHC shows positive staining in paraffin-embedded human tonsil. Anti-sFlt-1/VEGF Receptor 1 antibody was used at 1/1000 dilution, followed by a HRP Polymer for Mouse & Rabbit IgG (ready to use). Counterstained with hematoxylin. Heat mediated antigen retrieval with Tris/EDTA buffer pH9.0 was performed before commencing with IHC staining protocol.

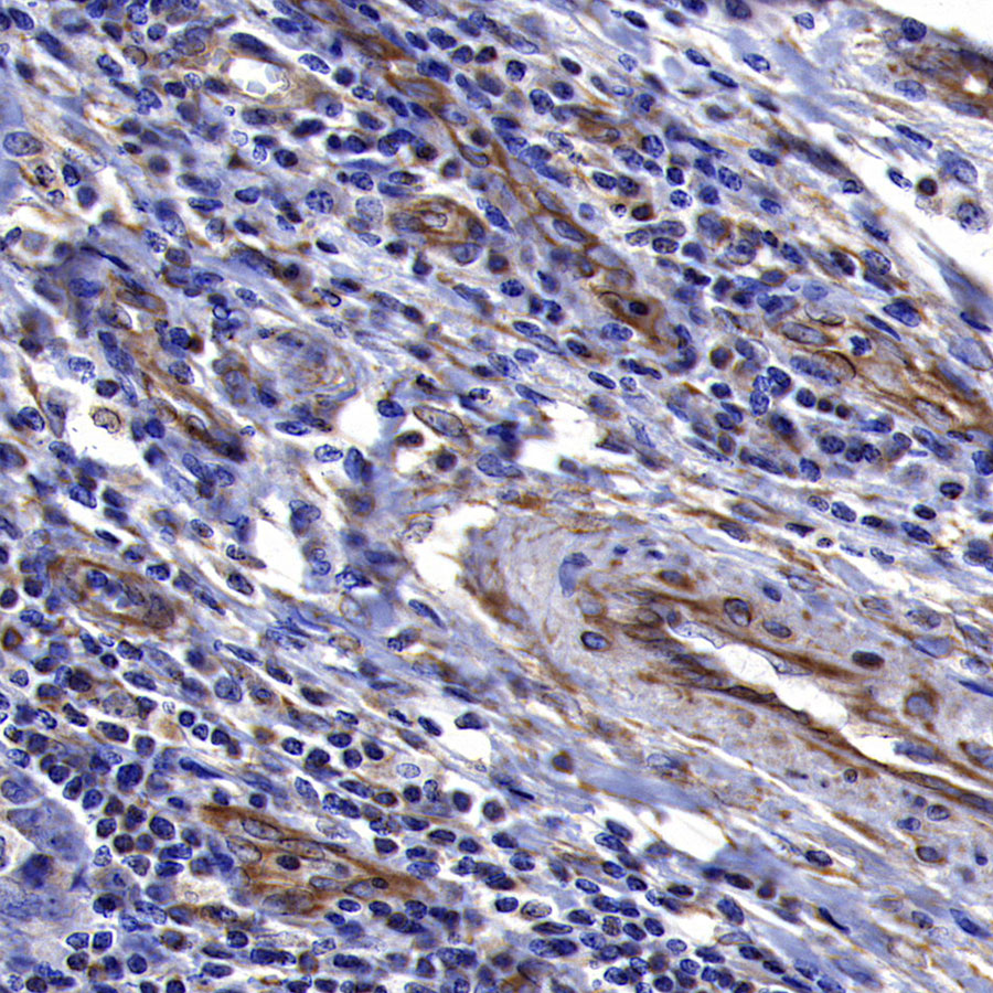
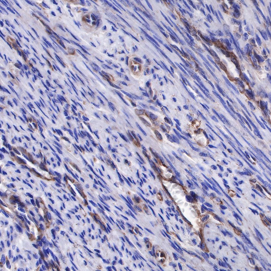
IHC shows positive staining in paraffin-embedded human breast cancer. Anti-sFlt-1/VEGF Receptor 1 antibody was used at 1/1000 dilution, followed by a HRP Polymer for Mouse & Rabbit IgG (ready to use). Counterstained with hematoxylin. Heat mediated antigen retrieval with Tris/EDTA buffer pH9.0 was performed before commencing with IHC staining protocol.

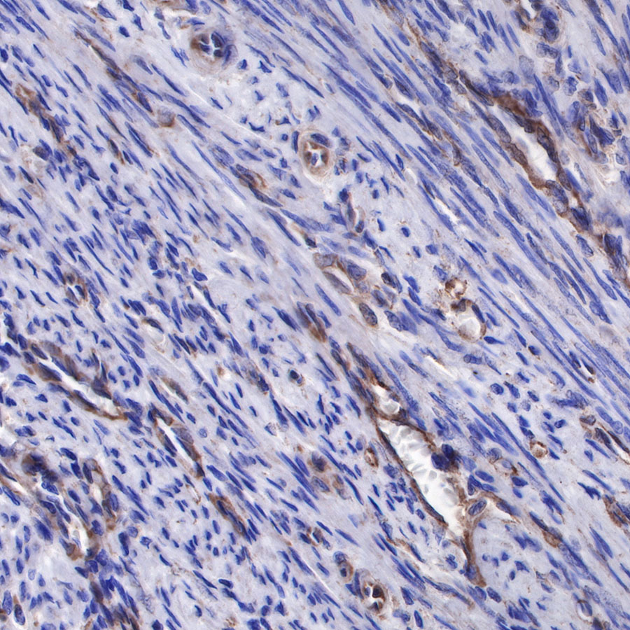
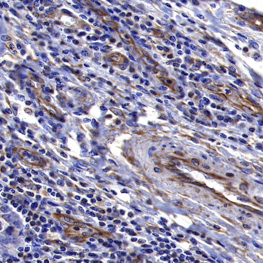
IHC shows positive staining in paraffin-embedded human endometrial cancer. Anti-sFlt-1/VEGF Receptor 1 antibody was used at 1/1000 dilution, followed by a HRP Polymer for Mouse & Rabbit IgG (ready to use). Counterstained with hematoxylin. Heat mediated antigen retrieval with Tris/EDTA buffer pH9.0 was performed before commencing with IHC staining protocol.
