Skip to product information
1 of 7

S-RMab®CD8α Recombinant Rabbit mAb (SDT-142-52)

S-RMab®CD8α Recombinant Rabbit mAb (SDT-142-52)

Catalog Number: S0B0034 Application: WB,IHC-P,FCM,IF Reactivity: Mouse Conjugation: Unconjugated Brand: Starter
Price:
Regular price $129.00 SGD
Regular price Sale price $129.00 SGD
Size:
For shipping services or bulk orders, you may request a quotation.
Secure checkout with
View full details

Product Details

Product Specification


Host Rabbit
Antigen CD8α
Synonyms Lyt-2
Immunogen Synthetic Peptide
Location Cell membrane
Accession P01731
Clone Number SDT-142-52
Antibody Type Rabbit mAb
Application WB, IHC-P, FCM, IF
Reactivity Ms
Purification Protein A
Concentration 0.5 mg/ml
Physical Appearance Liquid
Storage Buffer

PBS, 40% Glycerol, 0.05%BSA, 0.03% Proclin 300

Stability & Storage

12 months from date of receipt / reconstitution, -20 °C as supplied

Dilution


application dilution species
FCM 1:50
WB 1:1000
IF 1:1000
IHC-P 1:500

Background

CD8A encodes the CD8 alpha chain of the αβT cells, proposed as a quantifiable indicator for CD8+ CTL recruitment or activity assessments and a robust biomarker for responses to anti-PD-1/PD-L1 therapy.In NK-cells, the presence of CD8A homodimers at the cell surface provides a survival mechanism allowing conjugation and lysis of multiple target cells. CD8A homodimer molecules also promote the survival and differentiation of activated lymphocytes into memory CD8 T-cells.

Picture

Western Blot

WB result of CD8α Rabbit mAb                 
Primary antibody: CD8α Rabbit mAb at 1/1000 dilution
Lane 1: RAW 264.7 whole cell lysate 20 µg
Lane 2: mouse thymus lysate 20 µg
Negative control: RAW 264.7 whole cell lysate    

Secondary antibody: Goat Anti-Rabbit IgG, (H+L), HRP conjugated at 1/10000 dilution
Predicted MW: 29 kDa
Observed MW: 28~37 kDa
Exposure time: 60s

FC

Flow cytometric analysis of mouse primary splenocytes labeling CD8α antibody at 1/50 (1 μg) dilution / (right panel) compared with a Rabbit IgG, Isotype Control / (left panel). Goat Anti-Rabbit IgG Alexa Fluor® 488 was used as the secondary antibody.
Cells were surface stained with CD4-Alexa Fluor® 647, then stained with rabbit IgG (Left) / CD8α (Right) separately. CD4 and CD8α are mutually exclusive expressed in mouse spleen. Gated on total viable cells.

Immunohistochemistry

IHC shows positive staining in paraffin-embedded mouse thymus. Anti-CD8α antibody was used at 1/500 dilution, followed by a HRP Polymer for Mouse & Rabbit IgG (ready to use). Counterstained with hematoxylin. Heat mediated antigen retrieval with Tris/EDTA buffer pH9.0 was performed before commencing with IHC staining protocol.

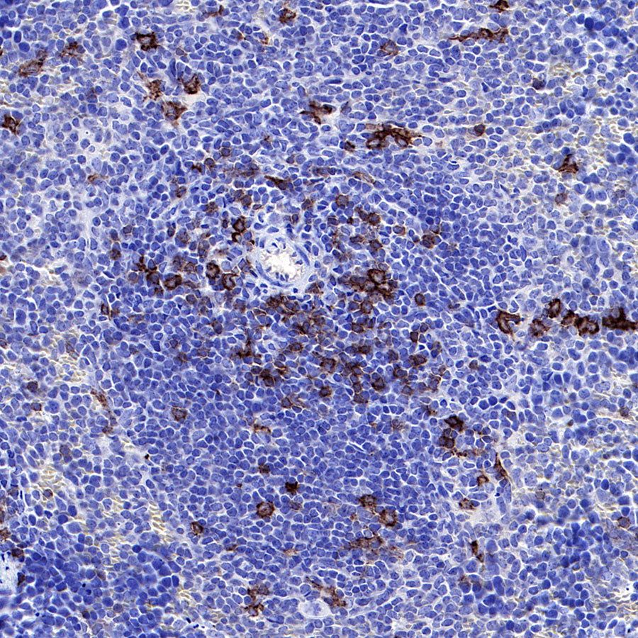
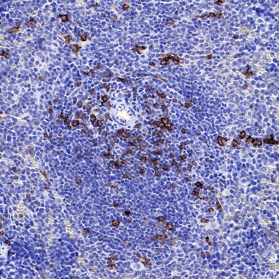
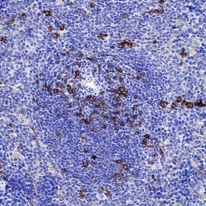
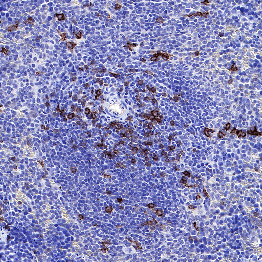
IHC shows positive staining in paraffin-embedded mouse spleen. Anti-CD8α antibody was used at 1/500 dilution, followed by a HRP Polymer for Mouse & Rabbit IgG (ready to use). Counterstained with hematoxylin. Heat mediated antigen retrieval with Tris/EDTA buffer pH9.0 was performed before commencing with IHC staining protocol.

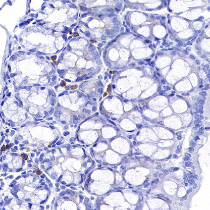
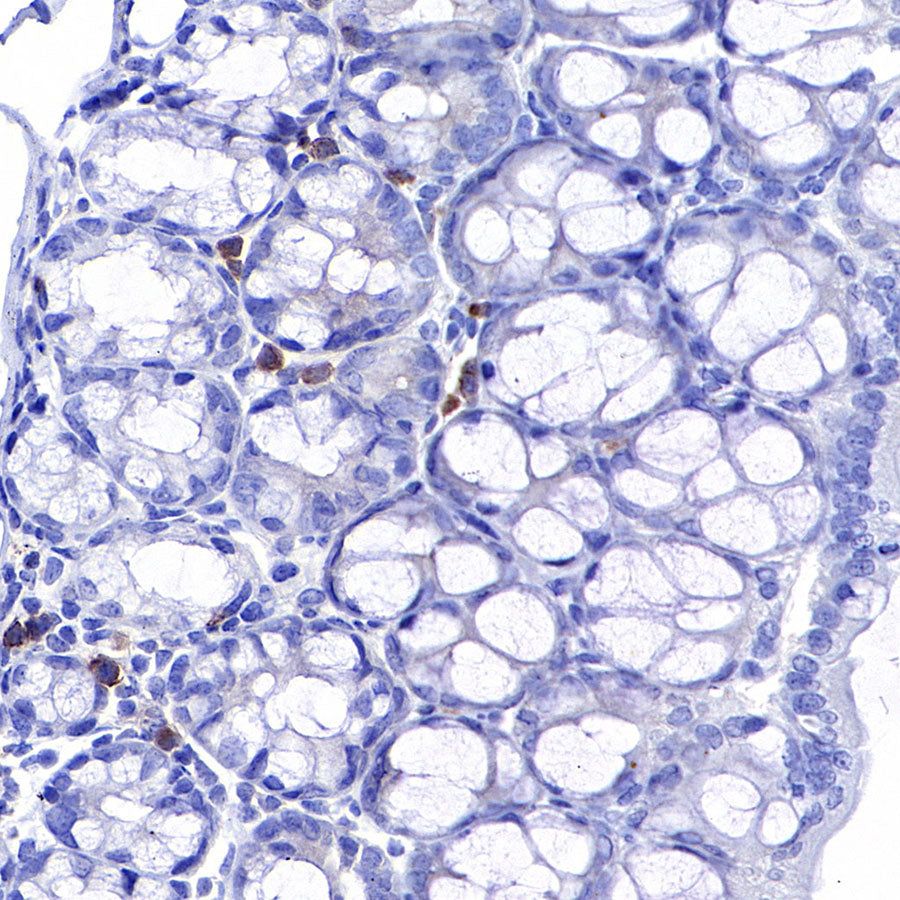
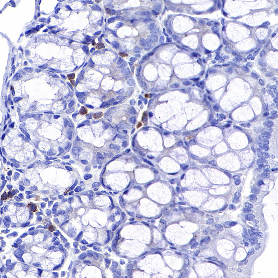
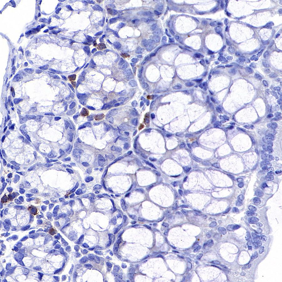
IHC shows positive staining in paraffin-embedded mouse colon. Anti-CD8α antibody was used at 1/500 dilution, followed by a HRP Polymer for Mouse & Rabbit IgG (ready to use). Counterstained with hematoxylin. Heat mediated antigen retrieval with Tris/EDTA buffer pH9.0 was performed before commencing with IHC staining protocol.

Negative control: IHC shows negative staining in paraffin-embedded mouse cardiac muscle. Anti-CD8α antibody was used at 1/500 dilution, followed by a HRP Polymer for Mouse & Rabbit IgG (ready to use). Counterstained with hematoxylin. Heat mediated antigen retrieval with Tris/EDTA buffer pH9.0 was performed before commencing with IHC staining protocol.

Immunofluorescence

IF shows positive staining in paraffin-embedded mouse thymus. Anti-CD8α antibody was used at 1/1000 dilution and incubated overnight at 4°C. Goat polyclonal Antibody to Rabbit IgG - H&L (Alexa Fluor® 488) was used as secondary antibody at 1/1000 dilution.Heat mediated antigen retrieval with Tris/EDTA buffer pH9.0 was performed before commencing with ICC staining protocol. Nuclei were counterstained with DAPI.