Skip to product information
1 of 6

Keratin 10 Recombinant Rabbit mAb (SDT-124-6)

Keratin 10 Recombinant Rabbit mAb (SDT-124-6)

Catalog Number: S0B2123 Application: WB,IHC-P,IF Reactivity: Human,Mouse Conjugation: Unconjugated Brand: Starter
Price:
Regular price $100 USD
Regular price Sale price $100 USD
Size:
For shipping services or bulk orders, you may request a quotation.
Secure checkout with
View full details

Product Details

Product Specification


Host Rabbit
Antigen Keratin 10
Synonyms Cytokeratin-10, CK-10, K10
Immunogen Synthetic Peptide
Location Cytoplasm
Accession P13645
Clone Number SDT-124-6
Antibody Type Rabbit mAb
Application WB, IHC-P, IF
Reactivity Hu, Ms
Predicted Reactivity Dg
Purification Protein A
Concentration 0.0625 mg/ml
Physical Appearance Liquid
Storage Buffer PBS, 40% Glycerol, 0.05 %BSA, 0.03% Proclin 300
Stability & Storage

12 months from date of receipt / reconstitution, -20 °C as supplied

Dilution


application dilution species
IHC-P 1:1000
WB 1:625
IF 1:500

Background

Keratin 10 (CK10) is a type I acidic cytokeratin which is mainly expressed in keratinizing squamous epithelium of the skin. Variable levels of CK10 protein have been described in squamous carcinomas of different sites and in some other epithelial neoplasms.

Picture

Western Blot

WB result of Keratin 10 Rabbit mAb                 

Primary antibody: Keratin 10 Rabbit mAb at 1/625 dilution
Lane 1: mouse liver lysate 5 µg
Lane 2: mouse skin lysate 5 µg
Negative control: mouse liver lysate   
Secondary antibody: Goat Anti-Rabbit IgG, (H+L), HRP conjugated at 1/10000 dilution
Predicted MW: 60 kDa
Observed MW: 60 kDa
Exposure time: 15s

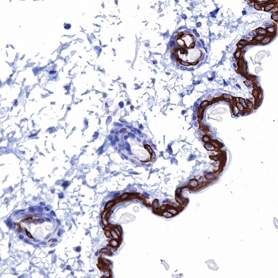
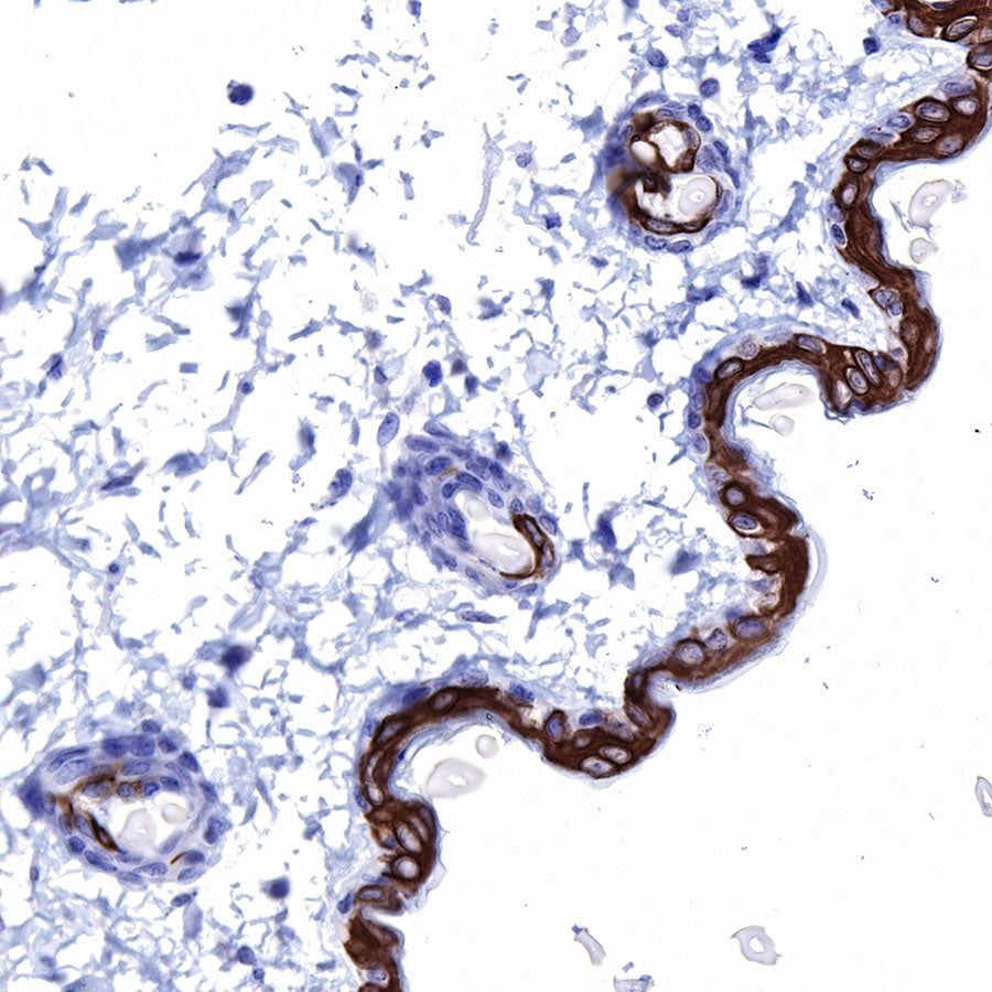
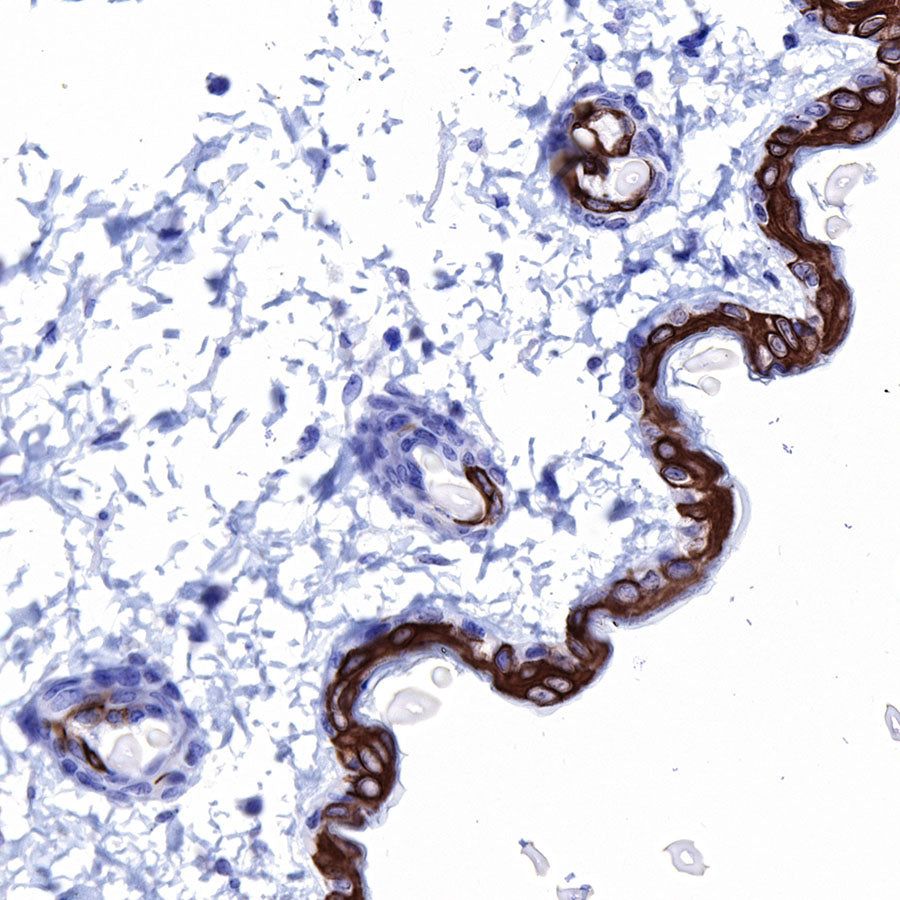
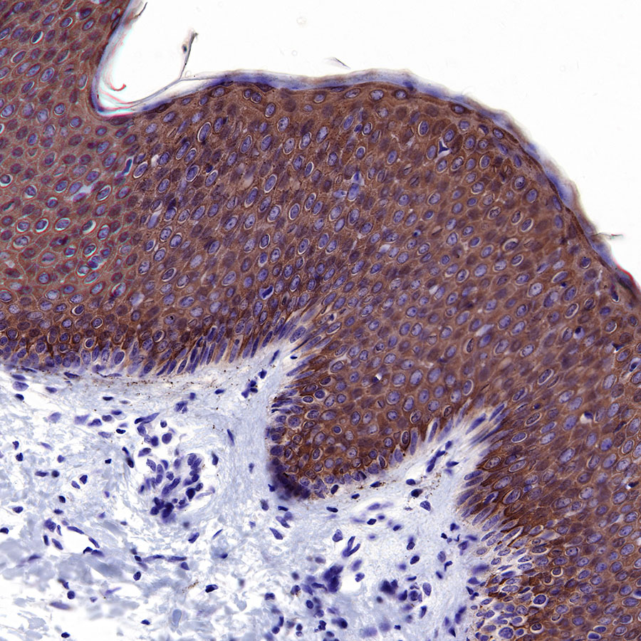
Immunohistochemistry

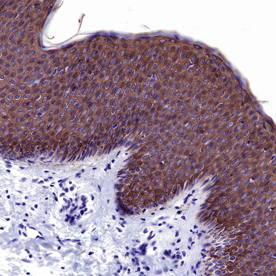
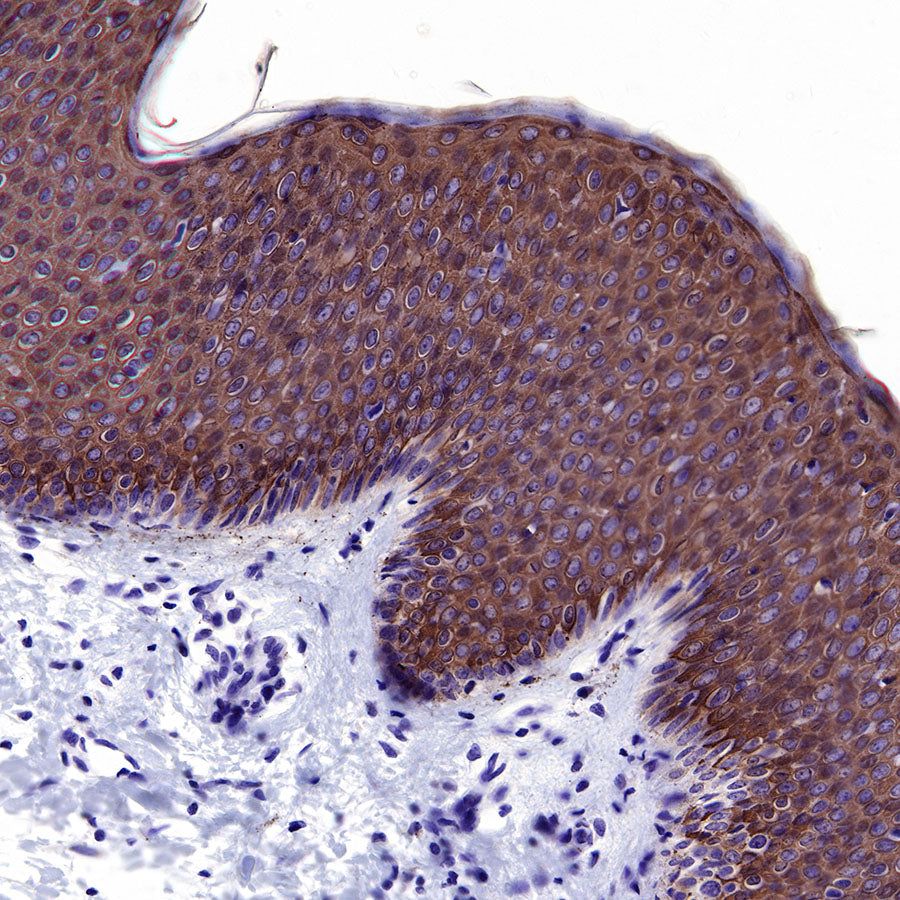
IHC shows positive staining in paraffin-embedded human skin. Anti-Keratin 10 antibody was used at 1/1000 dilution, followed by a HRP Polymer for Mouse & Rabbit IgG (ready to use). Counterstained with hematoxylin. Heat mediated antigen retrieval with Tris/EDTA buffer pH9.0 was performed before commencing with IHC staining protocol.

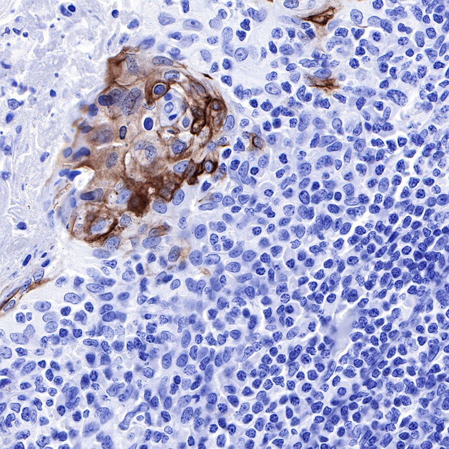
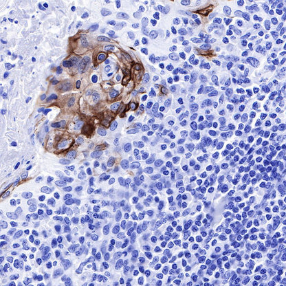
IHC shows positive staining in paraffin-embedded human tonsil. Anti-Keratin 10 antibody was used at 1/1000 dilution, followed by a HRP Polymer for Mouse & Rabbit IgG (ready to use). Counterstained with hematoxylin. Heat mediated antigen retrieval with Tris/EDTA buffer pH9.0 was performed before commencing with IHC staining protocol.

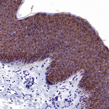
IHC shows positive staining in paraffin-embedded mouse skin. Anti-Keratin 10 antibody was used at 1/1000 dilution, followed by a HRP Polymer for Mouse & Rabbit IgG (ready to use). Counterstained with hematoxylin. Heat mediated antigen retrieval with Tris/EDTA buffer pH9.0 was performed before commencing with IHC staining protocol.

Immunofluorescence

IF shows positive staining in paraffin-embedded mouse skin. Anti-Keratin 10 antibody was used at 1/500 dilution (Green) and incubated overnight at 4°C. Goat polyclonal Antibody to Rabbit IgG - H&L (Alexa Fluor® 488) was used as secondary antibody at 1/1000 dilution. Counterstained with DAPI (Blue). Heat mediated antigen retrieval with Tris/EDTA buffer pH9.0 was performed before commencing with IF staining protocol.

IF shows positive staining in paraffin-embedded human skin. Anti-Keratin 10 antibody was used at 1/500 dilution (Green) and incubated overnight at 4°C. Goat polyclonal Antibody to Rabbit IgG - H&L (Alexa Fluor® 488) was used as secondary antibody at 1/1000 dilution. Counterstained with DAPI (Blue). Heat mediated antigen retrieval with Tris/EDTA buffer pH9.0 was performed before commencing with IF staining protocol.

Customer Reviews

Be the first to write a review
0%
(0)
0%
(0)
0%
(0)
0%
(0)
0%
(0)