Flow cytometric analysis of 4% PFA fixed 90% methanol permeabilized Daudi (Human Burkitt's lymphoma lymphoblast) labelling IGJ antibody at 1/100 dilution (0.1 μg)/ (Red) compared with a Rabbit monoclonal IgG (Black) isotype control and an unlabelled control (cells without incubation with primary antibody and secondary antibody) (Blue). Goat Anti - Rabbit IgG Alexa Fluor® 488 was used as the secondary antibody.
Product Details
Product Details
Product Specification
Host | Rabbit |
Antigen | IGJ |
Synonyms | Immunoglobulin J chain, JCHAIN, IGCJ |
Immunogen | N/A |
Location | Secreted |
Accession | P01591 |
Clone Number | SDT-R128 |
Antibody Type | Rabbit mAb |
Application | IHC-P, ICC, ICFCM |
Reactivity | Hu, Ms, Rt |
Purification | Protein A |
Concentration | 0.1 mg/ml |
Physical Appearance | Liquid |
Storage Buffer | PBS, 40% Glycerol, 0.05% BSA, 0.03% Proclin 300 |
Stability & Storage | 12 months from date of receipt / reconstitution, -20 °C as supplied |
Dilution
application | dilution | species |
IHC-P | 1:1500-1:2000 | null |
ICC | 1:500 | null |
ICFCM | 1:100 | null |
Background
Immunoglobulin J chain is a 137-residue polypeptide that is covalently linked to polymeric immunoglobulins and participates in their synthesis and transport to external secretions [PMID: 3929246]. It mediates the polymerization of both IgM and IgA immunoglobulins. Its synthesis is closely regulated in B lymphocytes, apparently at the level of RNA transcription [PMID: 6278047].
Picture
Picture
FC

Immunohistochemistry

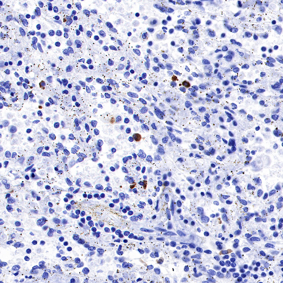
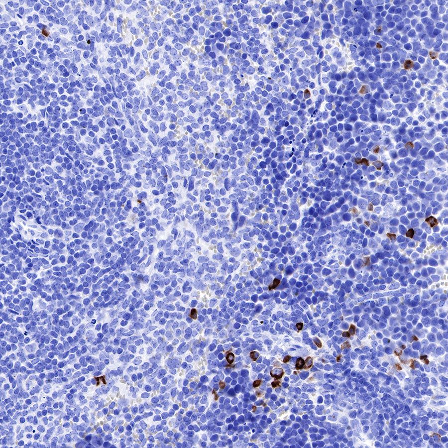
IHC shows positive staining in paraffin-embedded human tonsil. Anti-IGJ antibody was used at 1/1600 dilution, followed by a HRP Polymer for Mouse & Rabbit IgG (ready to use). Counterstained with hematoxylin. Heat mediated antigen retrieval with Tris/EDTA buffer pH9.0 was performed before commencing with IHC staining protocol.

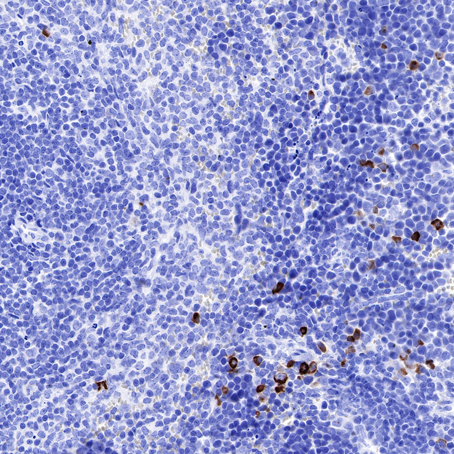
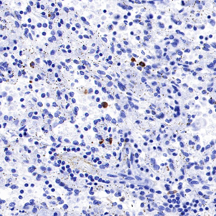
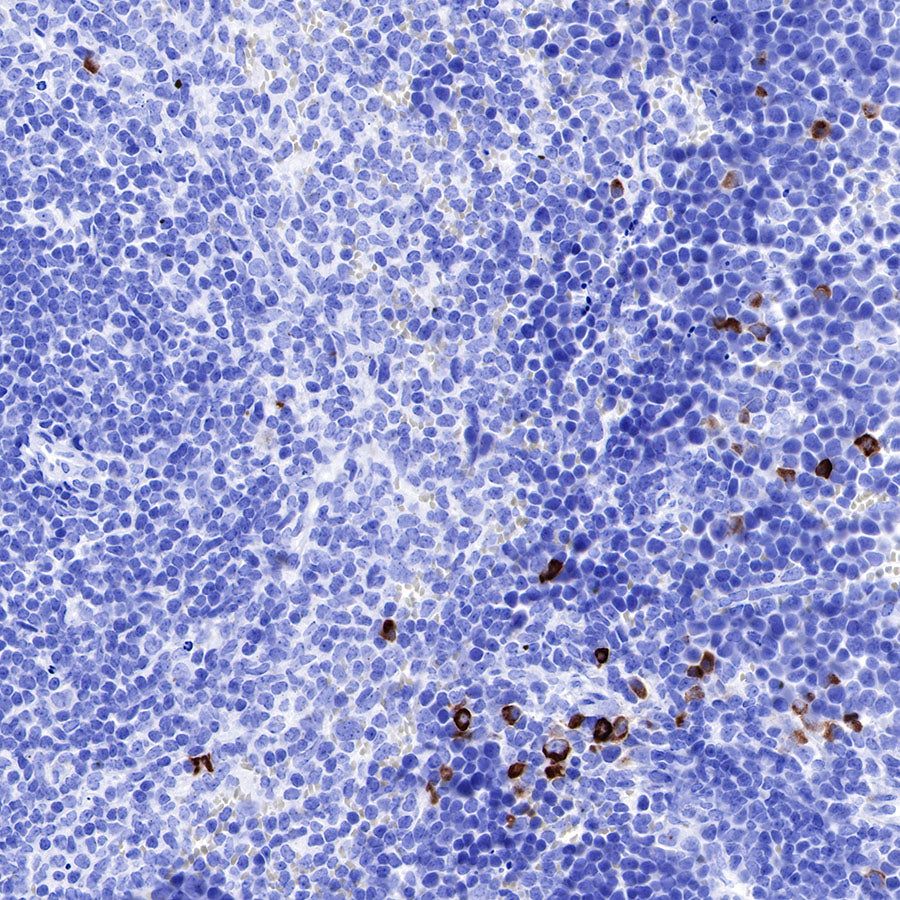
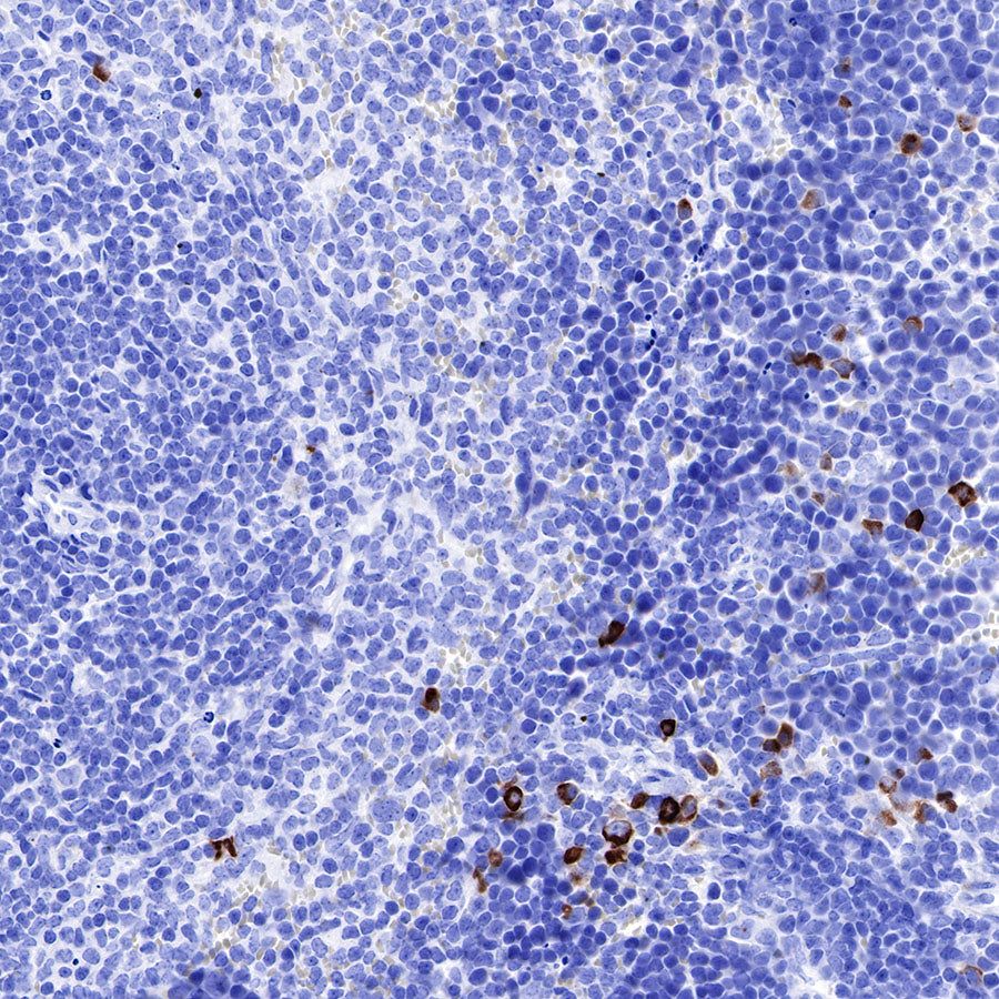
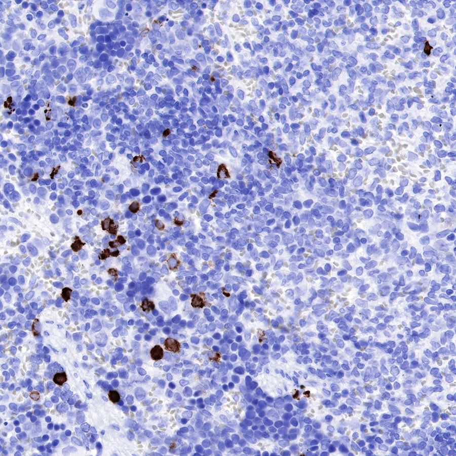
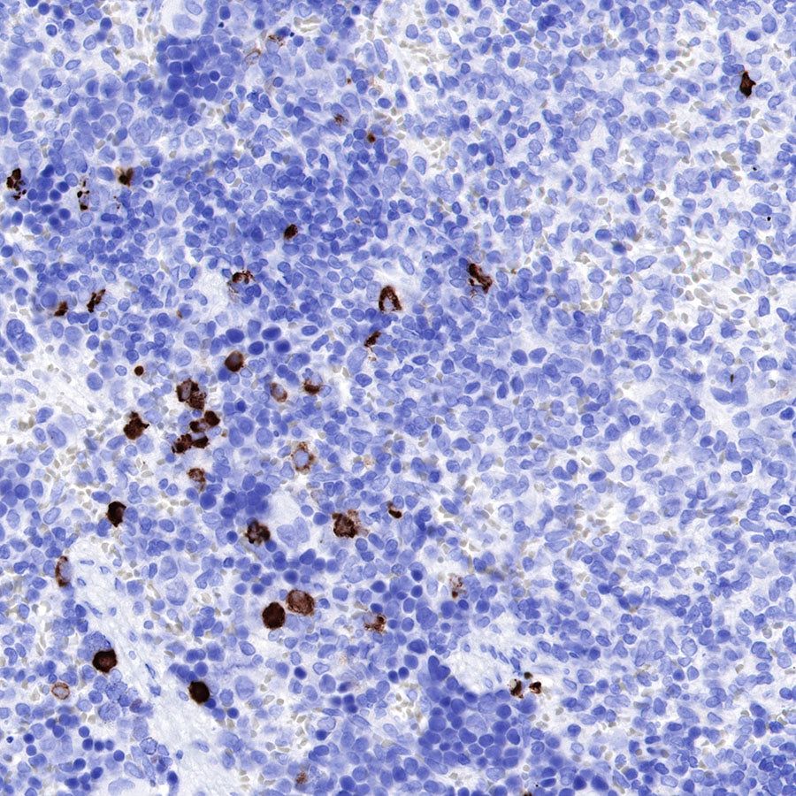
IHC shows positive staining in paraffin-embedded human spleen. Anti-IGJ antibody was used at 1/1600 dilution, followed by a HRP Polymer for Mouse & Rabbit IgG (ready to use). Counterstained with hematoxylin. Heat mediated antigen retrieval with Tris/EDTA buffer pH9.0 was performed before commencing with IHC staining protocol.

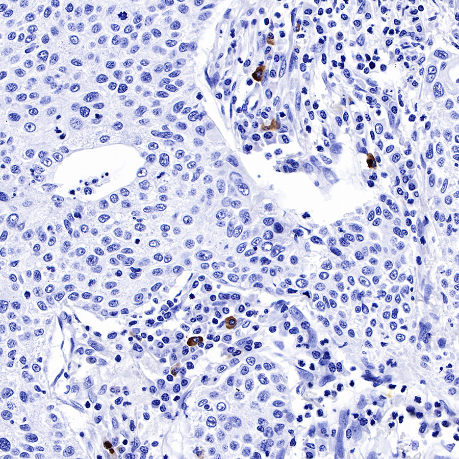
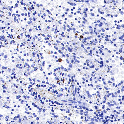
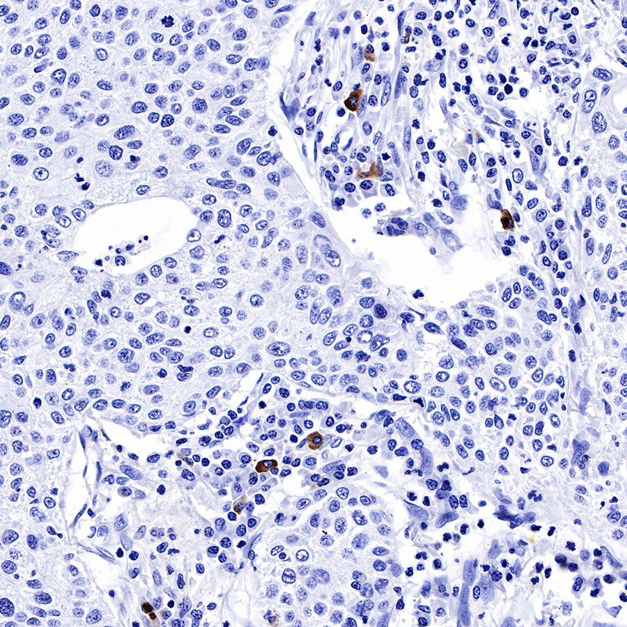
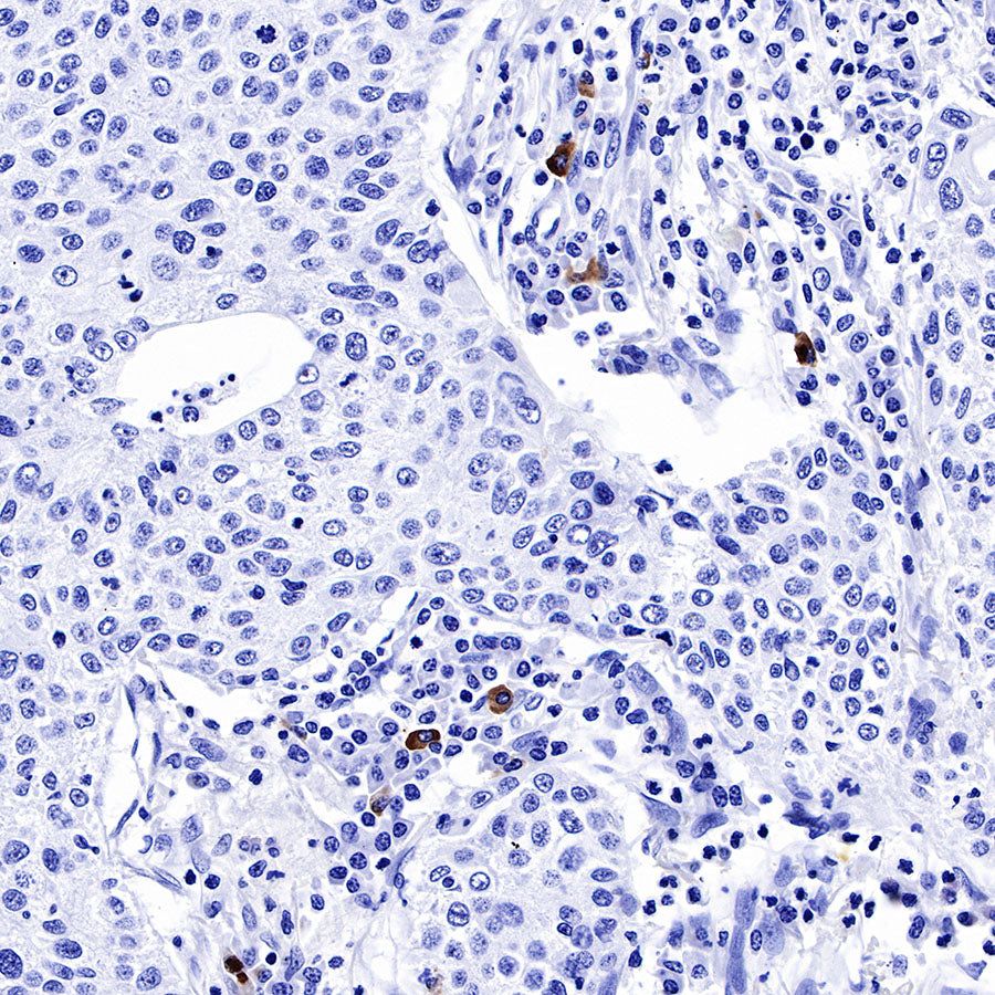
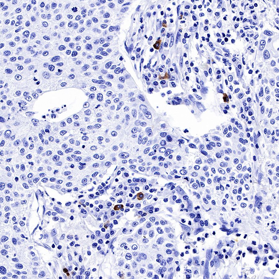
IHC shows positive staining in paraffin-embedded human lung squamous cell carcinoma. Anti-IGJ antibody was used at 1/1600 dilution, followed by a HRP Polymer for Mouse & Rabbit IgG (ready to use). Counterstained with hematoxylin. Heat mediated antigen retrieval with Tris/EDTA buffer pH9.0 was performed before commencing with IHC staining protocol.

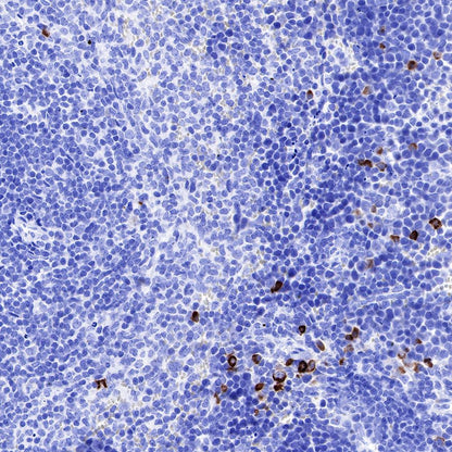
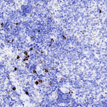
IHC shows positive staining in paraffin-embedded mouse spleen. Anti-IGJ antibody was used at 1/1600 dilution, followed by a HRP Polymer for Mouse & Rabbit IgG (ready to use). Counterstained with hematoxylin. Heat mediated antigen retrieval with Tris/EDTA buffer pH9.0 was performed before commencing with IHC staining protocol.

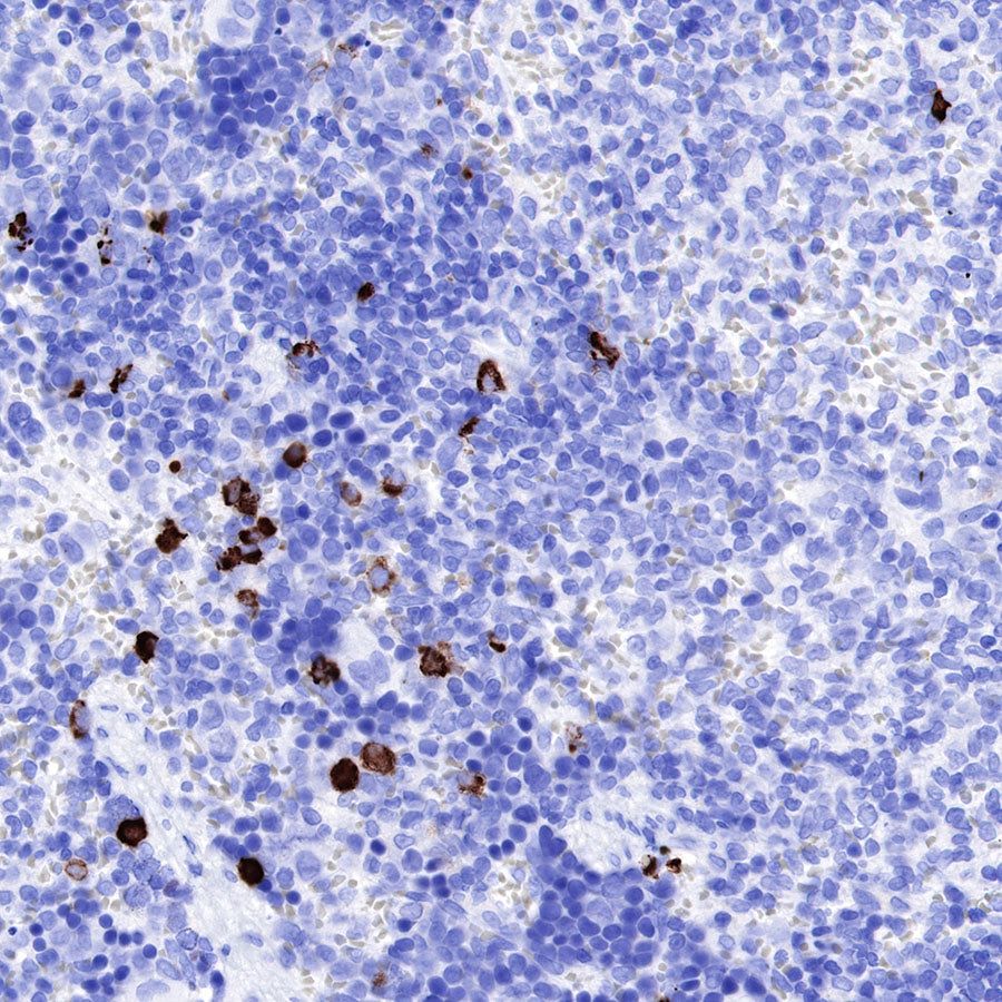
IHC shows positive staining in paraffin-embedded rat spleen. Anti-IGJ antibody was used at 1/1600 dilution, followed by a HRP Polymer for Mouse & Rabbit IgG (ready to use). Counterstained with hematoxylin. Heat mediated antigen retrieval with Tris/EDTA buffer pH9.0 was performed before commencing with IHC staining protocol.

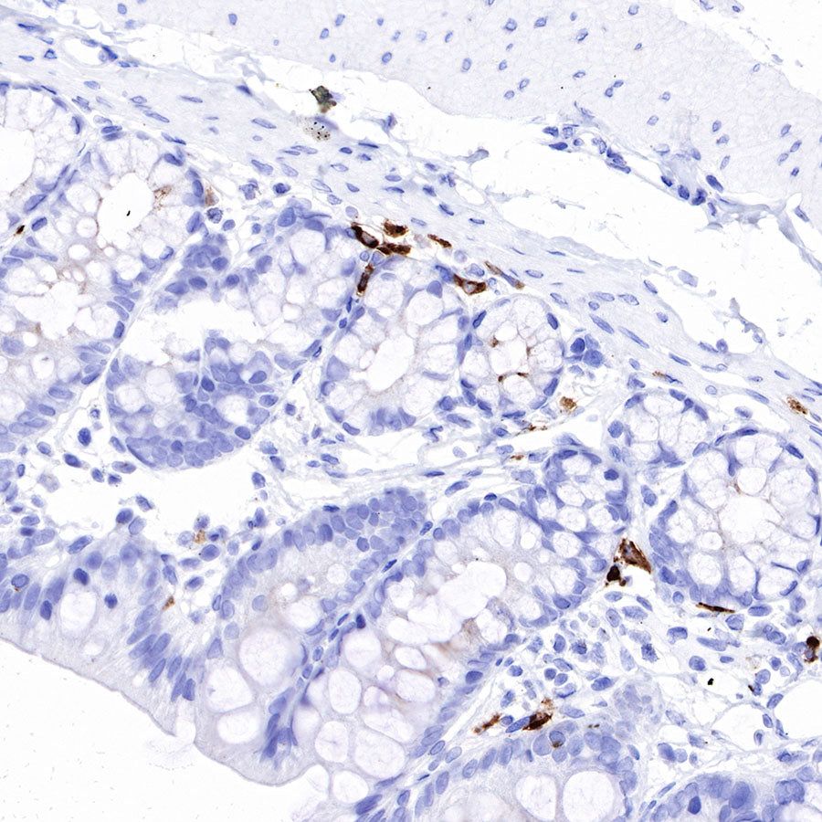
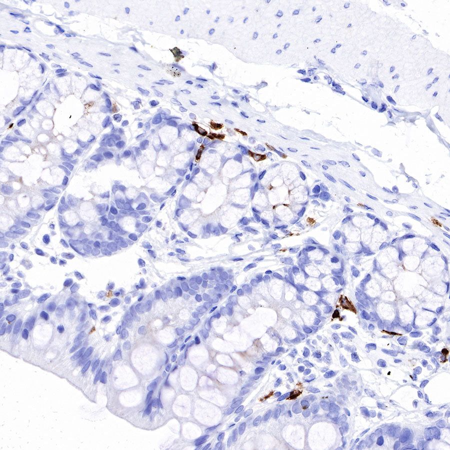
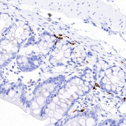
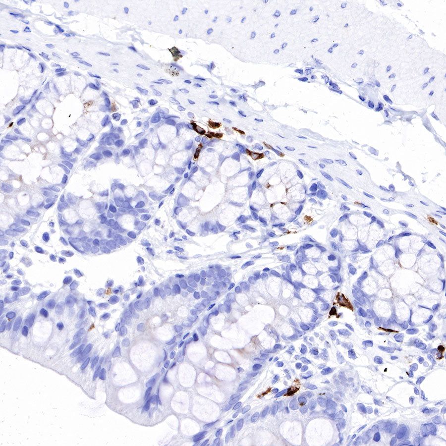
IHC shows positive staining in paraffin-embedded rat colon. Anti-IGJ antibody was used at 1/1600 dilution, followed by a HRP Polymer for Mouse & Rabbit IgG (ready to use). Counterstained with hematoxylin. Heat mediated antigen retrieval with Tris/EDTA buffer pH9.0 was performed before commencing with IHC staining protocol.
Immunocytochemistry

ICC shows positive staining in Ramos cells. Anti-IGJ antibody was used at 1/500 dilution (Green) and incubated overnight at 4°C. Goat polyclonal Antibody to Rabbit IgG - H&L (Alexa Fluor® 488) was used as secondary antibody at 1/1000 dilution. The cells were fixed with 4% PFA and permeabilized with 0.1% PBS-Triton X-100. Nuclei were counterstained with DAPI (Blue).Counterstain with tubulin (Red).







