WB result of Human IgG3 F(c) Mouse mAb
Primary antibody: Human IgG3 F(c) Mouse mAb at 1/1000 dilution
Lane 1: Human serum lysate 5 µg
Secondary antibody: Goat Anti-Mouse IgG, (H+L), HRP conjugated at 1/10000 dilution
Predicted MW: 60kDa
Observed MW: 60kDa
Product Details
Product Details
Product Specification
| Host | Mouse |
| Antigen | Human IgG3 |
| Synonyms | Immunoglobulin heavy constant gamma 3, HDC, Heavy chain disease protein, Ig gamma-3 chain C region, IGHG3 |
| Immunogen | Synthetic Peptide |
| Location | Secreted, Cell membrane |
| Accession | P01860 |
| Clone Number | S-460-1 |
| Antibody Type | Mouse mAb |
| Isotype | IgG2b,k |
| Application | ELISA, WB, IHC-P |
| Reactivity | Hu |
| Purification | Protein A |
| Concentration | 2 mg/ml |
| Conjugation | Unconjugated |
| Physical Appearance | Liquid |
| Storage Buffer | PBS, 40% Glycerol, 0.05% BSA, 0.03% Proclin 300 |
| Stability & Storage | 12 months from date of receipt / reconstitution, -20 °C as supplied |
Dilution
| application | dilution | species |
| WB | 1:1000 | null |
| IHC-P | 1:2000 | null |
Background
The intact antibody of human immunoglobulin (IgG) is composed of the fragment for antigen binding (Fab) and the crystallizable fragment (Fc) for binding of Fcγ receptors. Among the four subclasses of human IgG (IgG1, IgG2, IgG3, IgG4), which differ in their constant regions, particularly in their hinges and CH2 domains, IgG1 has the highest FcγR-binding affinity, followed by IgG3, IgG2, and IgG4 [PMID: 32370812].
Picture
Picture
Western Blot

WB result of Human IgG3 F(c) Mouse mAb
Primary antibody: Human IgG3 F(c) Mouse mAb at 1/1000 dilution
Lane 1: IgG1 FC recombinant protein lysate 10 ng
Lane 2: IgG2 FC recombinant protein lysate 10 ng
Lane 3: IgG3 FC recombinant protein lysate 10 ng
Lane 4: IgG4 FC recombinant protein lysate 10 ng
Secondary antibody: Goat Anti-Mouse IgG, (H+L), HRP conjugated at 1/10000 dilution
Predicted MW: IgG1 FC、IgG2 FC、IgG4 FC: 27 kDa; IgG3 FC: 33 kDa
Observed MW: IgG3 FC: 40 kDa
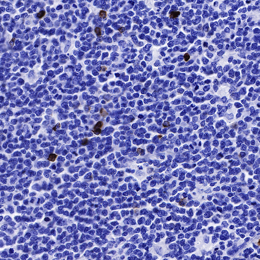
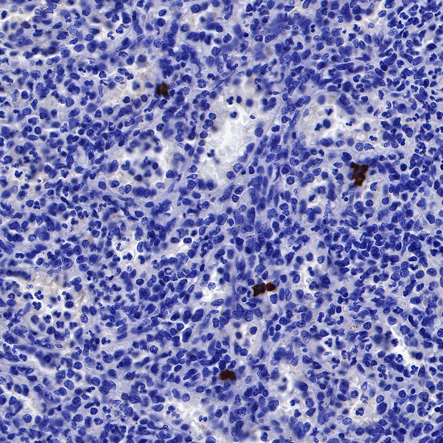
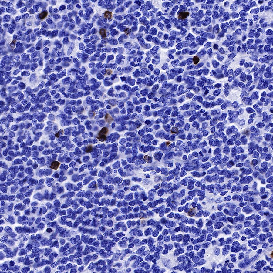
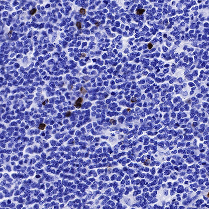
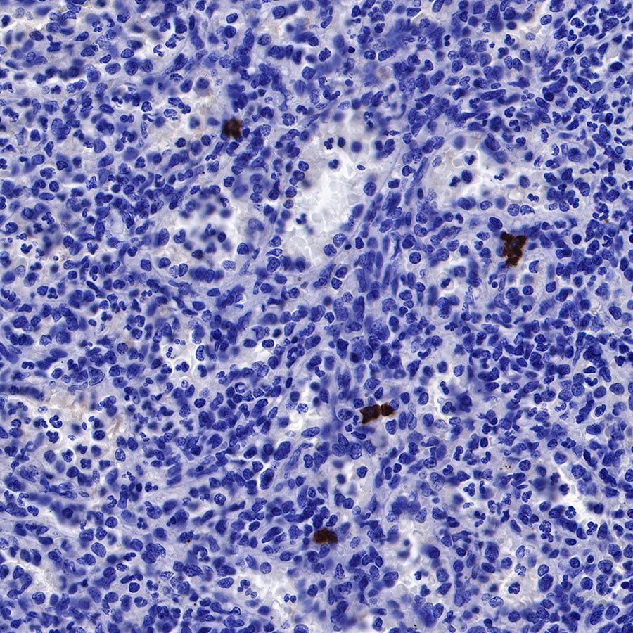
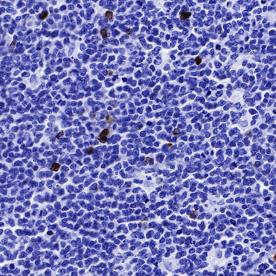
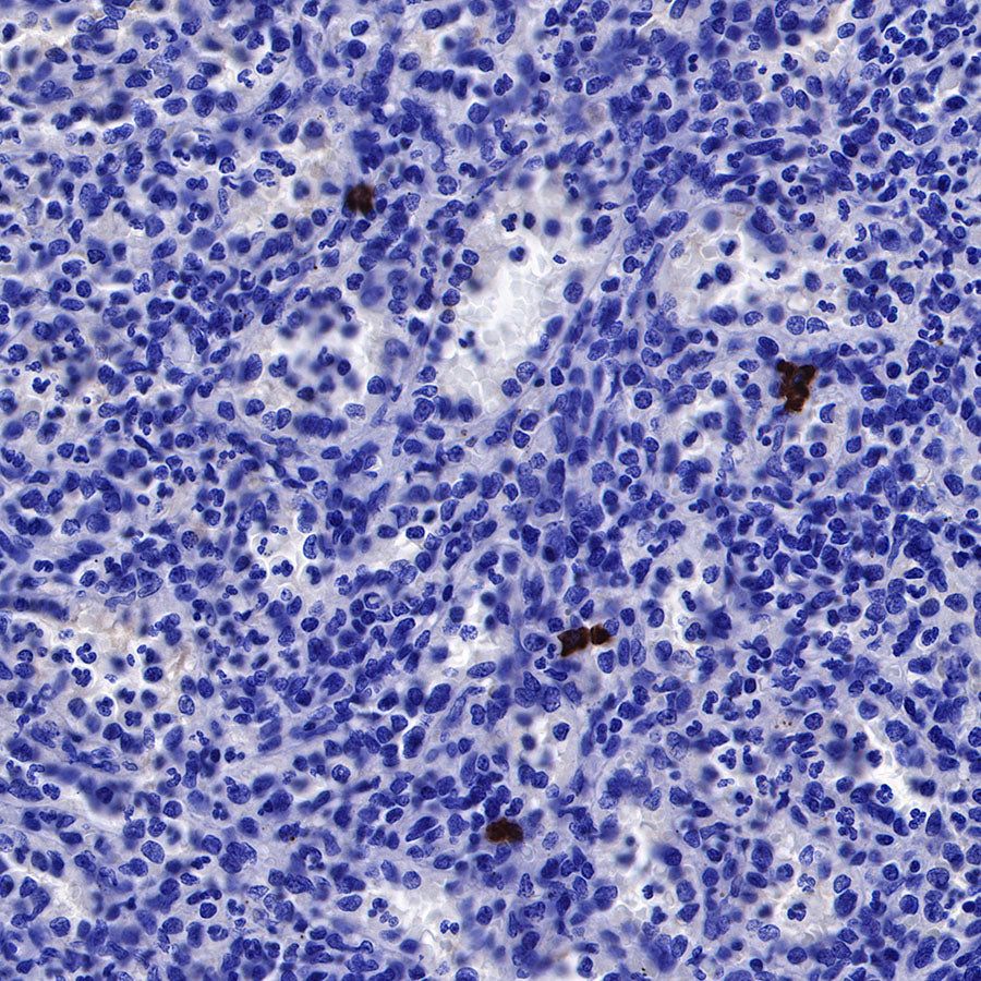
Immunohistochemistry

IHC shows positive staining in paraffin-embedded human tonsil. Anti-Human IgG3 antibody was used at 1/2000 dilution, followed by a HRP Polymer for Mouse & Rabbit IgG (ready to use). Counterstained with hematoxylin. Heat mediated antigen retrieval with Tris/EDTA buffer pH9.0 was performed before commencing with IHC staining protocol.

IHC shows positive staining in paraffin-embedded human spleen. Anti-Human IgG3 antibody was used at 1/2000 dilution, followed by a HRP Polymer for Mouse & Rabbit IgG (ready to use). Counterstained with hematoxylin. Heat mediated antigen retrieval with Tris/EDTA buffer pH9.0 was performed before commencing with IHC staining protocol.
