Product Details
Product Details
Product Specification
Host | Rabbit |
Antigen | Hemoglobin |
Synonyms | Hb |
Immunogen | Native protein |
Location | Blood microparticle, Cytosol |
Accession | P69905、P68871 |
Clone Number | SDT-193-71 |
Antibody Type | Rabbit mAb |
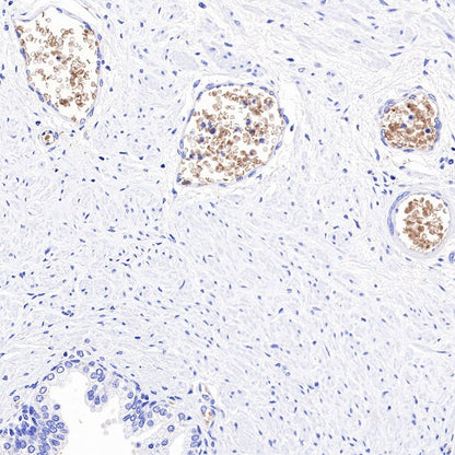
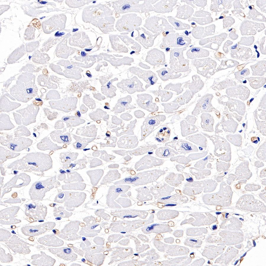
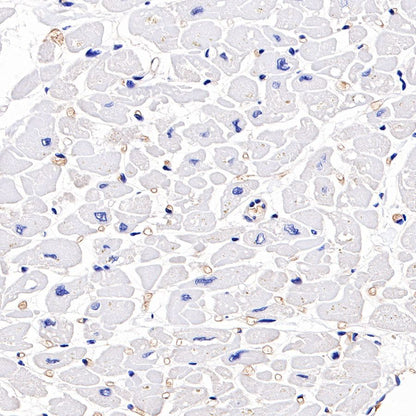
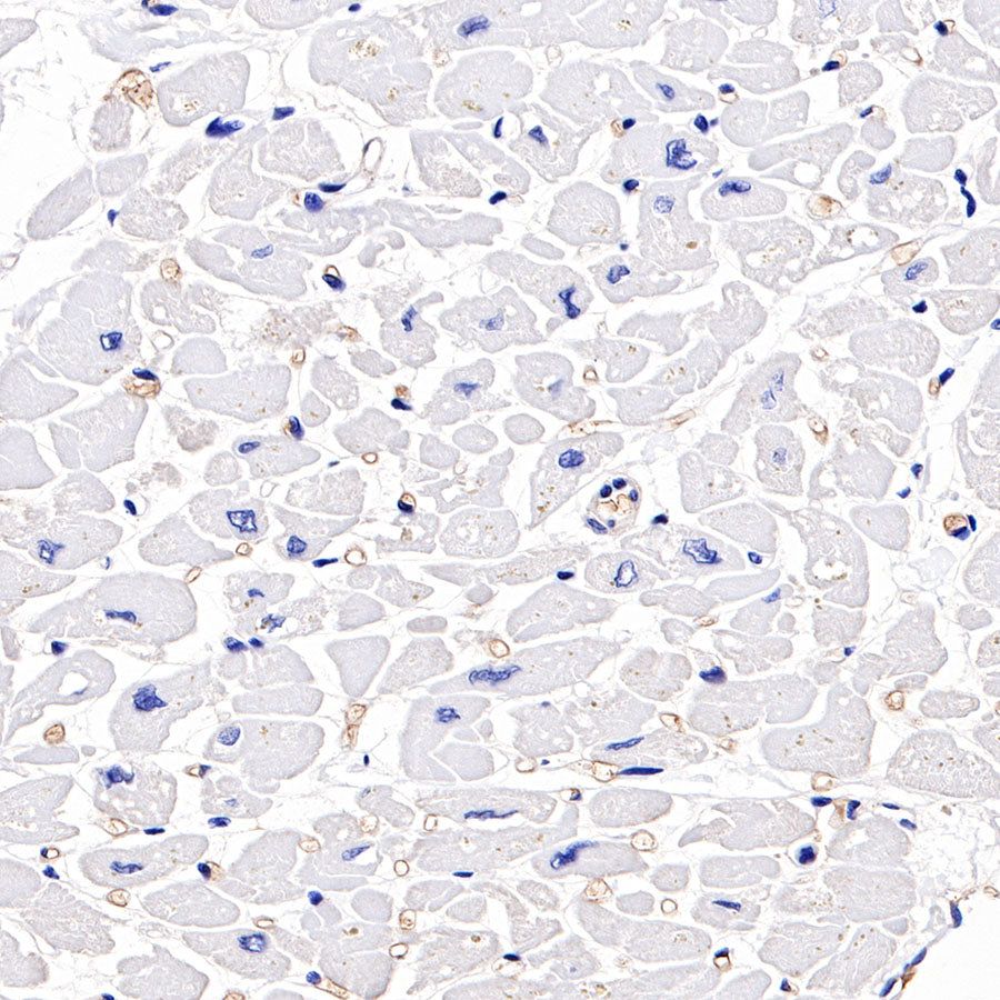
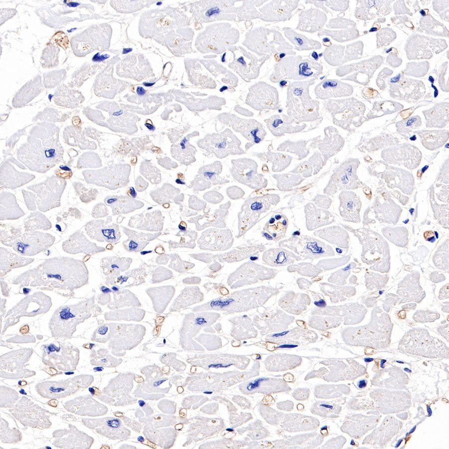
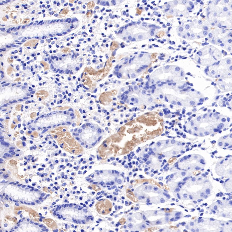
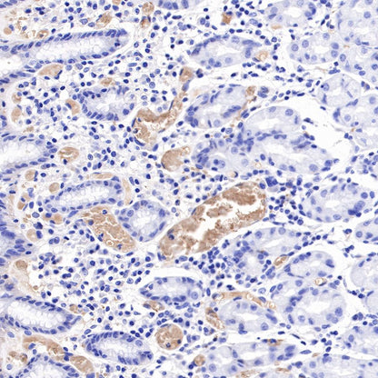
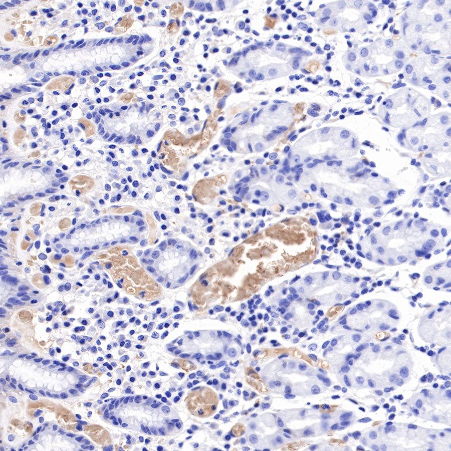
Application | WB, IHC-P, IP |
Reactivity | Hu |
Purification | Protein A |
Concentration | 0.25 mg/ml |
Physical Appearance | Liquid |
Storage Buffer | PBS, 40% Glycerol, 0.05% BSA, 0.03% Proclin 300 |
Stability & Storage | 12 months from date of receipt / reconstitution, -20 °C as supplied |
Dilution
application | dilution | species |
WB | 1:500 | null |
IHC-P | 1:5000 | null |
IP | 1:25 | null |
Background
The primary function of Hemoglobin (Hb) is to transport oxygen (O2) from the lung to tissues, binding and releasing O2 in a cooperative manner [PMID: 32189307]. Hemoglobin is a tetramer, consisting of two α-subunits (α1 and α2) and two βsubunits (β1 and β2) that are structurally similar and about the same size. The two αβ dimers (named α1β1 and α2β2) are arranged around a 2-fold axis of symmetry resulting in a large central water cavity in the T or unliganded or deoxygenated structure and a narrower cavity in the R or liganded or oxygenated structure.
Picture
Picture
Western Blot

IP

Hemoglobin Rabbit mAb at 1/25 dilution (1µg) immunoprecipitating Hemoglobin in 0.4mg TF-1 whole cell lysate.
Western blot was performed on the immunoprecipitate using Hemoglobin Rabbit mAb at 1/1000 dilution.
Secondary antibody (HRP) for IP was used at 1/400 dilution.
Lane 1 : TF-1 whole cell lysate 20µg(input)
Lane 2 : Hemoglobin Rabbit mAb IP in TF-1 whole cell lysate
Lane 3 : Rabbit monoclonal IgG IP in TF-1 whole cell lysate
Predicted MW: 13 kDa
Observed MW: 13 kDa
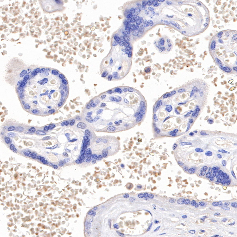
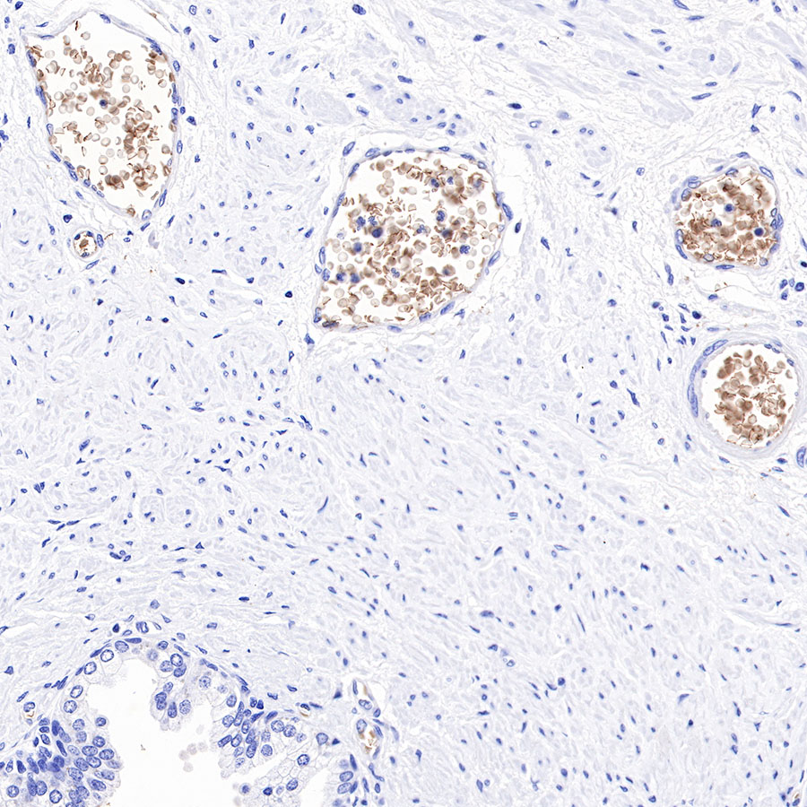
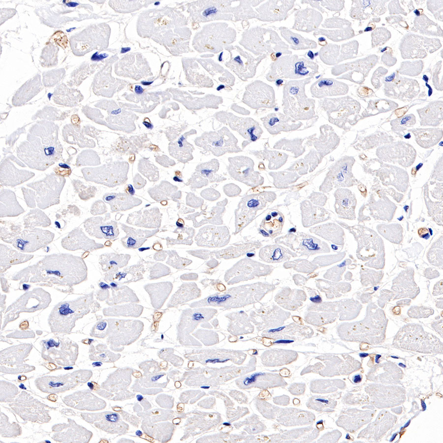
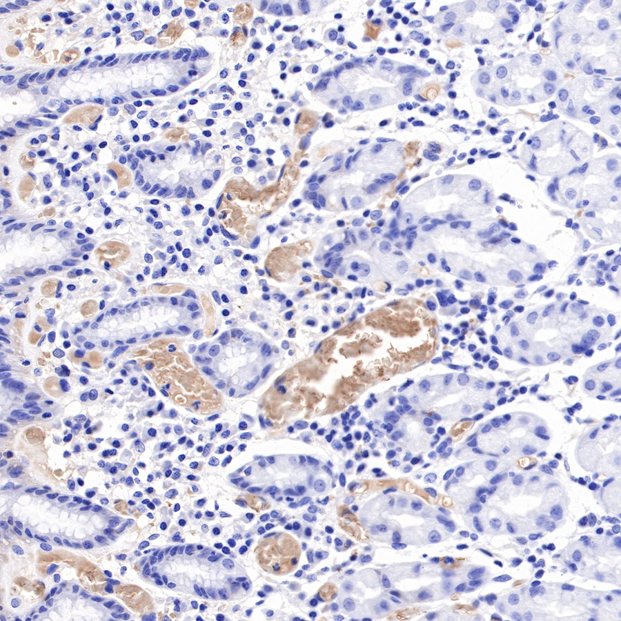
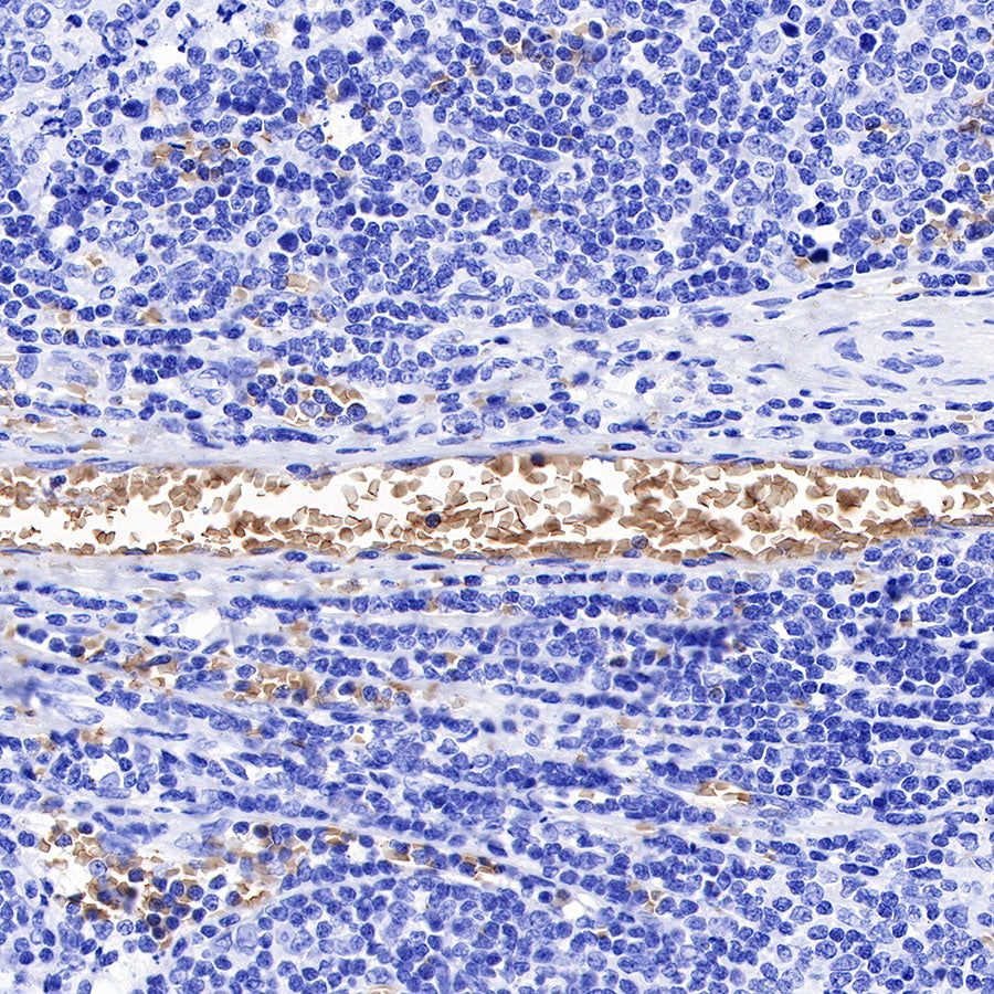
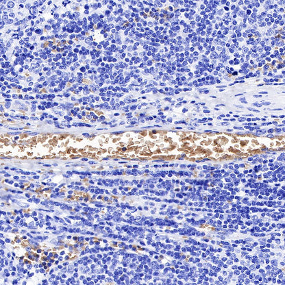
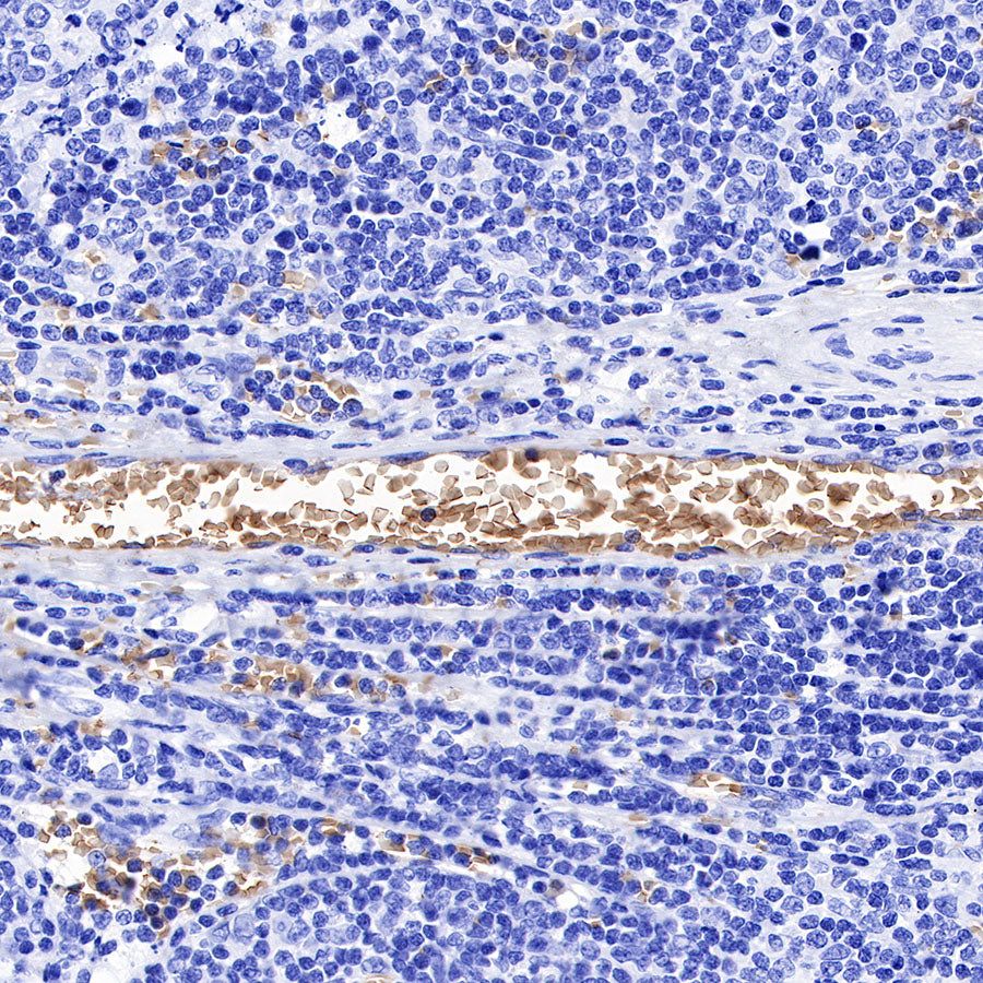
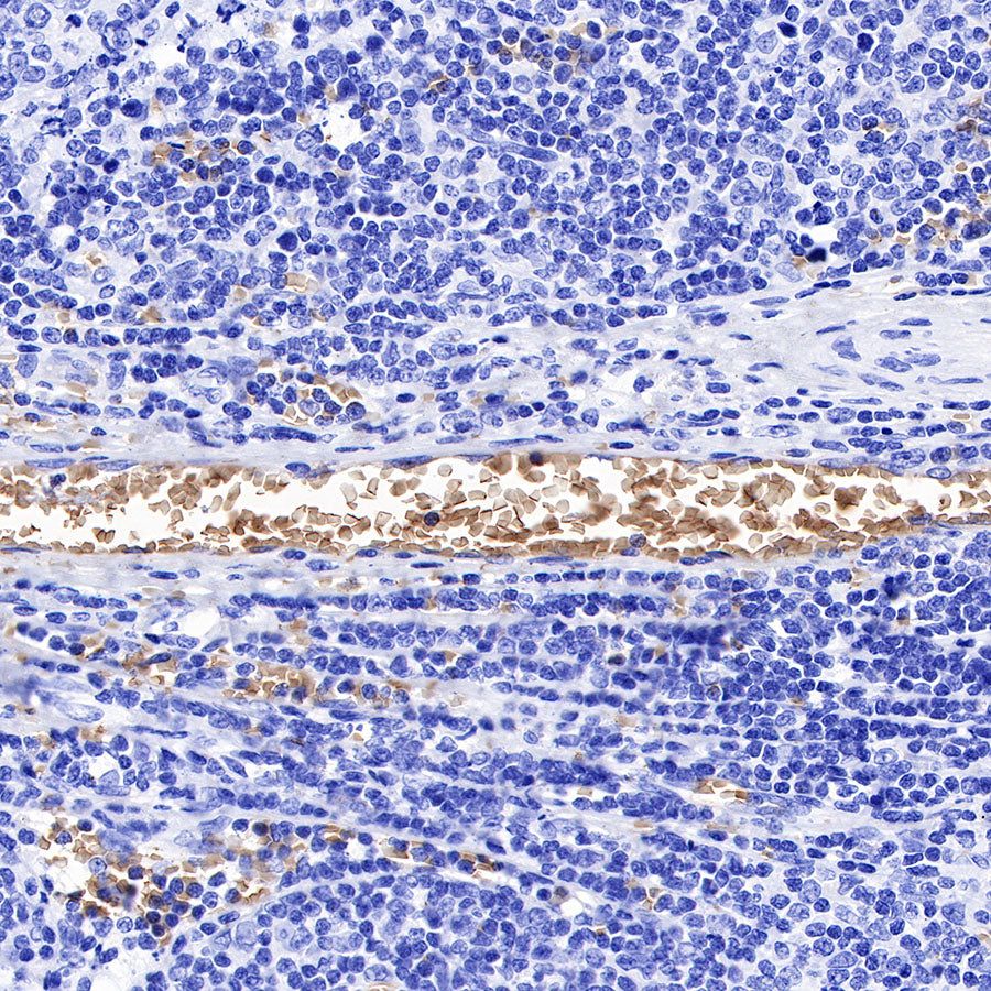
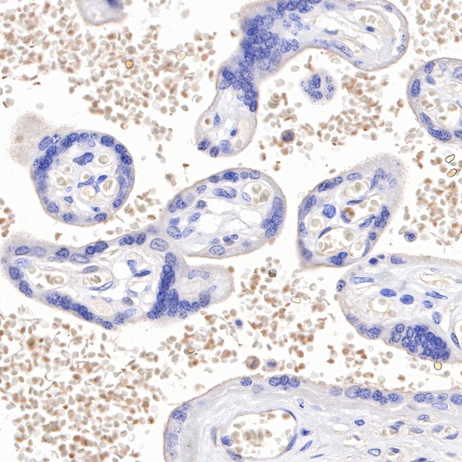
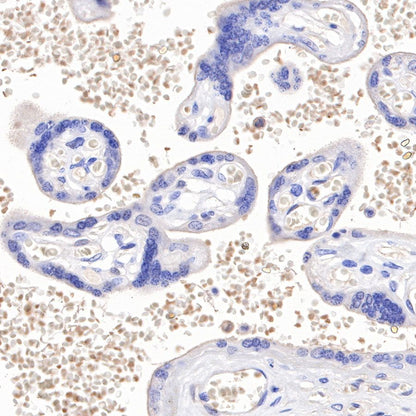
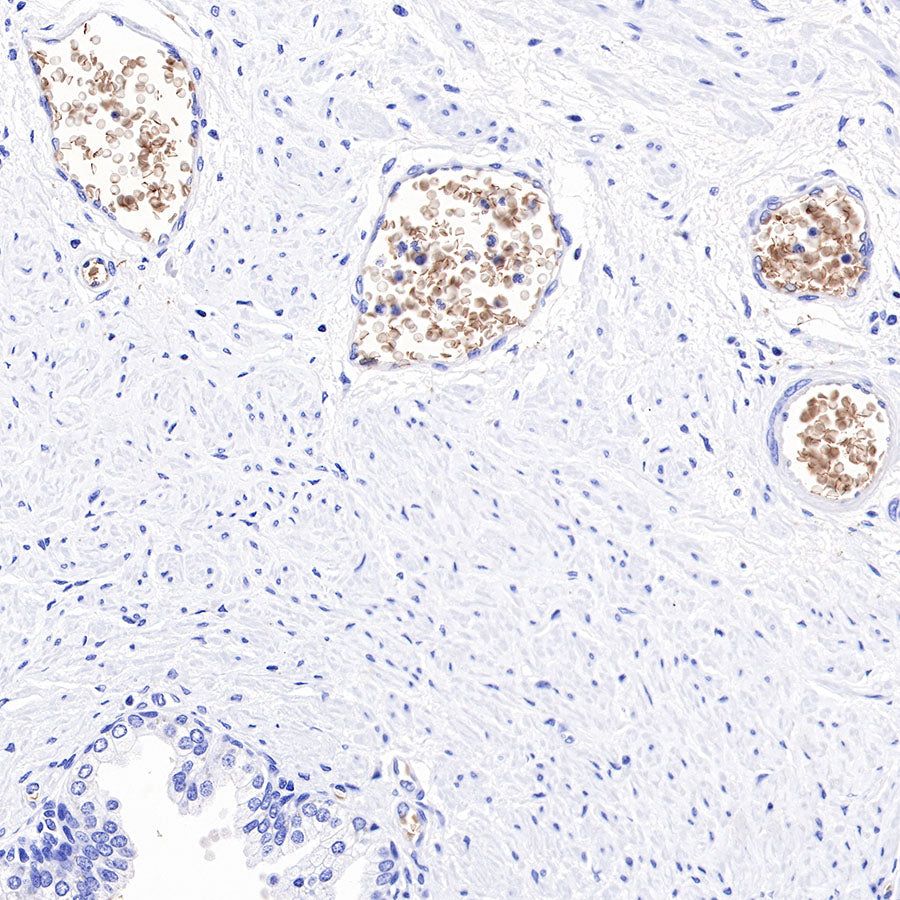
Immunohistochemistry











