Flow cytometric analysis of 4% PFA fixed 90% methanol permeabilized HeLa (Human cervix adenocarcinoma epithelial cell) labelling GP73/GOLPH2 antibody at 1/500 dilution (0.1 μg) / (Red) compared with a Rabbit monoclonal IgG (Black) isotype control and an unlabelled control (cells without incubation with primary antibody and secondary antibody) (Blue). Goat Anti - Rabbit IgG Alexa Fluor® 488 was used as the secondary antibody.
Product Details
Product Details
Product Specification
Host | Rabbit |
Antigen | GP73/GOLPH2 |
Synonyms | Golgi membrane protein 1, Golgi phosphoprotein 2, C9orf155,GOLM1 |
Immunogen | Recombinant Protein |
Location | Golgi Apparatus, cis-Golgi network membrane |
Accession | Q8NBJ4 |
Clone Number | SDT-231-102 |
Antibody Type | Rabbit mAb |
Application | IHC-P, ICC, ICFCM |
Reactivity | Hu, Rt |
Purification | Protein A |
Concentration | 0.5 mg/ml |
Physical Appearance | Liquid |
Storage Buffer | PBS, 40% Glycerol, 0.05% BSA, 0.03% Proclin 300 |
Stability & Storage | 12 months from date of receipt / reconstitution, -20 °C as supplied. |
Dilution
application | dilution | species |
IHC-P | 1:1000 | |
ICC | 1:50 | |
ICFCM | 1:500 |
Background
Golgi phosphoprotein 2 (GOLPH2), also known as Golgi protein 73 (GP73) and Golgi membrane protein 1 (GOLM1), is coded by the GOLM1 gene on chromosome 9q21.33 and was first described in giant cell hepatitis [PMID: 10831838]. Structurally, GOLPH2 protein consists of a short cytoplasmic N-terminal domain, a membrane spanning region, some coiled-coil domains and a longer luminal C-terminal domain. Due to the diverse and heterogeneous function of proteins trafficking through the Golgi system the location of GOLPH2 within the Golgi membrane suggests possible roles in intracellular transportation, cell signalling, protein construction and modification or structural or maintenance tasks [PMID: 20184749].
Picture
Picture
FC

Immunohistochemistry

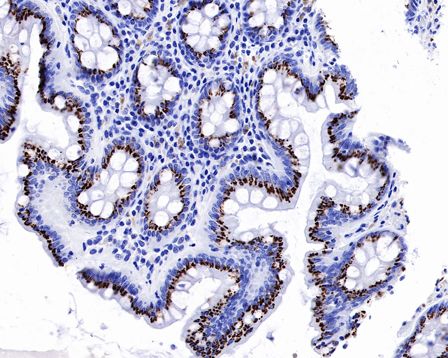
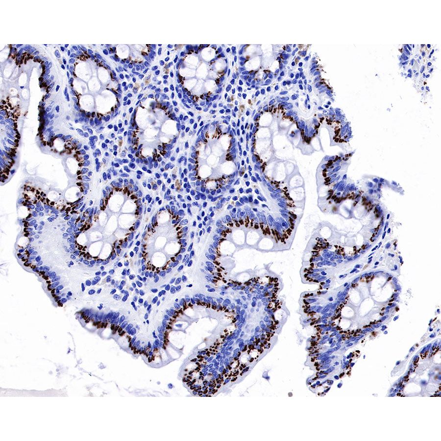
IHC shows positive staining in paraffin-embedded human colon. Anti-GP73/GOLPH2 antibody was used at 1/1000 dilution, followed by a HRP Polymer for Mouse & Rabbit IgG (ready to use). Counterstained with hematoxylin. Heat mediated antigen retrieval with Tris/EDTA buffer pH9.0 was performed before commencing with IHC staining protocol.

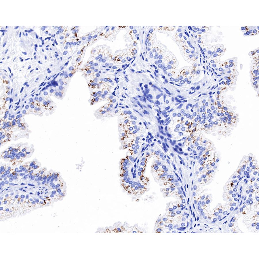
IHC shows positive staining in paraffin-embedded human stomach. Anti-GP73/GOLPH2 antibody was used at 1/1000 dilution, followed by a HRP Polymer for Mouse & Rabbit IgG (ready to use). Counterstained with hematoxylin. Heat mediated antigen retrieval with Tris/EDTA buffer pH9.0 was performed before commencing with IHC staining protocol.

IHC shows positive staining in paraffin-embedded human prostate. Anti-GP73/GOLPH2 antibody was used at 1/1000 dilution, followed by a HRP Polymer for Mouse & Rabbit IgG (ready to use). Counterstained with hematoxylin. Heat mediated antigen retrieval with Tris/EDTA buffer pH9.0 was performed before commencing with IHC staining protocol.

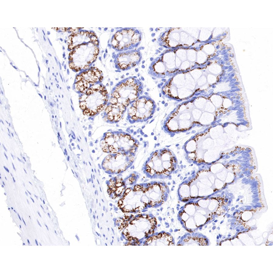
IHC shows positive staining in paraffin-embedded rat colon. Anti-GP73/GOLPH2 antibody was used at 1/1000 dilution, followed by a HRP Polymer for Mouse & Rabbit IgG (ready to use). Counterstained with hematoxylin. Heat mediated antigen retrieval with Tris/EDTA buffer pH9.0 was performed before commencing with IHC staining protocol.

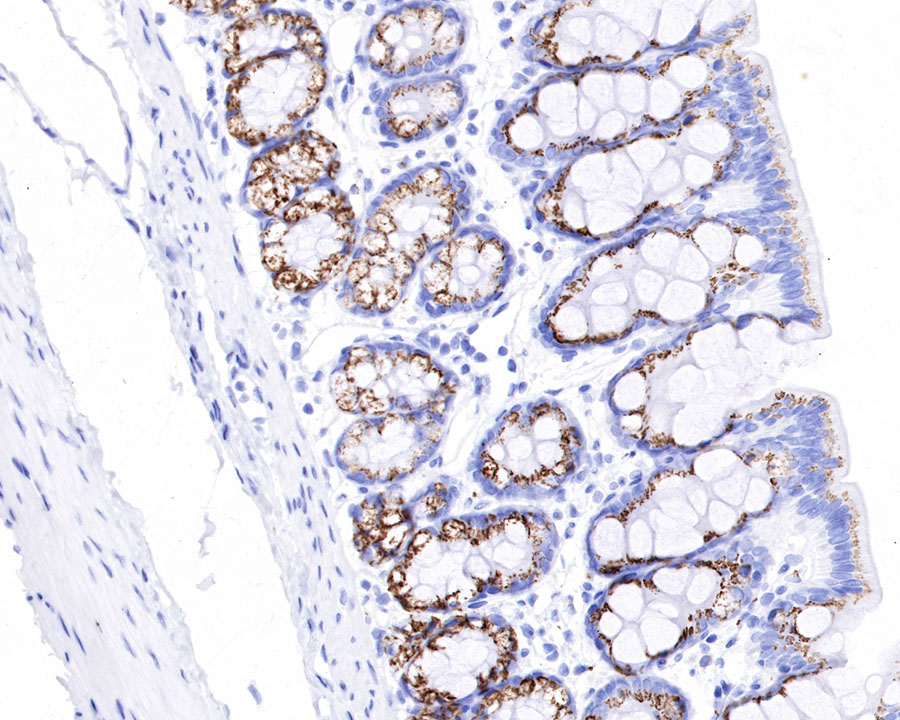
IHC shows positive staining in paraffin-embedded rat stomach. Anti-GP73/GOLPH2 antibody was used at 1/1000 dilution, followed by a HRP Polymer for Mouse & Rabbit IgG (ready to use). Counterstained with hematoxylin. Heat mediated antigen retrieval with Tris/EDTA buffer pH9.0 was performed before commencing with IHC staining protocol.
Immunocytochemistry

ICC shows positive staining in HeLa cells. Anti-GP73/GOLPH2 antibody was used at 1/50 dilution (Green) and incubated overnight at 4°C. Goat polyclonal Antibody to Rabbit IgG - H&L (Alexa Fluor® 488) was used as secondary antibody at 1/1000 dilution. The cells were fixed with 4%PFA and permeabilized with 0.1% PBS-Triton X-100. Nuclei were counterstained with DAPI (Blue).Counterstain with GM130 (red).






