Skip to product information
1 of 8

CD155/PVR Recombinant Rabbit mAb (SDT-289-68)

CD155/PVR Recombinant Rabbit mAb (SDT-289-68)

Catalog Number: S0B0080 Application: WB,IHC-P Reactivity: Human Conjugation: Unconjugated Brand: Starter
Price:
Regular price $100 USD
Regular price Sale price $100 USD
Size:
For shipping services or bulk orders, you may request a quotation.
Secure checkout with
View full details

Product Details

Product Specification


Host Rabbit
Antigen CD155/PVR
Synonyms Poliovirus receptor, Nectin-like protein 5, NECL-5, PVS
Immunogen Recombinant Protein
Location Secreted, Cell membrane
Accession P15151
Clone Number SDT-289-68
Antibody Type Recombinant mAb
Application WB, IHC-P
Reactivity Hu
Purification Protein A
Concentration 0.25 mg/ml
Physical Appearance Liquid
Storage Buffer PBS, 40% Glycerol, 0.05% BSA, 0.03% Proclin 300
Stability & Storage 12 months from date of receipt / reconstitution, -20 °C as supplied

Dilution


application dilution species
WB 1:1000 null
IHC-P 1:1000-1:2000 null

Background

Poliovirus receptor (PVR, CD155), a member of the nectin-like family of proteins, is recently emerging as a promising target in immunotherapy that enhances the existing anti-tumor responses. Similar to other members of the family, PVR is involved in important cellular processes, such as adhesion, contact inhibition, migration, proliferation, and the immune response [PMID: 18648374]. PVR is dramatically overexpressed in several human malignancies, whereas its expression is low or absent in most healthy tissues [PMID: 10841575, PMID: 11454801, PMID: 15604290, PMID: 15536144, PMID: 19801517]. Consistent with PVR biology, its overexpression promotes tumor cell invasion, migration, and proliferation and is associated with a poor prognosis and enhanced tumor progression [PMID: 16322240, PMID: 17893876, PMID: 25743219, PMID: 25862891]. Simultaneously, PVR has a considerable immunoregulatory potential. It interacts with the (co)stimulatory receptor DNAM-1 and the inhibitory receptors TIGIT and CD96, resulting in either immune cell activation or inhibition, respectively [PMID: 28870470].

Picture

Western Blot

WB result of CD155 Rabbit mAb Primary antibody: CD155 Rabbit mAb at 1/1000 dilution Lane 1: Raji whole cell lysate 20 µg Lane 2: HUVEC whole cell lysate 20 µg Lane 3: HeLa whole cell lysate 20 µg Negative control: Raji whole cell lysate Secondary antibody: Goat Anti-Rabbit IgG, (H+L), HRP conjugated at 1/10000 dilution Predicted MW: 45kDa Observed MW: 70kDa

Immunohistochemistry

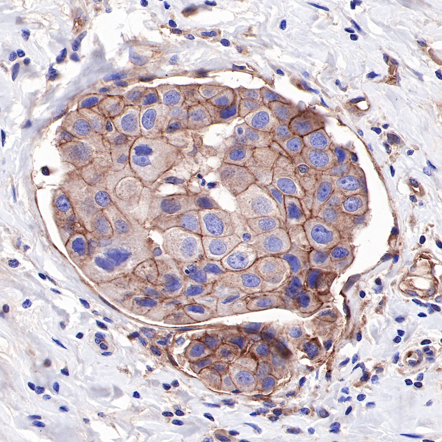
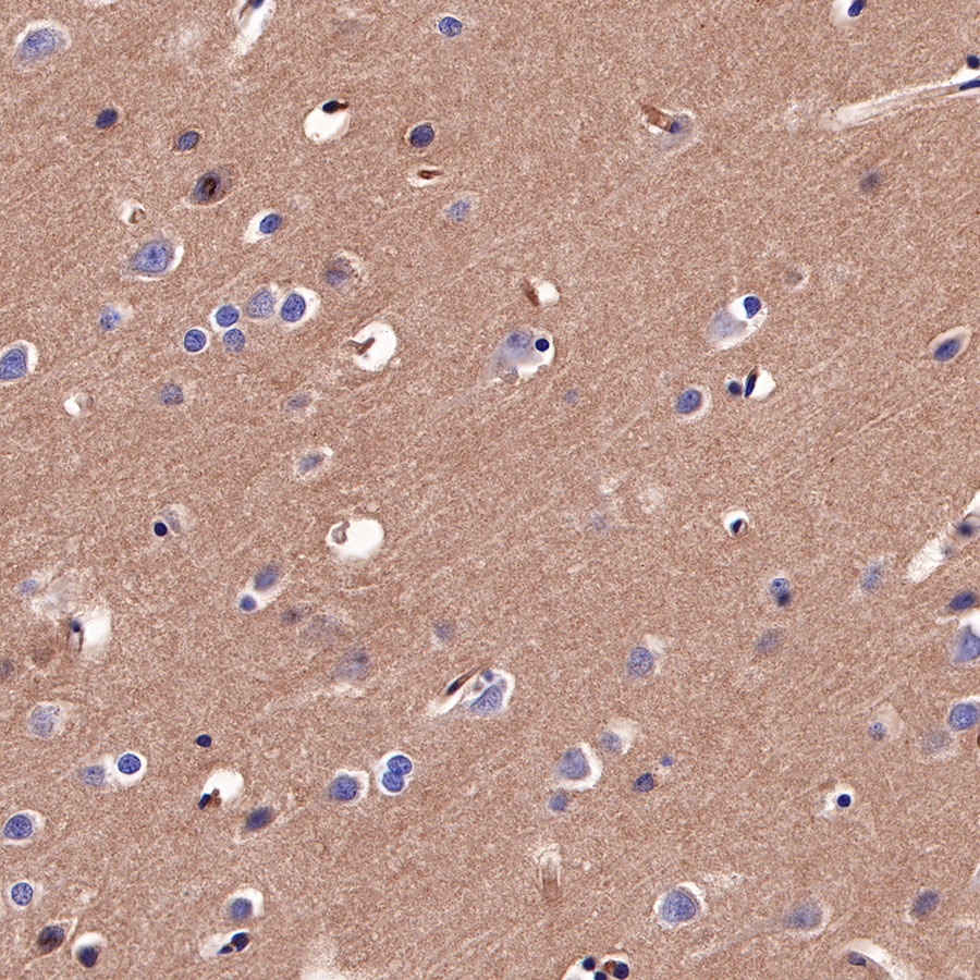
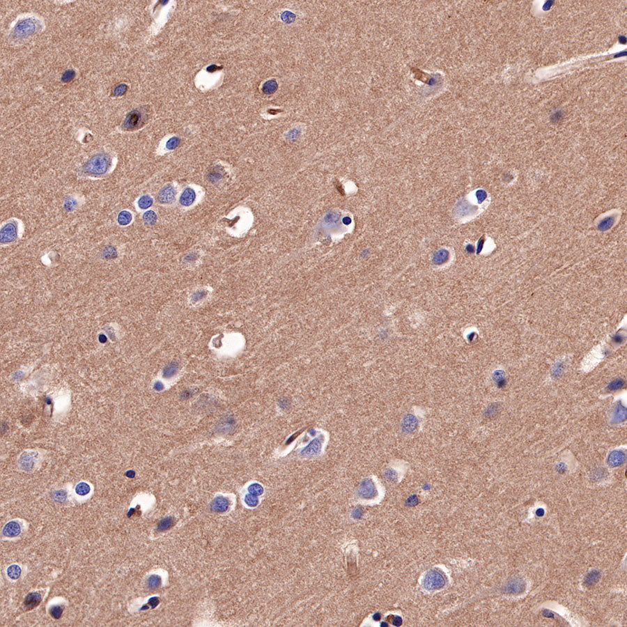
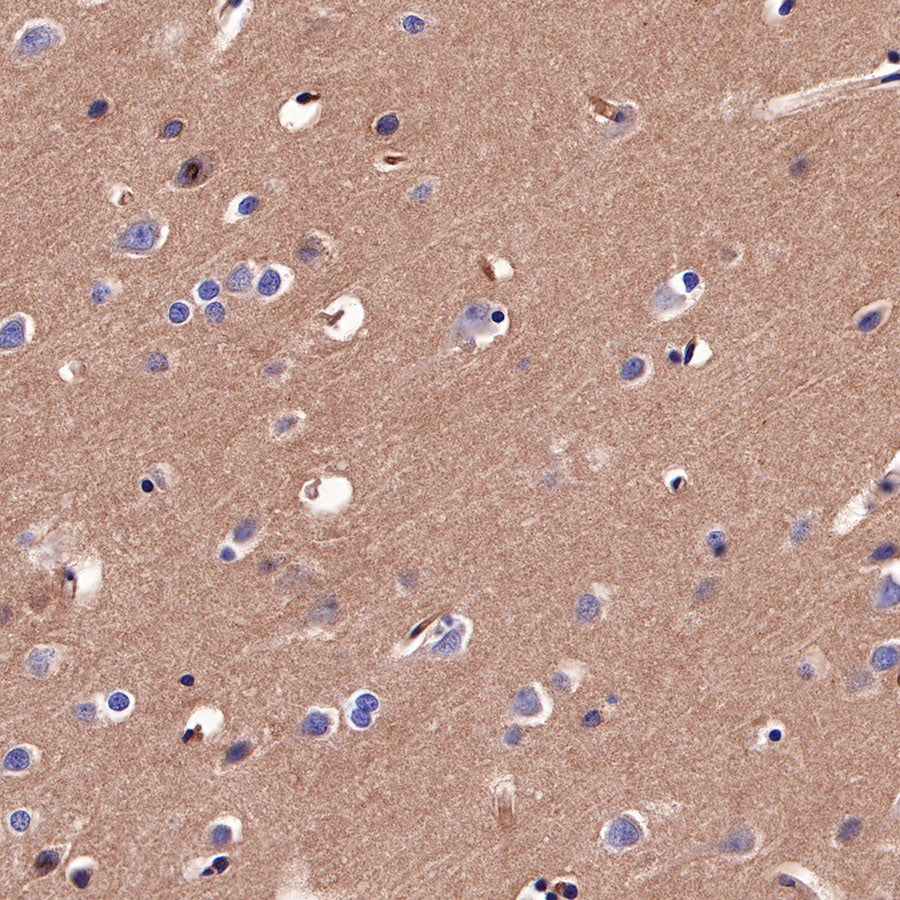
IHC shows positive staining in paraffin-embedded human cerebral cortex. Anti-CD155/PVR antibody was used at 1/1000 dilution, followed by a HRP Polymer for Mouse & Rabbit IgG (ready to use). Counterstained with hematoxylin. Heat mediated antigen retrieval with Tris/EDTA buffer pH9.0 was performed before commencing with IHC staining protocol.
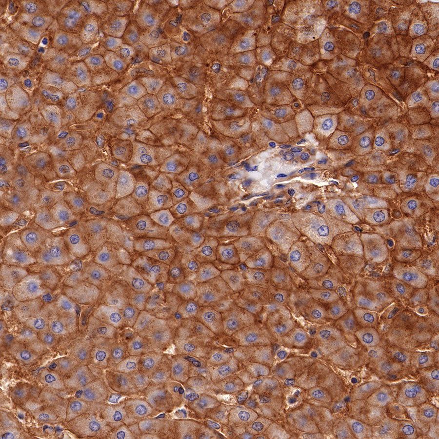
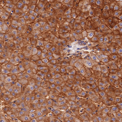
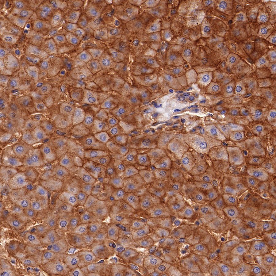
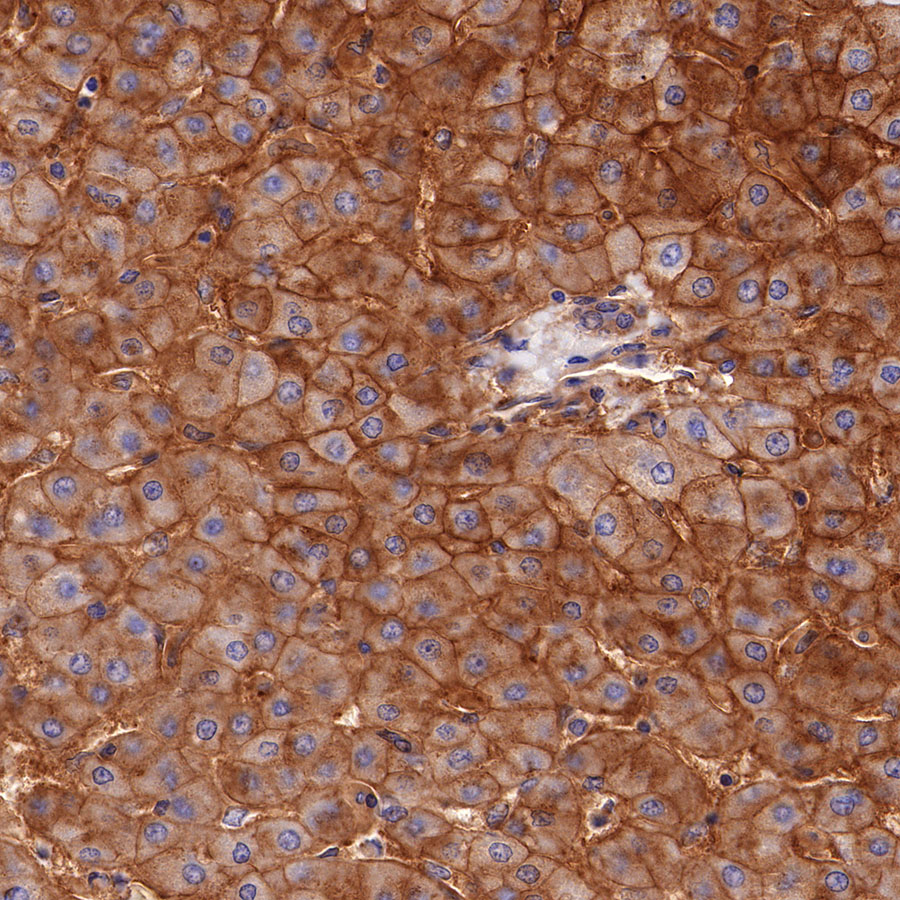
IHC shows positive staining in paraffin-embedded human liver. Anti-CD155/PVR antibody was used at 1/1000 dilution, followed by a HRP Polymer for Mouse & Rabbit IgG (ready to use). Counterstained with hematoxylin. Heat mediated antigen retrieval with Tris/EDTA buffer pH9.0 was performed before commencing with IHC staining protocol.
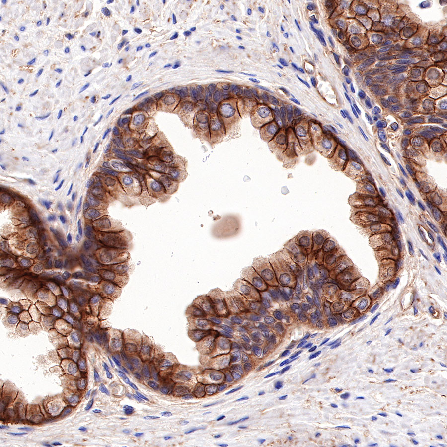
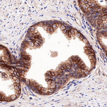
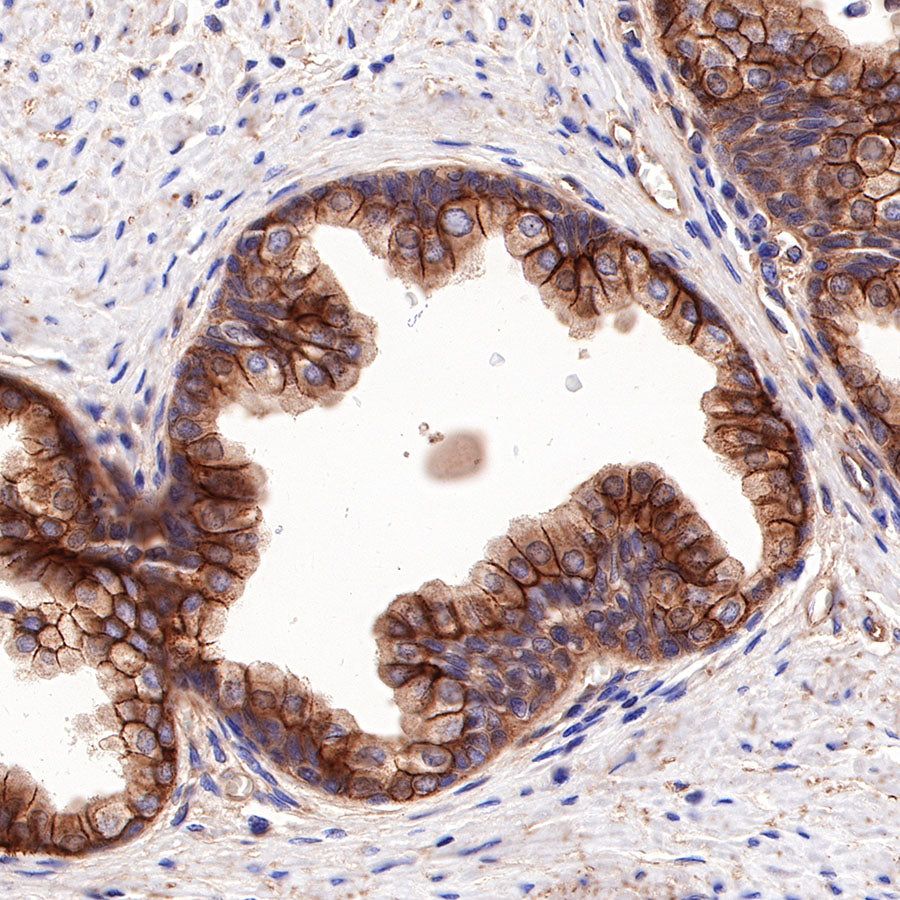
IHC shows positive staining in paraffin-embedded human prostate. Anti-CD155/PVR antibody was used at 1/1000 dilution, followed by a HRP Polymer for Mouse & Rabbit IgG (ready to use). Counterstained with hematoxylin. Heat mediated antigen retrieval with Tris/EDTA buffer pH9.0 was performed before commencing with IHC staining protocol.
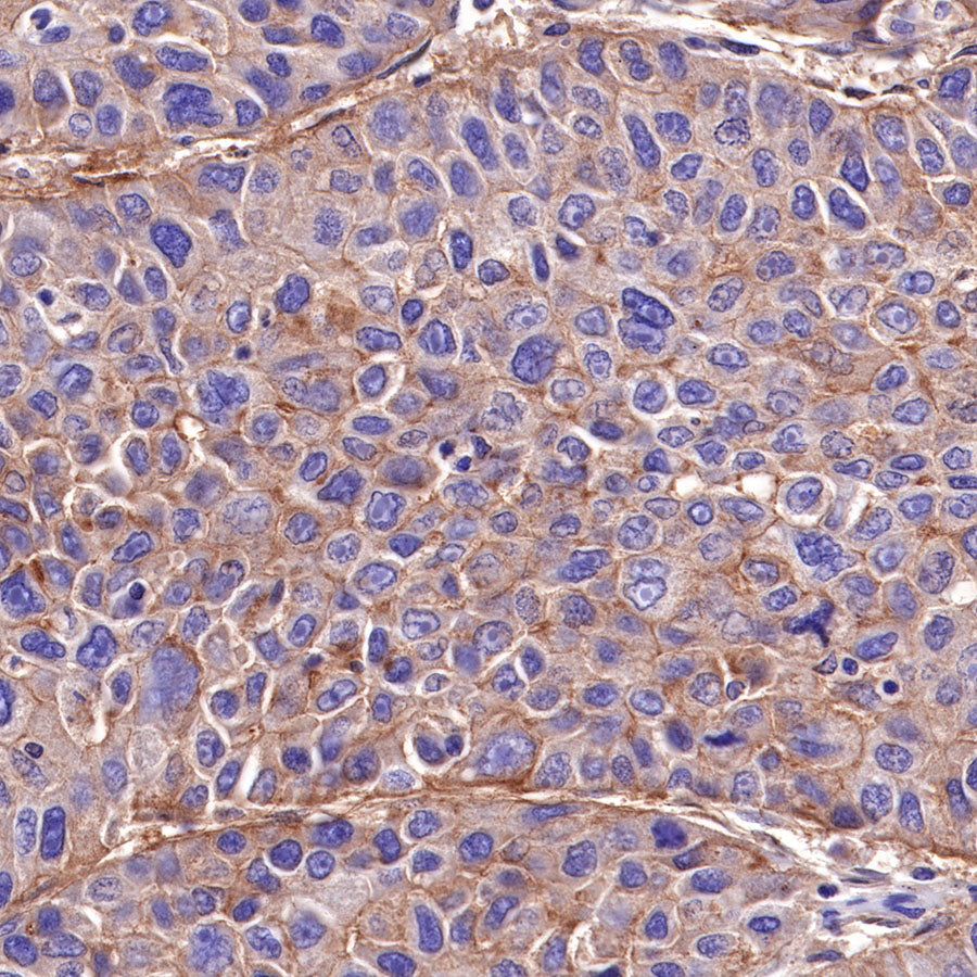
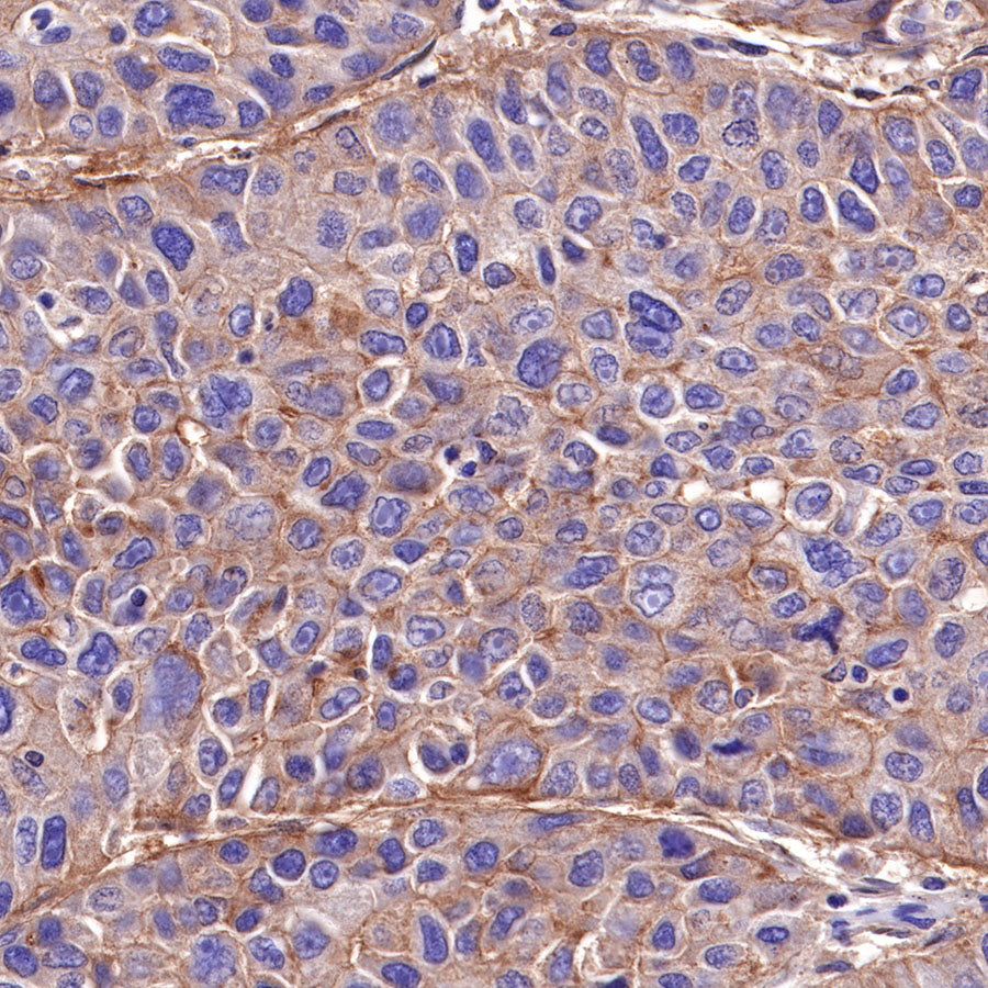
IHC shows positive staining in paraffin-embedded human hepatocellular carcinoma. Anti-CD155/PVR antibody was used at 1/2000 dilution, followed by a HRP Polymer for Mouse & Rabbit IgG (ready to use). Counterstained with hematoxylin. Heat mediated antigen retrieval with Tris/EDTA buffer pH9.0 was performed before commencing with IHC staining protocol.
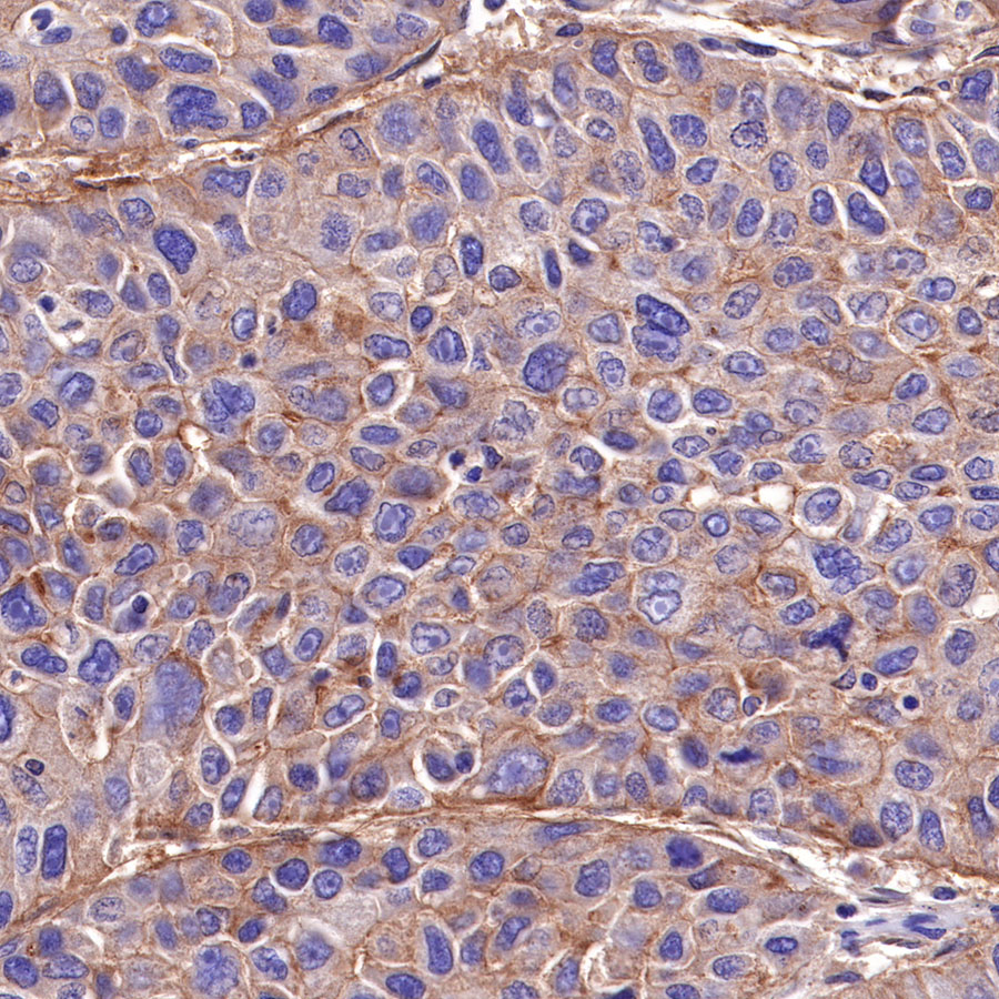
IHC shows positive staining in paraffin-embedded human breast cancer. Anti-CD155/PVR antibody was used at 1/1000 dilution, followed by a HRP Polymer for Mouse & Rabbit IgG (ready to use). Counterstained with hematoxylin. Heat mediated antigen retrieval with Tris/EDTA buffer pH9.0 was performed before commencing with IHC staining protocol.
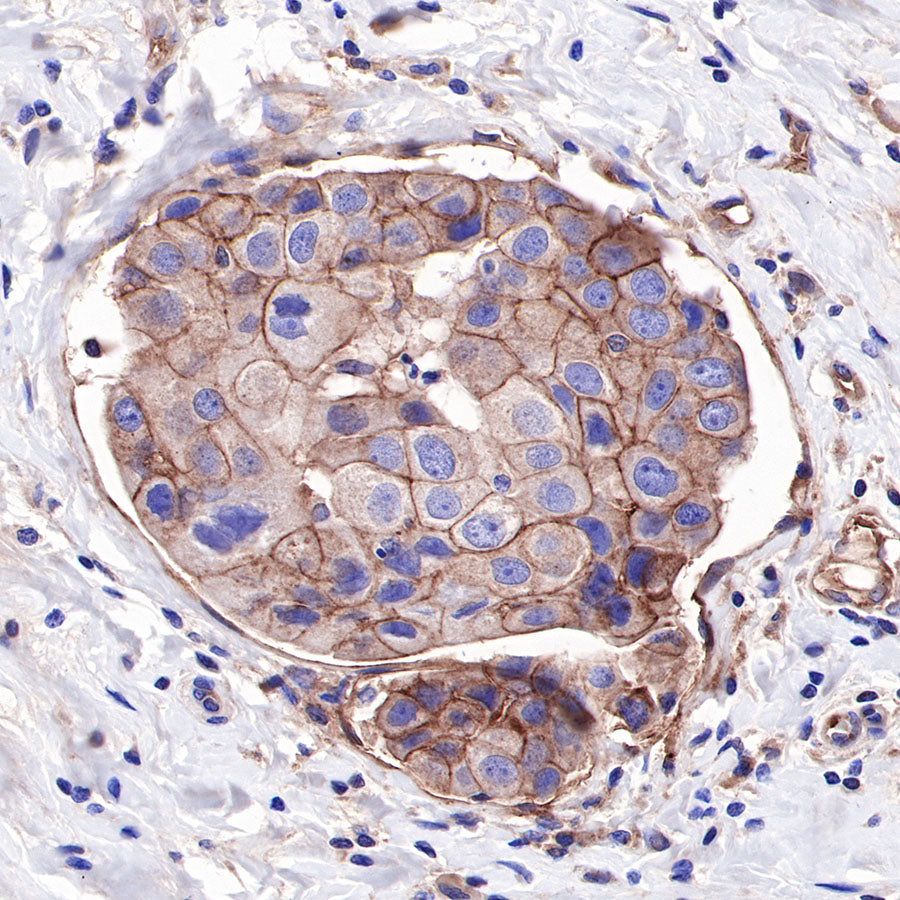
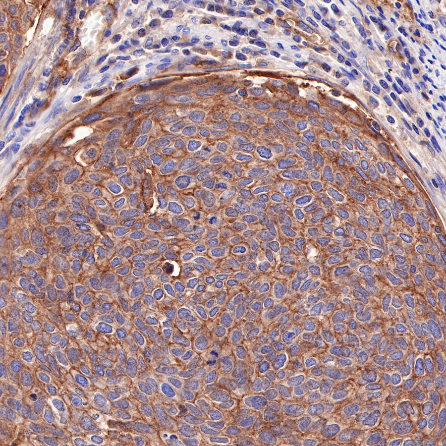
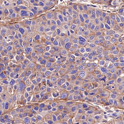
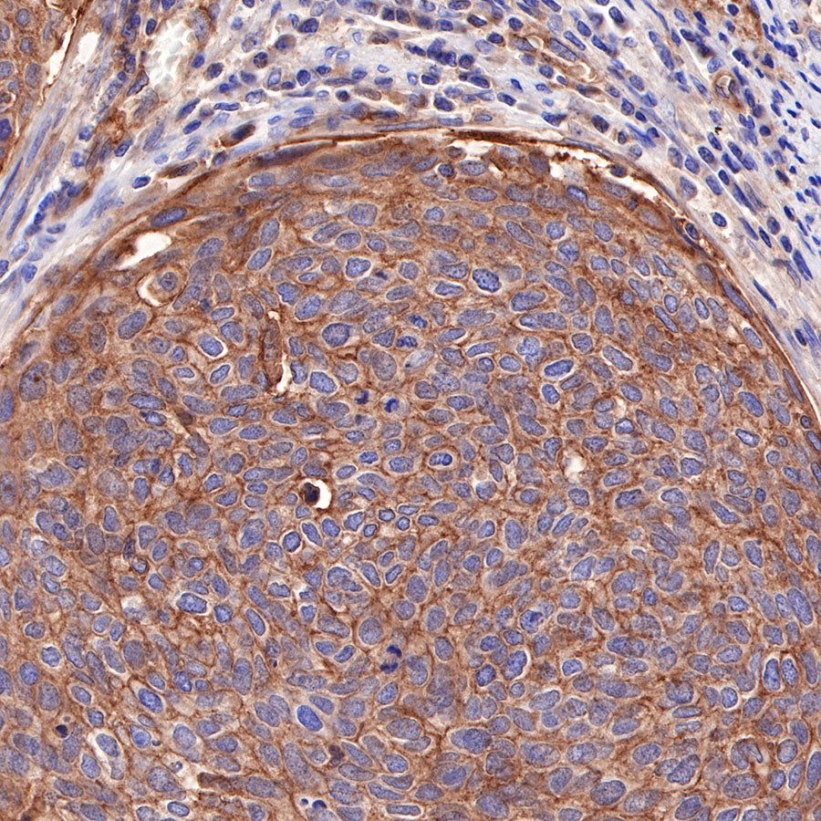
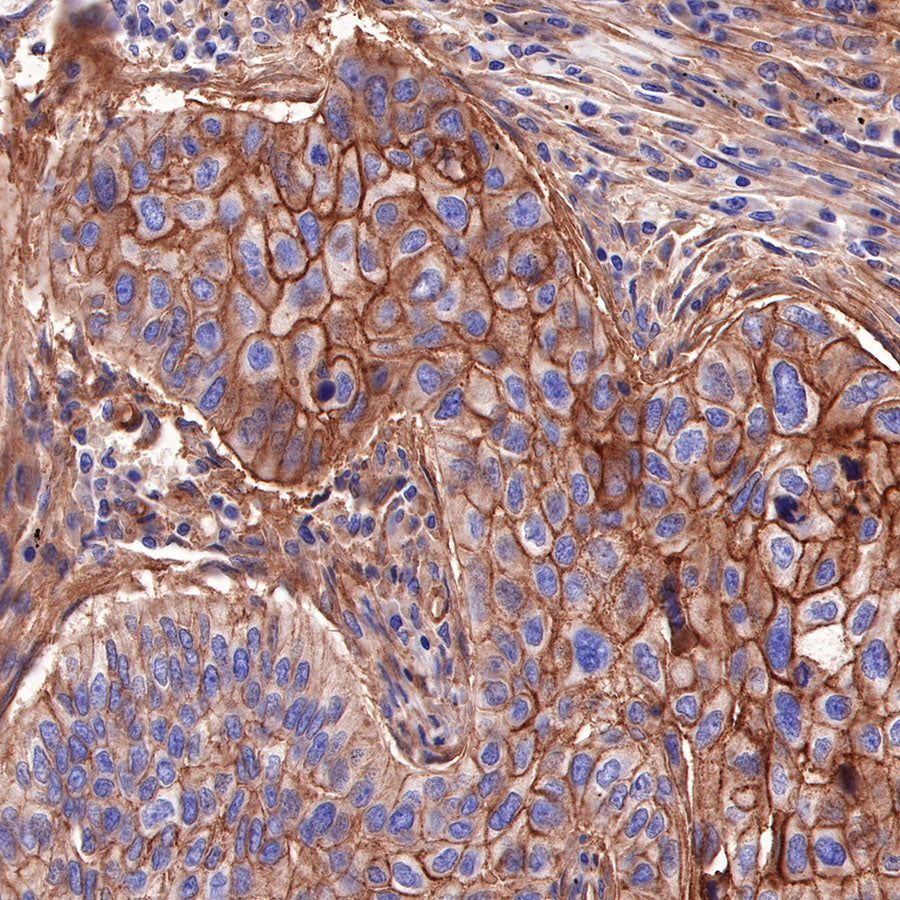
IHC shows positive staining in paraffin-embedded human cervical squamous cell carcinoma. Anti-CD155/PVR antibody was used at 1/1000 dilution, followed by a HRP Polymer for Mouse & Rabbit IgG (ready to use). Counterstained with hematoxylin. Heat mediated antigen retrieval with Tris/EDTA buffer pH9.0 was performed before commencing with IHC staining protocol.
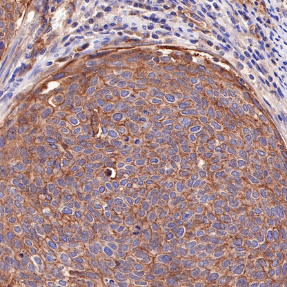
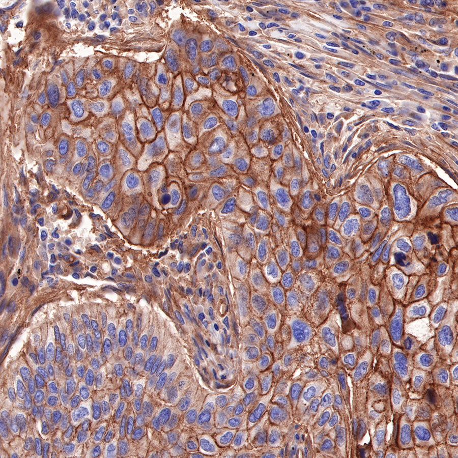
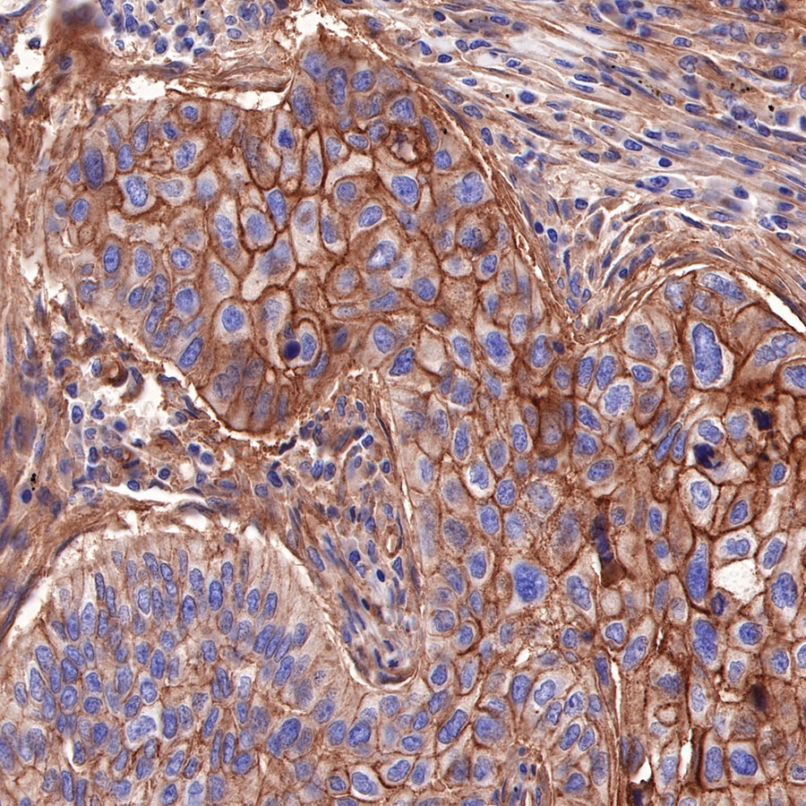
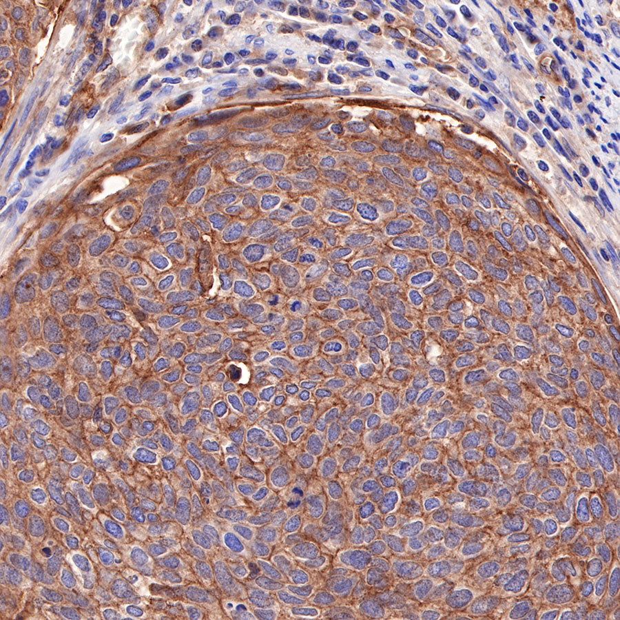
IHC shows positive staining in paraffin-embedded human lung squamous cell carcinoma. Anti-CD155/PVR antibody was used at 1/1000 dilution, followed by a HRP Polymer for Mouse & Rabbit IgG (ready to use). Counterstained with hematoxylin. Heat mediated antigen retrieval with Tris/EDTA buffer pH9.0 was performed before commencing with IHC staining protocol.

Customer Reviews

Be the first to write a review
0%
(0)
0%
(0)
0%
(0)
0%
(0)
0%
(0)