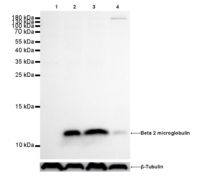
WB result of beta 2 microglobulin Rabbit mAb Primary antibody: beta 2 microglobulin Rabbit mAb at 1/500 dilution
Lane 1: Daudi whole cell lysate 20 µg
Lane 2: Hela whole cell lysate 20 µg
Lane 3: Jurkat whole cell lysate 20 µg
Lane 4: HepG2 whole cell lysate 20 µg
Negative control: Daudi whole cell lysate Secondary antibody: Goat Anti-Rabbit IgG, (H+L), HRP conjugated at 1/10000 dilution
Predicted MW: 12 kDa
Observed MW: 12 kDa
Exposure time: 180s
Product Details
Product Details
Product Specification
Host | Rabbit |
Antigen | Beta 2 microglobulin |
Synonyms | Beta-2-microglobulin form pI 5.3, B2M |
Immunogen | Recombinant Protein |
Location | Secreted, Cell Surface |
Accession | P61769 |
Clone Number | SDT-096-100 |
Antibody Type | Rabbit mAb |
Application | WB, IHC-P |
Reactivity | Hu, Ms |
Predicted Reactivity | Or |
Purification | Protein A |
Concentration | 0.25mg/ml |
Physical Appearance | Liquid |
Storage Buffer | PBS, 40% Glycerol, 0.05%BSA, 0.03% Proclin 300 |
Stability & Storage | 12 months from date of receipt / reconstitution, -20 °C as supplied |
Dilution
application | dilution | species |
IHC-P | 1:1000 | |
WB | 1:500 |
Background
Picture
Picture
Western Blot

Immunohistochemistry

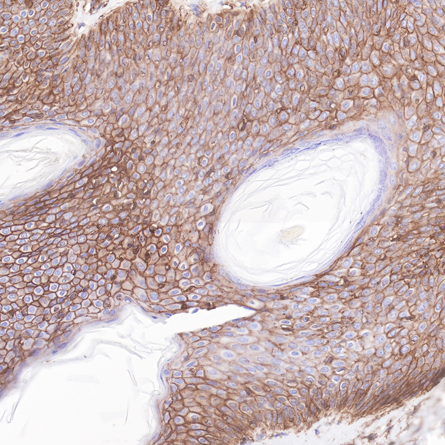
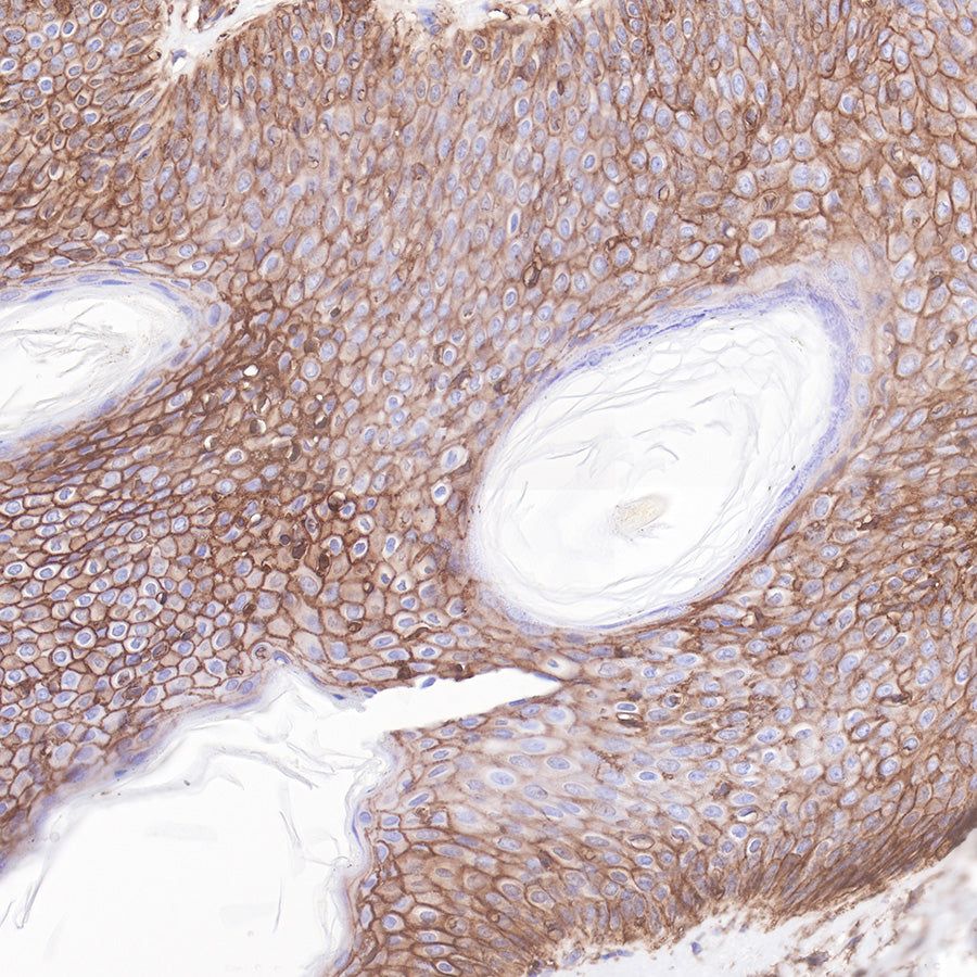
IHC shows positive staining in paraffin-embedded human skin.
Anti-Beta 2 microglobulin antibody was used at 1/1000 dilution, followed by a Goat Anti-Rabbit IgG H&L (HRP) ready to use.
Counterstained with hematoxylin.
Heat mediated antigen retrieval with Tris/EDTA buffer pH9.0 was performed before commencing with IHC staining protocol.

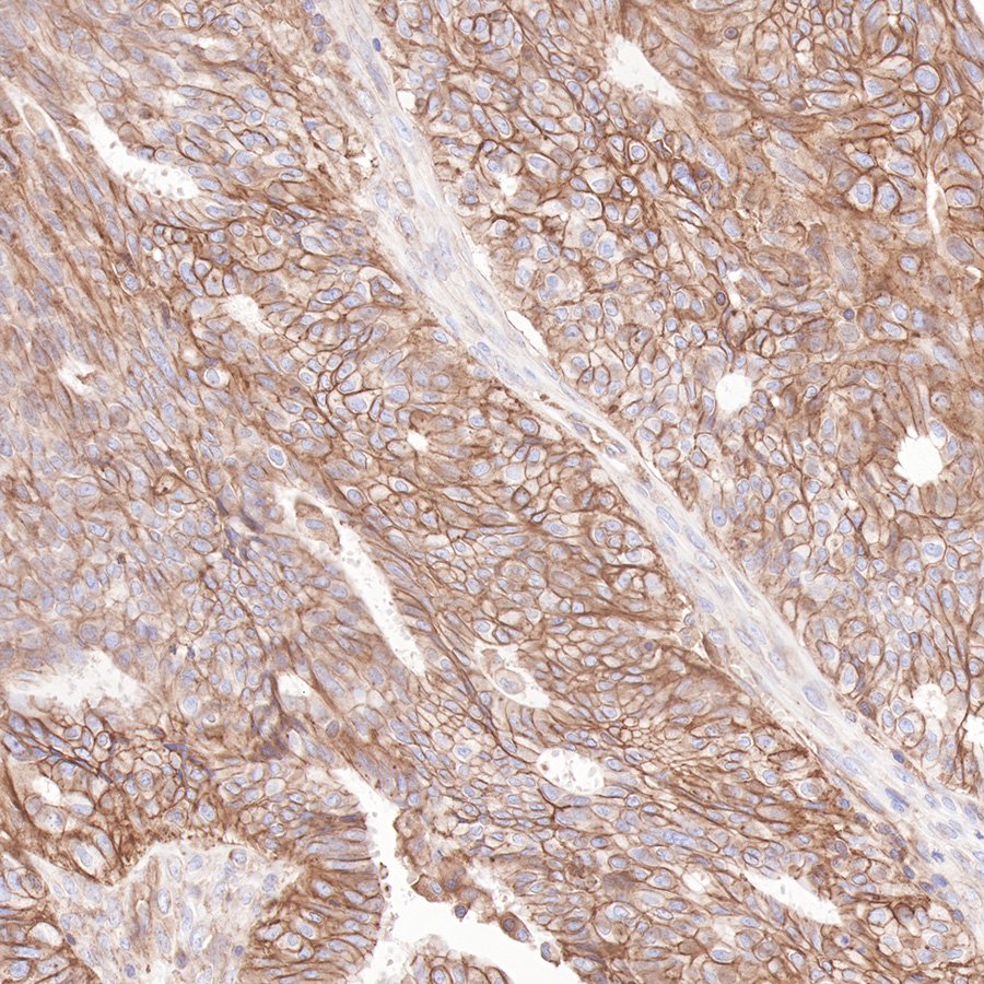
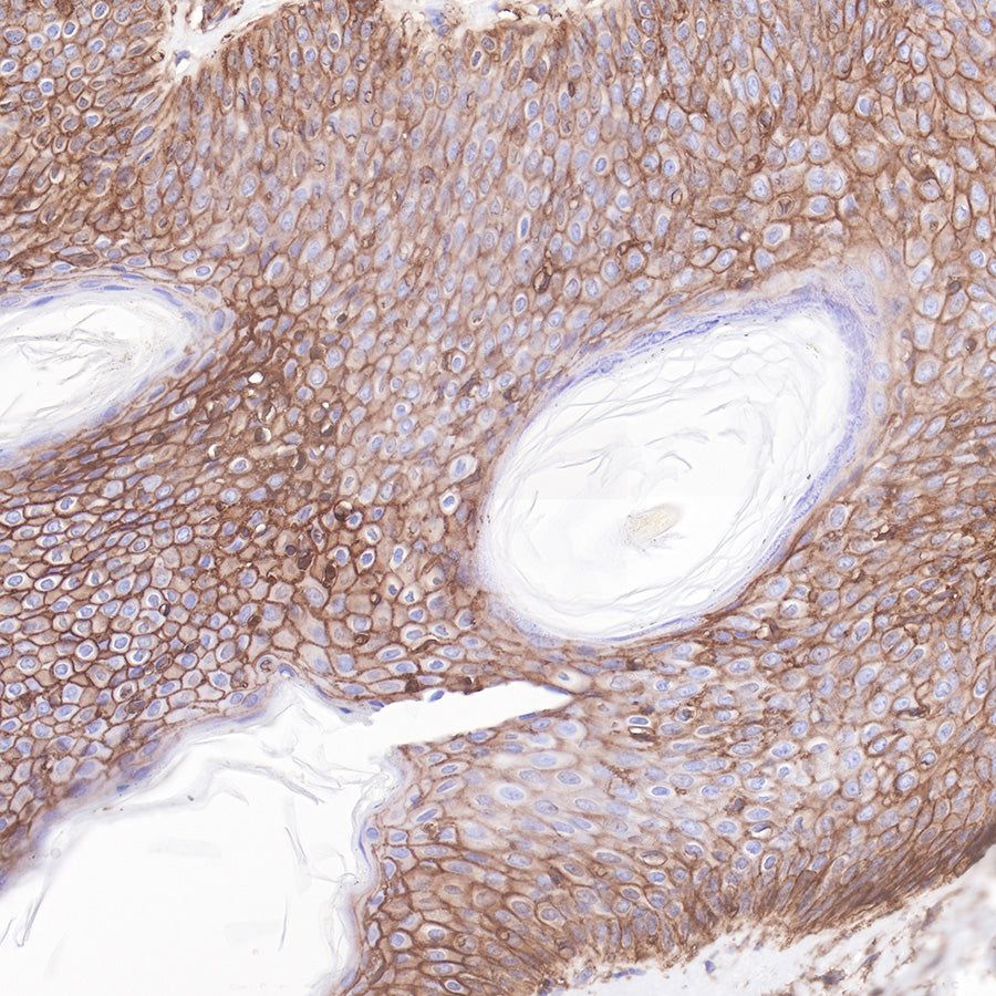
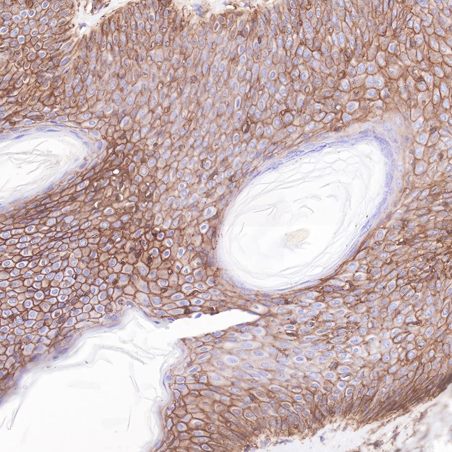
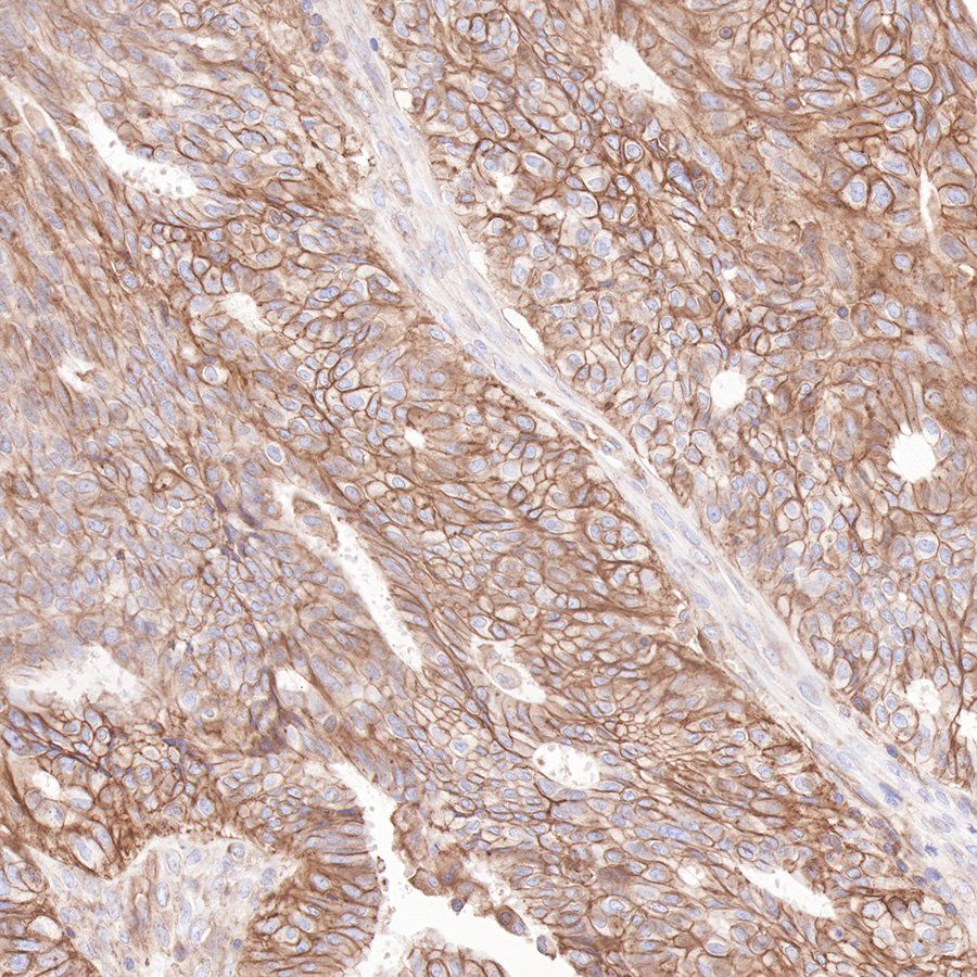
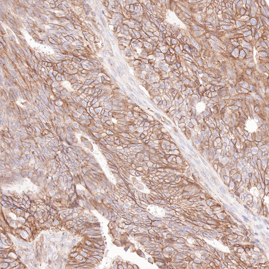
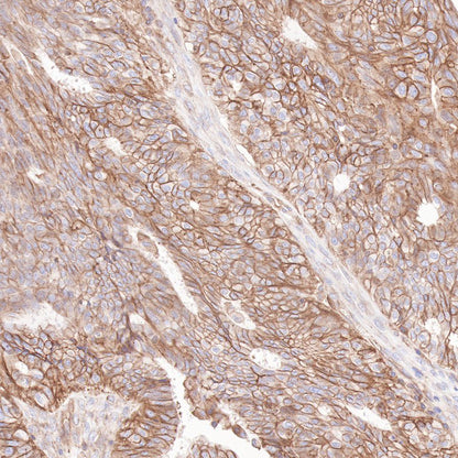
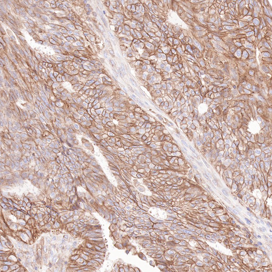
IHC shows positive staining in paraffin-embedded human ovarian cancer.
Anti-Beta 2 microglobulin antibody was used at 1/1000 dilution, followed by a Goat Anti-Rabbit IgG H&L (HRP) ready to use. Counterstained with hematoxylin.
Heat mediated antigen retrieval with Tris/EDTA buffer pH9.0 was performed before commencing with IHC staining protocol.

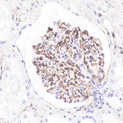
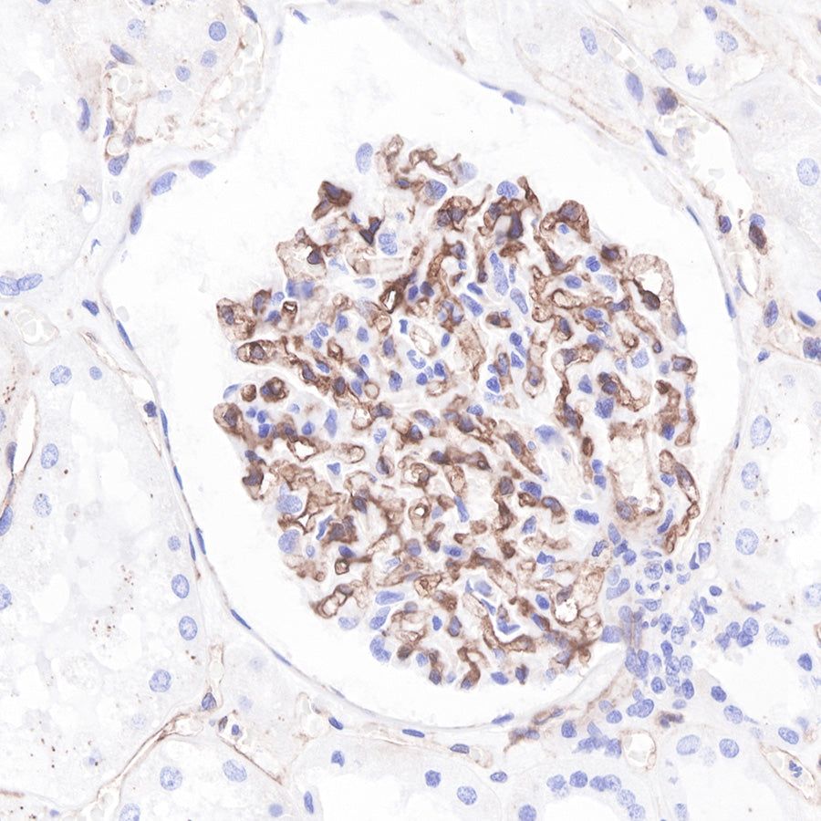
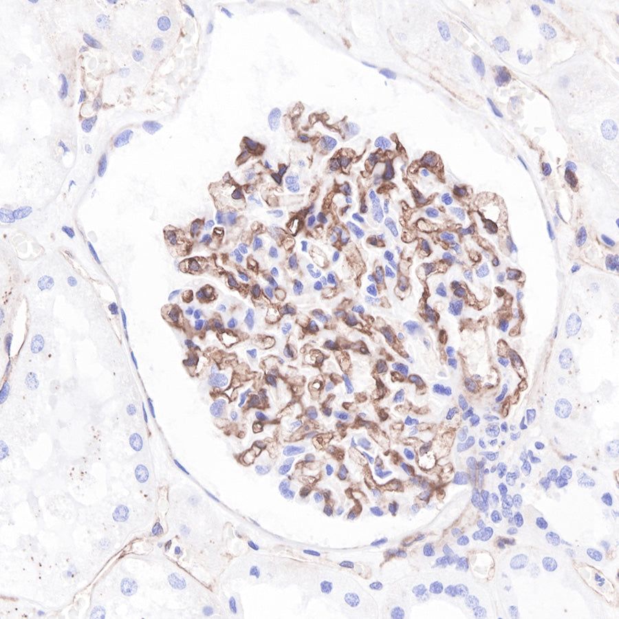
IHC shows positive staining in paraffin-embedded human kidney. Anti-Beta 2 microglobulin antibody was used at 1/1000 dilution, followed by a Goat Anti-Rabbit IgG H&L (HRP) ready to use.
Counterstained with hematoxylin.
Heat mediated antigen retrieval with Tris/EDTA buffer pH9.0 was performed before commencing with IHC staining protocol.

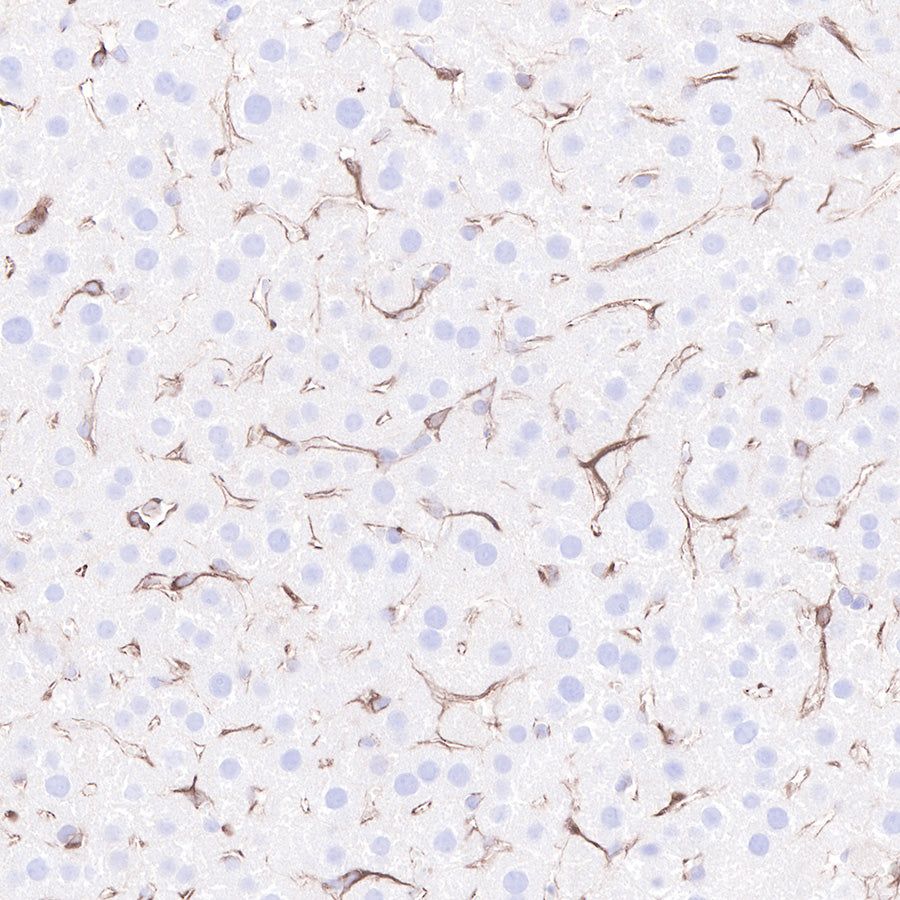
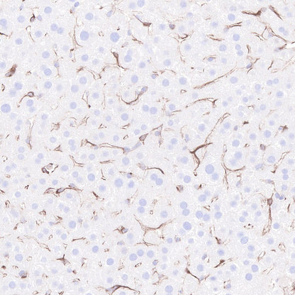
IHC shows positive staining in paraffin-embedded mouse liver.
Anti-Beta 2 microglobulin antibody was used at 1/1000 dilution, followed by a Goat Anti-Rabbit IgG H&L (HRP) ready to use.
Counterstained with hematoxylin.
Heat mediated antigen retrieval with Tris/EDTA buffer pH9.0 was performed before commencing with IHC staining protocol.




