Prolactin Antibodies: Core Tools for Endocrine Disease Diagnosis and Research
Concept
Prolactin (PRL), a 198-amino-acid polypeptide hormone, is predominantly synthesized and secreted by lactotroph cells in the posterolateral region of the anterior pituitary gland. As a key regulator of multiple physiological processes in the human body, PRL secretion is tightly modulated by prolactin-inhibiting and releasing factors under physiological conditions, maintaining a dynamic homeostatic balance. Its expression exhibits distinct circadian rhythmicity tied to sleep cycles and fluctuates significantly throughout the female reproductive cycle and pregnancy, exerting pivotal effects on mammary gland development, gonadal axis function, and metabolic homeostasis. Abnormal PRL expression, particularly hyperprolactinemia, is closely associated with a spectrum of endocrine and reproductive disorders, making specific and sensitive detection of PRL a cornerstone of endocrine disease diagnosis—with prolactin-specific antibodies serving as the core tool for such detection assays.
Research Frontiers
Recent advances in endocrinology and immunodetection technology have deepened our understanding of PRL’s biological functions and refined the diagnostic applications of prolactin antibodies, driving breakthroughs in both basic research and clinical practice. Cutting-edge studies have clarified the molecular mechanisms underlying PRL’s regulatory effects on reproductive and metabolic pathways, while technological innovations in antibody engineering have yielded high-performance prolactin antibodies with superior specificity, affinity and multi-platform adaptability.
A major research frontier focuses on the differential detection of PRL molecular isoforms (monomeric, big, and macroprolactin) using isoform-specific antibodies, as distinct PRL molecular forms exhibit varying biological activities and clinical significances—an often-overlooked factor in misdiagnosis of hyperprolactinemia. Additionally, translational research is advancing the development of automated, high-throughput PRL detection systems based on novel prolactin antibodies, enabling real-time dynamic monitoring of PRL secretion rhythms and early diagnosis of hypothalamic-pituitary axis dysfunction. Concurrently, research into the role of PRL in extra-pituitary tissues and pathological processes (e.g., pituitary adenoma progression, polycystic ovary syndrome) has expanded, with prolactin antibodies becoming an indispensable tool for exploring these novel research directions.
Research Significance
Exploring the applications of prolactin antibodies in endocrine disease diagnosis and PRL-related research holds profound scientific and clinical value for endocrinology, reproductive medicine and pathological research. At the basic research level, high-specificity prolactin antibodies enable precise identification and localization of lactotroph cells, facilitating in-depth investigations into PRL’s synthesis, secretion regulation and molecular mechanisms of action in target tissues—advancing our understanding of the hypothalamic-pituitary-gonadal axis and systemic metabolic regulation.
Clinically, prolactin antibody-based detection systems address a critical clinical need for accurate diagnosis and differential diagnosis of hyperprolactinemia, a prevalent disorder that causes menstrual irregularities, infertility, galactorrhea and other complications in women of reproductive age. These antibodies underpin the gold standard assays for PRL quantification and molecular form analysis, enabling etiological differentiation of hyperprolactinemia (e.g., pituitary prolactinoma vs. drug-induced vs. physiological elevation) and guiding personalized treatment strategies. Furthermore, prolactin antibodies serve as essential tools for screening, diagnosis and therapeutic monitoring of pituitary prolactinomas—the most common functional pituitary adenoma—improving clinical management and prognosis evaluation of such tumors. Beyond reproductive endocrinology, prolactin antibodies support auxiliary diagnosis of primary hypothyroidism and other endocrine disorders, expanding their clinical utility across multiple disease areas.
Core Mechanisms, Detection Technology and Product Applications
Key Biological Characteristics and Regulatory Mechanisms of PRL
- Secretion regulation and rhythmicity: PRL secretion is dually regulated by hypothalamic prolactin-inhibiting factors (predominantly dopamine) and releasing factors, with a marked circadian rhythm: levels rise rapidly after sleep onset, peak at 3-5 AM, decline gradually thereafter, and show a secondary afternoon elevation. Physiological states such as pregnancy, lactation and stress induce transient or sustained PRL elevation.
- Multi-faceted physiological functions: PRL modulates mammary gland development and lactogenesis, regulates gonadal axis function (ovulation and luteal maintenance in females, spermatogenesis in males), and participates in the homeostasis of protein, lipid and carbohydrate metabolism. It also influences bone growth and calcium-phosphorus metabolism, highlighting its systemic regulatory role.
- Molecular form diversity: PRL exists in three main molecular forms in circulation: monomeric PRL (23kDa, the biologically active form), big PRL (50-60kDa) and macroprolactin (>100kDa, a biologically inactive immune complex). The proportion of these forms varies in pathological states, necessitating isoform-specific detection for accurate clinical interpretation.
- Pathological dysregulation in disease: Persistent PRL elevation (hyperprolactinemia, >1.14 nmol/L or 25 μg/L) arises from hypothalamic-pituitary disorders (e.g., prolactinomas), other endocrine diseases (e.g., primary hypothyroidism), medication effects or physiological factors, leading to reproductive and endocrine dysfunction via gonadal axis suppression.
Technical Advantages of Prolactin Antibodies in Clinical and Research Detection
Prolactin-specific antibodies are the core of modern PRL detection assays, offering unparalleled technical advantages that underpin their widespread use in clinical diagnosis and basic research:
- Ultra-high specificity: Monoclonal prolactin antibodies enable precise recognition of PRL molecules, effectively eliminating cross-reactivity with structurally homologous hormones (e.g., growth hormone, placental lactogen) for target-specific detection.
- High-sensitivity quantification: When combined with signal amplification technologies (chemiluminescence, time-resolved fluorescence), prolactin antibodies detect ultra-low PRL concentration changes, meeting the needs of early disease diagnosis and dynamic monitoring of treatment efficacy.
- Molecular form differentiation: Isoform-specific prolactin antibodies distinguish between active and inactive PRL molecular forms, resolving diagnostic ambiguity caused by macroprolactinemia and ensuring accurate clinical interpretation of test results.
- Automated and high-throughput compatibility: Prolactin antibodies are optimized for automated immunoassay platforms, enabling high-throughput PRL testing and precise monitoring of circadian secretion rhythms for comprehensive temporal diagnostic information.
- Standardized and reproducible results: Standardized antibody detection systems paired with international reference standards ensure inter-laboratory comparability and result accuracy, with rigorous quality control guaranteeing reliable and reproducible detection outcomes.
Critical Technical Considerations for Prolactin Antibody-Based Detection
To ensure the accuracy and clinical reliability of PRL detection results using prolactin antibodies, strict adherence to standardized experimental and sampling protocols is essential:
- Standardized sampling time: Blood samples should be collected between 9 AM and 12 PM after an overnight fast, aligning with the circadian trough of PRL secretion to avoid false elevation from rhythmic fluctuations.
- Stress factor mitigation: Vigorous exercise, emotional agitation, breast stimulation and acute stress should be avoided prior to sampling, as these factors induce transient PRL elevation and test result bias.
- Medication history assessment: A detailed review of the patient’s medication history is required to identify drugs that may elevate PRL (antipsychotics, antidepressants, antihypertensives, gastrointestinal motility drugs) and interpret results accordingly.
- Molecular form analysis for discrepant results: For test results inconsistent with clinical manifestations, PRL molecular form analysis is recommended to exclude interference from macroprolactinemia (inactive PRL immune complexes).
- Dynamic monitoring for borderline results: Repeat testing or dynamic functional assays (e.g., metoclopramide stimulation test) are advised for borderline or suspicious PRL levels to confirm pathological dysregulation.
Applications of ANT BIO PTE. LTD. Products in PRL Research and Endocrine Diagnosis
ANT BIO PTE. LTD.’s Starter sub-brand—a specialist in high-quality recombinant antibodies—has developed a portfolio of high-performance prolactin antibodies that serve as the gold standard for PRL-related basic research and clinical diagnostic reagent development. Leveraging the proprietary S-RMab® recombinant rabbit monoclonal antibody platform technology, these antibodies exhibit exceptional specificity, affinity and batch-to-batch consistency, with core applications spanning endocrine disease diagnosis, pituitary pathology research and reproductive endocrinology studies:
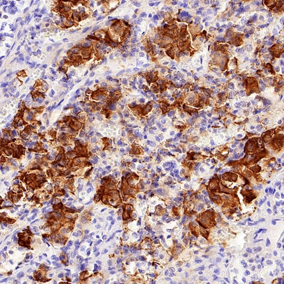
- Pituitary adenoma pathological diagnosis and typing: The prolactin recombinant rabbit mAbs enable specific immunohistochemical (IHC) staining of lactotroph cells in pituitary tissue sections, serving as the gold standard for diagnosing prolactinomas—distinguishing functional from non-functional pituitary adenomas and guiding clinical treatment and prognosis evaluation.
- Reproductive endocrinology and physiological research: These antibodies facilitate investigations into PRL’s role in lactation initiation/maintenance, reproductive cycle regulation and gonadal axis function, supporting tissue analysis of normal and pregnancy pituitary glands and related animal models.
- Hyperprolactinemia etiological research: Beyond pituitary tumors, the antibodies enable exploration of PRL dysregulation caused by medication effects, hypothalamic dysfunction and lactotroph cell hyperplasia, clarifying the molecular mechanisms of non-tumorigenic hyperprolactinemia.
- Pituitary function assessment: As a specific marker for anterior pituitary lactotroph cells, the antibodies support evaluations of pituitary development, functional integrity and pathological changes in systemic diseases, advancing research into hypothalamic-pituitary axis dysfunction.
- Clinical diagnostic reagent development: As a high-quality core raw material, these prolactin antibodies underpin the development of immunoassays for quantitative detection of PRL in serum, cerebrospinal fluid and cell culture supernatants, enabling the creation of high-sensitivity and specific clinical diagnostic kits.
- Multi-platform experimental compatibility: ANT BIO PTE. LTD.’s prolactin antibodies are fully validated for use in IHC, immunofluorescence (IF), Western Blot (WB) and enzyme-linked immunosorbent assay (ELISA), meeting the diverse needs of basic research, pathological diagnosis and diagnostic reagent development with strong signals and low background noise.
Complementing these core prolactin antibody tools, ANT BIO PTE. LTD.’s Absin sub-brand offers a comprehensive range of general reagents and kits for endocrine tissue processing, cell culture and immunoassay development, while the UA sub-brand provides recombinant PRL proteins for antibody validation and in vitro binding assays—creating an all-in-one research solution for PRL-related endocrinology and pathology studies. The company also provides professional technical support, including detailed antibody validation data packages, optimized experimental protocols for different platforms, and expert consultation for endocrine and pathological research applications.
Related Products from ANT BIO PTE. LTD.
|
Product Catalog No. |
Product Name |
Product Specifications |
Stock Status |
Inquiry |
|
Prolactin/PRL Recombinant Rabbit mAb (SDT-235-13) |
Host: Rabbit; Unconjugated |
In stock |
Available |
|
|
Prolactin Receptor Rabbit Polyclonal Antibody |
Host: Rabbit; Unconjugated |
In stock |
Available |
|
|
Prolactin/PRL Recombinant Rabbit mAb (S-235-215) |
Host: Rabbit; Unconjugated |
Inquiry |
Available |
ANT BIO PTE. LTD. – Empowering Scientific Breakthroughs
At ANTBIO, we are committed to advancing life science research through high-quality, reliable reagents and comprehensive solutions. Our specialized sub-brands (Absin, Starter, UA) cover a full spectrum of research needs, from general reagents and kits to antibodies and recombinant proteins. With a focus on innovation, quality, and customer-centricity, we strive to be your trusted partner in unlocking scientific mysteries and driving medical progress. Explore our product portfolio today and elevate your research to new heights.
Disclaimer
This article was partially created with the assistance of artificial intelligence. If any content involves copyright or intellectual property issues, please inform us, and we promise to verify and remove it immediately.
