WB result of Goat Anti-Rabbit IgG (H+L) (min X Hu Sr Prot), HRP
Primary antibody: Kappa light chain (S0B0083) Rabbit mAb at 1/1000 dilution
Lane 1: human serum lysate 20 µg
Secondary antibody: Goat Anti-Rabbit IgG (H+L) (min X Hu Sr Prot), HRP conjugated at 1/10000 dilution
Predicted MW: 12 kDa
Observed MW: 24 kDa
Product Details
Product Details
Product Specification
| Host | Goat |
| Antigen | Rabbit IgG |
| Immunogen | Rabbit IgG |
| Antibody Type | Polyclonal antibody |
| Application | ELISA, WB, IHC-P |
| Reactivity | Rb |
| Purification | Immunogen Affinity |
| Concentration | 2 mg/ml |
| Conjugation | HRP |
| Physical Appearance | Liquid |
| Storage Buffer | PBS, 40% Glycerol, 0.05% BSA, 0.03% Proclin 300 |
| Stability & Storage | 12 months from date of receipt / reconstitution, -20 °C as supplied. |
Dilution
| application | dilution | species |
| WB | 1:10000 | |
| IHC-P | 1:100-1:500 | |
| ELISA | 1:10000 |
Background
This antibody has been tested by ELISA to ensure minimal cross-reaction with human serum proteins.
Picture
Picture
Western Blot
Immunohistochemistry
IHC shows positive staining in paraffin-embedded human ovarian cancer. Anti-PAX8 antibody (S0B2071) was used at 1/1000 dilution, followed by Goat Anti-Rabbit IgG (H+L) (min X Hu Sr Prot), HRP at 1:100 dilution. Counterstained with hematoxylin. Heat mediated antigen retrieval with Tris/EDTA buffer pH9.0 was performed before commencing with IHC staining protocol.
IHC shows positive staining in paraffin-embedded human thyroid cancer. Anti-PAX8 antibody (S0B2071) was used at 1/1000 dilution, followed by Goat Anti-Rabbit IgG (H+L) (min X Hu Sr Prot), HRP at 1:100 dilution. Counterstained with hematoxylin. Heat mediated antigen retrieval with Tris/EDTA buffer pH9.0 was performed before commencing with IHC staining protocol.

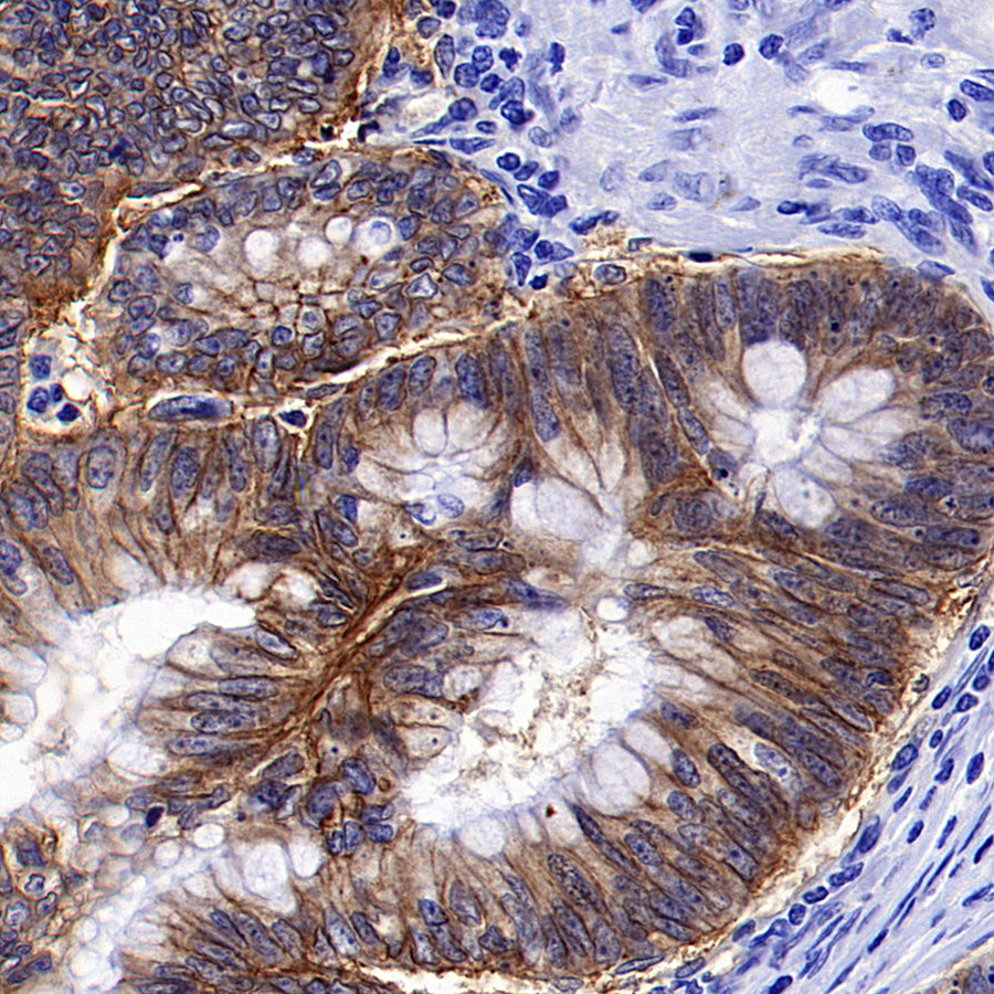
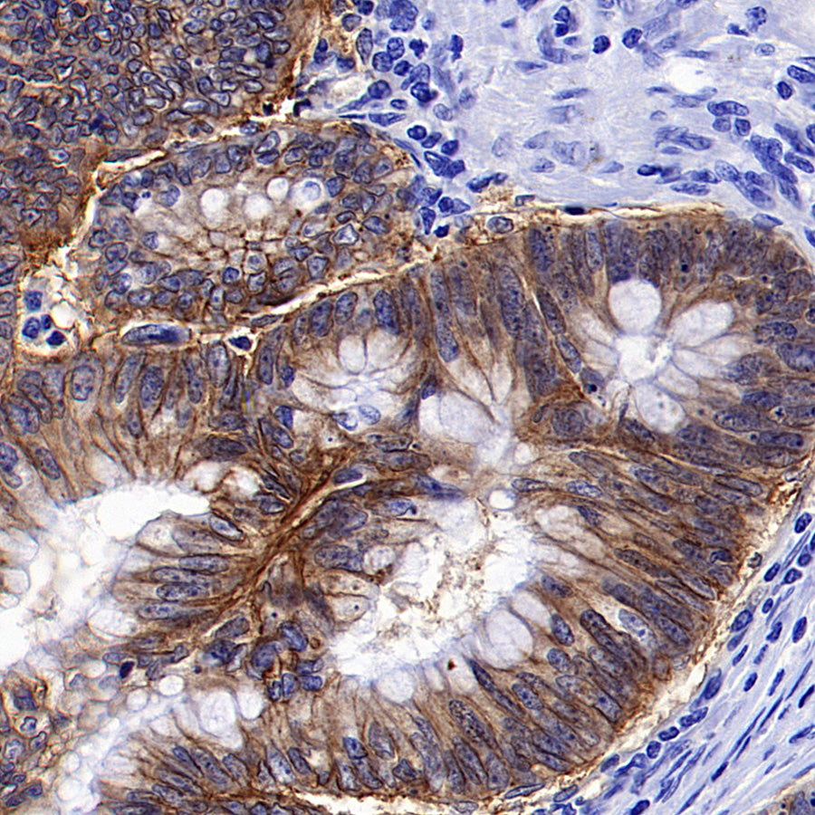
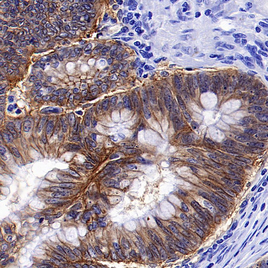
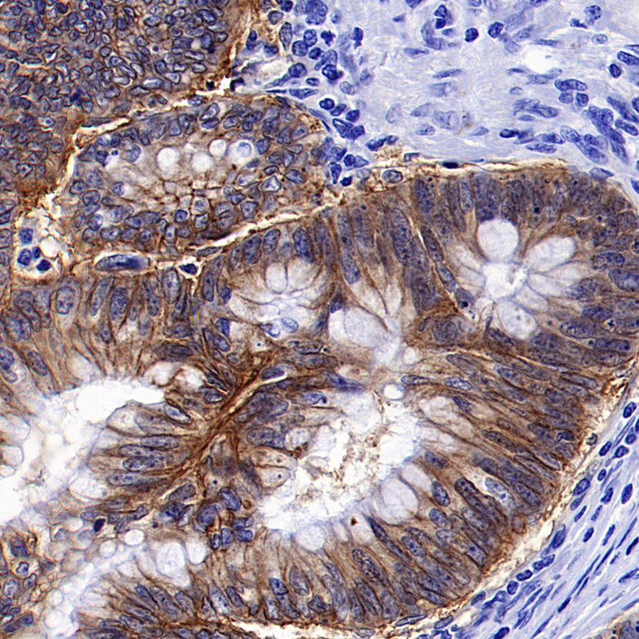
IHC shows positive staining in paraffin-embedded human colon cancer. Anti-EpCAM antibody (S0B2028) was used at 1/500 dilution, followed by Goat Anti-Rabbit IgG (H+L) (min X Hu Sr Prot), HRP at 1:500 dilution. Counterstained with hematoxylin. Heat mediated antigen retrieval with Tris/EDTA buffer pH9.0 was performed before commencing with IHC staining protocol.
