WB result of CD73 Rabbit mAb
Primary antibody: CD73 Rabbit mAb at 1/1000 dilution
Lane 1: Raji whole cell lysate 20 µg
Lane 2: HT-29 whole cell lysate 20 µg
Lane 3: A431 whole cell lysate 20 µg
Lane 4: HepG2 whole cell lysate 20 µg
Negative control: Raji whole cell lysate
Secondary antibody: Goat Anti-Rabbit IgG, (H+L), HRP conjugated at 1/10000 dilution
Predicted MW: 63 kDa
Observed MW: 70 kDa
Exposure time: 120s
Product Details
Product Details
Product Specification
Host | Rabbit |
Antigen | CD73 |
Synonyms | 5'-nucleotidase, 5'-NT, 5'-deoxynucleotidase |
Immunogen | Synthetic Peptide |
Location | Cell membrane |
Accession | P21589 |
Clone Number | SDT-218-52 |
Antibody Type | Rabbit mAb |
Application | WB, IHC-P |
Reactivity | Hu, Ms, Rt |
Purification | Protein A |
Concentration | 0.5 mg/ml |
Physical Appearance | Liquid |
Storage Buffer | PBS, 40% Glycerol, 0.05% BSA, 0.03% Proclin 300 |
Stability & Storage | 12 months from date of receipt / reconstitution, -20 °C as supplied |
Dilution
application | dilution | species |
IHC-P | 1:500-1:1000 | |
WB | 1:1000 |
Background
Picture
Picture
Western Blot


WB result of CD73 Rabbit mAb
Primary antibody: CD73 Rabbit mAb at 1/1000 dilution
Lane 1: mouse brain lysate 20 µg
Secondary antibody: Goat Anti-Rabbit IgG, (H+L), HRP conjugated at 1/10000 dilution
Predicted MW: 63 kDa
Observed MW: 68 kDa
Exposure time: 180s

WB result of CD73 Rabbit mAb
Primary antibody: CD73 Rabbit mAb at 1/1000 dilution
Lane 1: rat brain lysate 20 µg
Secondary antibody: Goat Anti-Rabbit IgG, (H+L), HRP conjugated at 1/10000 dilution
Predicted MW: 63 kDa
Observed MW: 70 kDa
Exposure time: 180s
Immunohistochemistry

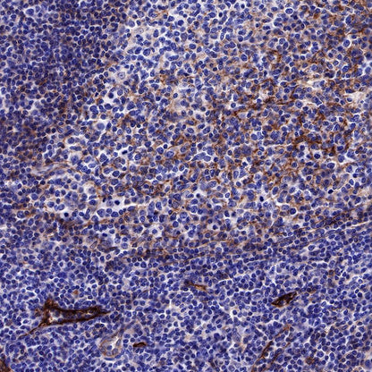
IHC shows positive staining in paraffin-embedded human tonsil. Anti-CD73 antibody was used at 1/500 dilution, followed by a HRP Polymer for Mouse & Rabbit IgG (ready to use). Counterstained with hematoxylin. Heat mediated antigen retrieval with Tris/EDTA buffer pH9.0 was performed before commencing with IHC staining protocol.

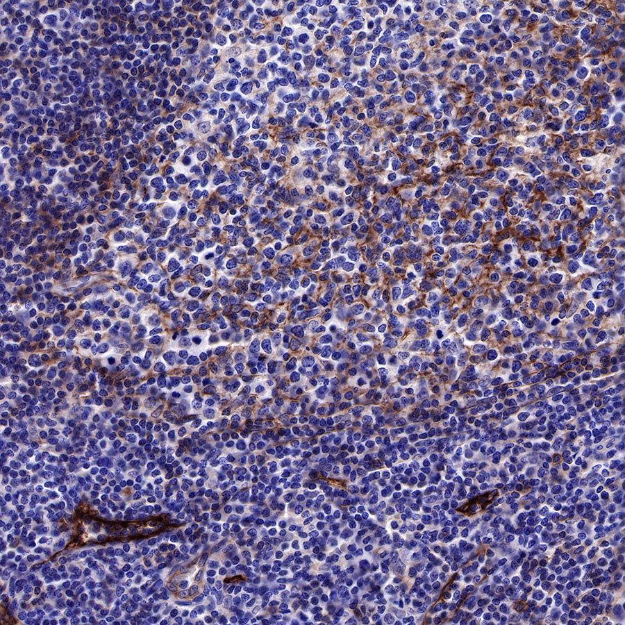
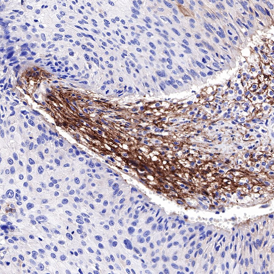
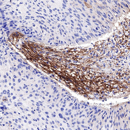
IHC shows positive staining in paraffin-embedded human cervical squamous cell carcinoma. Anti-CD73 antibody was used at 1/500 dilution, followed by a HRP Polymer for Mouse & Rabbit IgG (ready to use). Counterstained with hematoxylin. Heat mediated antigen retrieval with Tris/EDTA buffer pH9.0 was performed before commencing with IHC staining protocol.

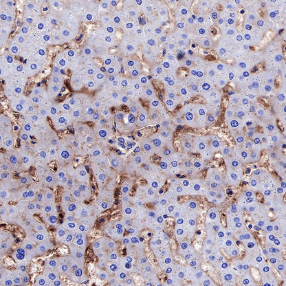
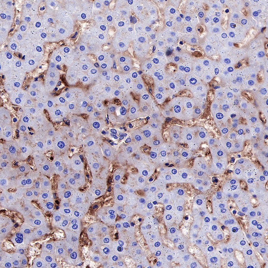
IHC shows positive staining in paraffin-embedded human liver. Anti-CD73 antibody was used at 1/1000 dilution, followed by a HRP Polymer for Mouse & Rabbit IgG (ready to use). Counterstained with hematoxylin. Heat mediated antigen retrieval with Tris/EDTA buffer pH9.0 was performed before commencing with IHC staining protocol.

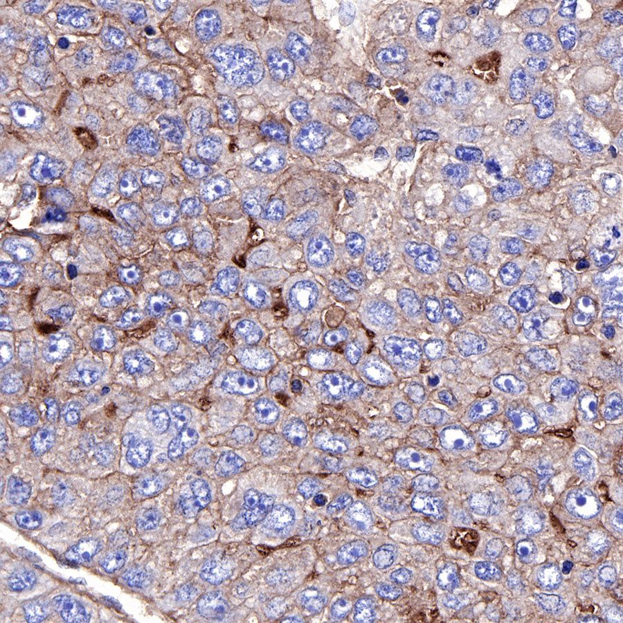
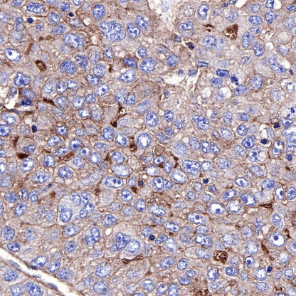
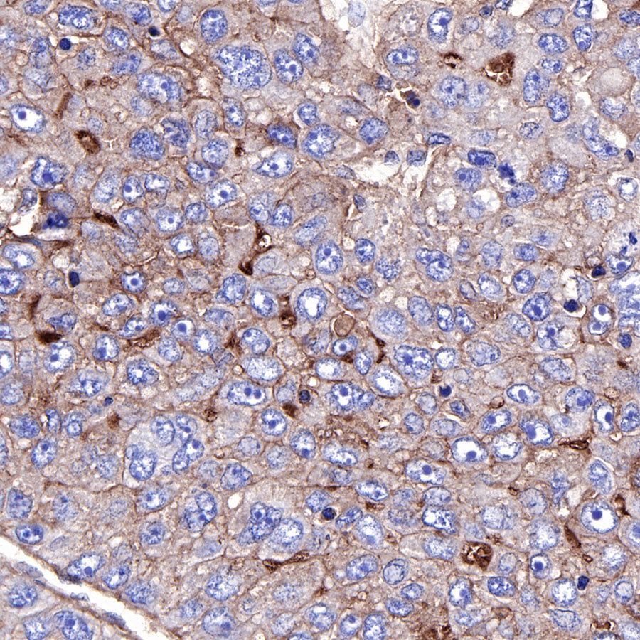
IHC shows positive staining in paraffin-embedded human hepatocellular carcinoma. Anti-CD73 antibody was used at 1/500 dilution, followed by a HRP Polymer for Mouse & Rabbit IgG (ready to use). Counterstained with hematoxylin. Heat mediated antigen retrieval with Tris/EDTA buffer pH9.0 was performed before commencing with IHC staining protocol.

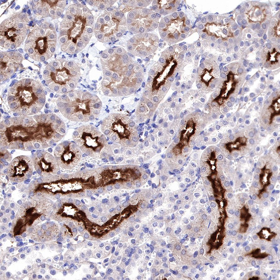
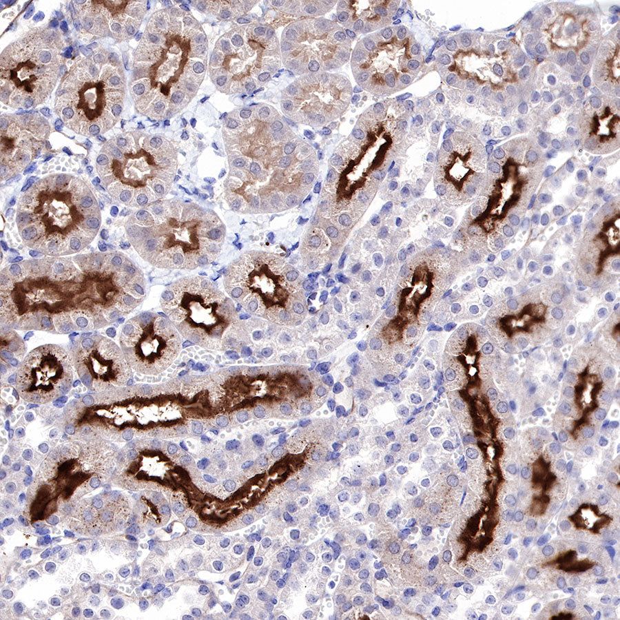
IHC shows positive staining in paraffin-embedded mouse kidney. Anti-CD73 antibody was used at 1/500 dilution, followed by a HRP Polymer for Mouse & Rabbit IgG (ready to use). Counterstained with hematoxylin. Heat mediated antigen retrieval with Tris/EDTA buffer pH9.0 was performed before commencing with IHC staining protocol.

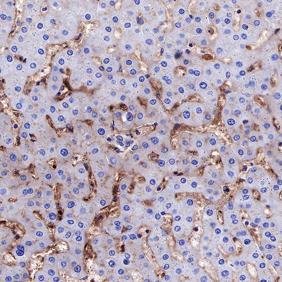
IHC shows positive staining in paraffin-embedded rat liver. Anti-CD73 antibody was used at 1/1000 dilution, followed by a HRP Polymer for Mouse & Rabbit IgG (ready to use). Counterstained with hematoxylin. Heat mediated antigen retrieval with Tris/EDTA buffer pH9.0 was performed before commencing with IHC staining protocol.








