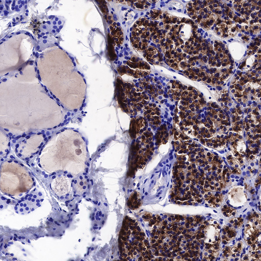
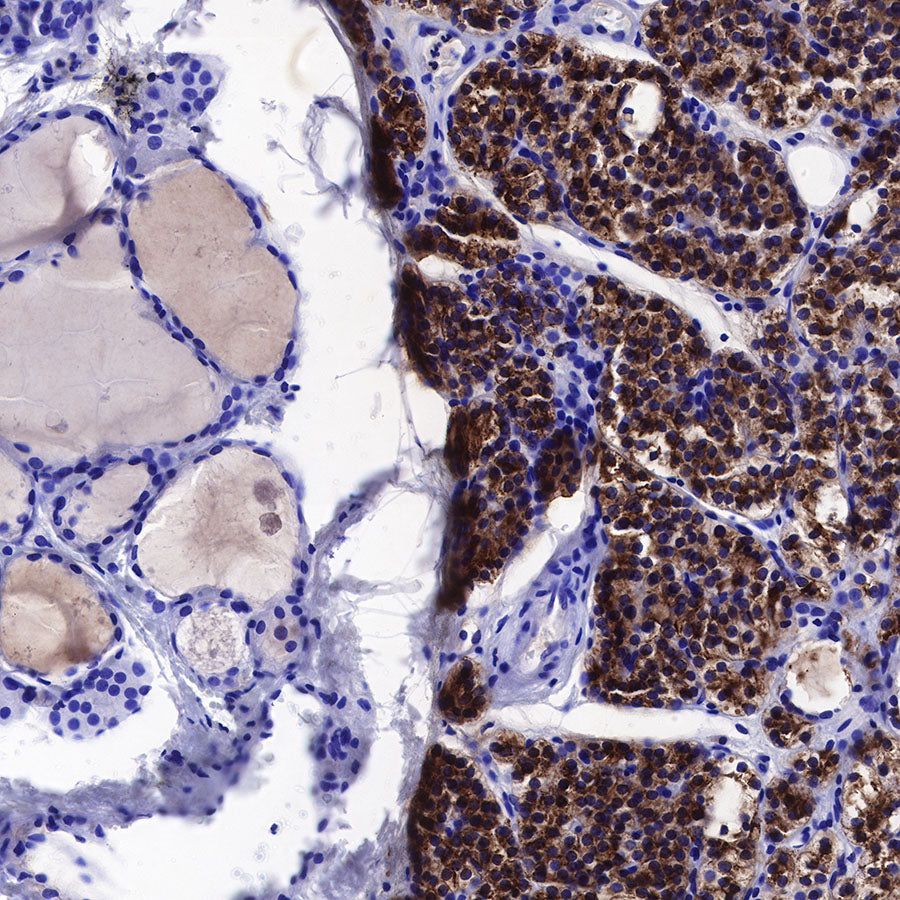
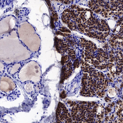
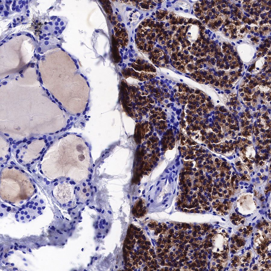
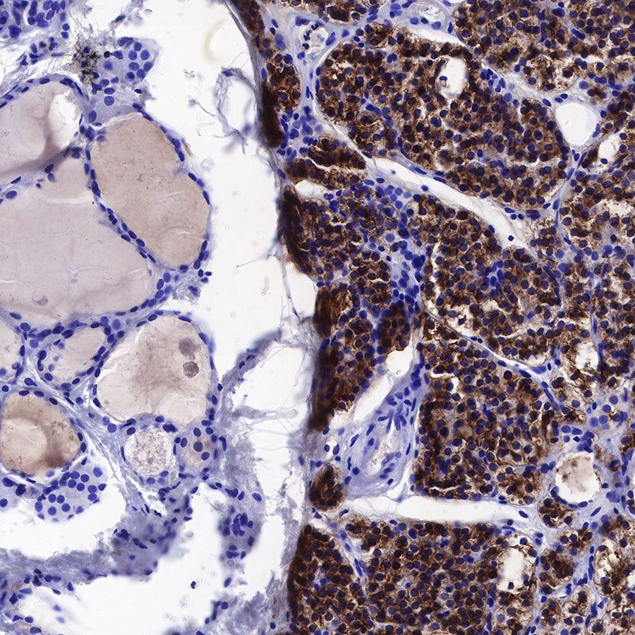
IHC shows positive staining in paraffin-embedded human parathyroid gland. Anti-PTH antibody was used at 1/1000 dilution, followed by a HRP Polymer for Mouse & Rabbit IgG (ready to use). Counterstained with hematoxylin. Heat mediated antigen retrieval with Tris/EDTA buffer pH9.0 was performed before commencing with IHC staining protocol.
Product Details
Product Details
Product Specification
Host | Rabbit |
Antigen | PTH |
Synonyms | Parathyroid hormone, Parathormone, Parathyrin |
Immunogen | Recombinant Protein |
Location | Secreted |
Accession | P01270 |
Clone Number | SDT-407-4 |
Antibody Type | Recombinant mAb |
Application | IHC-P, IF |
Reactivity | Hu |
Purification | Protein A |
Concentration | 0.25 mg/ml |
Conjugation | Unconjugated |
Physical Appearance | Liquid |
Storage Buffer | PBS, 40% Glycerol, 0.05% BSA, 0.03% Proclin 300 |
Stability & Storage | 12 months from date of receipt / reconstitution, -20 °C as supplied |
Dilution
application | dilution | species |
IHC-P | 1:1000 | null |
IF | 1:1000 | null |
Background
PTH (Parathyroid hormone) is a classic endocrine peptide hormone whose synthesis and negative feedback by multiple factors control release from the parathyroid glands. PTH and PTH-related peptide (PTHrP) regulate extracellular phosphate and calcium homeostasis as well as bone remodeling [PMID: 35953106].
Picture
Picture
Immunohistochemistry


Negative control: IHC shows negative staining in paraffin-embedded human stomach. Anti-PTH antibody was used at 1/1000 dilution, followed by a HRP Polymer for Mouse & Rabbit IgG (ready to use). Counterstained with hematoxylin. Heat mediated antigen retrieval with Tris/EDTA buffer pH9.0 was performed before commencing with IHC staining protocol.
Immunofluorescence

IF shows positive staining in paraffin-embedded human parathyroid gland. Anti-PTH antibody was used at 1/1000 dilution (Green) and incubated overnight at 4°C. Goat polyclonal Antibody to Rabbit IgG - H&L (Alexa Fluor® 488) was used as secondary antibody at 1/1000 dilution. Counterstained with DAPI (Blue). Heat mediated antigen retrieval with Tris/EDTA buffer pH9.0 was performed before commencing with IF staining protocol.

Negative control: IF shows negative staining in paraffin-embedded human cardiac muscle. Anti-PTH antibody was used at 1/1000 dilution and incubated overnight at 4°C. Goat polyclonal Antibody to Rabbit IgG - H&L (Alexa Fluor® 488) was used as secondary antibody at 1/1000 dilution. Counterstained with DAPI (Blue). Heat mediated antigen retrieval with Tris/EDTA buffer pH9.0 was performed before commencing with IF staining protocol.



