WB result of p40 Rabbit mAb
Primary antibody: p40 Rabbit mAb at 1/1000 dilution
Lane 1: MCF7 whole cell lysate 20 µg
Lane 2: A431 whole cell lysate 20 µg
Lane 3: HaCaT whole cell lysate 20 µg
Negative control: MCF7 whole cell lysate
Secondary antibody: Goat Anti-Rabbit IgG, (H+L), HRP conjugated at 1/10000 dilution
Predicted MW: 51 kDa
Observed MW: 51, 75 kDa
Product Details
Product Details
Product Specification
| Host | Rabbit |
| Antigen | p40 |
| Synonyms | BC28 |
| Immunogen | Synthetic Peptide |
| Location | Nucleus |
| Accession | Q9H3D4-4 |
| Clone Number | SDT-166-36 |
| Antibody Type | Recombinant mAb |
| Application | WB, IHC-P, IP |
| Reactivity | Hu |
| Purification | Protein A |
| Concentration | 0.5 mg/ml |
| Conjugation | Unconjugated |
| Physical Appearance | Liquid |
| Storage Buffer | PBS, 40% Glycerol, 0.05% BSA, 0.03% Proclin 300 |
| Stability & Storage | 12 months from date of receipt / reconstitution, -20 °C as supplied |
Dilution
| application | dilution | species |
| WB | 1:1000 | null |
| IP | 1:50 | null |
| IHC-P | 1:500 | null |
Background
p63 (TAp63) is closely related to p40 (ΔNp63) as both proteins represent isoforms of the p63 gene with distinct molecular functions. While “full length” p63 (TAp63) activates p53 target genes such as p21 or BAX, the shorter transcript p40 (ΔNp63) inhibits activation of p53 and “full length” p63. Among carcinomas, p40 has approximately the same sensitivity as p63 but a higher specificity, as the TAp63 isoform is expressed more widespread in eg., adenocarcinomas. Moreover, p63 occur in lymphomas that are p40 negative.
Picture
Picture
Western Blot

IP

p40 Rabbit mAb at 1/50 dilution (1 µg) immunoprecipitating p40 in 0.4 mg HaCaT whole cell lysate.
Western blot was performed on the immunoprecipitate using p40 Rabbit mAb at 1/1000 dilution.
Secondary antibody (HRP) for IP was used at 1/400 dilution.
Lane 1: HaCaT whole cell lysate 10 µg (Input)
Lane 2: p40 Rabbit mAb IP in HaCaT whole cell lysate
Lane 3: Rabbit monoclonal IgG IP in HaCaT whole cell lysate
Predicted MW: 51 kDa
Observed MW: 51, 75 kDa
(This blot was developed with high sensitivity substrate)
Immunohistochemistry

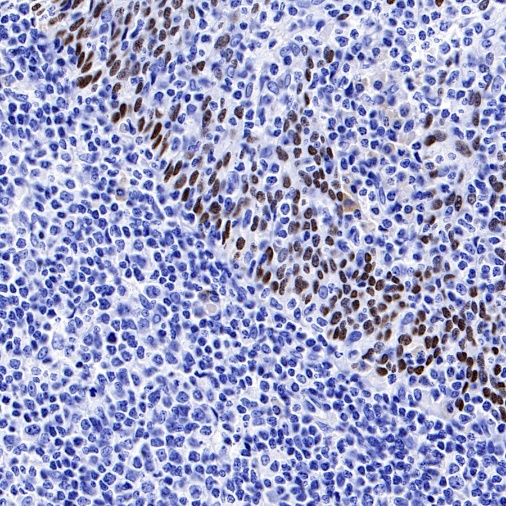
IHC shows positive staining in paraffin-embedded human tonsil. Anti-p40 antibody was used at 1/500 dilution, followed by a HRP Polymer for Mouse & Rabbit IgG (ready to use). Counterstained with hematoxylin. Heat mediated antigen retrieval with Tris/EDTA buffer pH9.0 was performed before commencing with IHC staining protocol.

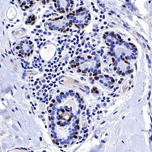
IHC shows positive staining in paraffin-embedded human breast cancer. Anti-p40 antibody was used at 1/500 dilution, followed by a HRP Polymer for Mouse & Rabbit IgG (ready to use). Counterstained with hematoxylin. Heat mediated antigen retrieval with Tris/EDTA buffer pH9.0 was performed before commencing with IHC staining protocol.

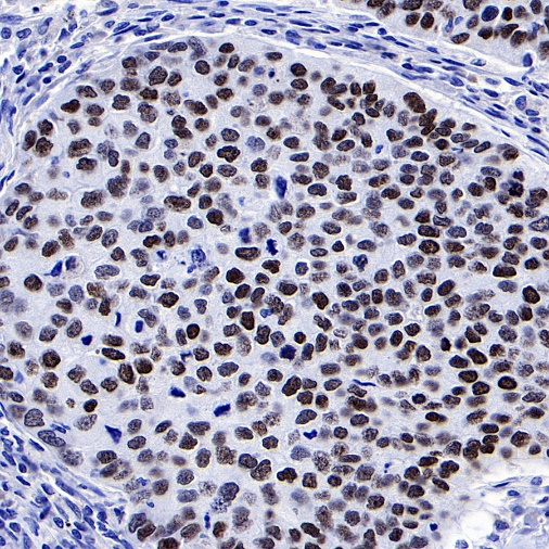
IHC shows positive staining in paraffin-embedded human lung squamous cell carcinoma. Anti-p40 antibody was used at 1/500 dilution, followed by a HRP Polymer for Mouse & Rabbit IgG (ready to use). Counterstained with hematoxylin. Heat mediated antigen retrieval with Tris/EDTA buffer pH9.0 was performed before commencing with IHC staining protocol.

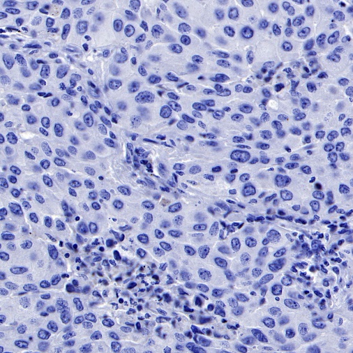
Negative control: IHC shows negative staining in paraffin-embedded human lung adenocarcinoma. Anti-p40 antibody was used at 1/500 dilution, followed by a HRP Polymer for Mouse & Rabbit IgG (ready to use). Counterstained with hematoxylin. Heat mediated antigen retrieval with Tris/EDTA buffer pH9.0 was performed before commencing with IHC staining protocol.

Negative control: IHC shows negative staining in paraffin-embedded human diffuse large B-cell lymphoma. Anti-p40 antibody was used at 1/500 dilution, followed by a HRP Polymer for Mouse & Rabbit IgG (ready to use). Counterstained with hematoxylin. Heat mediated antigen retrieval with Tris/EDTA buffer pH9.0 was performed before commencing with IHC staining protocol.
