WB result of GFAP Rabbit mAb
Primary antibody: GFAP Rabbit mAb at 1/1000 dilution
Lane 1: mouse brain lysate 20 µg
Secondary antibody: Goat Anti-Rabbit IgG, (H+L), HRP conjugated at 1/10000 dilution
Predicted MW: 50kDa
Observed MW: 42kDa
Product Details
Product Details
Product Specification
Host | Rabbit |
Antigen | GFAP |
Synonyms | Glial fibrillary acidic protein |
Immunogen | Synthetic Peptide |
Location | Cytoplasm |
Accession | P14136 |
Clone Number | SDT-306-10 |
Antibody Type | Recombinant mAb |
Application | WB, IHC-P, IP, IF |
Reactivity | Hu, Ms, Rt |
Purification | Protein A |
Concentration | 0.25 mg/ml |
Conjugation | Unconjugated |
Physical Appearance | Liquid |
Storage Buffer | PBS, 40% Glycerol, 0.05% BSA, 0.03% Proclin 300 |
Stability & Storage | 12 months from date of receipt / reconstitution, -20 °C as supplied |
Dilution
application | dilution | species |
WB | 1:500 | |
IHC-P | 1:1000 | |
IP | 1:25 | |
IF | 1:5000 |
Background
Glial fibrillary acidic protein (GFAP) is the hallmark intermediate filament (IF; also known as nanofilament) protein in astrocytes, a main type of glial cells in the central nervous system (CNS). Astrocytes have a range of control and homeostatic functions in health and disease. Astrocytes assume a reactive phenotype in acute CNS trauma, ischemia, and in neurodegenerative diseases. This coincides with an upregulation and rearrangement of the IFs, which form a highly complex system composed of GFAP (10 isoforms), vimentin, synemin, and nestin [PMID: 25726916].
Picture
Picture
Western Blot


WB result of GFAP Rabbit mAb
Primary antibody: GFAP Rabbit mAb at 1/1000 dilution
Lane 1: rat brain lysate 20 µg
Secondary antibody: Goat Anti-Rabbit IgG, (H+L), HRP conjugated at 1/10000 dilution
Predicted MW: 50kDa
Observed MW: 50kDa
IP

GFAP Rabbit mAb at 1/25 dilution (1 µg) immunoprecipitating GFAP in 0.4 mg rat brain lysate.
Western blot was performed on the immunoprecipitate using GFAP Rabbit mAb at 1/1000 dilution.
Secondary antibody (HRP) for IP was used at 1/400 dilution.
Lane 1: rat brain lysate 10 µg (Input)
Lane 2: GFAP Rabbit mAb IP in rat brain lysate
Lane 3: Rabbit monoclonal IgG IP in rat brain lysate
Predicted MW: 50 kDa
Observed MW: 50 kDa
(This blot was developed with high sensitivity substrate)
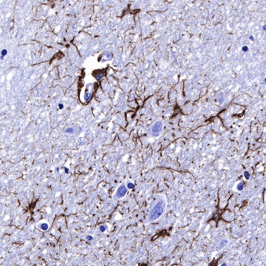
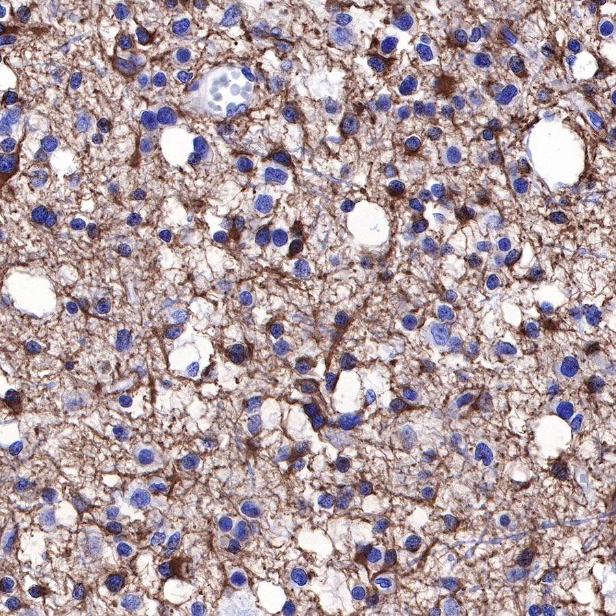
Immunohistochemistry

IHC shows positive staining in paraffin-embedded human cerebellum. Anti-GFAP antibody was used at 1/1000 dilution, followed by a HRP Polymer for Mouse & Rabbit IgG (ready to use). Counterstained with hematoxylin. Heat mediated antigen retrieval with Tris/EDTA buffer pH9.0 was performed before commencing with IHC staining protocol.

IHC shows positive staining in paraffin-embedded human cerebral cortex. Anti-GFAP antibody was used at 1/1000 dilution, followed by a HRP Polymer for Mouse & Rabbit IgG (ready to use). Counterstained with hematoxylin. Heat mediated antigen retrieval with Tris/EDTA buffer pH9.0 was performed before commencing with IHC staining protocol.

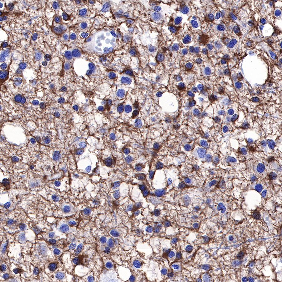
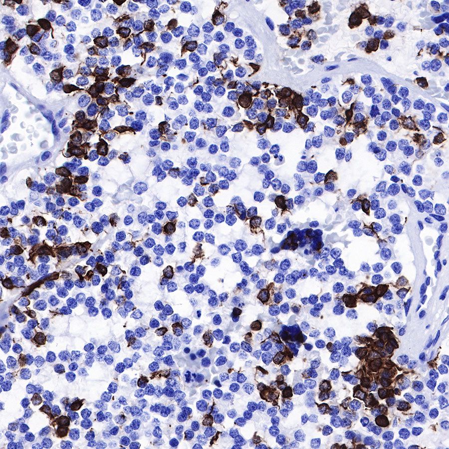
IHC shows positive staining in paraffin-embedded human glioma. Anti-GFAP antibody was used at 1/1000 dilution, followed by a HRP Polymer for Mouse & Rabbit IgG (ready to use). Counterstained with hematoxylin. Heat mediated antigen retrieval with Tris/EDTA buffer pH9.0 was performed before commencing with IHC staining protocol.

IHC shows positive staining in paraffin-embedded human astrocytoma. Anti-GFAP antibody was used at 1/1000 dilution, followed by a HRP Polymer for Mouse & Rabbit IgG (ready to use). Counterstained with hematoxylin. Heat mediated antigen retrieval with Tris/EDTA buffer pH9.0 was performed before commencing with IHC staining protocol.

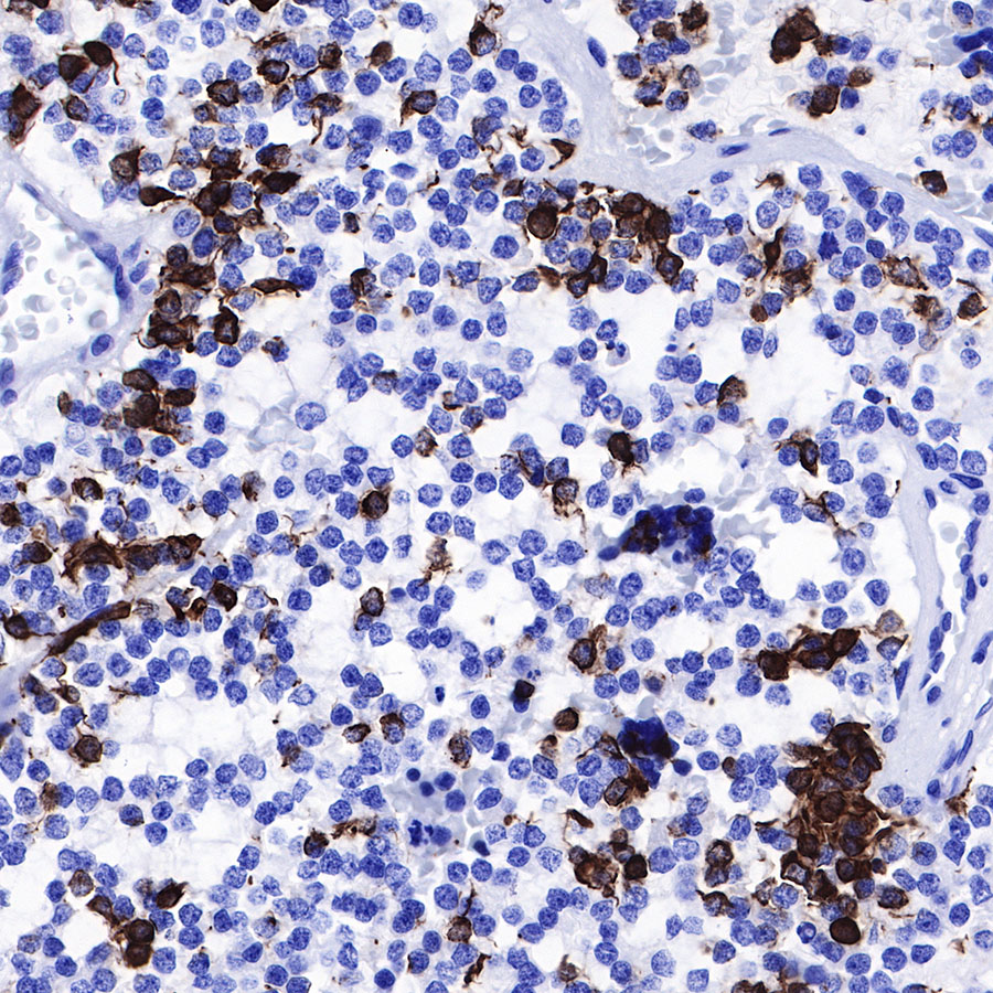
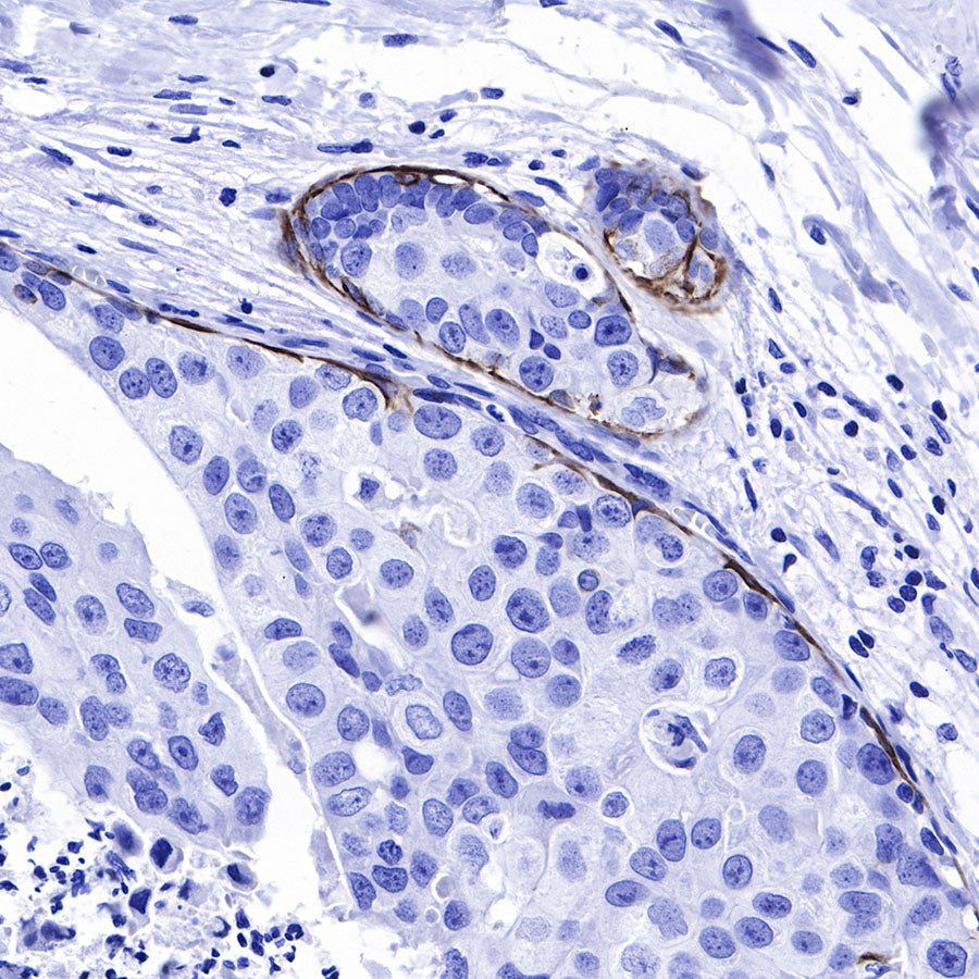
IHC shows positive staining in paraffin-embedded human breast cancer. Anti-GFAP antibody was used at 1/1000 dilution, followed by a HRP Polymer for Mouse & Rabbit IgG (ready to use). Counterstained with hematoxylin. Heat mediated antigen retrieval with Tris/EDTA buffer pH9.0 was performed before commencing with IHC staining protocol.

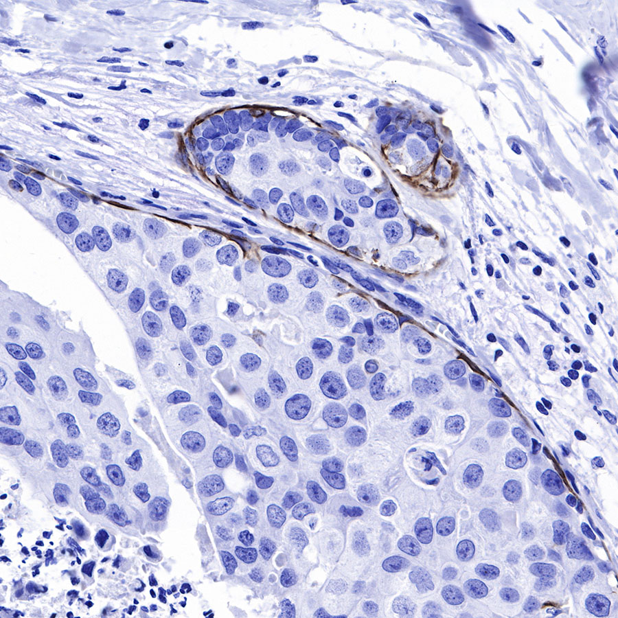
Negative control: IHC shows negative staining in paraffin-embedded human skeletal muscle. Anti-GFAP antibody was used at 1/1000 dilution, followed by a HRP Polymer for Mouse & Rabbit IgG (ready to use). Counterstained with hematoxylin. Heat mediated antigen retrieval with Tris/EDTA buffer pH9.0 was performed before commencing with IHC staining protocol.

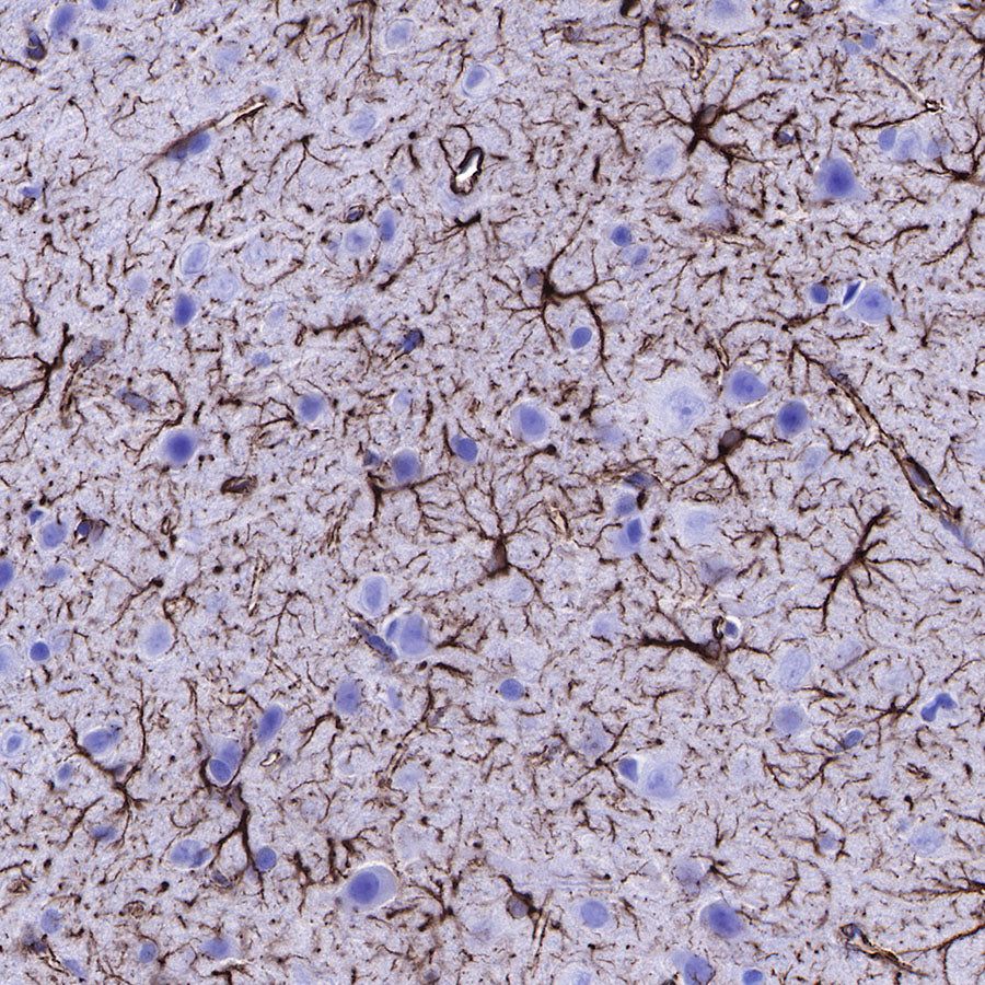
IHC shows positive staining in paraffin-embedded mouse cerebral cortex. Anti-GFAP antibody was used at 1/1000 dilution, followed by a HRP Polymer for Mouse & Rabbit IgG (ready to use). Counterstained with hematoxylin. Heat mediated antigen retrieval with Tris/EDTA buffer pH9.0 was performed before commencing with IHC staining protocol.

IHC shows positive staining in paraffin-embedded mouse stomach. Anti-GFAP antibody was used at 1/1000 dilution, followed by a HRP Polymer for Mouse & Rabbit IgG (ready to use). Counterstained with hematoxylin. Heat mediated antigen retrieval with Tris/EDTA buffer pH9.0 was performed before commencing with IHC staining protocol.

IHC shows positive staining in paraffin-embedded rat cerebral cortex. Anti-GFAP antibody was used at 1/1000 dilution, followed by a HRP Polymer for Mouse & Rabbit IgG (ready to use). Counterstained with hematoxylin. Heat mediated antigen retrieval with Tris/EDTA buffer pH9.0 was performed before commencing with IHC staining protocol.

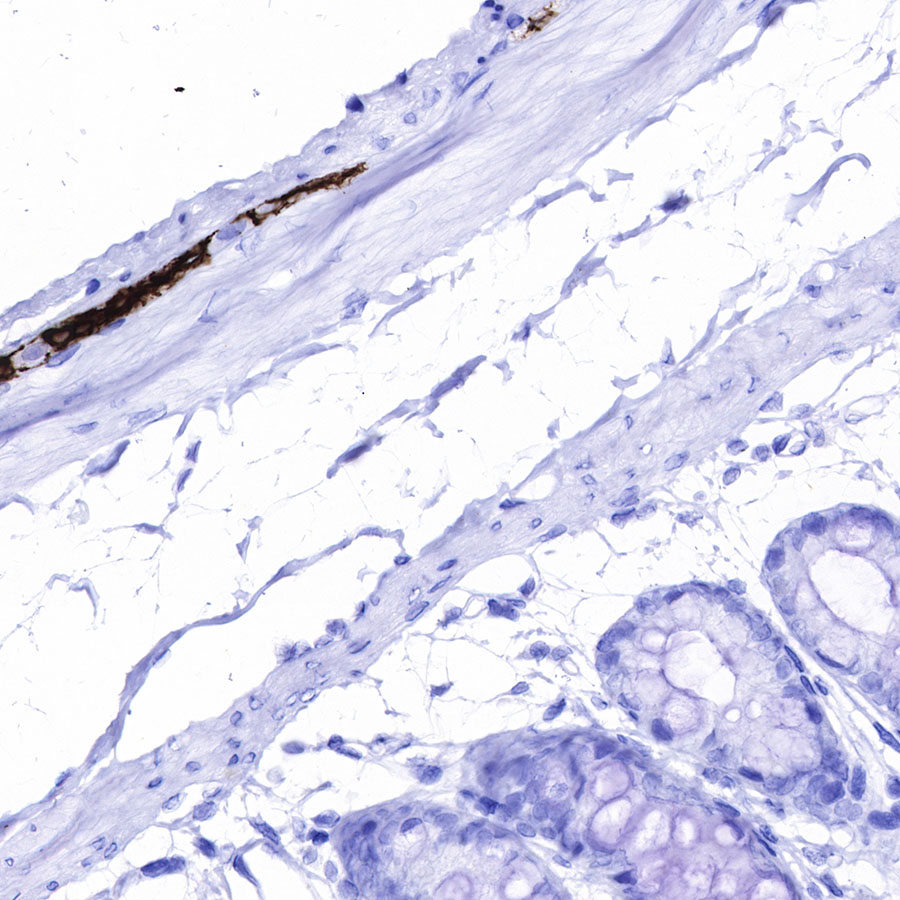
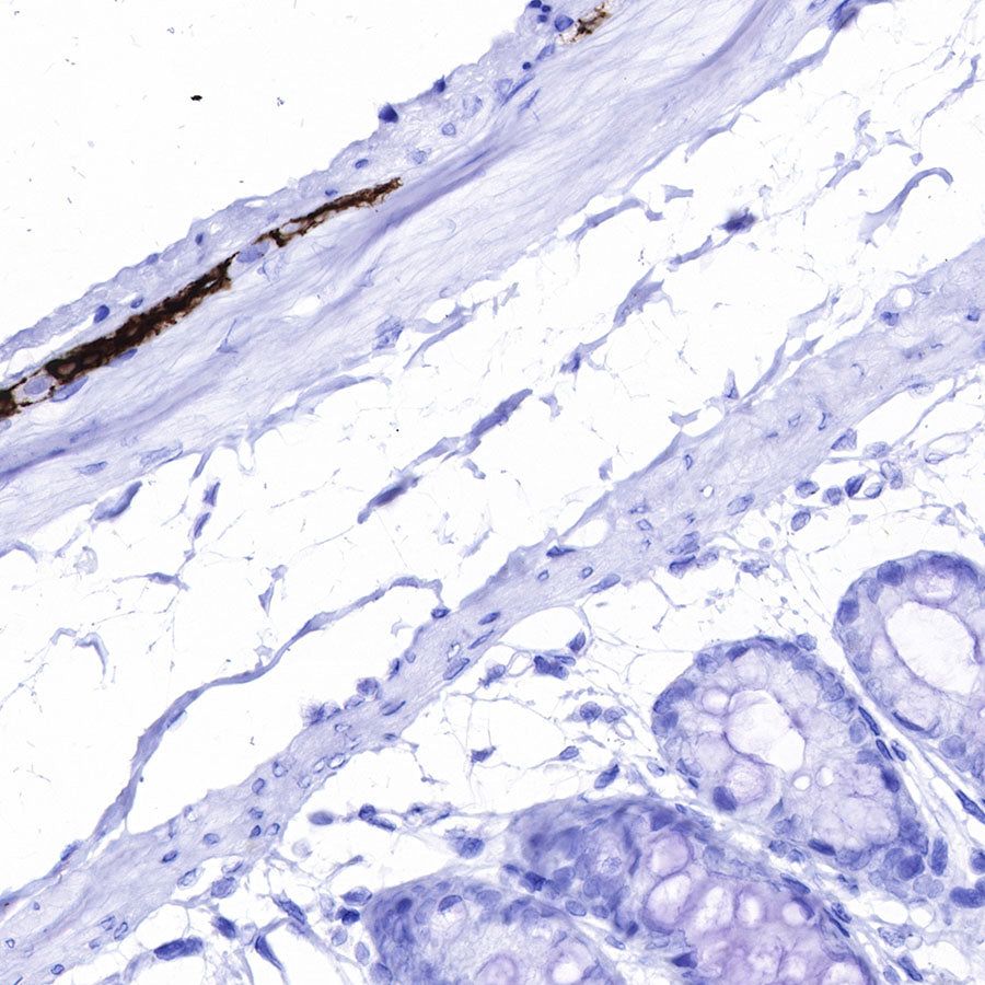
IHC shows positive staining in paraffin-embedded rat colon. Anti-GFAP antibody was used at 1/1000 dilution, followed by a HRP Polymer for Mouse & Rabbit IgG (ready to use). Counterstained with hematoxylin. Heat mediated antigen retrieval with Tris/EDTA buffer pH9.0 was performed before commencing with IHC staining protocol.
Immunofluorescence

IF shows positive staining in paraffin-embedded rat cerebellum. Anti-GFAP antibody was used at 1/2000 dilution (Green) and incubated overnight at 4°C. Goat polyclonal Antibody to Rabbit IgG - H&L (Alexa Fluor® 488) was used as secondary antibody at 1/1000 dilution. Counterstained with DAPI (Blue). Heat mediated antigen retrieval with EDTA buffer pH9.0 was performed before commencing with IF staining protocol.

IF shows positive staining in paraffin-embedded mouse cerebellum. Anti-GFAP antibody was used at 1/2000 dilution (Green) and incubated overnight at 4°C. Goat polyclonal Antibody to Rabbit IgG - H&L (Alexa Fluor® 488) was used as secondary antibody at 1/1000 dilution. Counterstained with DAPI (Blue). Heat mediated antigen retrieval with EDTA buffer pH9.0 was performed before commencing with IF staining protocol.

IF shows positive staining in paraffin-embedded human cerebellum. Anti-GFAP antibody was used at 1/2000 dilution (Green) and incubated overnight at 4°C. Goat polyclonal Antibody to Rabbit IgG - H&L (Alexa Fluor® 488) was used as secondary antibody at 1/1000 dilution. Counterstained with DAPI (Blue). Heat mediated antigen retrieval with EDTA buffer pH9.0 was performed before commencing with IF staining protocol.















