Skip to product information
1 of 6

β-tubulin Recombinant Rabbit mAb (SDT-R014)

β-tubulin Recombinant Rabbit mAb (SDT-R014)

Catalog Number: S0B0004 Application: WB,IHC-P,ICC,FCM Reactivity: Human,Mouse,Rat Conjugation: Unconjugated Brand: Starter
Price:
Regular price $92.00 SGD
Regular price Sale price $92.00 SGD
Size:
For shipping services or bulk orders, you may request a quotation.
Secure checkout with
View full details

Product Details

Product Specification


Host Rabbit
Antigen β-tubulin
Synonyms TUBB; TUBB5; Tubulin beta-5 chain
Immunogen Recombinant Protein
Location Intracellular
Accession P07437
Clone Number SDT-R014
Antibody Type Rabbit mAb
Application WB, IHC-P, ICC, ICFCM
Reactivity Hu, Ms, Rt
Purification Protein A
Concentration 0.5mg/ml
Molecular Weight

55kDa

Conjugation Unconjugated
Physical Appearance Liquid
Storage Buffer

PBS, 40% Glycerol, 0.05%BSA, 0.03% Proclin 300

Stability & Storage 12 months from date of receipt / reconstitution, -20 °C as supplied.

Dilution


application dilution species
ICFCM 1:500
WB 1:1000-1:10000
IHC-P 1:1000
ICC 1:500

Background

α- and β-tubulin polymerize into dynamic microtubules. In eukaryotes, microtubules are one of the major components of the cytoskeleton, and function in many processes, including structural support, intracellular transport, and DNA segregation. To form microtubules, the dimers of α- and β-tubulin bind to GTP and assemble onto the (+) ends of microtubules while in the GTP-bound state. The β-tubulin subunit is exposed on the plus end of the microtubule, while the α-tubulin subunit is exposed on the minus end. After the dimer is incorporated into the microtubule, the molecule of GTP bound to the β-tubulin subunit eventually hydrolyzes into GDP through inter-dimer contacts along the microtubule protofilament. 

Picture

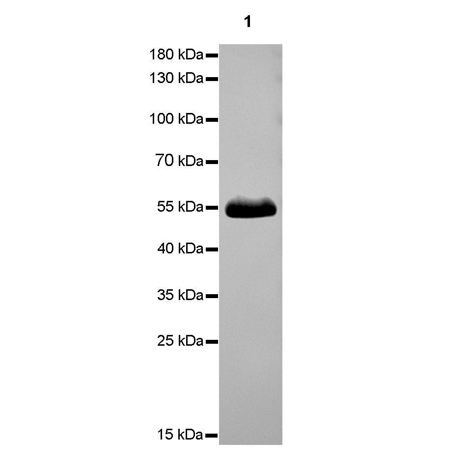
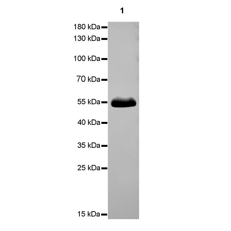
Western Blot

WB result of β-Tubulin Rabbit mAb                                  

Primary antibody: β-Tubulin Rabbit mAb at 1/1000 dilution
Lane 1: Hela whole cell lysate 20 µg

Secondary antibody: Goat Anti-Rabbit IgG, (H+L), HRP conjugated at 1/10000 dilution
Predicted MW: 50 kDa
Observed MW: 52 kDa
econds

WB result of β-Tubulin Rabbit mAb
Primary antibody: β-Tubulin Rabbit mAb at 1/1000 dilution
Lane 1:Mouse brain lysate 20 µg
Lane 2: NIH/3T3 whole cell lysate 20 µg

Secondary antibody: Goat Anti-Rabbit IgG, (H+L), HRP conjugated at 1/10000 dilution
Predicted MW: 50 kDa
Observed MW: 52 kDa

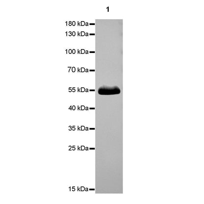
WB result of β-Tubulin Rabbit mAb                

Primary antibody: β-Tubulin Rabbit mAb at 1/1000 dilution
Lane 1:rat brain lysate 20 µg


Secondary antibody: Goat Anti-Rabbit IgG, (H+L), HRP conjugated at 1/10000 dilution
Predicted MW: 50 kDa
Observed MW: 52 kDa


WB result of β-Tubulin Rabbit mAb 
Primary antibody: β-Tubulin Rabbit mAb at 1/10000 dilution
Lane 1: HeLa whole cell lysate 20 µg
Lane 2: NIH/3T3 whole cell lysate 20 µg
Lane 3: rat brain lysate 20 µg
Secondary antibody: Goat Anti-Rabbit IgG, (H+L), HRP conjugated at 1/10000 dilution
Predicted MW: 50 kDa
Observed MW: 52 kDa

FC

Flow cytometric analysis of HeLa cells labelling β-tubulin antibody at 1/500 (0.1ug) dilution/ (red) compared with a Rabbit monoclonal IgG (Black) isotype control and an unlabelled control (cells without incubation with primary antibody and secondary antibody) (Blue). Goat Anti-Rabbit IgG Alexa Fluor® 488 was used as the secondary antibody. 

Immunohistochemistry

IHC shows positive staining in paraffin-embedded human testis. 

Anti-β-tubulin antibody was used at 1/1000 dilution, followed by a Goat Anti-Rabbit IgG H&L (HRP) ready to use. 

Counterstained with hematoxylin.              

Heat mediated antigen retrieval with Tris/EDTA buffer pH9.0 was performed before commencing with IHC staining protocol.

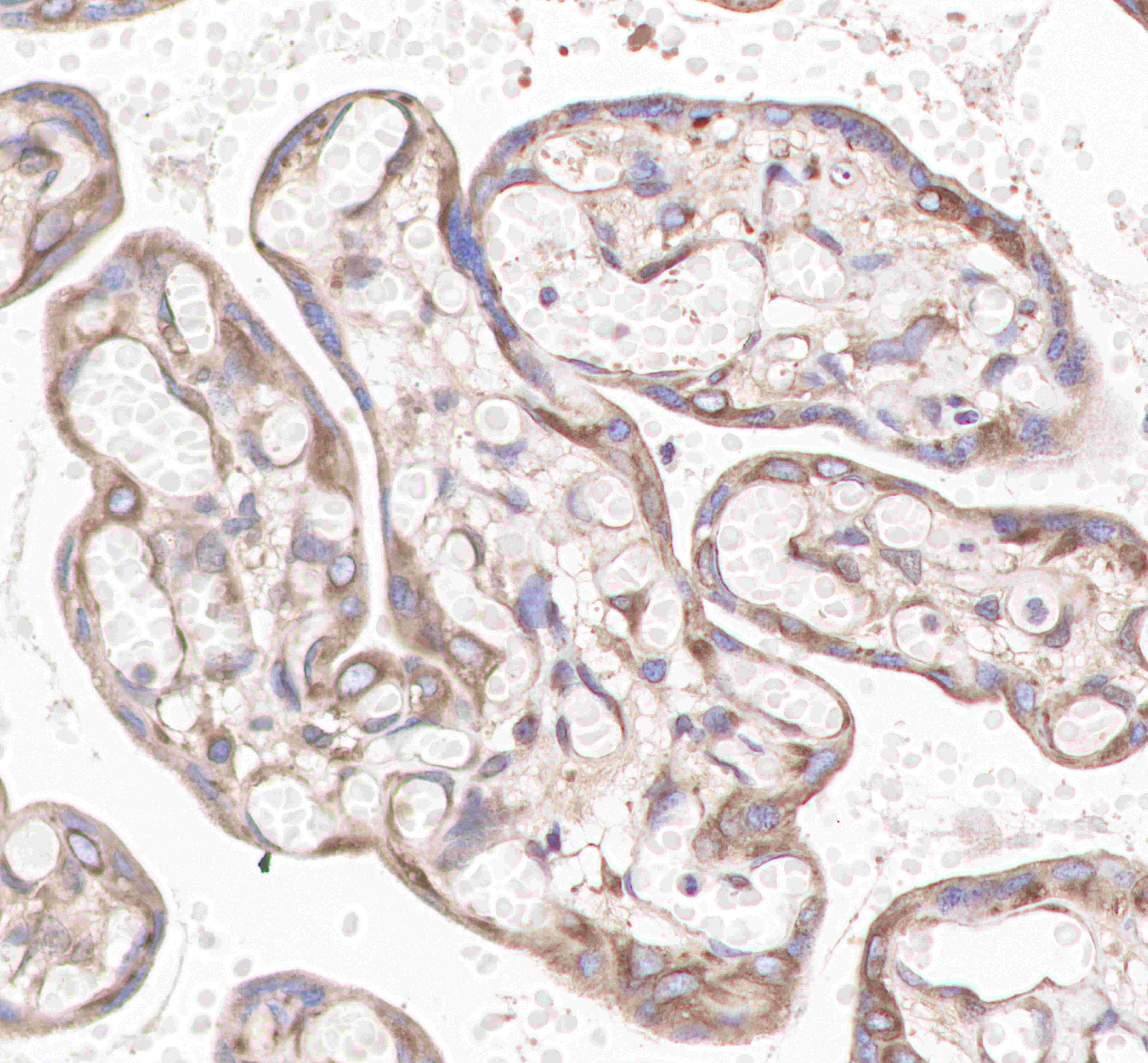
IHC shows positive staining in paraffin-embedded human placenta.

Anti-β-tubulin antibody was used at 1/1000 dilution, followed by a Goat Anti-Rabbit IgG H&L (HRP) ready to use.

Counterstained with hematoxylin.

Heat mediated antigen retrieval with Tris/EDTA buffer pH9.0 was performed before commencing with IHC staining protocol.

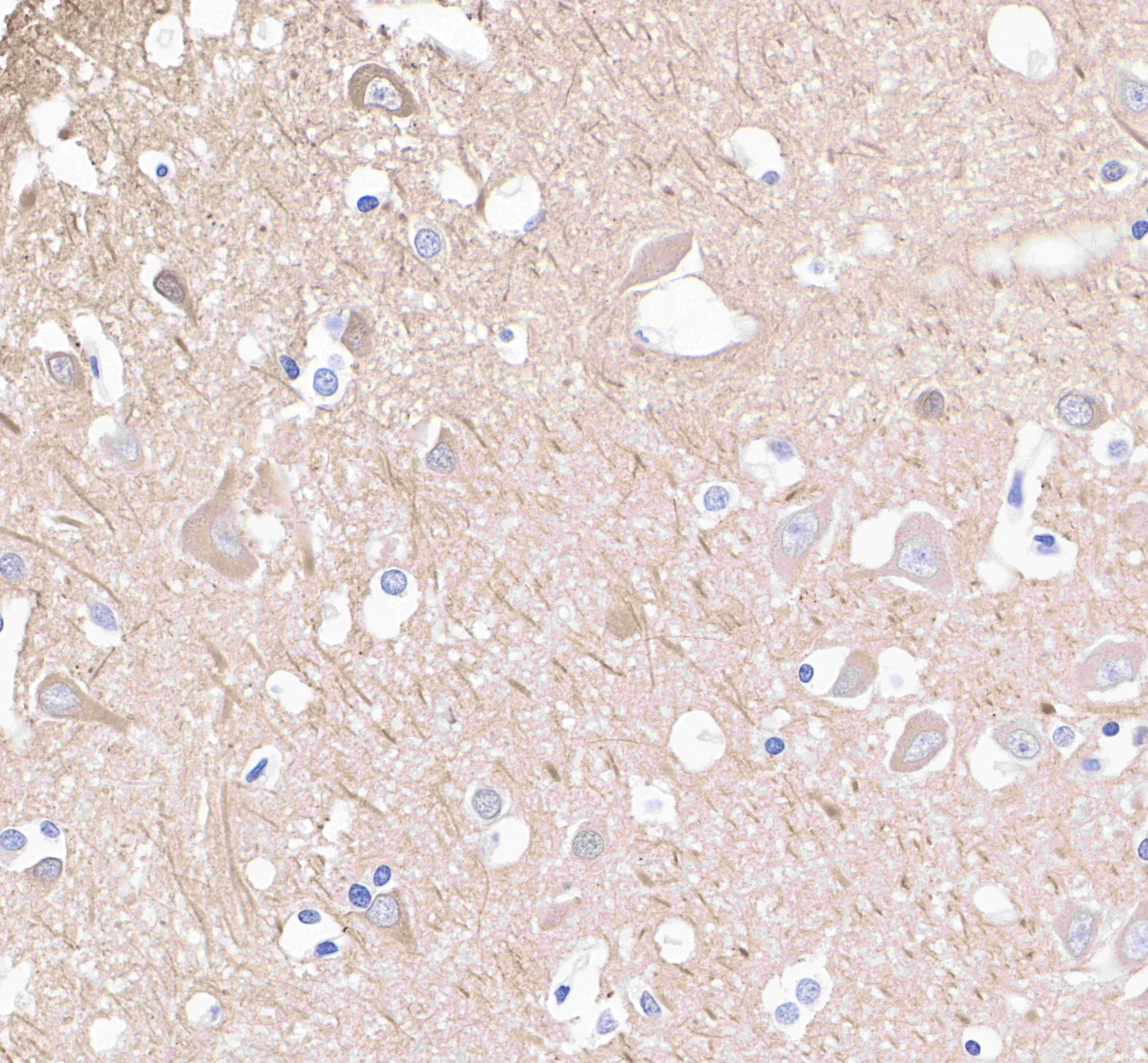
IHC shows positive staining in paraffin-embedded human cerebral cortex. 

Anti-β-tubulin antibody was used at 1/1000 dilution, followed by a Goat Anti-Rabbit IgG H&L (HRP) ready to use. 

Counterstained with hematoxylin. 

Heat mediated antigen retrieval with Tris/EDTA buffer pH9.0 was performed before commencing with IHC staining protocol.

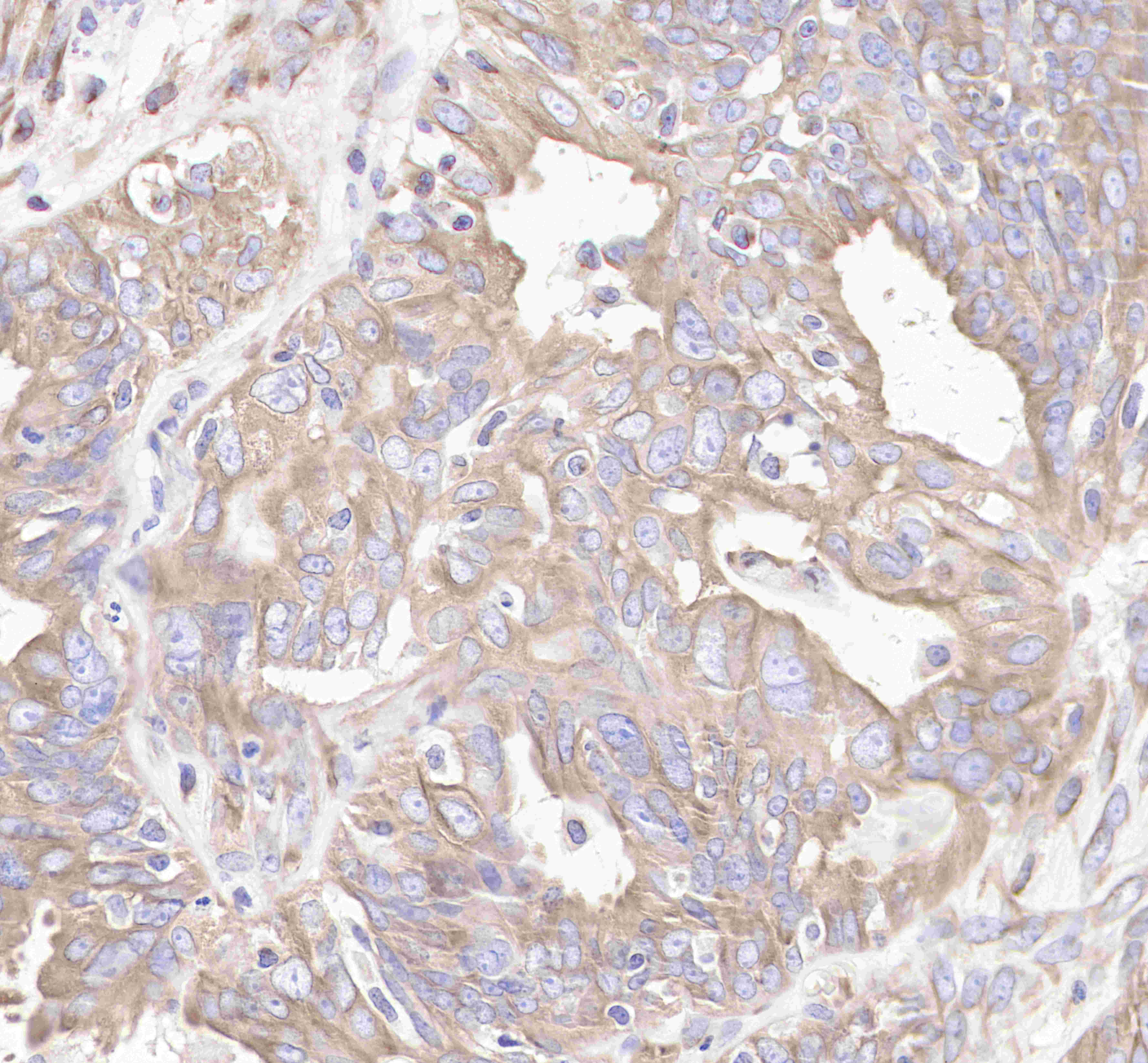
IHC shows positive staining in paraffin-embedded human colon cancer. 

Anti-β-tubulin antibody was used at 1/1000 dilution, followed by a Goat Anti-Rabbit IgG H&L (HRP) ready to use. 

Counterstained with hematoxylin.

Heat mediated antigen retrieval with Tris/EDTA buffer pH9.0 was performed before commencing with IHC staining protocol.

IHC shows positive staining in paraffin-embedded mouse liver. 

Anti-β-tubulin antibody was used at 1/1000 dilution, followed by a Goat Anti-Rabbit IgG H&L (HRP) ready to use.

Counterstained with hematoxylin.

Heat mediated antigen retrieval with Tris/EDTA buffer pH9.0 was performed before commencing with IHC staining protocol.

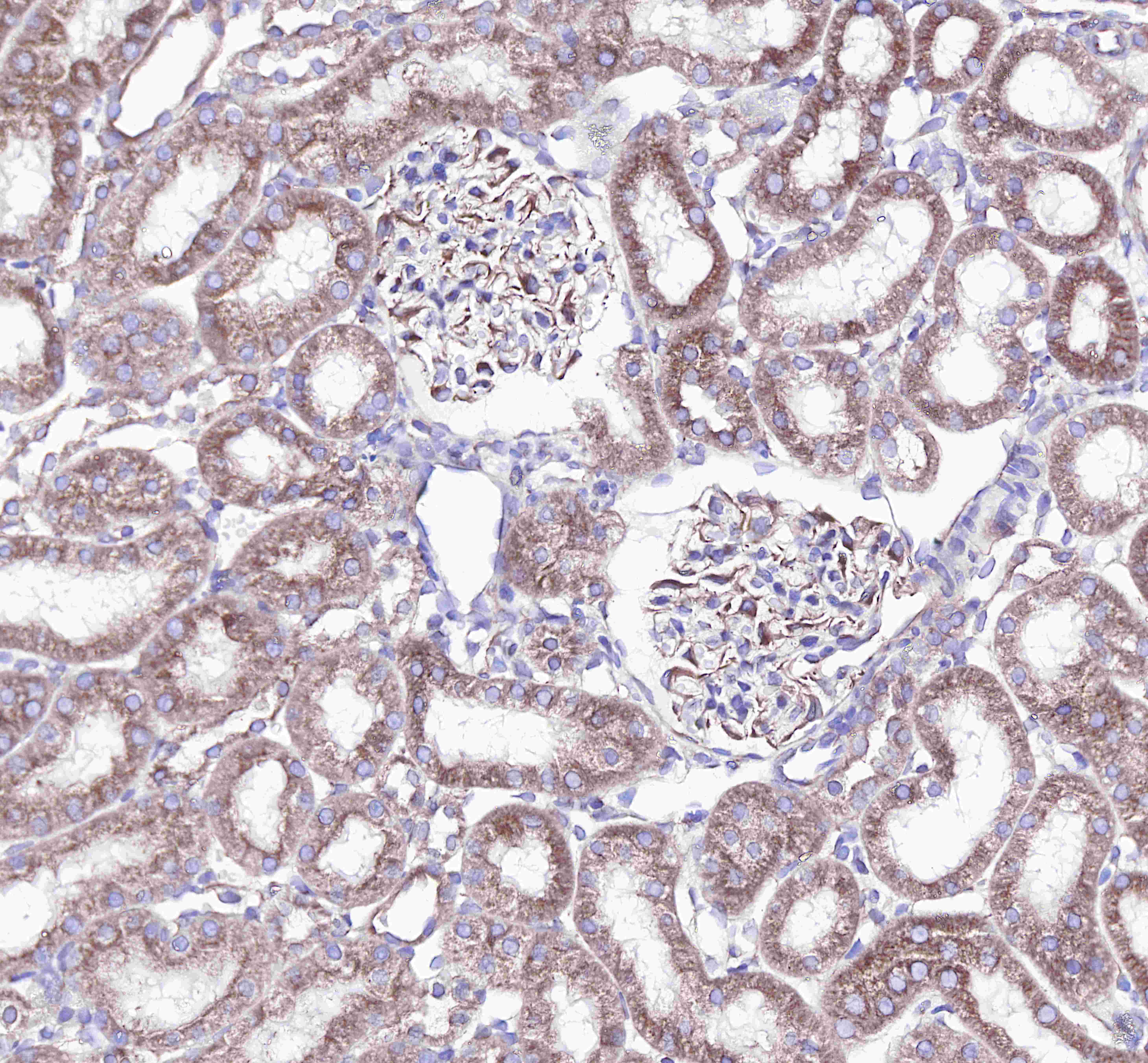
IHC shows positive staining in paraffin-embedded rat kidney.

Anti-β-tubulin antibody was used at 1/1000 dilution, followed by a Goat Anti-Rabbit IgG H&L (HRP) ready to use.

Counterstained with hematoxylin.

Heat mediated antigen retrieval with Tris/EDTA buffer pH9.0 was performed before commencing with IHC staining protocol.

Immunocytochemistry

ICC shows positive staining in HeLa cells. Anti-β-tubulin antibody was used at 1/500 dilution (Green) and incubated overnight at 4°C. Goat polyclonal Antibody to Rabbit IgG - H&L (Alexa Fluor® 488) was used as secondary antibody at 1/1000 dilution. The cells were fixed with 4% PFA and permeabilized with 0.1% PBS-Triton X-100. Nuclei were counterstained with DAPI (Blue).