Flow cytometric analysis of 4% PFA fixed 90% methanol permeabilized C2C12 (Mouse myoblasts myoblast) labelling Smooth Muscle Myosin Heavy Chain (SMMHC) antibody at 1/50 dilution (1 μg) / (Red) compared with a Rabbit monoclonal IgG (Black) isotype control and an unlabelled control (cells without incubation with primary antibody and secondary antibody) (Blue). Goat Anti - Rabbit IgG Alexa Fluor® 488 was used as the secondary antibody.
Product Details
Product Details
Product Specification
Host | Rabbit |
Antigen | Smooth Muscle Myosin Heavy Chain (SMMHC) |
Synonyms | Myosin-11 |
Immunogen | N/A |
Location | Cytoplasm |
Accession | P35749 |
Clone Number | SDT-R089 |
Antibody Type | Rabbit mAb |
Application | IHC-P, ICC, ICFCM, IF |
Reactivity | Hu, Ms, Rt |
Purification | Protein A |
Concentration | 0.5 mg/ml |
Physical Appearance | Liquid |
Storage Buffer | PBS, 40% Glycerol, 0.05% BSA, 0.03% Proclin 300 |
Stability & Storage | 12 months from date of receipt / reconstitution, -20 °C as supplied |
Dilution
application | dilution | species |
IHC-P | 1:1000 | null |
IF | 1:2000 | null |
ICFCM | 1:50 | null |
ICC | 1:500 | null |
Background
Smooth muscle myosin heavy chain (SMMHC) is a major structural component of the contractile apparatus in smooth muscle cells. Expression of smooth muscle myosin is developmently regulated, appearing early in smooth muscle development, and is specific for smooth muscle development. Even though it is considered a relatively specific marker for terminal smooth muscle cell differentiation, expression in other cell types has rarely been reported.
Picture
Picture
FC

Immunohistochemistry

IHC shows positive staining in paraffin-embedded human colon. Anti-Smooth Muscle Myosin Heavy Chain (SMMHC) antibody was used at 1/1000 dilution, followed by a HRP Polymer for Mouse & Rabbit IgG (ready to use). Counterstained with hematoxylin. Heat mediated antigen retrieval with Tris/EDTA buffer pH9.0 was performed before commencing with IHC staining protocol.

IHC shows positive staining in paraffin-embedded human stomach. Anti-Smooth Muscle Myosin Heavy Chain (SMMHC) antibody was used at 1/1000 dilution, followed by a HRP Polymer for Mouse & Rabbit IgG (ready to use). Counterstained with hematoxylin. Heat mediated antigen retrieval with Tris/EDTA buffer pH9.0 was performed before commencing with IHC staining protocol.

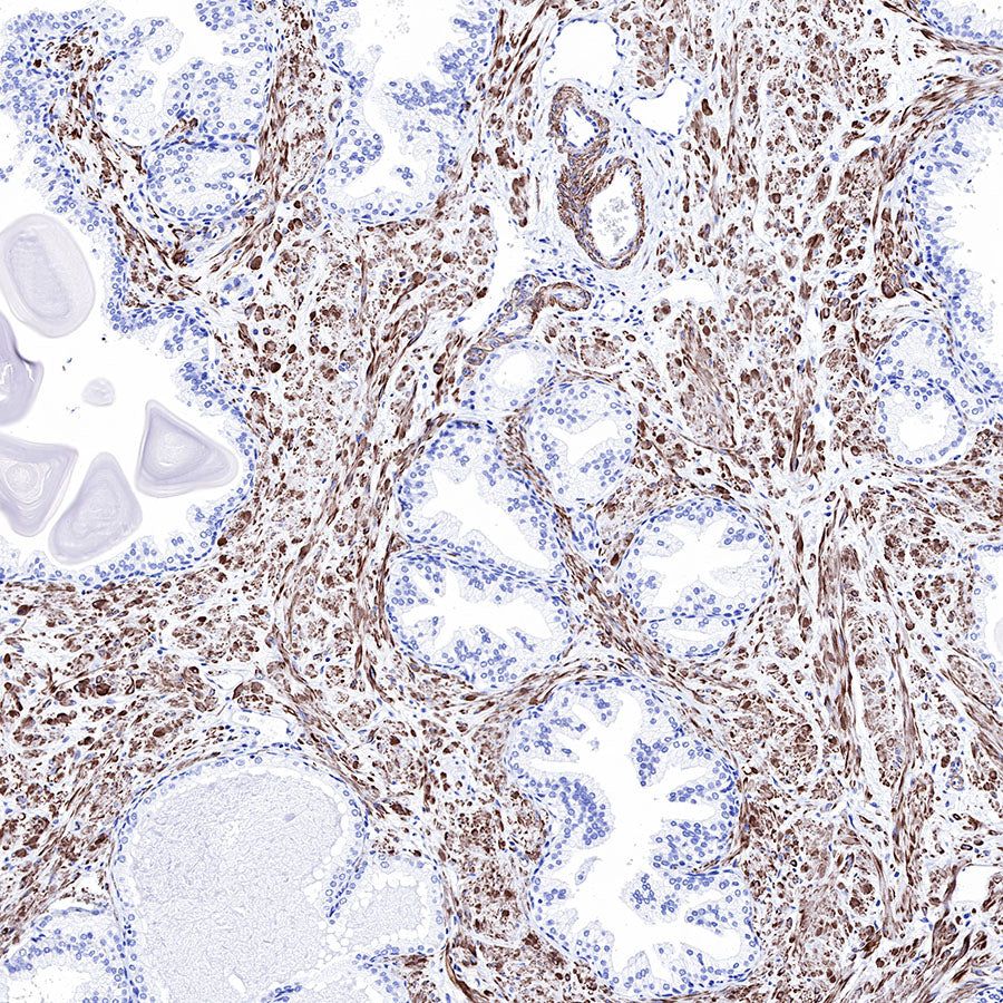
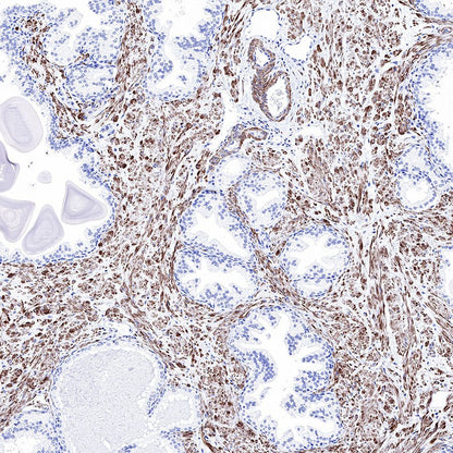
IHC shows positive staining in paraffin-embedded human prostatic hyperplasia. Anti-Smooth Muscle Myosin Heavy Chain (SMMHC) antibody was used at 1/1000 dilution, followed by a HRP Polymer for Mouse & Rabbit IgG (ready to use). Counterstained with hematoxylin. Heat mediated antigen retrieval with Tris/EDTA buffer pH9.0 was performed before commencing with IHC staining protocol.

Negative control: IHC shows negative staining in paraffin-embedded human skeletal muscle. Anti-Smooth Muscle Myosin Heavy Chain (SMMHC) antibody was used at 1/1000 dilution, followed by a HRP Polymer for Mouse & Rabbit IgG (ready to use). Counterstained with hematoxylin. Heat mediated antigen retrieval with Tris/EDTA buffer pH9.0 was performed before commencing with IHC staining protocol.

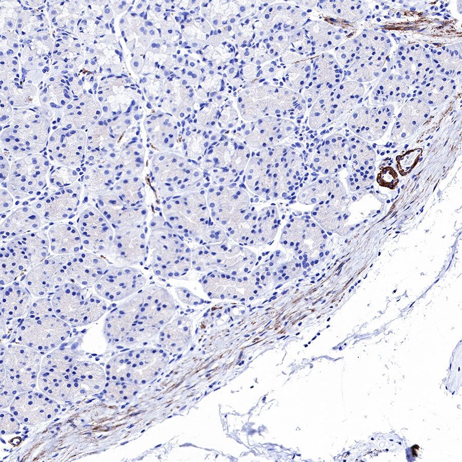
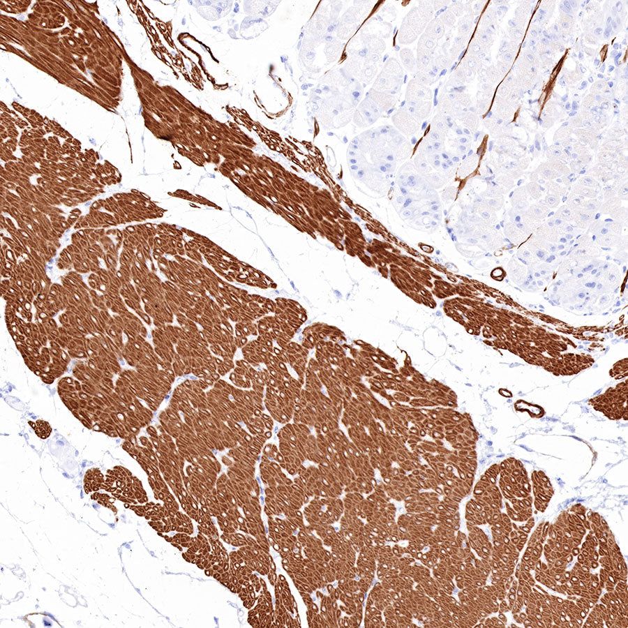
IHC shows positive staining in paraffin-embedded mouse stomach. Anti-Smooth Muscle Myosin Heavy Chain (SMMHC) antibody was used at 1/1000 dilution, followed by a HRP Polymer for Mouse & Rabbit IgG (ready to use). Counterstained with hematoxylin. Heat mediated antigen retrieval with Tris/EDTA buffer pH9.0 was performed before commencing with IHC staining protocol.

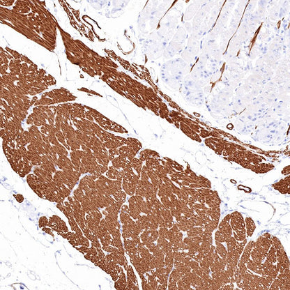
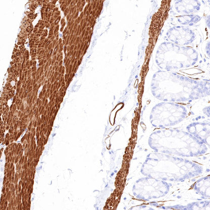
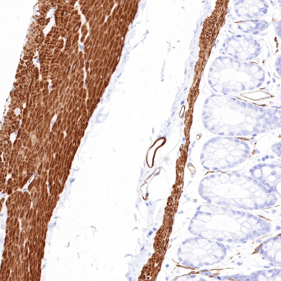
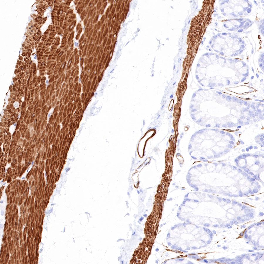
IHC shows positive staining in paraffin-embedded rat colon. Anti-Smooth Muscle Myosin Heavy Chain (SMMHC) antibody was used at 1/1000 dilution, followed by a HRP Polymer for Mouse & Rabbit IgG (ready to use). Counterstained with hematoxylin. Heat mediated antigen retrieval with Tris/EDTA buffer pH9.0 was performed before commencing with IHC staining protocol.
Immunocytochemistry

ICC shows positive staining in C2C12 cells. Anti-Smooth Muscle Myosin Heavy Chain (SMMHC) antibody was used at 1/500 dilution (Green) and incubated overnight at 4°C. Goat polyclonal Antibody to Rabbit IgG - H&L (Alexa Fluor® 488) was used as secondary antibody at 1/1000 dilution. The cells were fixed with 100% ice-cold methanol and permeabilized with 0.1% PBS-Triton X-100. Nuclei were counterstained with DAPI (Blue).Counterstain with tubulin (Red).
Immunofluorescence

IF shows positive staining in paraffin-embedded human prostate. Anti-SMMHC antibody was used at 1/2000 dilution (Green) and incubated overnight at 4°C. Goat polyclonal Antibody to Rabbit IgG - H&L (Alexa Fluor® 488) was used as secondary antibody at 1/1000 dilution. Counterstained with DAPI (Blue). Heat mediated antigen retrieval with Tris/EDTA buffer pH9.0 was performed before commencing with IF staining protocol.








