Skip to product information
1 of 6

S-RMab® Mesothelin Recombinant Rabbit mAb (SDT-R070)

S-RMab® Mesothelin Recombinant Rabbit mAb (SDT-R070)

Catalog Number: S0B2104 Application: WB,IHC-P Reactivity: Human Conjugation: Unconjugated Brand: Starter
Price:
Regular price $131.00 SGD
Regular price Sale price $131.00 SGD
Size:
For shipping services or bulk orders, you may request a quotation.
Secure checkout with
View full details

Product Details

Product Specification


Host Rabbit
Antigen Mesothelin
Synonyms CAK1 antigen, MSLN
Immunogen N/A
Location Cytoplasm, Cell membrane
Accession Q13421
Clone Number SDT-R070
Antibody Type Rabbit mAb
Application WB, IHC-P
Reactivity Hu
Purification Protein A
Concentration 0.25 mg/ml
Physical Appearance Liquid
Storage Buffer PBS, 40% Glycerol, 0.05%BSA, 0.03% Proclin 300
Stability & Storage 12 months from date of receipt / reconstitution, -20 °C as supplied

Dilution


application dilution species
WB 1:500 null
IHC-P 1:1000 null

Background

Mesothelin (MSLN) is a glycophosphatidylinositol (GPI)-linked cell surface protein normally expressed in mesothelial cells that line the pleura, peritoneum, and pericardium. The MSLN gene encodes a precursor protein of 71 kDa that is processed to a 31 kDa shed protein called MPF (megakaryocyte potentiating factor) and a 40 kDa membrane bound protein, mesothelin.Mesothelin is reported to be highly expressed in several types of malignant tumors, such as malignant mesothelioma, ovarian cancer, pancreatic adenocarcinoma, and lung adenocarcinoma.

Picture

Western Blot

WB result of Mesothelin Rabbit mAb                 
Primary antibody:  Mesothelin Rabbit mAb at 1/500 dilution
Lane 1: A549 whole cell lysate 20 µg
Lane 2: HeLa whole cell lysate 20 µg
Negative control: A549 whole cell lysate    
Secondary antibody: Goat Anti-Rabbit IgG, (H+L), HRP conjugated at 1/10000 dilution
Predicted MW: 69 kDa
Observed MW: 40, 69 kDa

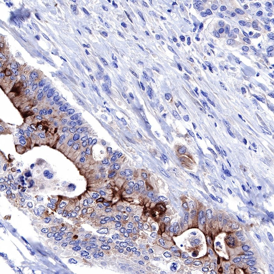
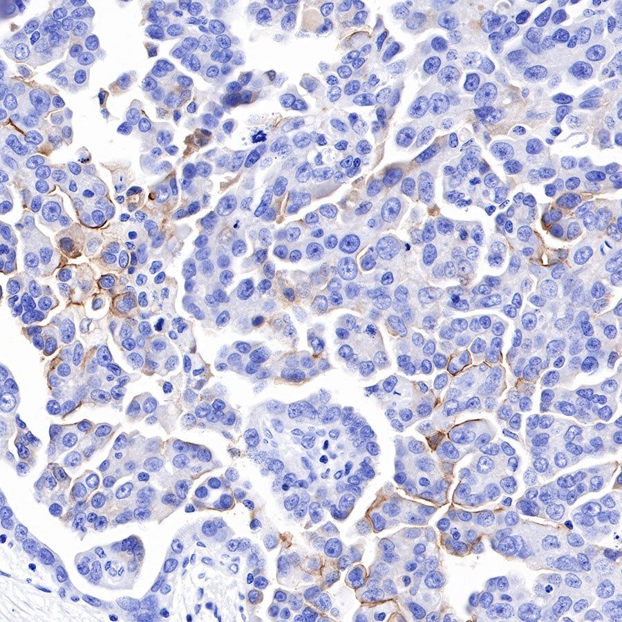
Immunohistochemistry

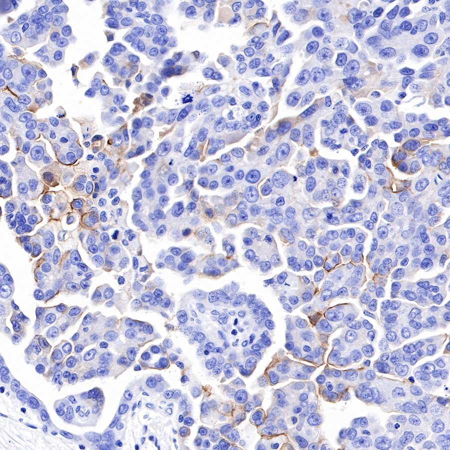
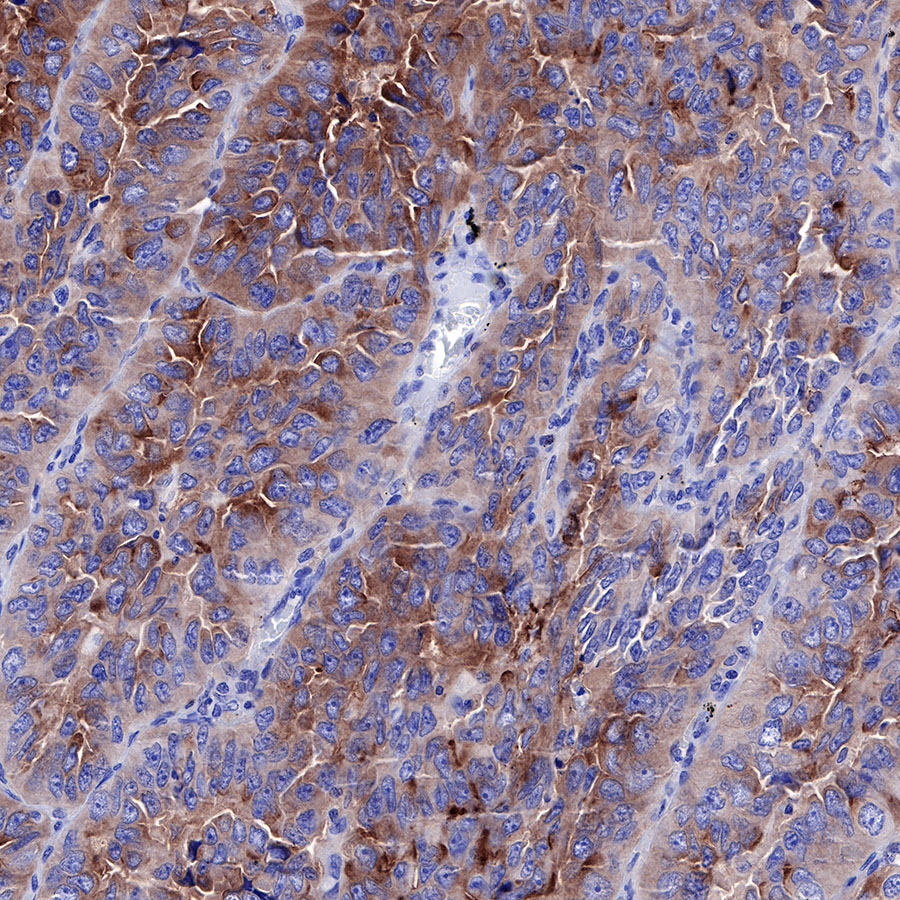
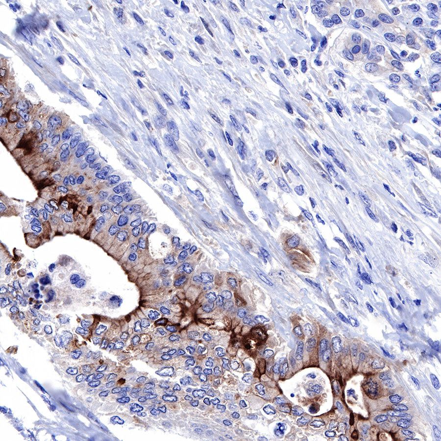
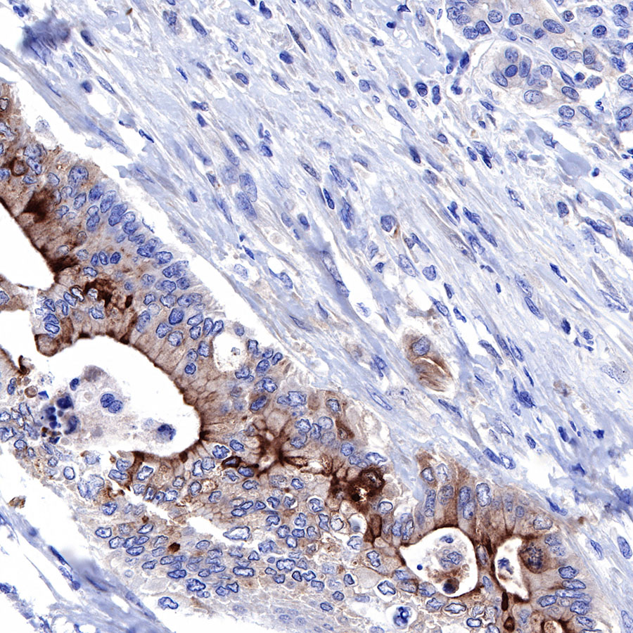
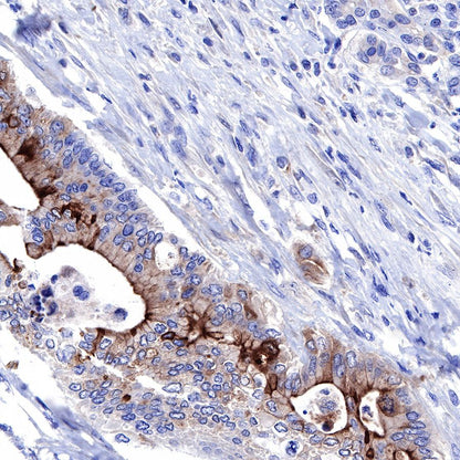
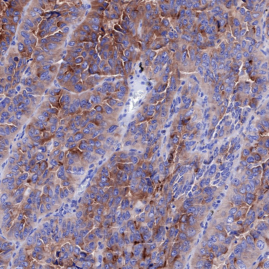
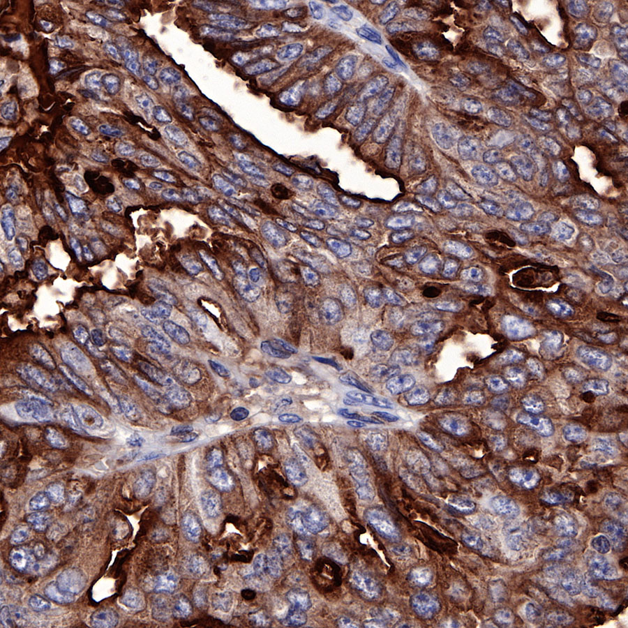
IHC shows positive staining in paraffin-embedded human mesothelioma. Anti-Mesothelin antibody was used at 1/1000 dilution, followed by a HRP Polymer for Mouse & Rabbit IgG (ready to use). Counterstained with hematoxylin. Heat mediated antigen retrieval with Tris/EDTA buffer pH9.0 was performed before commencing with IHC staining protocol.

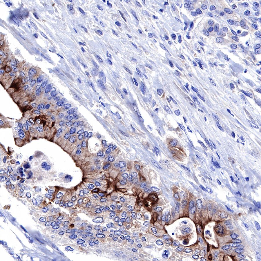
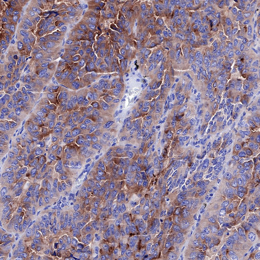
IHC shows positive staining in paraffin-embedded human lung cancer. Anti-Mesothelin antibody was used at 1/1000 dilution, followed by a HRP Polymer for Mouse & Rabbit IgG (ready to use). Counterstained with hematoxylin. Heat mediated antigen retrieval with Tris/EDTA buffer pH9.0 was performed before commencing with IHC staining protocol.

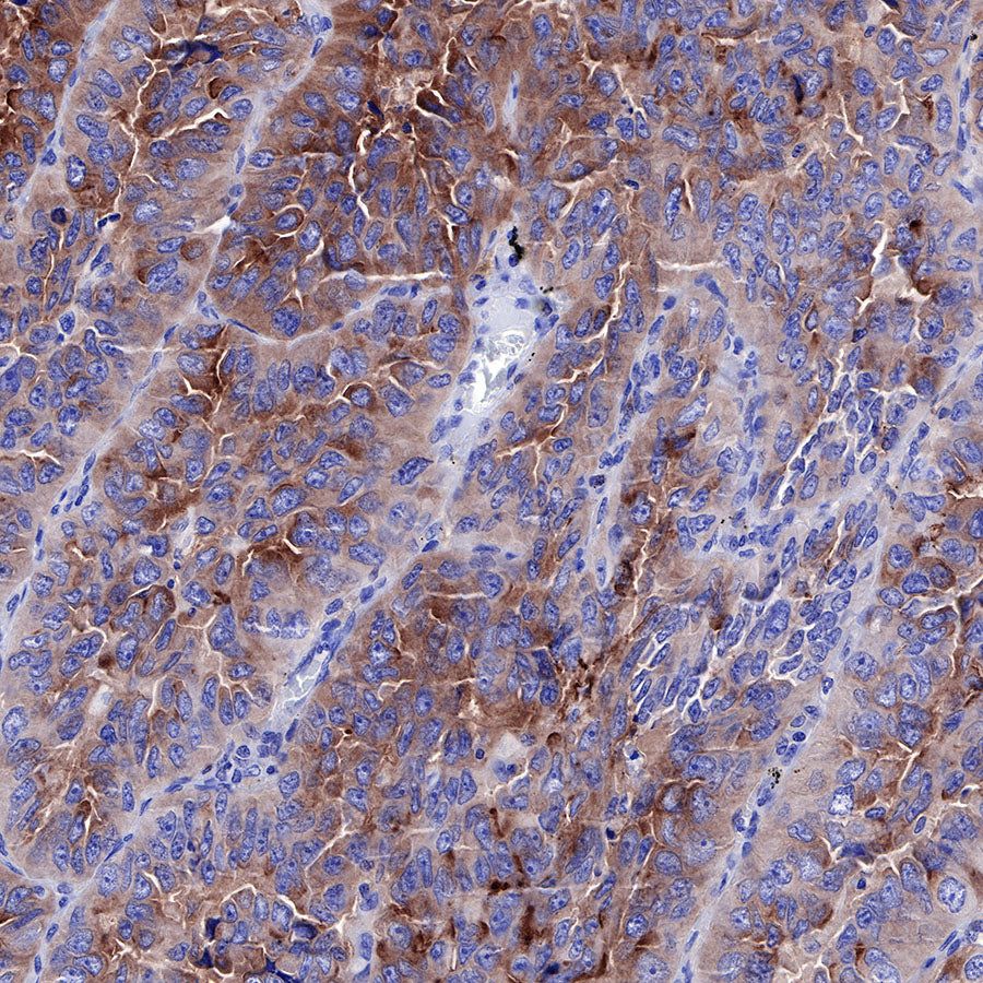
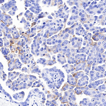
IHC shows positive staining in paraffin-embedded human ovarian carcinoma. Anti-Mesothelin antibody was used at 1/1000 dilution, followed by a HRP Polymer for Mouse & Rabbit IgG (ready to use). Counterstained with hematoxylin. Heat mediated antigen retrieval with Tris/EDTA buffer pH9.0 was performed before commencing with IHC staining protocol.

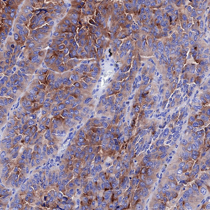
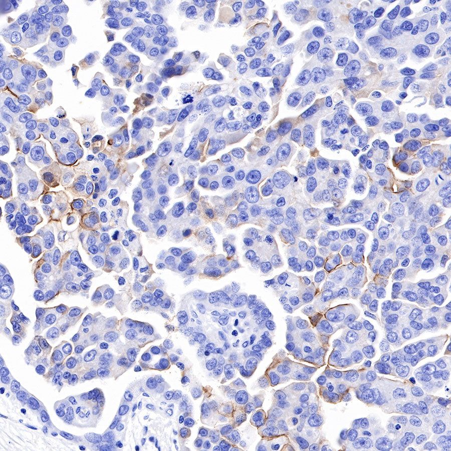
IHC shows positive staining in paraffin-embedded human pancreatic carcinoma. Anti-Mesothelin antibody was used at 1/1000 dilution, followed by a HRP Polymer for Mouse & Rabbit IgG (ready to use). Counterstained with hematoxylin. Heat mediated antigen retrieval with Tris/EDTA buffer pH9.0 was performed before commencing with IHC staining protocol.

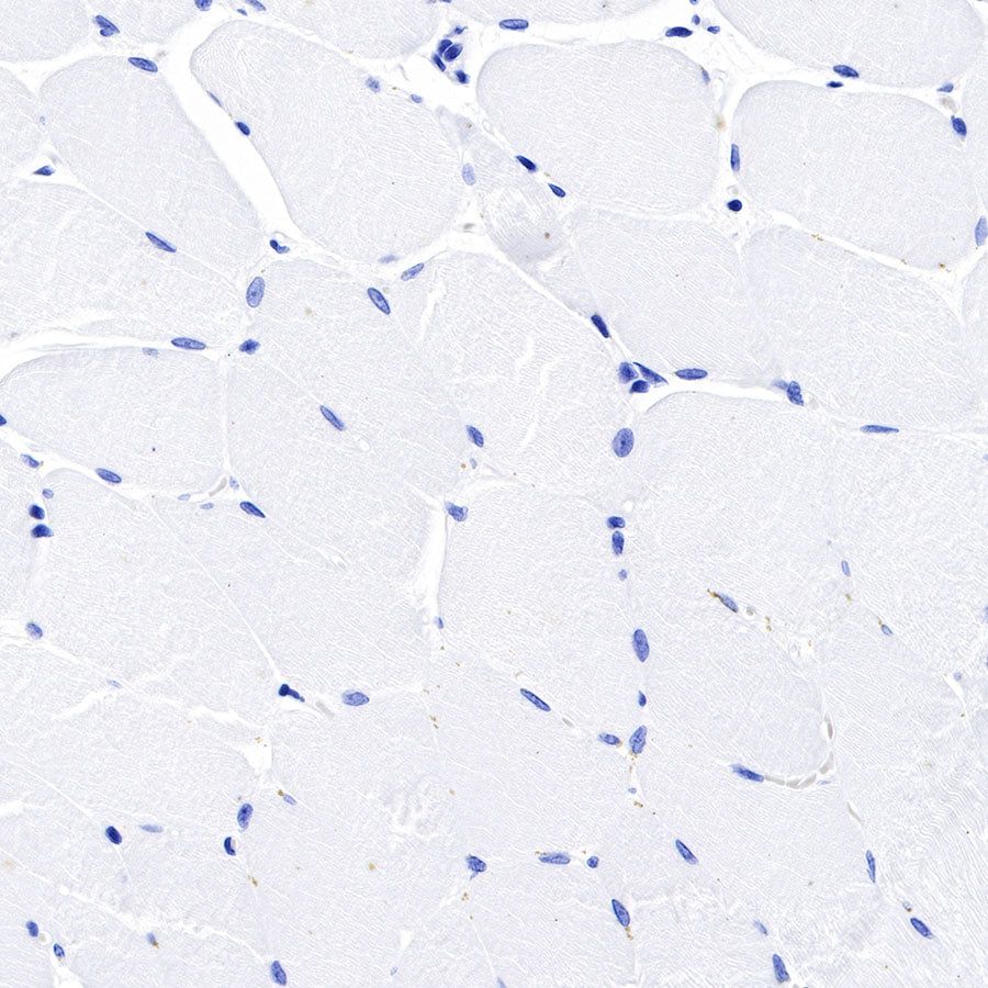
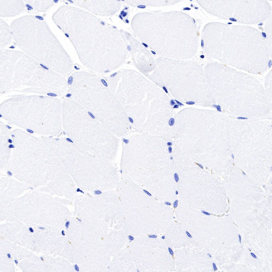
Negative control: IHC shows negative staining in paraffin-embedded human skeletal muscle. Anti-Mesothelin antibody was used at 1/1000 dilution, followed by a HRP Polymer for Mouse & Rabbit IgG (ready to use). Counterstained with hematoxylin. Heat mediated antigen retrieval with Tris/EDTA buffer pH9.0 was performed before commencing with IHC staining protocol.