Skip to product information
1 of 7

S-RMab® Lysozyme Recombinant Rabbit mAb (SDT-R105)

S-RMab® Lysozyme Recombinant Rabbit mAb (SDT-R105)

Catalog Number: S0B2143 Application: WB,IHC-P Reactivity: Human Conjugation: Unconjugated Brand: Starter
Price:
Regular price $131.00 SGD
Regular price Sale price $131.00 SGD
Size:
For shipping services or bulk orders, you may request a quotation.
Secure checkout with
View full details

Product Details

Product Specification


Host Rabbit
Antigen Lysozyme
Synonyms Lysozyme C, 1,4-beta-N-acetylmuramidase C
Immunogen N/A
Location Secreted
Accession P61626
Clone Number SDT-R105
Antibody Type Rabbit mAb
Application WB, IHC-P
Reactivity Hu
Purification Protein A
Concentration 0.5 mg/ml
Physical Appearance Liquid
Storage Buffer PBS, 40% Glycerol, 0.05% BSA, 0.03% Proclin 300
Stability & Storage 12 months from date of receipt / reconstitution, -20 °C as supplied

Dilution


application dilution species
WB 1:1000 null
IHC-P 1:1000 null

Background

Lysozyme is a ~14 kDa protein present in many mucosal secretions (tears, saliva, and mucus) and tissues of animals and plants, and plays an important role in the innate immunity, providing protection against bacteria, viruses, and fungi. Three main different types of lysozymes are known: the c-type (chicken or conventional type), the g-type (goose type), and the i-type (invertebrate type) [PMID: 34943746].

Picture

Western Blot

WB result of Lysozyme Rabbit mAb                 
Primary antibody: Lysozyme Rabbit mAb at 1/1000 dilution
Lane 1: A549 whole cell lysate 20 µg
Lane 2: THP-1 whole cell lysate 20 µg
Lane 3: HL-60 whole cell lysate 20 µg
Lane 4: HepG2 whole cell lysate 20 µg
Negative control: A549 whole cell lysate   
Secondary antibody: Goat Anti-Rabbit IgG, (H+L), HRP conjugated at 1/10000 dilution
Predicted MW: 15 kDa
Observed MW: 15 kDa

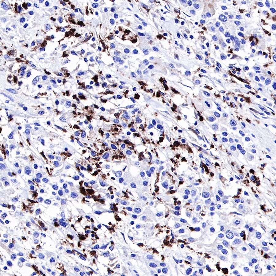
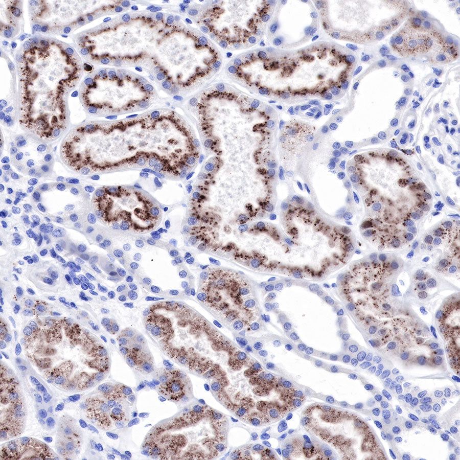
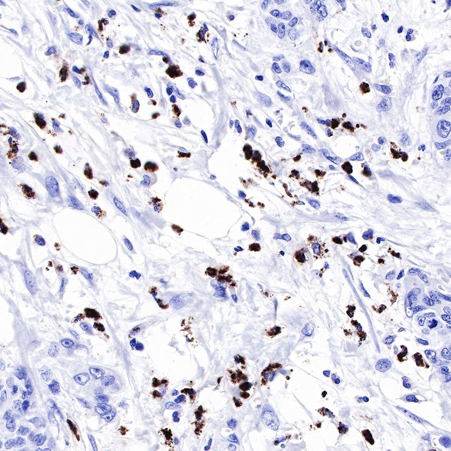
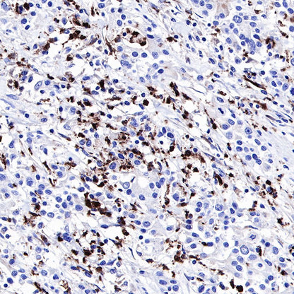
Immunohistochemistry

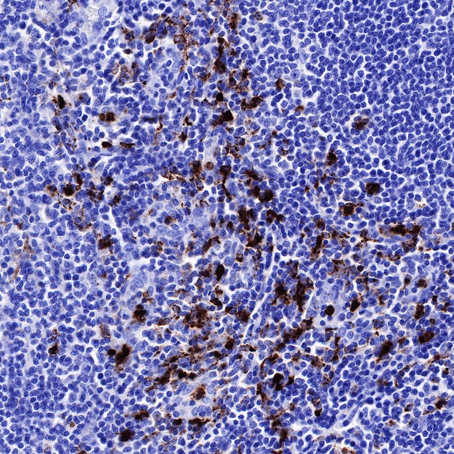
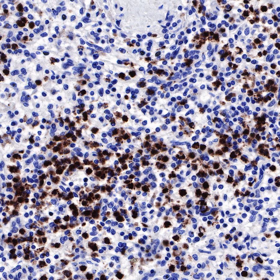
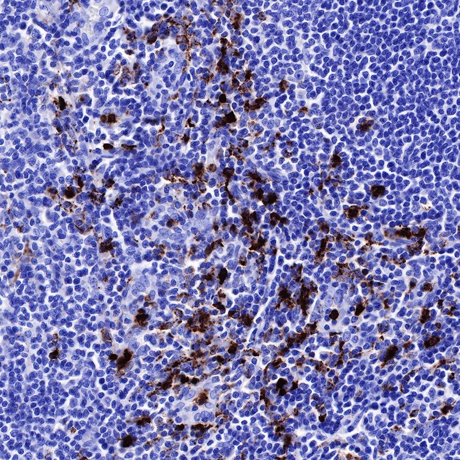
IHC shows positive staining in paraffin-embedded human tonsil. Anti-Lysozyme antibody was used at 1/1000 dilution, followed by a HRP Polymer for Mouse & Rabbit IgG (ready to use). Counterstained with hematoxylin. Heat mediated antigen retrieval with Tris/EDTA buffer pH9.0 was performed before commencing with IHC staining protocol.

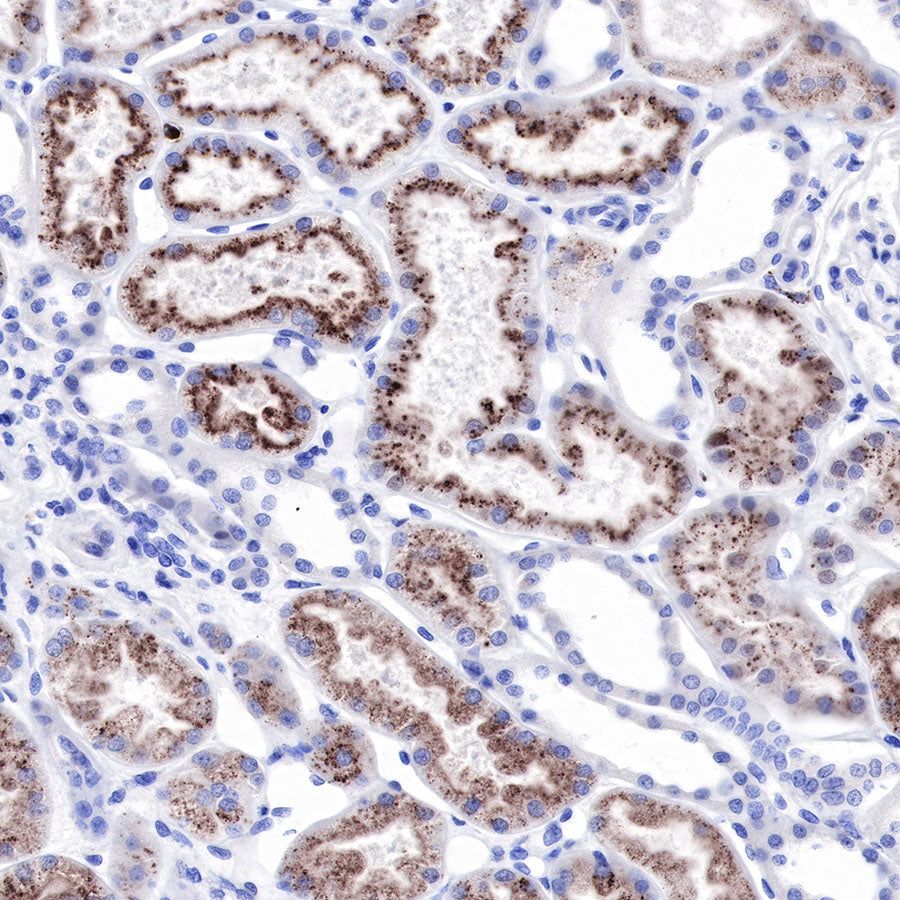
IHC shows positive staining in paraffin-embedded human kidney. Anti-Lysozyme antibody was used at 1/1000 dilution, followed by a HRP Polymer for Mouse & Rabbit IgG (ready to use). Counterstained with hematoxylin. Heat mediated antigen retrieval with Tris/EDTA buffer pH9.0 was performed before commencing with IHC staining protocol.

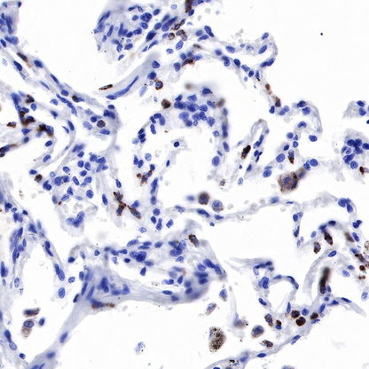
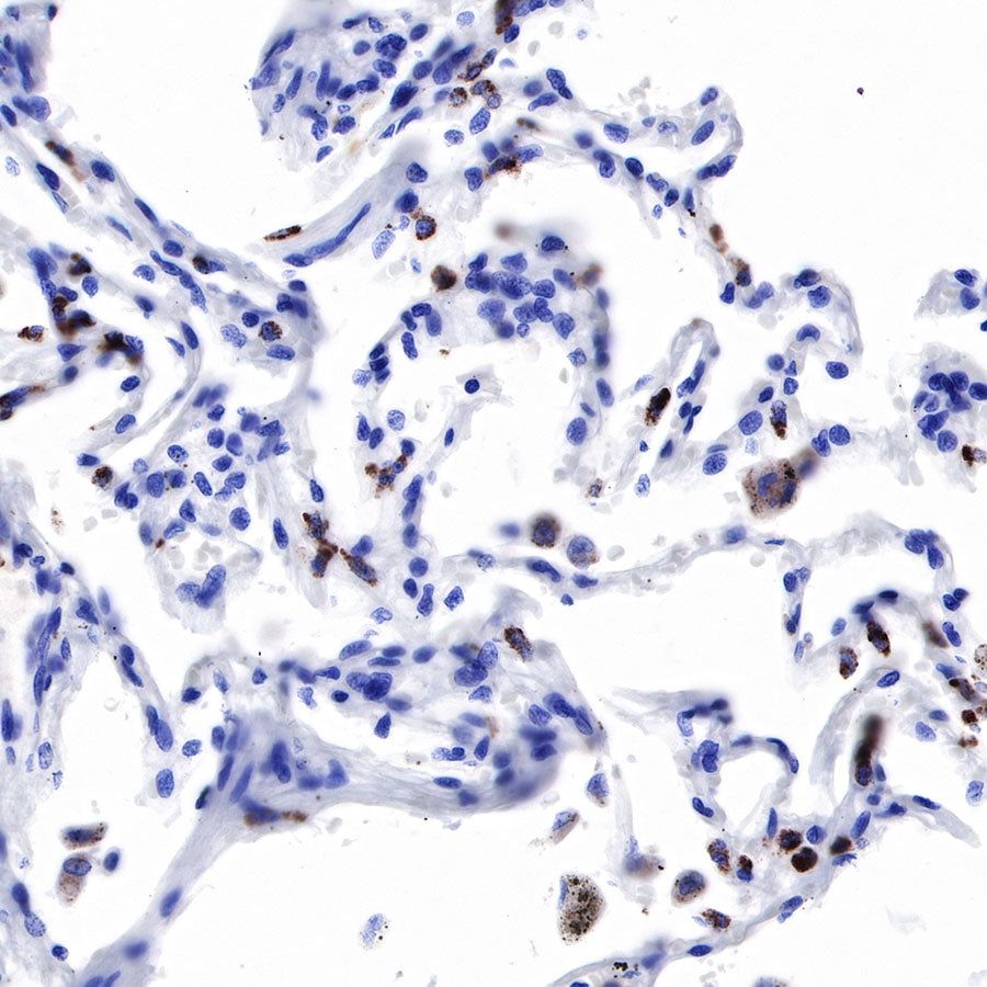
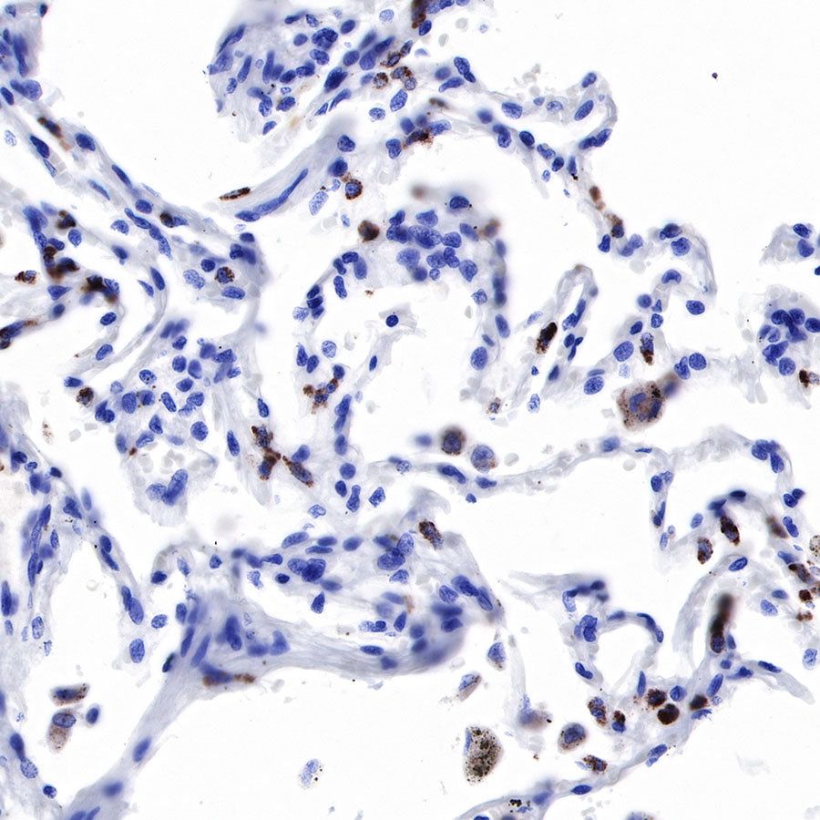
IHC shows positive staining in paraffin-embedded human lung. Anti-Lysozyme antibody was used at 1/1000 dilution, followed by a HRP Polymer for Mouse & Rabbit IgG (ready to use). Counterstained with hematoxylin. Heat mediated antigen retrieval with Tris/EDTA buffer pH9.0 was performed before commencing with IHC staining protocol.

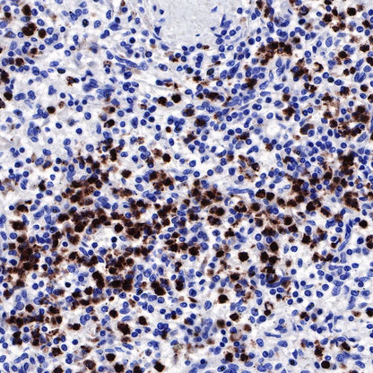
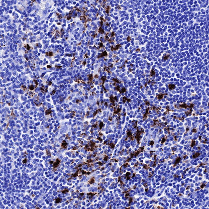
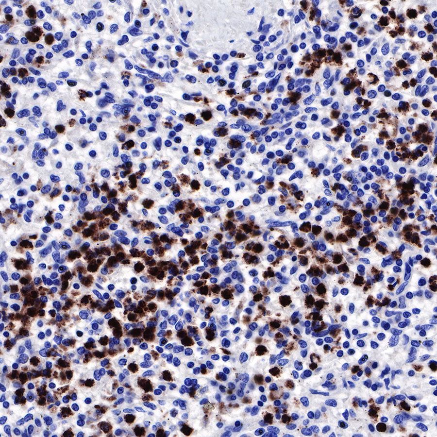
IHC shows positive staining in paraffin-embedded human spleen. Anti-Lysozyme antibody was used at 1/1000 dilution, followed by a HRP Polymer for Mouse & Rabbit IgG (ready to use). Counterstained with hematoxylin. Heat mediated antigen retrieval with Tris/EDTA buffer pH9.0 was performed before commencing with IHC staining protocol.

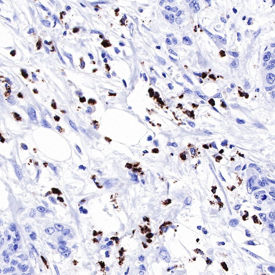
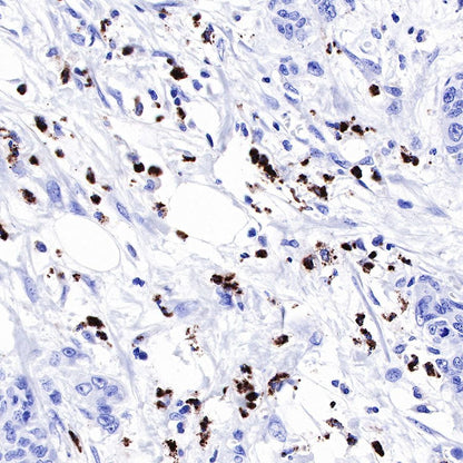
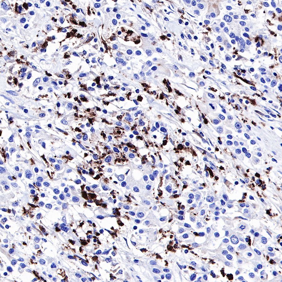
IHC shows positive staining in paraffin-embedded human gastric cancer. Anti-Lysozyme antibody was used at 1/1000 dilution, followed by a HRP Polymer for Mouse & Rabbit IgG (ready to use). Counterstained with hematoxylin. Heat mediated antigen retrieval with Tris/EDTA buffer pH9.0 was performed before commencing with IHC staining protocol.

IHC shows positive staining in paraffin-embedded human pancreatic cancer. Anti-Lysozyme antibody was used at 1/1000 dilution, followed by a HRP Polymer for Mouse & Rabbit IgG (ready to use). Counterstained with hematoxylin. Heat mediated antigen retrieval with Tris/EDTA buffer pH9.0 was performed before commencing with IHC staining protocol.