Skip to product information
1 of 7

S-RMab® Claudin18.2 Recombinant Rabbit mAb (SDT-102-83)

S-RMab® Claudin18.2 Recombinant Rabbit mAb (SDT-102-83)

Catalog Number: S0B2070 Application: IHC-P Reactivity: Human,Mouse,Rat Conjugation: Unconjugated Brand: Starter
Price:
Regular price $120 USD
Regular price Sale price $120 USD
Size:

For shipping services or bulk orders, you may request a quotation.
Secure checkout with
View full details

Product Details

Product Specification


Host Rabbit
Antigen Claudin18.2
Immunogen Synthetic Peptide
Location Membrane
Accession P56856-2
Clone Number SDT-102-83
Antibody Type Rabbit mAb
Application IHC-P
Reactivity Hu, Ms, Rt
Purification Protein A
Concentration 0.5 mg/ml
Physical Appearance Liquid
Storage Buffer PBS, 40% Glycerol, 0.05%BSA, 0.03% Proclin 300
Stability & Storage

12 months from date of receipt / reconstitution, -20 °C as supplied

Dilution


application dilution species
IHC-P 1:1000 null

Background

Claudin-18 is a protein that in humans is encoded by the CLDN18 gene. It belongs to the group of claudins. CLDN18 belongs to the large claudin family of proteins, which form tight junction strands in epithelial cells. Isoform 2 (Claudin 18.2) is abundant in gastric tumors. Claudin 18.2 is involved in tumor development and progression and located in the outer cell membrane. It has exposed extracellular loops and is available for monoclonal antibody binding.

Picture

Immunohistochemistry

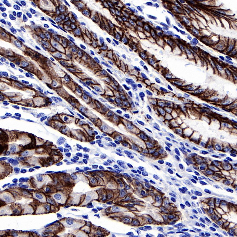
IHC shows positive staining in paraffin-embedded human stomach.

Anti-Claudin18.2 antibody was used at 1/1000 dilution, followed by a Goat Anti-Rabbit IgG H&L (HRP) ready to use. Counterstained with hematoxylin.

Heat mediated antigen retrieval with Tris/EDTA buffer pH9.0 was performed before commencing with IHC staining protocol.

Negative control: IHC shows negative staining in paraffin-embedded human colon.

Anti-Claudin18.2 antibody was used at 1/1000 dilution, followed by a Goat Anti-Rabbit IgG H&L (HRP) ready to use. Counterstained with hematoxylin.

Heat mediated antigen retrieval with Tris/EDTA buffer pH9.0 was performed before commencing with IHC staining protocol.

Negative control: IHC shows negative staining in paraffin-embedded human lung.

Anti-Claudin18.2 antibody was used at 1/1000 dilution, followed by a Goat Anti-Rabbit IgG H&L (HRP) ready to use. Counterstained with hematoxylin.

Heat mediated antigen retrieval with Tris/EDTA buffer pH9.0 was performed before commencing with IHC staining protocol.

IHC shows positive staining in paraffin-embedded human gastric cancer.

Anti-Claudin18.2 antibody was used at 1/1000 dilution, followed by a Goat Anti-Rabbit IgG H&L (HRP) ready to use. Counterstained with hematoxylin.

Heat mediated antigen retrieval with Tris/EDTA buffer pH9.0 was performed before commencing with IHC staining protocol.

IHC shows positive staining in paraffin-embedded human stomach.

Anti-Claudin18.2 antibody was used at 1/1000 dilution, followed by a Goat Anti-Rabbit IgG H&L (HRP) ready to use. Counterstained with hematoxylin.

Heat mediated antigen retrieval with Tris/EDTA buffer pH9.0 was performed before commencing with IHC staining protocol.

IHC shows positive staining in paraffin-embedded mouse stomach.

Anti-Claudin18.2 antibody was used at 1/1000 dilution, followed by a Goat Anti-Rabbit IgG H&L (HRP) ready to use. Counterstained with hematoxylin.

Heat mediated antigen retrieval with Tris/EDTA buffer pH9.0 was performed before commencing with IHC staining protocol.

IHC shows positive staining in paraffin-embedded rat stomach.

Anti-Claudin18.2 antibody was used at 1/1000 dilution, followed by a Goat Anti-Rabbit IgG H&L (HRP) ready to use. Counterstained with hematoxylin.

Heat mediated antigen retrieval with Tris/EDTA buffer pH9.0 was performed before commencing with IHC staining protocol.