Skip to product information
1 of 10

S-RMab® AFP Recombinant Rabbit mAb (SDT-R077)

S-RMab® AFP Recombinant Rabbit mAb (SDT-R077)

Catalog Number: S0B2095 Application: WB,IHC-P,ICC,IP Reactivity: Human Conjugation: Unconjugated Brand: Starter
Price:
Regular price $131.00 SGD
Regular price Sale price $131.00 SGD
Size:
For shipping services or bulk orders, you may request a quotation.
Secure checkout with
View full details

Product Details

Product Specification


Host Rabbit
Antigen AFP
Synonyms Alpha-fetoprotein
Immunogen N/A
Location Secreted
Accession P02771
Clone Number SDT-R077
Antibody Type Rabbit mAb
Application WB, IHC-P, ICC, IP
Reactivity Hu
Purification Protein A
Concentration 0.25 mg/ml
Physical Appearance Liquid
Storage Buffer

PBS, 40% Glycerol, 0.05%BSA, 0.03% Proclin 300

Stability & Storage

12 months from date of receipt / reconstitution, -20 °C as supplied

Dilution


application dilution species
WB 1:500-1:1000
IHC-P 1:1000
IP 1:25
ICC 1:250

Background

Hepatocarcinoma is one of the most prevalent gastroenterological cancers in the world with less effective therapy. As an oncofetal antigen and diagnostic marker for liver cancer, alpha-fetoprotein (AFP) possesses a variety of biological functions. Except for its diagnosis in liver cancer, AFP has become a target for liver cancer immunotherapy. Although the immunogenicity of AFP is weak and it could induce the immune escapes through inhibiting the function of dendritic cells, natural killer cells, and T lymphocytes, AFP has attracted more attention in liver cancer immunotherapy.

Picture

Western Blot

WB result of AFP Rabbit mAb                    

Primary antibody: AFP Rabbit mAb at 1/500 dilution
Lane 1: HeLa whole cell lysate 20 µg
Lane 2: HepG2 whole cell lysate 20 µg
Negative control: HeLa whole cell lysate    

Secondary antibody: Goat Anti-Rabbit IgG, (H+L), HRP conjugated at 1/10000 dilution
Predicted MW: 69 kDa
Observed MW: 69 kDa
Exposure time: 30s

ICC shows positive staining in HepG2 cells (top panel) and negative staining in HeLa cells (below panel). Anti-AFP antibody was used at 1/250 dilution (Green) and incubated overnight at 4°C. Goat polyclonal Antibody to Rabbit IgG - H&L (Alexa Fluor® 488) was used as secondary antibody at 1/1000 dilution. The cells were fixed with 4% PFA and permeabilized with 0.1% PBS-Triton X-100. Nuclei were counterstained with DAPI (Blue). Counterstain with tubulin (Red).

IP

AFP Rabbit mAb at 1/25 dilution (1µg) immunoprecipitating AFP in 0.4mg HepG2 whole cell lysate.
Western blot was performed on the immunoprecipitate using AFP Rabbit mAb at 1/2000 dilution.
Secondary antibody (HRP) for IP was used at 1/400 dilution.
Lane 1 : HepG2 whole cell lysate 10µg (input)
Lane 2 : AFP Rabbit mAb IP in HepG2 whole cell lysate
Lane 3 : Rabbit monoclonal IgG IP in HepG2 whole cell lysate
Predicted MW: 69 kDa
Observed MW: 69 kDa
Exposure time: 5s

Immunohistochemistry

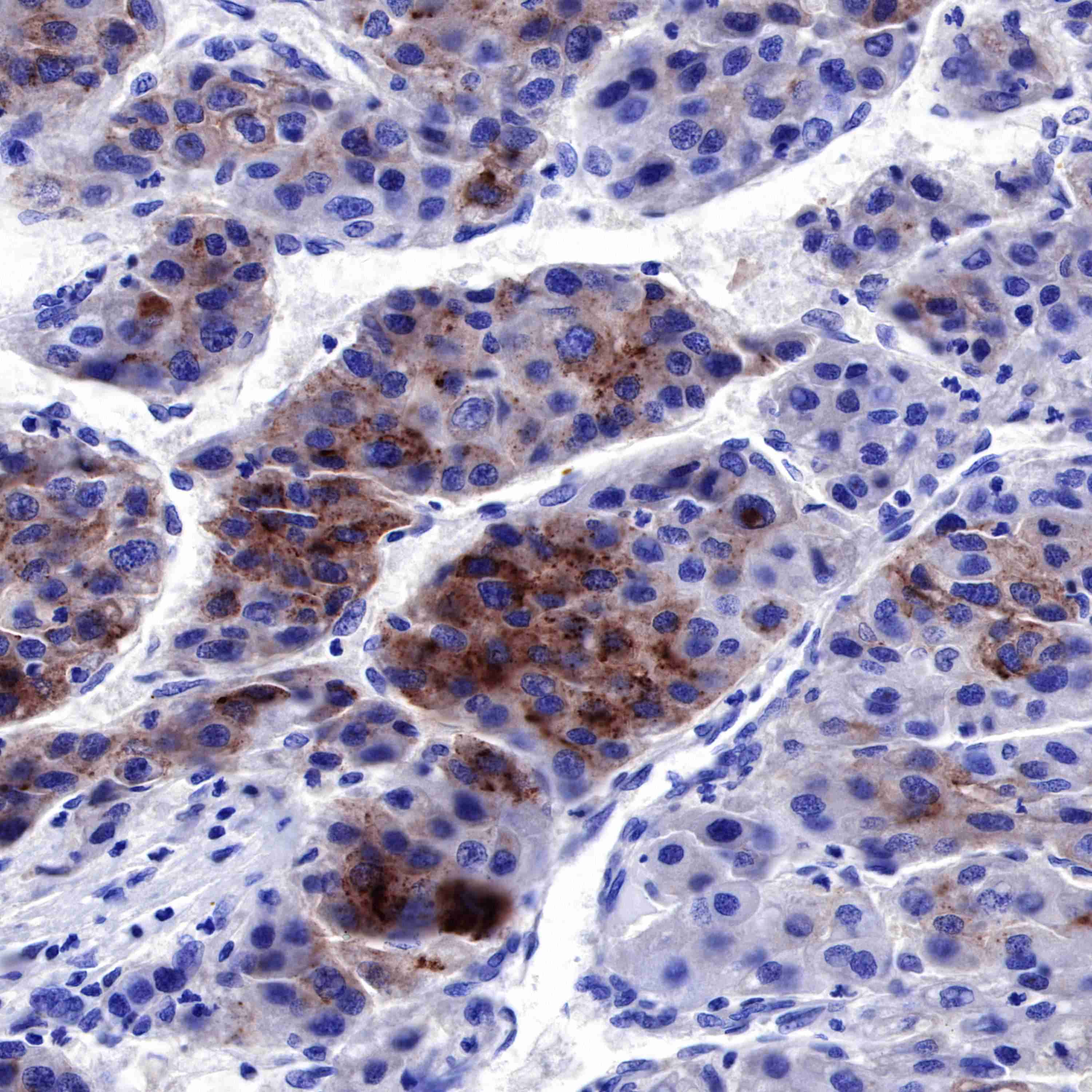
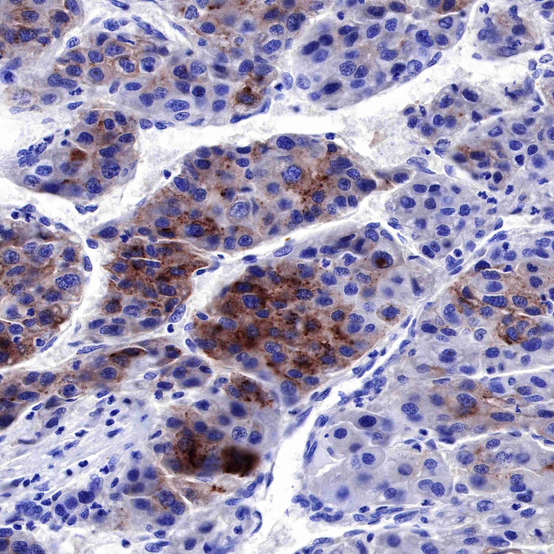
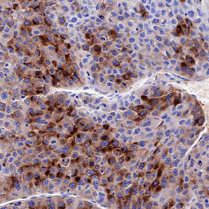
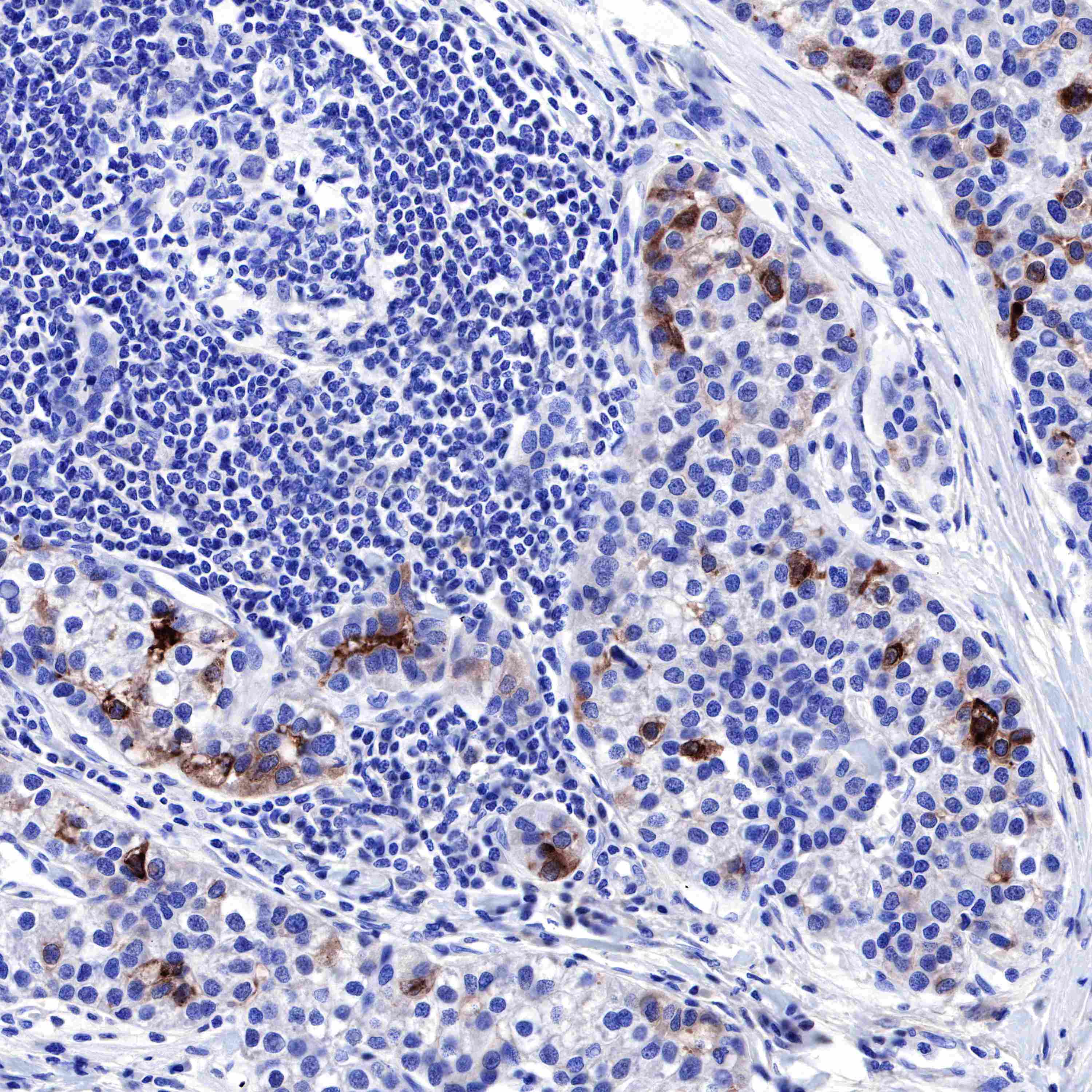
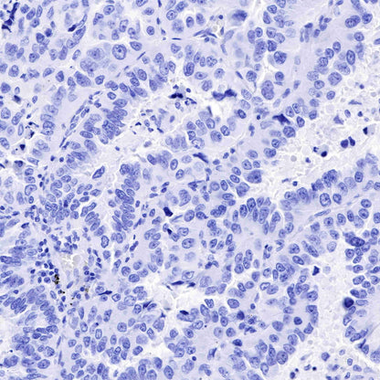
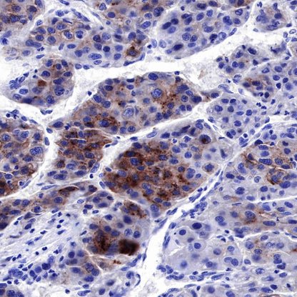
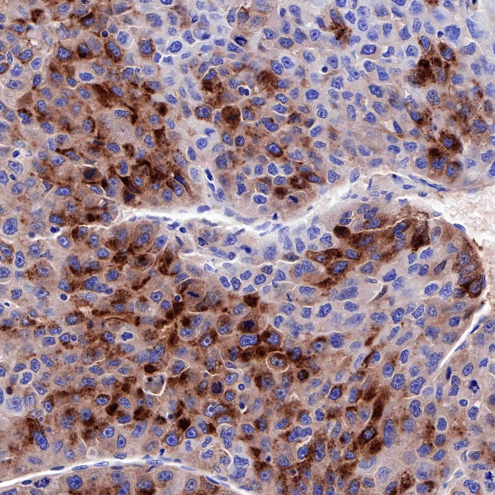
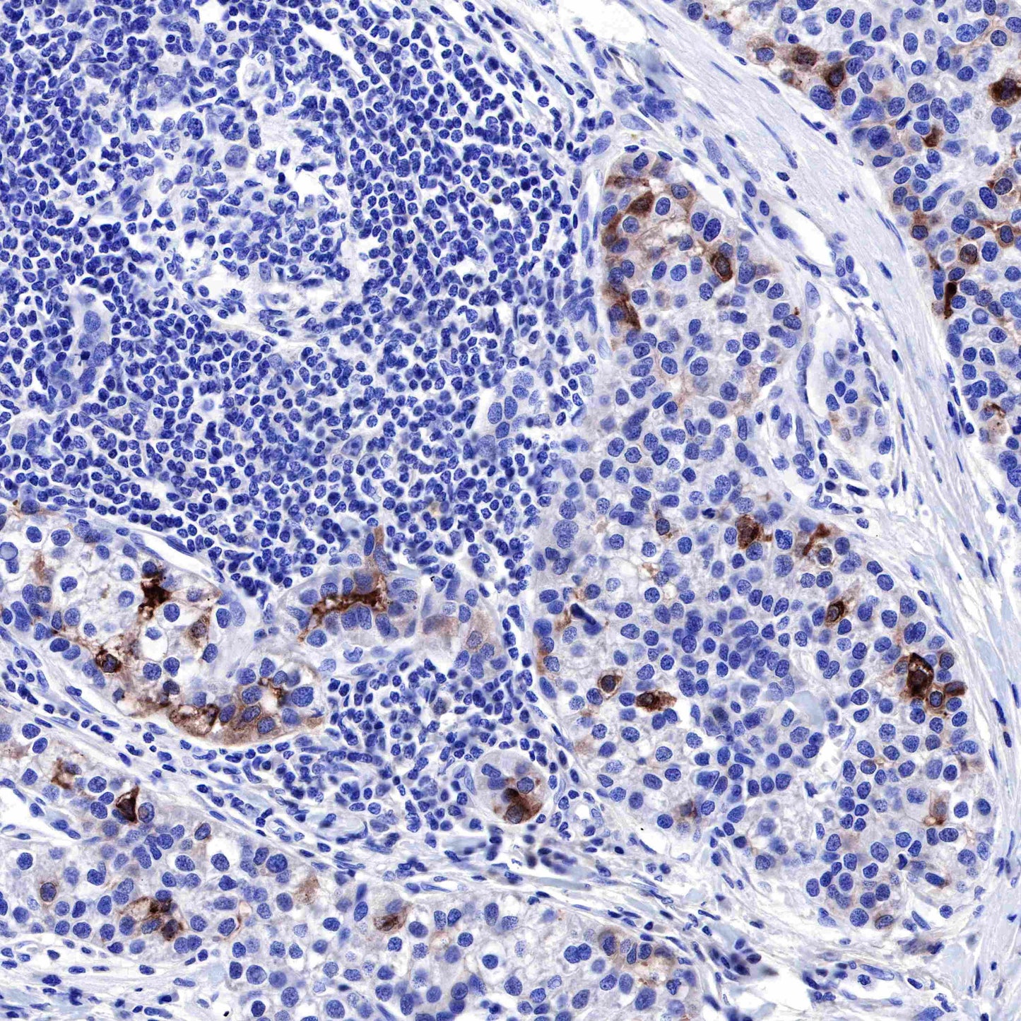
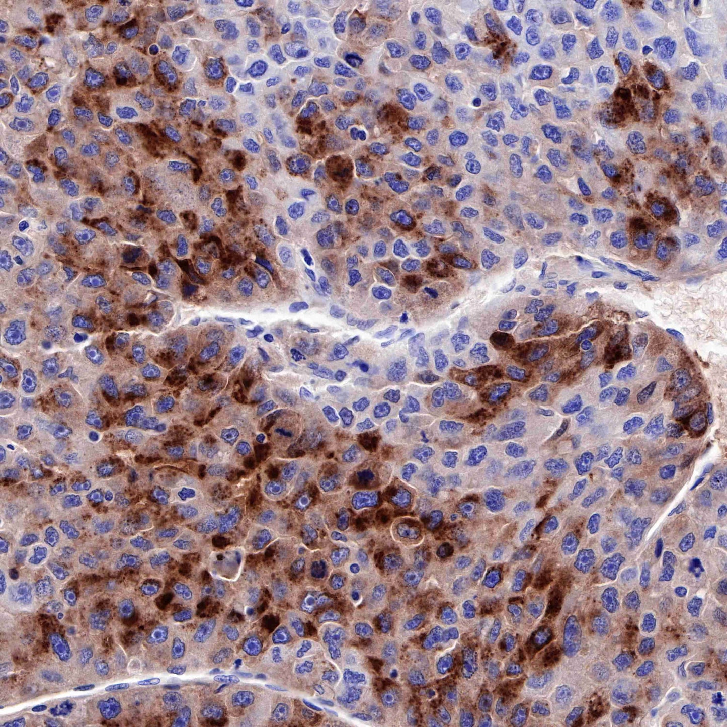
IHC shows positive staining in paraffin-embedded human hepatocellular carcinoma. Anti-AFP antibody was used at 1/1000 dilution, followed by a HRP Polymer for Mouse & Rabbit IgG (ready to use). Counterstained with hematoxylin. Heat mediated antigen retrieval with Tris/EDTA buffer pH9.0 was performed before commencing with IHC staining protocol.

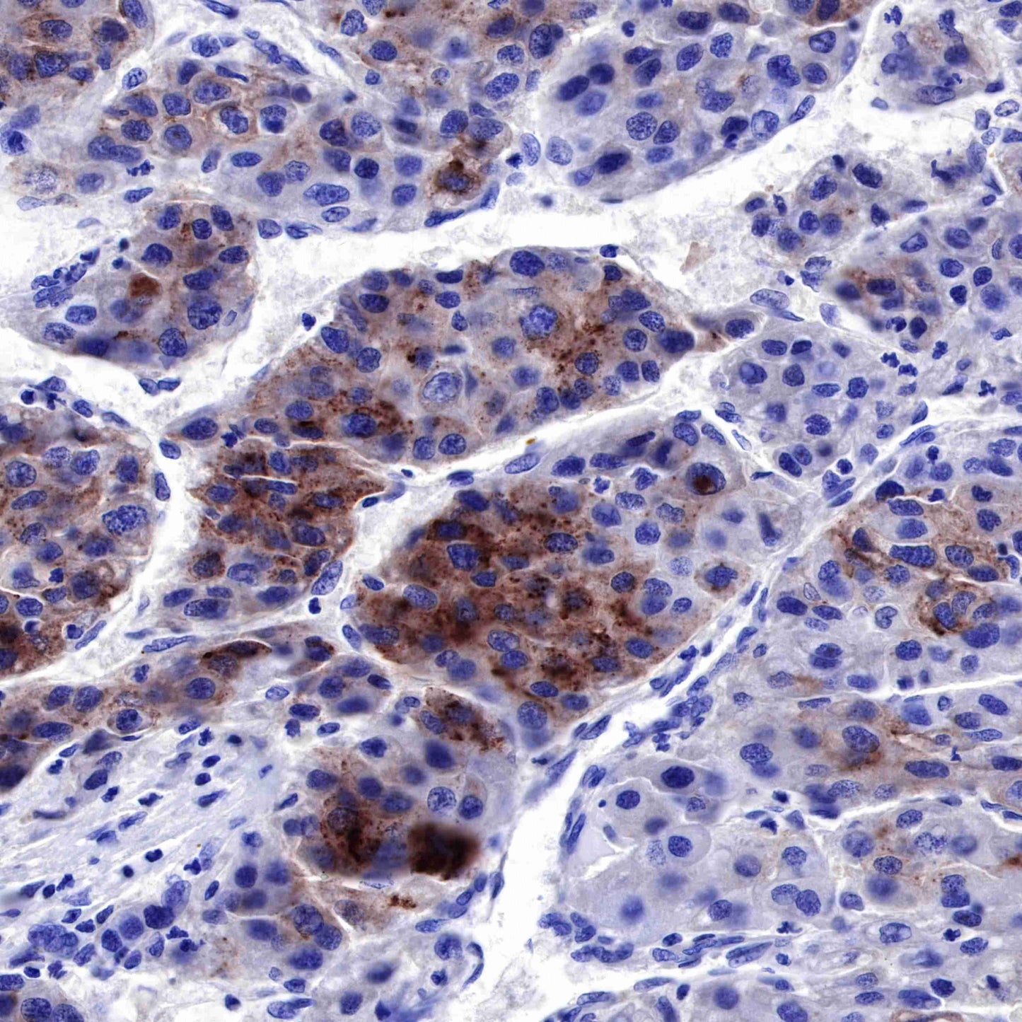
IHC shows positive staining in paraffin-embedded human hepatocellular carcinoma. Anti-AFP antibody was used at 1/1000 dilution, followed by a HRP Polymer for Mouse & Rabbit IgG (ready to use). Counterstained with hematoxylin. Heat mediated antigen retrieval with Tris/EDTA buffer pH9.0 was performed before commencing with IHC staining protocol.

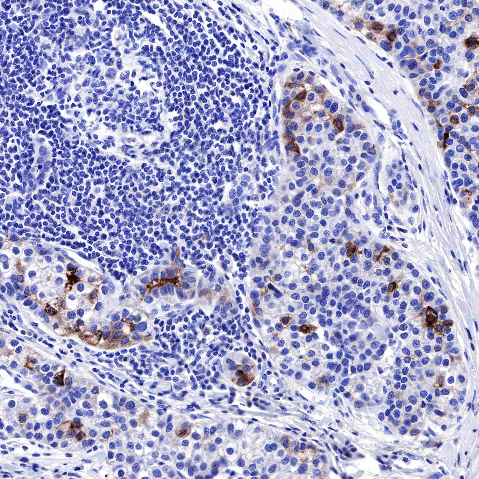
IHC shows positive staining in paraffin-embedded human hepatocellular carcinoma. Anti-AFP antibody was used at 1/1000 dilution, followed by a HRP Polymer for Mouse & Rabbit IgG (ready to use). Counterstained with hematoxylin. Heat mediated antigen retrieval with Tris/EDTA buffer pH9.0 was performed before commencing with IHC staining protocol.

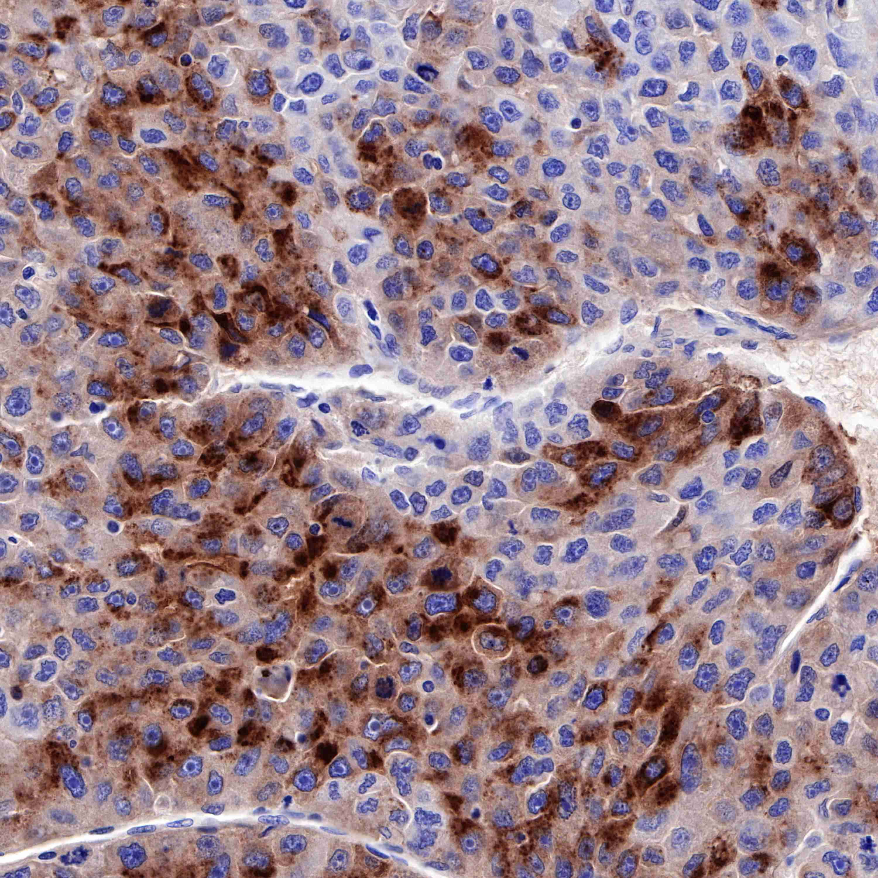
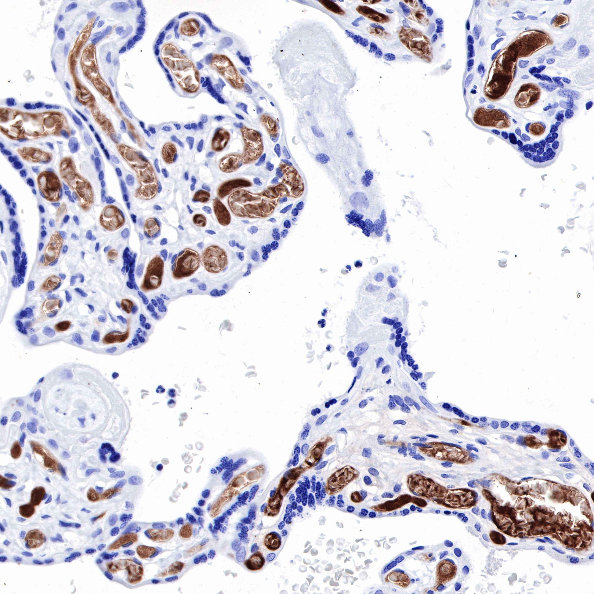
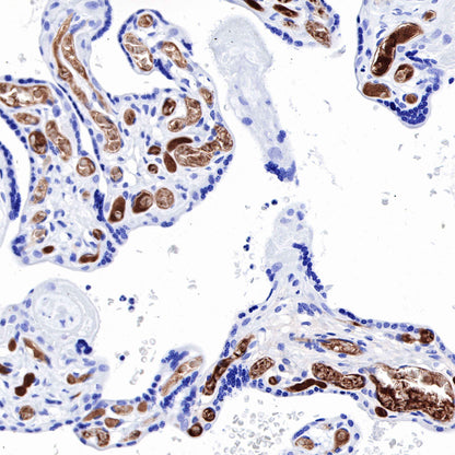
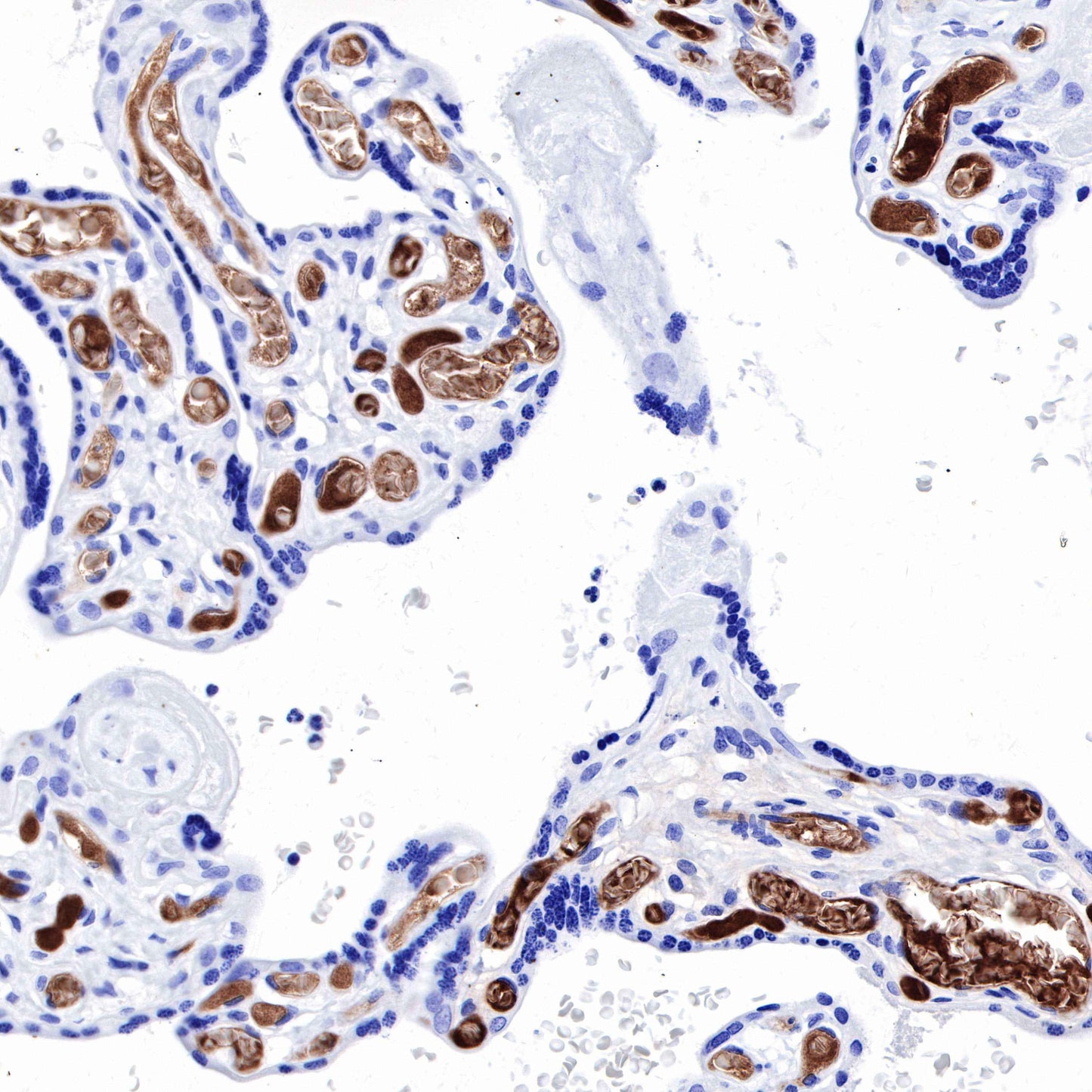
IHC shows positive staining in paraffin-embedded human placenta. Anti-AFP antibody was used at 1/1000 dilution, followed by a HRP Polymer for Mouse & Rabbit IgG (ready to use). Counterstained with hematoxylin. Heat mediated antigen retrieval with Tris/EDTA buffer pH9.0 was performed before commencing with IHC staining protocol.

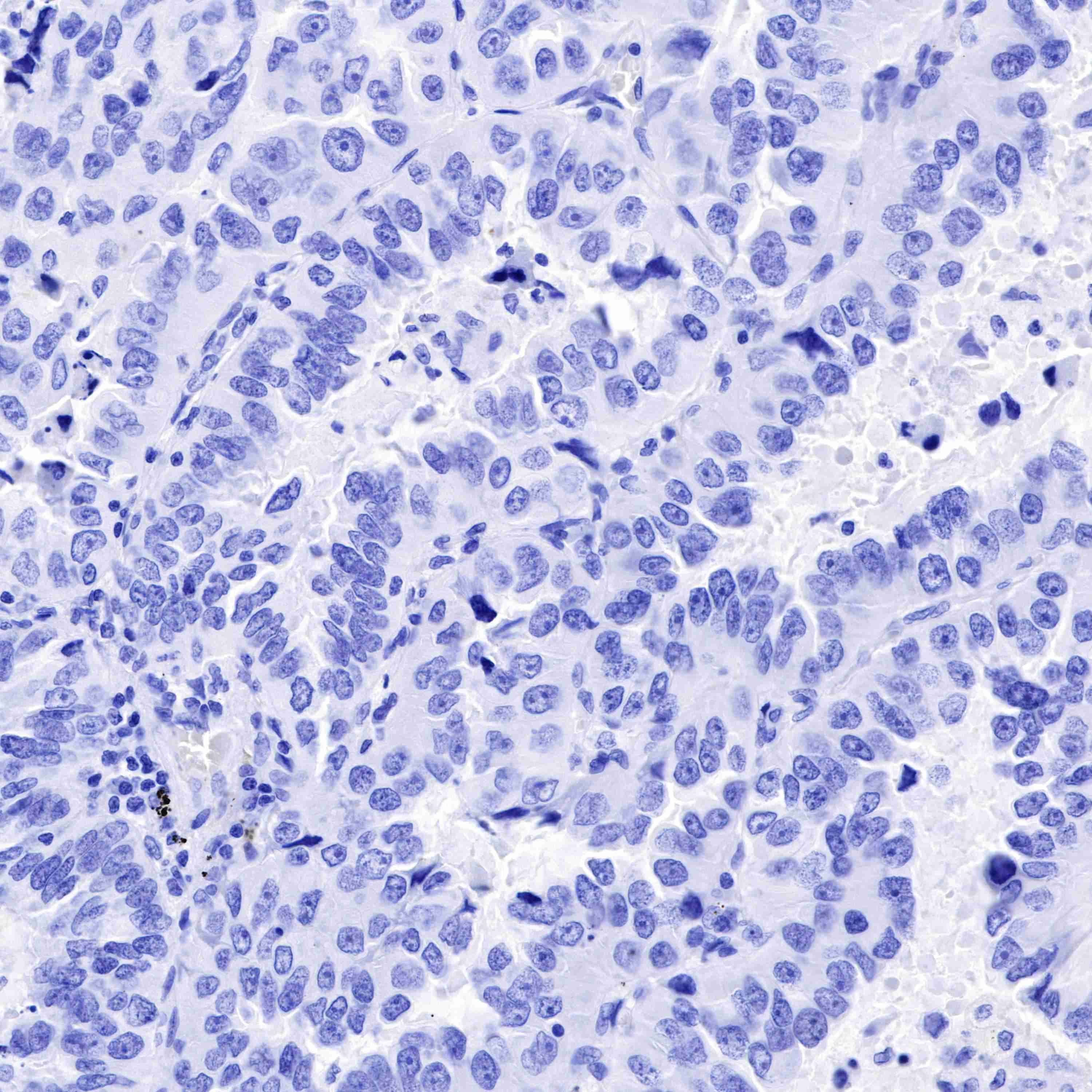
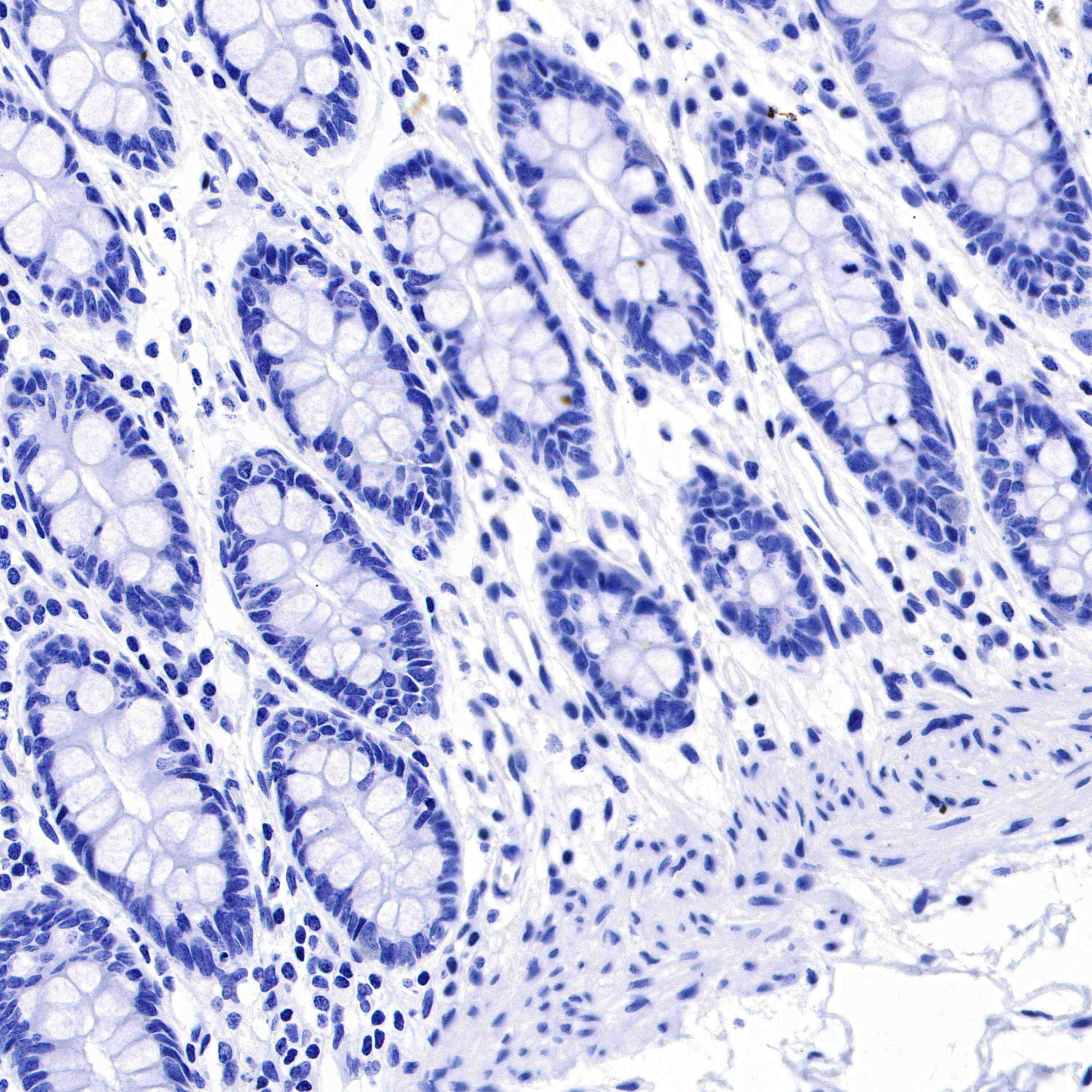
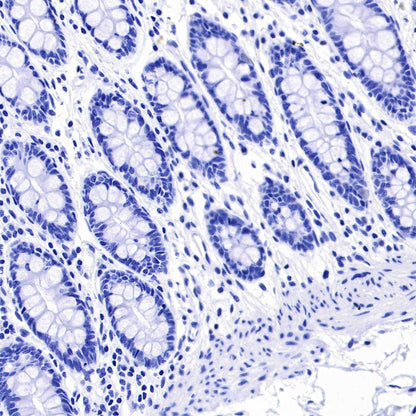
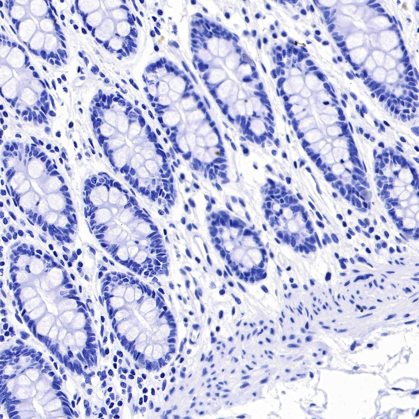
Negative control: IHC shows negative staining in paraffin-embedded human colon. Anti-AFP antibody was used at 1/1000 dilution, followed by a HRP Polymer for Mouse & Rabbit IgG (ready to use). Counterstained with hematoxylin. Heat mediated antigen retrieval with Tris/EDTA buffer pH9.0 was performed before commencing with IHC staining protocol.

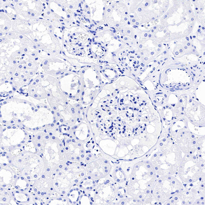
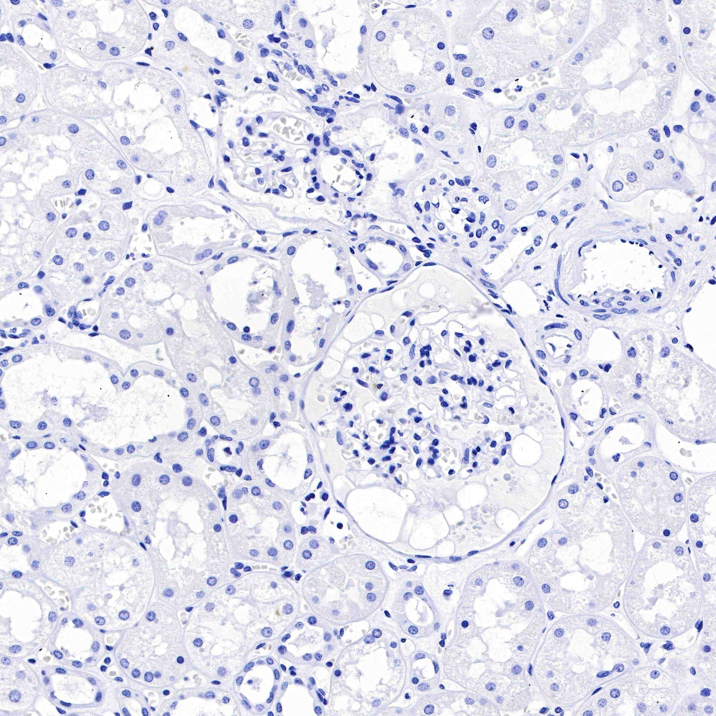
Negative control: IHC shows negative staining in paraffin-embedded human kidney. Anti-AFP antibody was used at 1/1000 dilution, followed by a HRP Polymer for Mouse & Rabbit IgG (ready to use). Counterstained with hematoxylin. Heat mediated antigen retrieval with Tris/EDTA buffer pH9.0 was performed before commencing with IHC staining protocol.

Negative control: IHC shows negative staining in paraffin-embedded human lung adenocarcinoma. Anti-AFP antibody was used at 1/1000 dilution, followed by a HRP Polymer for Mouse & Rabbit IgG (ready to use). Counterstained with hematoxylin. Heat mediated antigen retrieval with Tris/EDTA buffer pH9.0 was performed before commencing with IHC staining protocol.