WB result of PSMA Rabbit mAb
Primary antibody: PSMA Rabbit mAb at 1/1000 dilution
Lane 1: PC-3 whole cell lysate 20 µg
Lane 2: LNCaP whole cell lysate 20 µg
Negative control: PC-3 whole cell lysate
Secondary antibody: Goat Anti-Rabbit IgG, (H+L), HRP conjugated at 1/10000 dilution
Predicted MW: 100 kDa
Observed MW: 110 kDa
Exposure time: 30s
Product Details
Product Details
Product Specification
Host | Rabbit |
Antigen | PSMA |
Synonyms | PSM, FOLH1 |
Immunogen | N/A |
Location | Cytoplasm, Cell membrane |
Accession | Q04609 |
Clone Number | SDT-R075 |
Antibody Type | Rabbit mAb |
Application | WB, IHC-P |
Reactivity | Hu |
Purification | Protein A |
Concentration | 0.5 mg/ml |
Physical Appearance | Liquid |
Storage Buffer | PBS, 40% Glycerol, 0.05%BSA, 0.03% Proclin 300 |
Stability & Storage | 12 months from date of receipt / reconstitution, -20 °C as supplied |
Dilution
application | dilution | species |
IHC-P | 1:500-1:1000 | |
WB | 1:1000 |
Background
PSMA is known by several names - glutamate carboxypeptidase II (GCPII), N-acetylated-α-linked acidic dipeptidase, and folate hydrolase (FOLH1) - which reflect the activities of this enzyme in different tissues. These proteins are actively transcribed from one of two copies of the FOLH1 gene. Also known as prostate specific membrane antigen, which is highly and selectively expressed on prostate cancer cells and used as a diagnostic and prognostic indicator of prostate cancer.
Picture
Picture
Western Blot

Immunohistochemistry

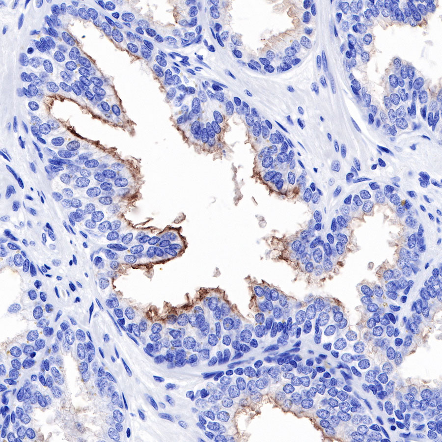
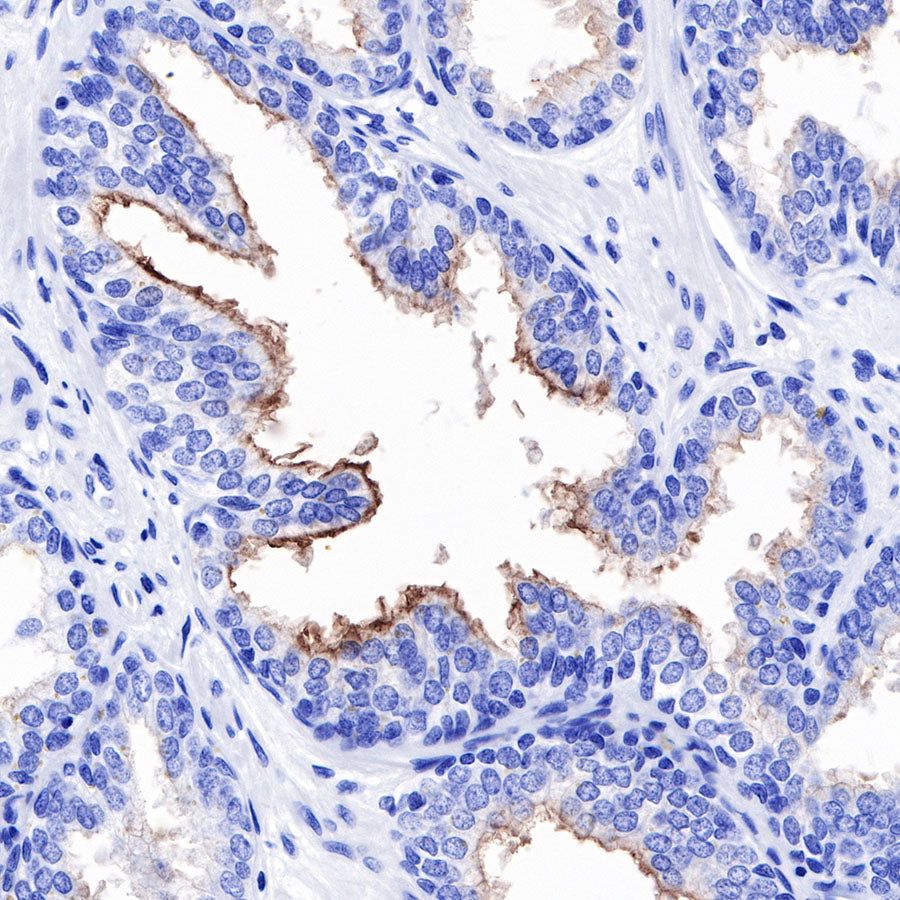
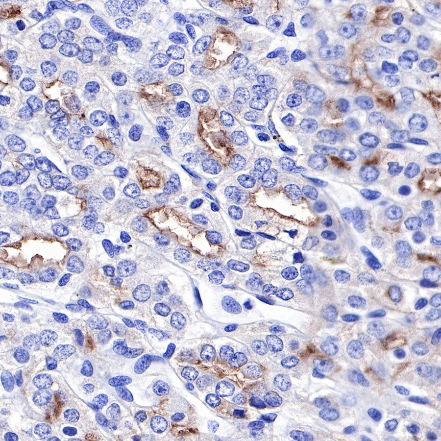
IHC shows positive staining in paraffin-embedded human prostatic hyperplasia. Anti-PSMA antibody was used at 1/4000 dilution, followed by a HRP Polymer for Mouse & Rabbit IgG (ready to use). Counterstained with hematoxylin. Heat mediated antigen retrieval with Tris/EDTA buffer pH9.0 was performed before commencing with IHC staining protocol.

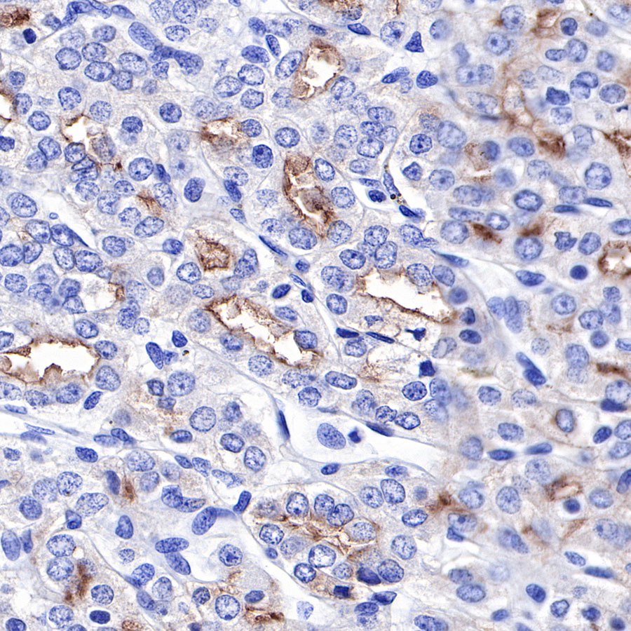
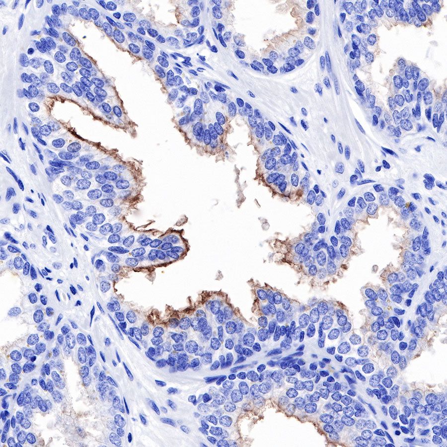
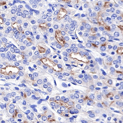
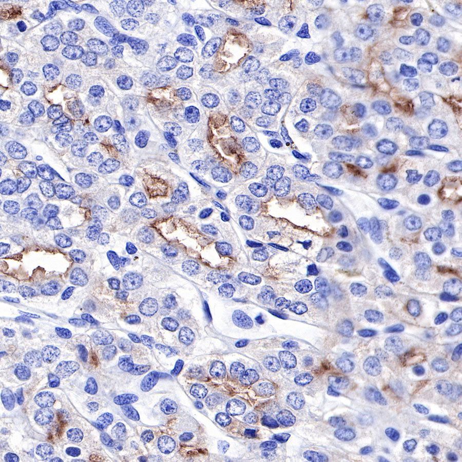
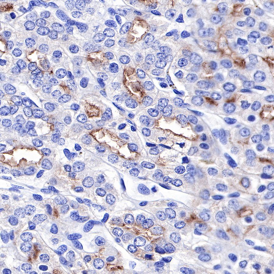
IHC shows positive staining in paraffin-embedded human prostatic cancer. Anti-PSMA antibody was used at 1/4000 dilution, followed by a HRP Polymer for Mouse & Rabbit IgG (ready to use). Counterstained with hematoxylin. Heat mediated antigen retrieval with Tris/EDTA buffer pH9.0 was performed before commencing with IHC staining protocol.

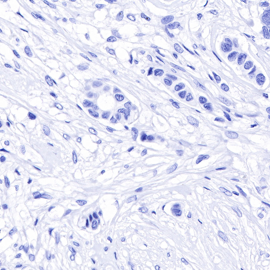
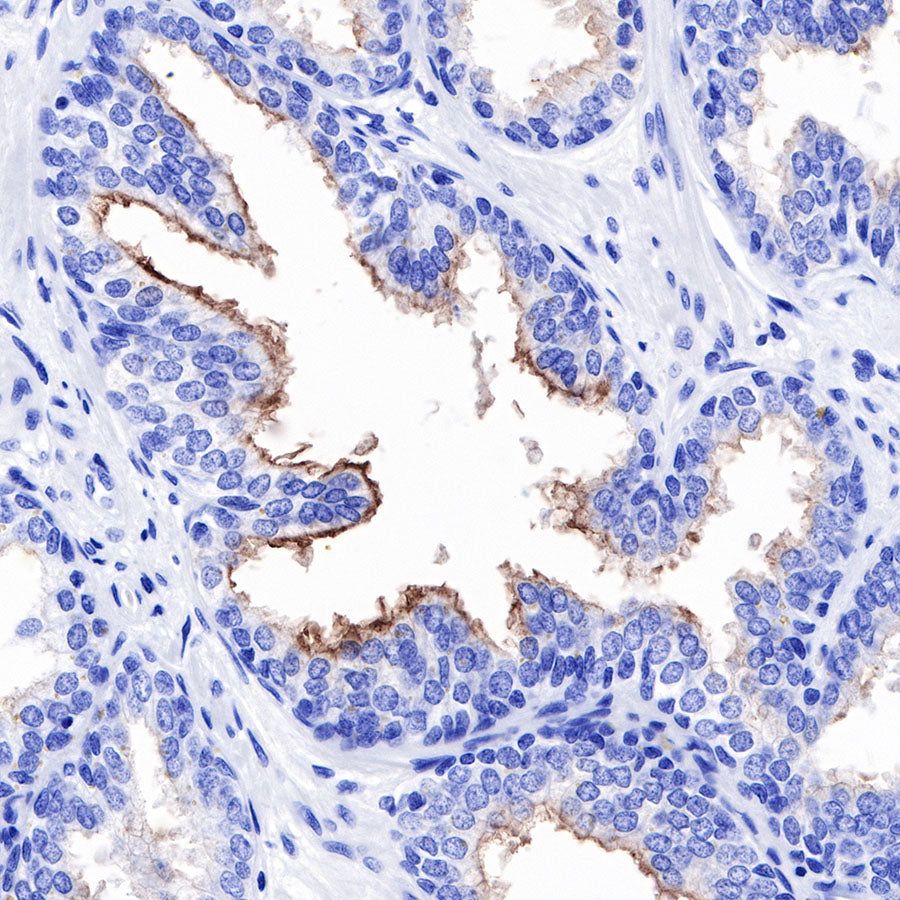
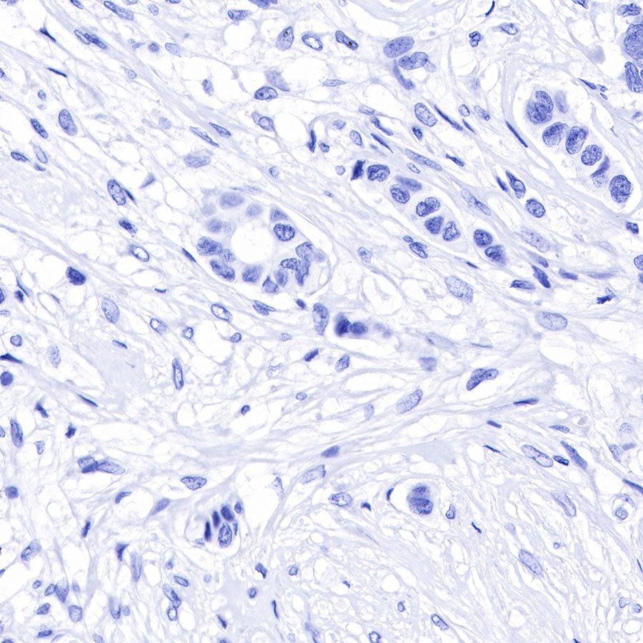
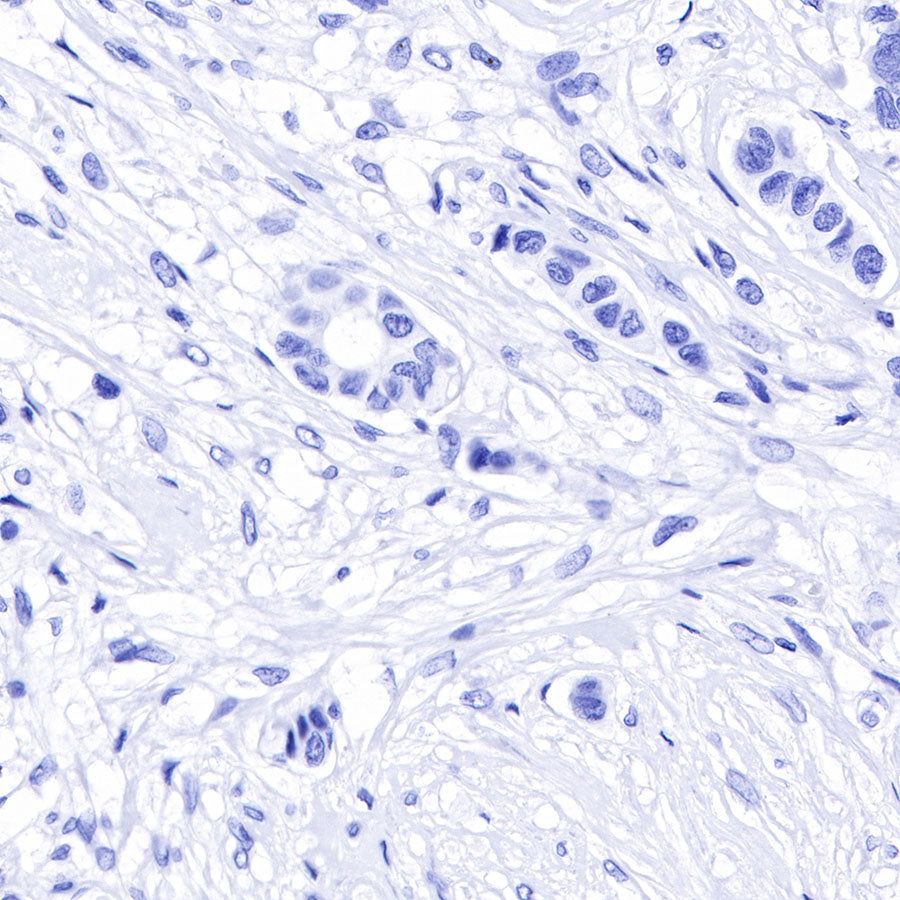
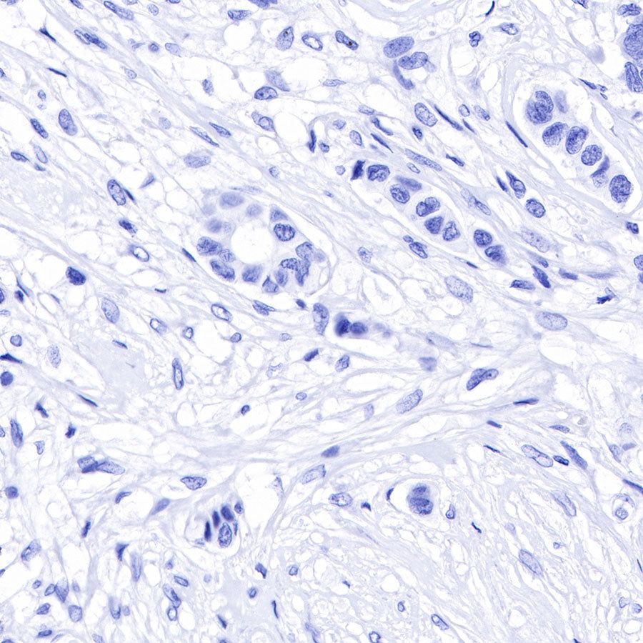
Negative control: IHC shows negative staining in paraffin-embedded human breast cancer. Anti-PSMA antibody was used at 1/4000 dilution, followed by a HRP Polymer for Mouse & Rabbit IgG (ready to use). Counterstained with hematoxylin. Heat mediated antigen retrieval with Tris/EDTA buffer pH9.0 was performed before commencing with IHC staining protocol.

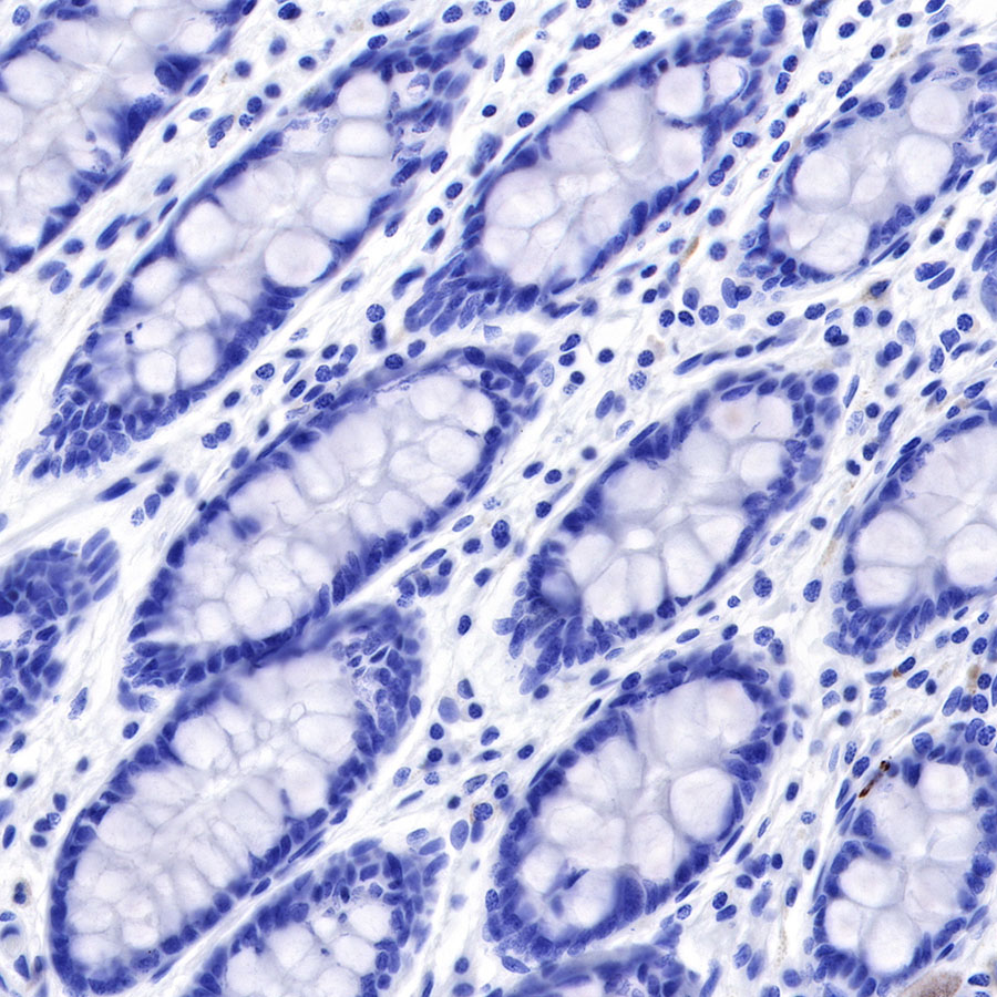
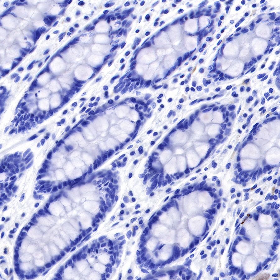
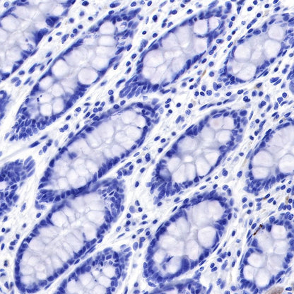
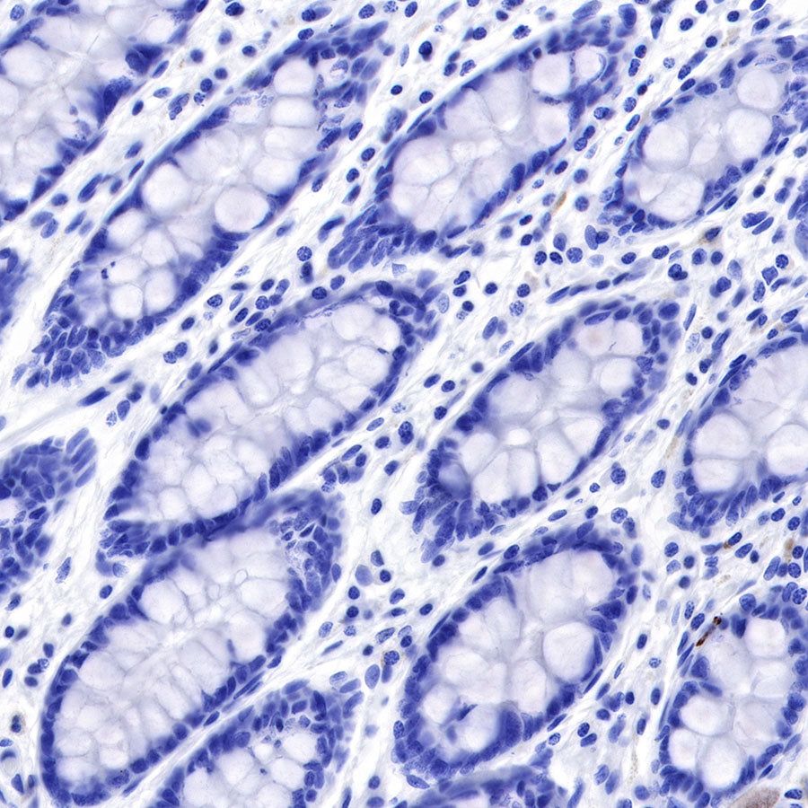
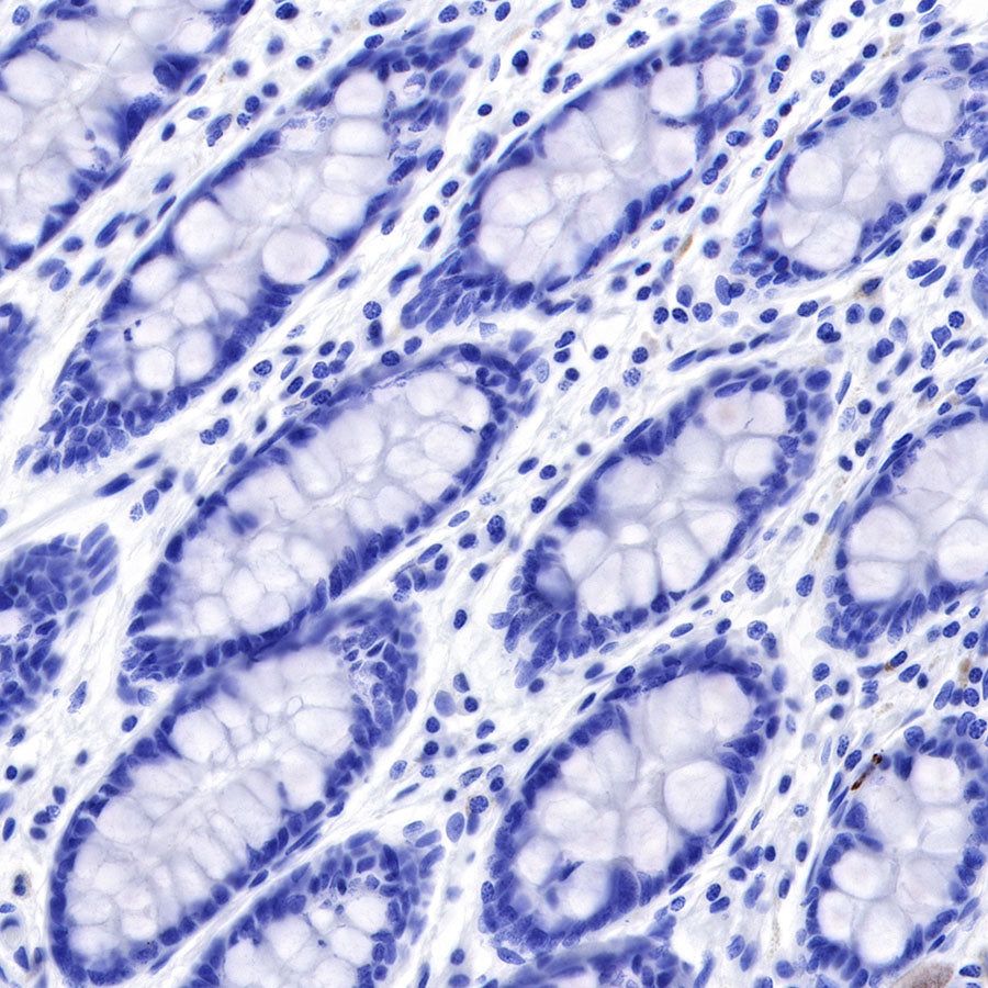
Negative control: IHC shows negative staining in paraffin-embedded human colon. Anti-PSMA antibody was used at 1/4000 dilution, followed by a HRP Polymer for Mouse & Rabbit IgG (ready to use). Counterstained with hematoxylin. Heat mediated antigen retrieval with Tris/EDTA buffer pH9.0 was performed before commencing with IHC staining protocol.




