WB result of PG II/PGC Rabbit mAb
Primary antibody: PG II/PGC Rabbit mAb at 1/2500 dilution
Lane 1: mouse liver lysate 20 µg
Lane 2: mouse stomach lysate 20 µg
Negative control: mouse liver lysate
Secondary antibody: Goat Anti-Rabbit IgG, (H+L), HRP conjugated at 1/10000 dilution
Predicted MW: 42 kDa
Observed MW: 38 kDa
Product Details
Product Details
Product Specification
Host | Rabbit |
Antigen | PG II/PGC |
Synonyms | Gastricsin, Pepsinogen C |
Immunogen | Recombinant Protein |
Location | Secreted |
Accession | P20142 |
Clone Number | SDT-194-100 |
Antibody Type | Rabbit mAb |
Application | WB, IHC-P |
Reactivity | Hu, Ms, Rt |
Purification | Protein A |
Concentration | 0.25 mg/ml |
Physical Appearance | Liquid |
Storage Buffer | PBS, 40% Glycerol, 0.05% BSA, 0.03% Proclin 300 |
Stability & Storage | 12 months from date of receipt / reconstitution, -20 °C as supplied |
Dilution
application | dilution | species |
IHC-P | 1:1000 | null |
WB | 1:2500 | null |
Background
Picture
Picture
Western Blot

Immunohistochemistry

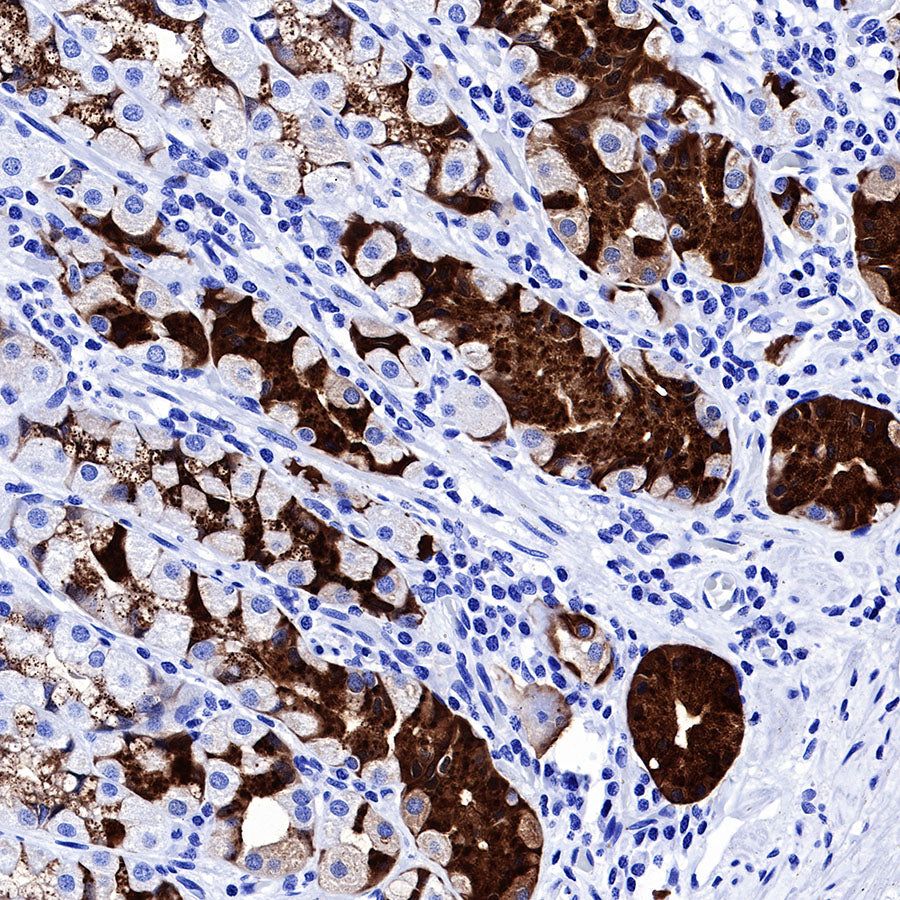
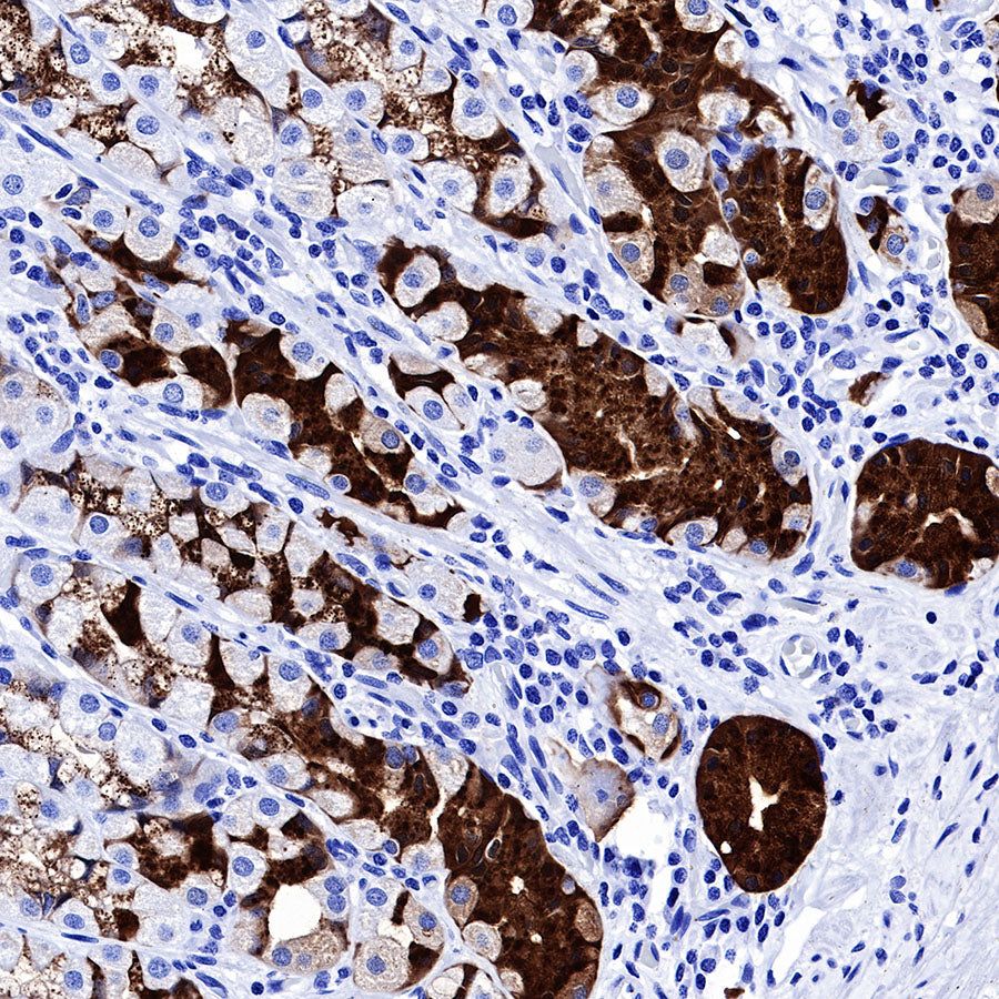
IHC shows positive staining in paraffin-embedded human stomach. Anti-PG II/PGC antibody was used at 1/1000 dilution, followed by a HRP Polymer for Mouse & Rabbit IgG (ready to use). Counterstained with hematoxylin. Heat mediated antigen retrieval with Tris/EDTA buffer pH9.0 was performed before commencing with IHC staining protocol.

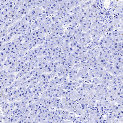
Negative control: IHC shows negative staining in paraffin-embedded human liver. Anti-PG II/PGC antibody was used at 1/1000 dilution, followed by a HRP Polymer for Mouse & Rabbit IgG (ready to use). Counterstained with hematoxylin. Heat mediated antigen retrieval with Tris/EDTA buffer pH9.0 was performed before commencing with IHC staining protocol.

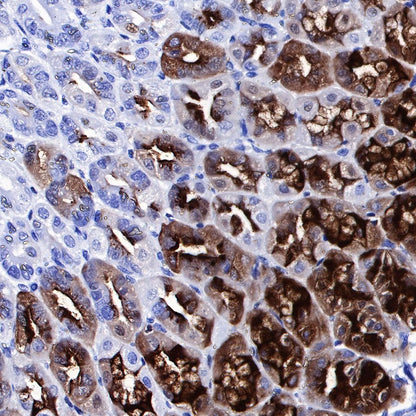
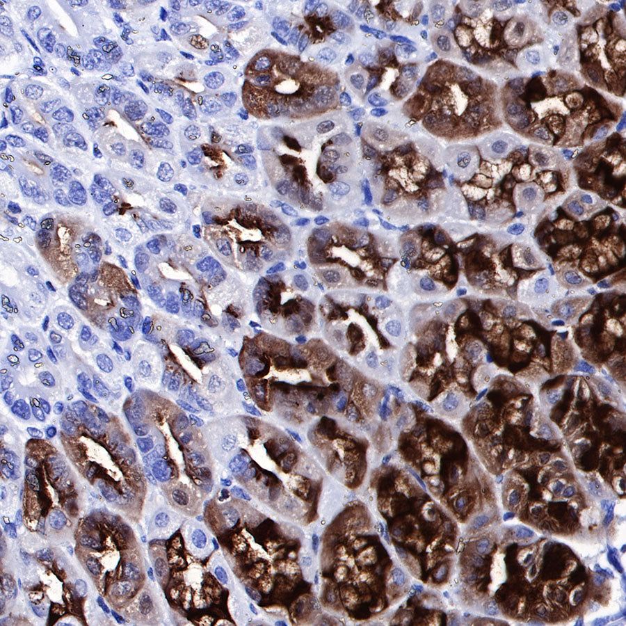
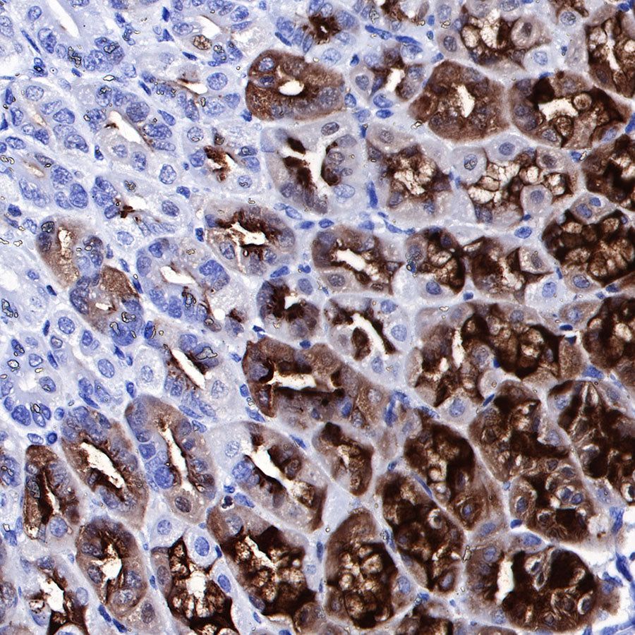
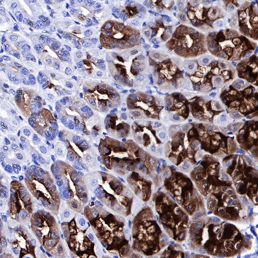
IHC shows positive staining in paraffin-embedded mouse stomach. Anti-PG II/PGC antibody was used at 1/1000 dilution, followed by a HRP Polymer for Mouse & Rabbit IgG (ready to use). Counterstained with hematoxylin. Heat mediated antigen retrieval with Tris/EDTA buffer pH9.0 was performed before commencing with IHC staining protocol.

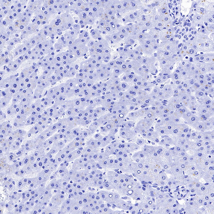
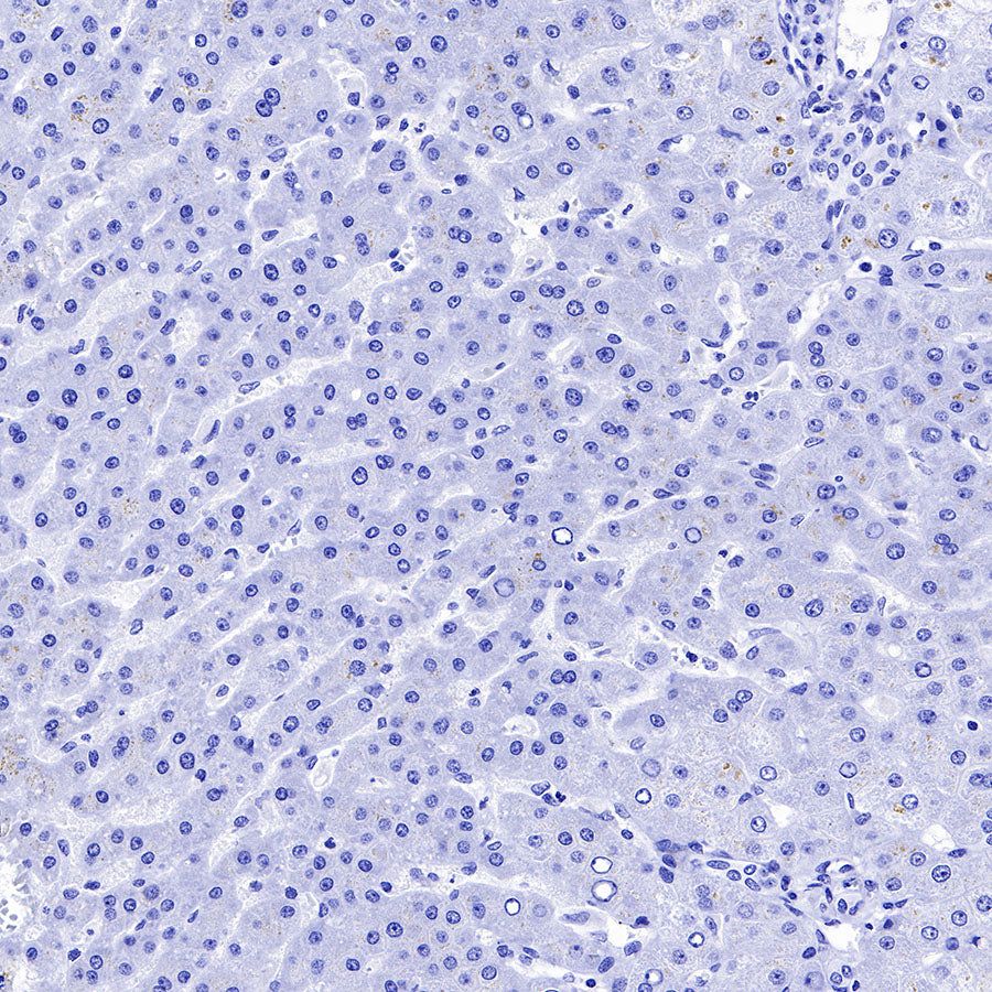
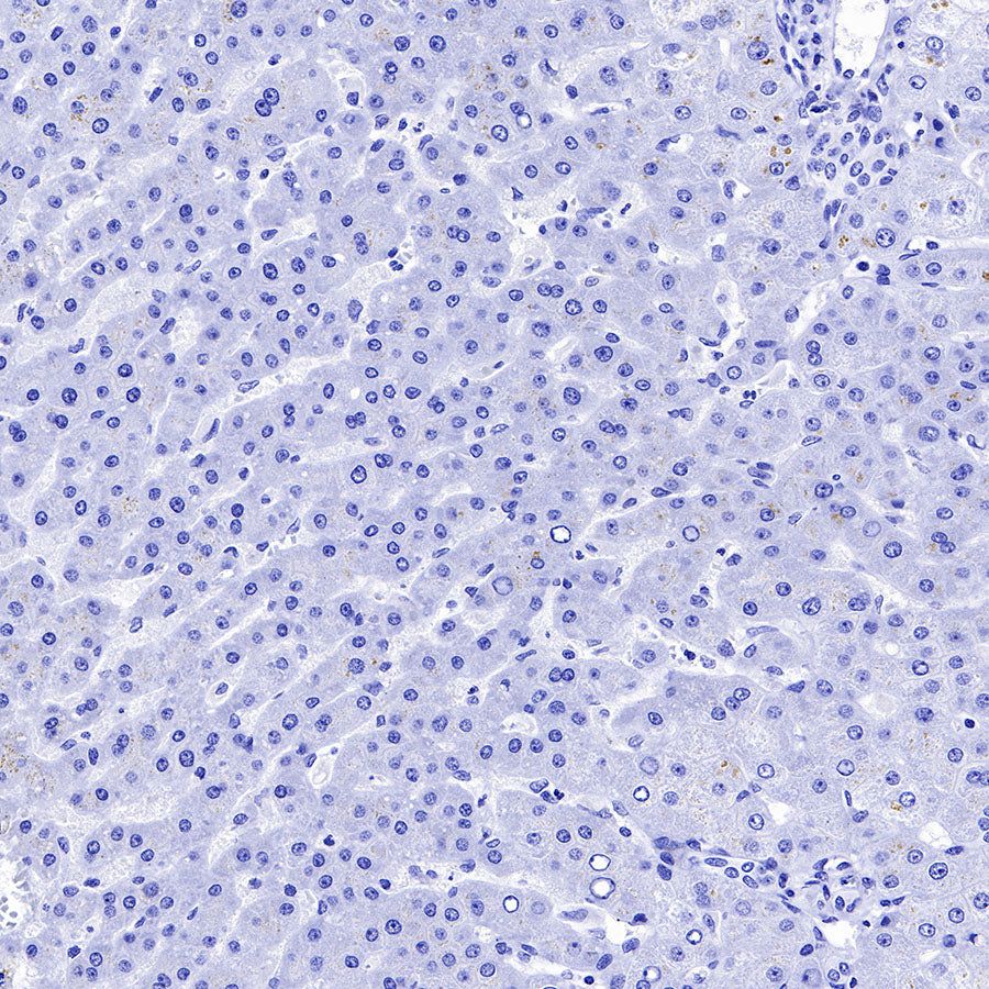
Negative control: IHC shows negative staining in paraffin-embedded mouse liver. Anti-PG II/PGC antibody was used at 1/1000 dilution, followed by a HRP Polymer for Mouse & Rabbit IgG (ready to use). Counterstained with hematoxylin. Heat mediated antigen retrieval with Tris/EDTA buffer pH9.0 was performed before commencing with IHC staining protocol.

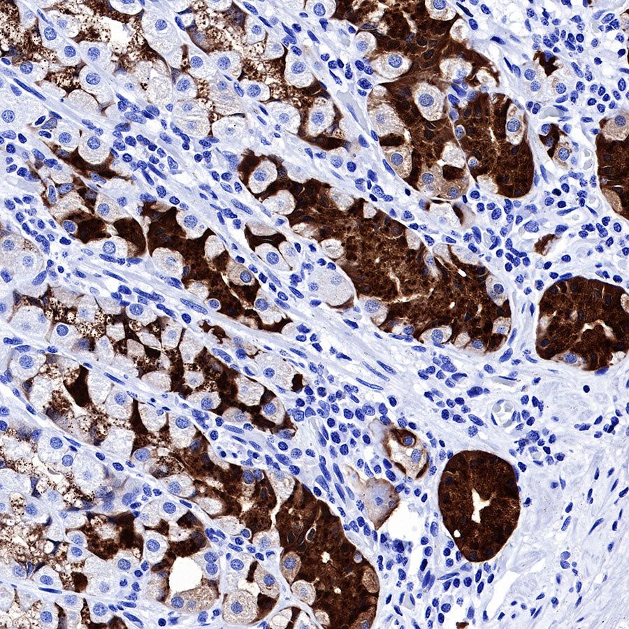
IHC shows positive staining in paraffin-embedded rat stomach. Anti-PG II/PGC antibody was used at 1/1000 dilution, followed by a HRP Polymer for Mouse & Rabbit IgG (ready to use). Counterstained with hematoxylin. Heat mediated antigen retrieval with Tris/EDTA buffer pH9.0 was performed before commencing with IHC staining protocol.





