Skip to product information
1 of 6

PD-L1 Recombinant Rabbit mAb (SDT-R017)

PD-L1 Recombinant Rabbit mAb (SDT-R017)

Catalog Number: S0B2134 Application: WB,IHC-P,IF Reactivity: Human Conjugation: Unconjugated Brand: Starter
Price:
Regular price $100 USD
Regular price Sale price $100 USD
Size:
For shipping services or bulk orders, you may request a quotation.
Secure checkout with
View full details

Product Details

Product Specification


Host Rabbit
Antigen PD-L1
Synonyms Programmed cell death 1 ligand 1, CD274, B7-H1
Immunogen N/A
Location Membrane
Accession Q9NZQ7
Clone Number SDT-R017
Antibody Type Rabbit mAb
Application WB, IHC-P, IF
Reactivity Hu
Purification Protein A
Concentration 0.5 mg/ml
Physical Appearance Liquid
Storage Buffer PBS, 40% Glycerol, 0.05% BSA, 0.03% Proclin 300
Stability & Storage 12 months from date of receipt / reconstitution, -20 °C as supplied

Dilution


application dilution species
IHC-P 1:500 null
WB 1:1000 null
IF 1:100 null

Background

Programmed death-ligand 1 (PD-L1) also known as cluster of differentiation 274 (CD274) or B7 homolog 1 (B7-H1) is a protein that in humans is encoded by the CD274 gene. Programmed death-ligand 1 (PD-L1) is a 40kDa type 1 transmembrane protein that has been speculated to play a major role in suppressing the adaptive arm of immune systems during particular events such as pregnancy, tissue allografts, autoimmune disease and other disease states such as hepatitis. The binding of PD-L1 to the inhibitory checkpoint molecule PD-1 transmits an inhibitory signal based on interaction with phosphatases (SHP-1 or SHP-2) via Immunoreceptor Tyrosine-Based Switch Motif (ITSM). This reduces the proliferation of antigen-specific T-cells in lymph nodes, while simultaneously reducing apoptosis in regulatory T cells (anti-inflammatory, suppressive T cells) - further mediated by a lower regulation of the gene Bcl-2. Upregulation of PD-L1 on immune cells (especially myeloid cells) can also lead to formation of an immunosuppressive environment in a highly localized manner that also allow the cancer cells to proliferate.

Picture

Western Blot

WB result of PD-L1 Rabbit mAb                 
Primary antibody: PD-L1 Rabbit mAb at 1/1000 dilution
Lane 1: Untreated A549 whole cell lysate 20 µg
Lane 2: A549 treated with IFNγ (100 ng/ml, 48 hr) whole cell lysate 20 µg
Negative control: Untreated A549 whole cell lysate   
Secondary antibody: Goat Anti-Rabbit IgG, (H+L), HRP conjugated at 1/10000 dilution
Predicted MW: 33 kDa
Observed MW: 40~50 kDa
Exposure time: 180s

Immunohistochemistry

IHC shows positive staining in paraffin-embedded human tonsil. Anti-PD-L1 antibody was used at 1/500 dilution, followed by a HRP Polymer for Mouse & Rabbit IgG (ready to use). Counterstained with hematoxylin. Heat mediated antigen retrieval with Tris/EDTA buffer pH9.0 was performed before commencing with IHC staining protocol.

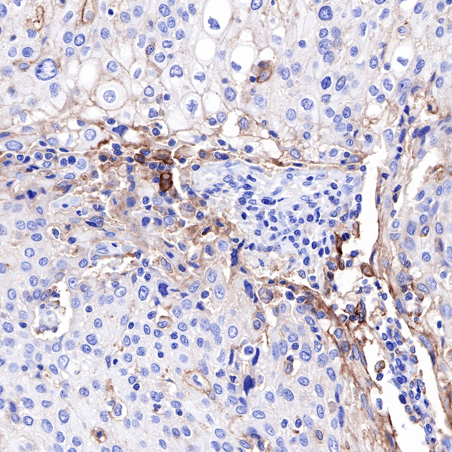
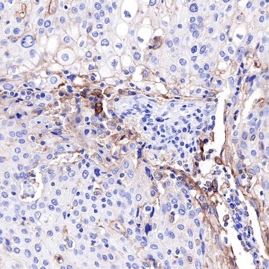
IHC shows positive staining in paraffin-embedded human lung cancer. Anti-PD-L1 antibody was used at 1/500 dilution, followed by a HRP Polymer for Mouse & Rabbit IgG (ready to use). Counterstained with hematoxylin. Heat mediated antigen retrieval with Tris/EDTA buffer pH9.0 was performed before commencing with IHC staining protocol.

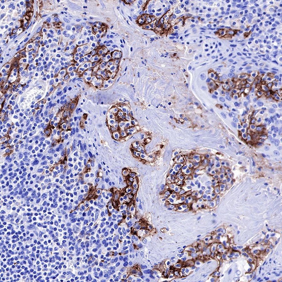
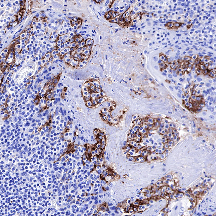
IHC shows positive staining in paraffin-embedded human cervical carcinoma. Anti-PD-L1 antibody was used at 1/500 dilution, followed by a HRP Polymer for Mouse & Rabbit IgG (ready to use). Counterstained with hematoxylin. Heat mediated antigen retrieval with Tris/EDTA buffer pH9.0 was performed before commencing with IHC staining protocol.

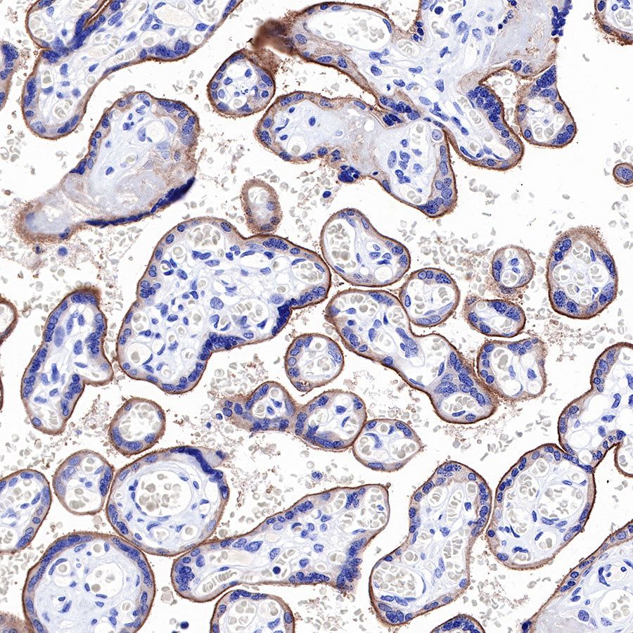
IHC shows positive staining in paraffin-embedded human placenta. Anti-PD-L1 antibody was used at 1/500 dilution, followed by a HRP Polymer for Mouse & Rabbit IgG (ready to use). Counterstained with hematoxylin. Heat mediated antigen retrieval with Tris/EDTA buffer pH9.0 was performed before commencing with IHC staining protocol.

Immunofluorescence

IF shows positive staining in paraffin-embedded human lung squamous cell carcainoma. Anti-PD-L1 antibody was used at 1/100 dilution (Green) and incubated overnight at 4°C. Goat polyclonal Antibody to Rabbit IgG - H&L (Alexa Fluor® 488) was used as secondary antibody at 1/1000 dilution. Counterstained with DAPI (Blue). Heat mediated antigen retrieval with EDTA buffer pH9.0 was performed before commencing with IF staining protocol.

Customer Reviews

Be the first to write a review
0%
(0)
0%
(0)
0%
(0)
0%
(0)
0%
(0)