WB result of NY-ESO-1 Rabbit mAb
Primary antibody: NY-ESO-1 Rabbit mAb at 1/1000 dilution
Lane 1: Jurkat whole cell lysate 20 µg
Lane 2: HT-1080 whole cell lysate 20 µg
Lane 3: TT whole cell lysate 20 µg
Lane 4: A375 whole cell lysate 20 µg
Negative control: Jurkat whole cell lysate
Secondary antibody: Goat Anti-Rabbit IgG, (H+L), HRP conjugated at 1/10000 dilution
Predicted MW: 18kDa
Observed MW: 20kDa
Product Details
Product Details
Product Specification
Host | Rabbit |
Antigen | NY-ESO-1 |
Synonyms | Cancer/testis antigen 1, CTAG1B, CT6.1, CTAG, CTAG1, ESO1, LAGE2A, LAGE2B, LAGE-2, CTAG1A, LAGE2 |
Immunogen | N/A |
Location | Cytoplasm |
Accession | P78358 |
Clone Number | SDT-R154 |
Antibody Type | Recombinant mAb |
Application | WB, IHC-P |
Reactivity | Hu |
Purification | Protein A |
Concentration | 0.5 mg/ml |
Conjugation | Unconjugated |
Physical Appearance | Liquid |
Storage Buffer | PBS, 40% Glycerol, 0.05% BSA, 0.03% Proclin 300 |
Stability & Storage | 12 months from date of receipt / reconstitution, -20 °C as supplied |
Dilution
application | dilution | species |
WB | 1:1000 | null |
IHC-P | 1:500 | null |
Background
New York esophageal squamous cell carcinoma 1 (NY-ESO-1, CTAG1B) is a cancer-testis antigen and currently a focus of several targeted immunotherapeutic strategies [PMID: 25412843]. It is a protein consisting of 180 amino acids, and its gene is located in the Xq28 region of the X chromosome. As a member of the cancer testis antigen (CTA) family, NY-ESO-1 has been shown to be expressed in spermatogonia, primary spermatocytes, oogonia, and placenta and in a variety of cancers, such as melanoma, ovarian cancer, cervical cancer [PMID: 28025978, PMID: 25917631].
Picture
Picture
Western Blot

Immunohistochemistry

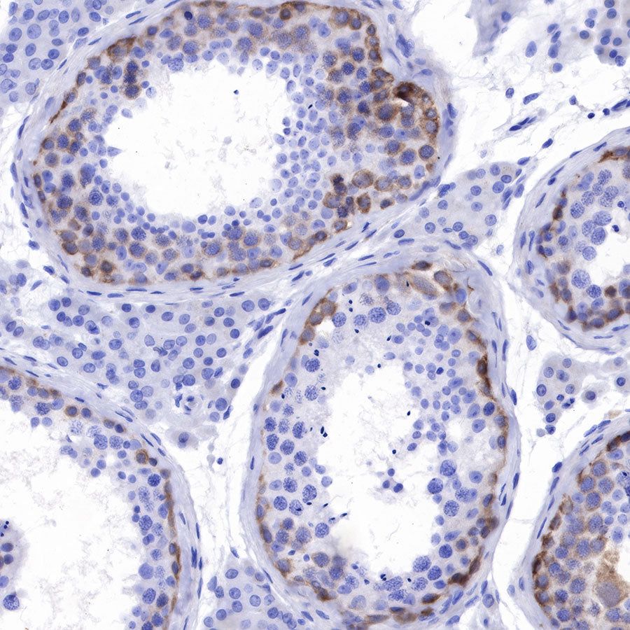
IHC shows positive staining in paraffin-embedded human testis. Anti-NY-ESO-1 antibody was used at 1/500 dilution, followed by a HRP Polymer for Mouse & Rabbit IgG (ready to use). Counterstained with hematoxylin. Heat mediated antigen retrieval with Tris/EDTA buffer pH9.0 was performed before commencing with IHC staining protocol.

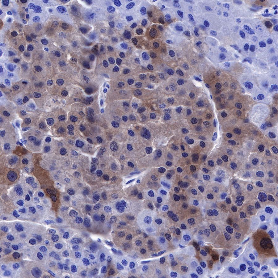
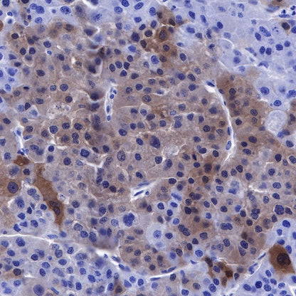
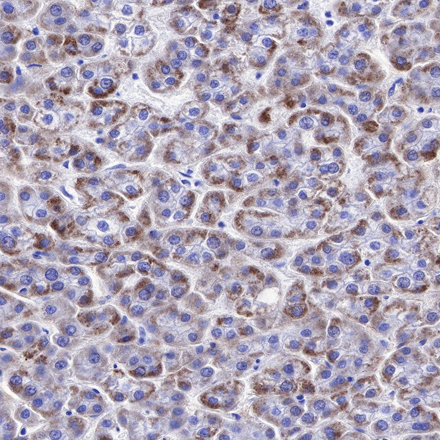
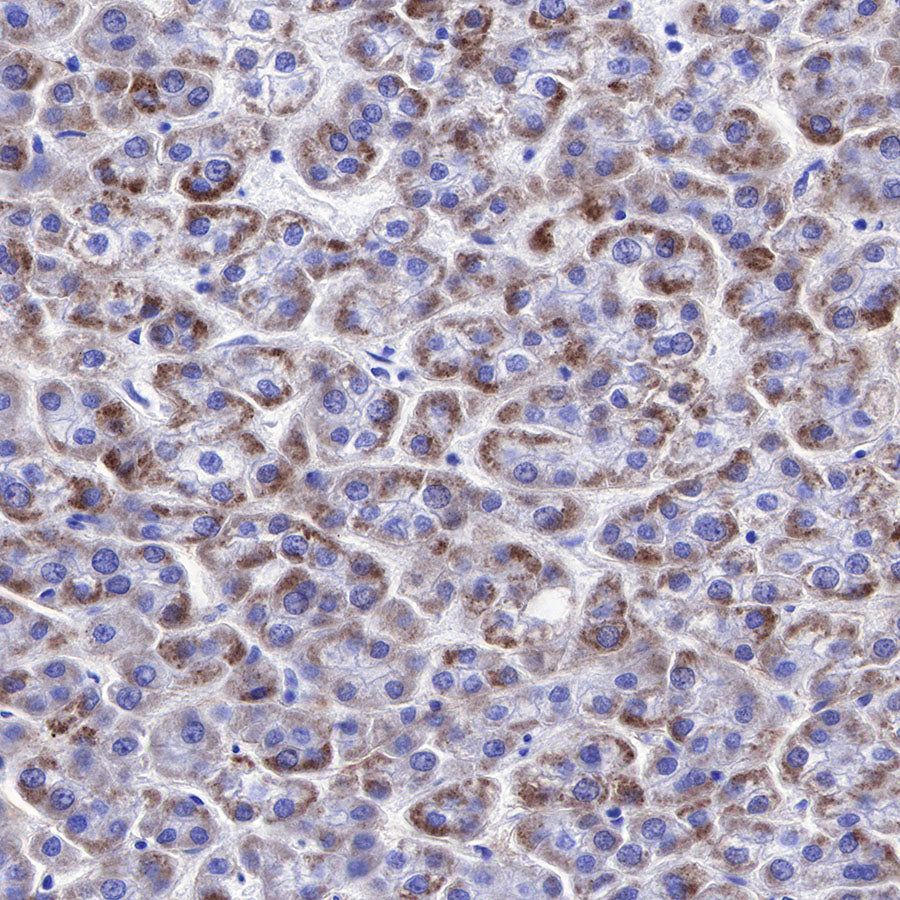
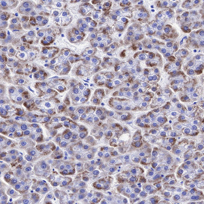
IHC shows positive staining in paraffin-embedded human hepatocellular carcinoma. Anti-NY-ESO-1 antibody was used at 1/500 dilution, followed by a HRP Polymer for Mouse & Rabbit IgG (ready to use). Counterstained with hematoxylin. Heat mediated antigen retrieval with Tris/EDTA buffer pH9.0 was performed before commencing with IHC staining protocol.

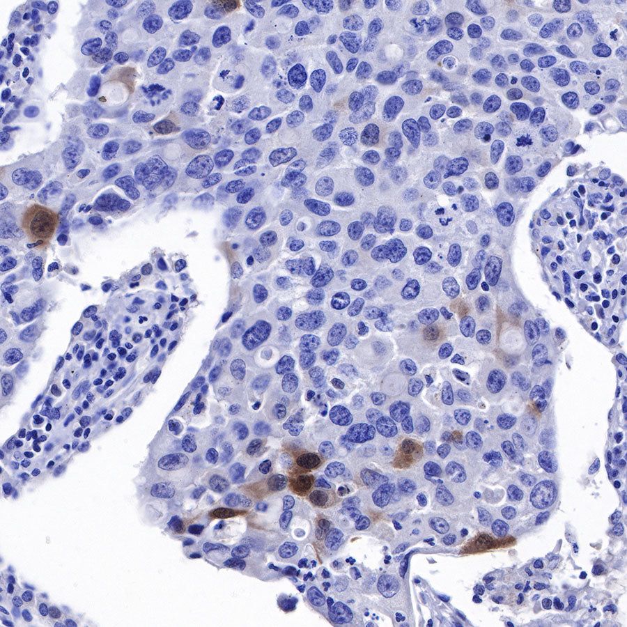
IHC shows positive staining in paraffin-embedded human lung cancer. Anti-NY-ESO-1 antibody was used at 1/500 dilution, followed by a HRP Polymer for Mouse & Rabbit IgG (ready to use). Counterstained with hematoxylin. Heat mediated antigen retrieval with Tris/EDTA buffer pH9.0 was performed before commencing with IHC staining protocol.

IHC shows positive staining in paraffin-embedded human hepatocellular carcinoma. Anti-NY-ESO-1 antibody was used at 1/500 dilution, followed by a HRP Polymer for Mouse & Rabbit IgG (ready to use). Counterstained with hematoxylin. Heat mediated antigen retrieval with Tris/EDTA buffer pH9.0 was performed before commencing with IHC staining protocol.

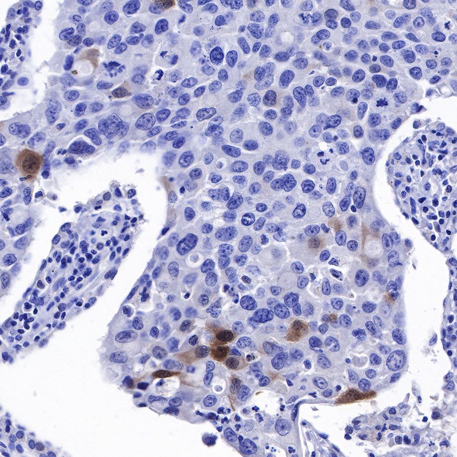
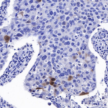
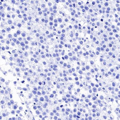
Negative control: IHC shows negative staining in paraffin-embedded human seminoma. Anti-NY-ESO-1 antibody was used at 1/500 dilution, followed by a HRP Polymer for Mouse & Rabbit IgG (ready to use). Counterstained with hematoxylin. Heat mediated antigen retrieval with Tris/EDTA buffer pH9.0 was performed before commencing with IHC staining protocol.





