Product Details
Product Details
Product Specification
| Species | SARS-CoV-2 |
| Synonyms | SARS-CoV-2 coronavirus NP Protein; SARS-CoV-2 np Protein; SARS-CoV-2 novel coronavirus Nucleoprotein Protein |
| Accession | P0DTC9 |
| Amino Acid Sequence | MHHHHHHHHNTASWFTALTQHGKEDLKFPRGQGVPINTNSSPDDQIGYYRRATRRIRGGDGKMKDLSPRWYFYYLGTGPEAGLPYGANKDGIIWVATEGALNTPKDHIGTRNPANNAAIVLQLPQGTTLPKGFYAE. |
| Expression System | E.coli |
| Molecular Weight | 15.2 kDa (Reducing) |
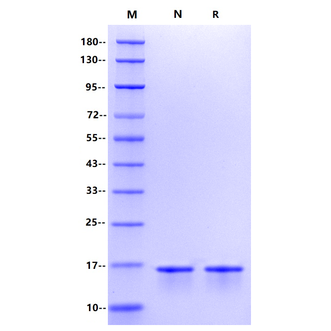
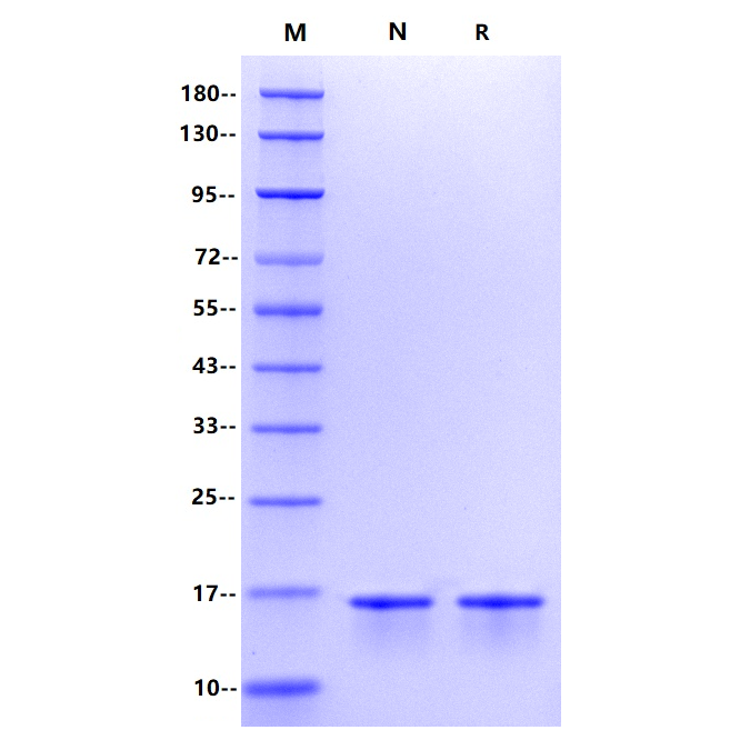
| Purity | >98%, by SDS-PAGE under reducing conditions |
| Endotoxin | <2EU/μg |
| Conjugation | Unconjugated |
| Tag | His Tag |
| Physical Appearance | Lyophilized Powder |
| Storage Buffer | 20mM PB, 100mM NaCl, pH7.4 |
| Reconstitution | Reconstitute at less than 1 mg/mL according to the size in ultrapure water after rapid centrifugation . |
| Stability & Storage | · 12 months from date of receipt, lyophilized powder stored at -20 to -80℃. · 3 months, -20 to -80℃ under sterile conditions after reconstitution. · 1 week, 2 to 8℃ under sterile conditions after reconstitution. · Please avoid repeated freeze-thaw cycles. |
Background
Nucleocapsid, nucleocapsid protein, is an important structural protein of novel coronavirus SARS-CoV-2, which is responsible for wrapping the virus RNA genome and then assembling virus particles. Nucleocapsid has two domains: NTD and CTD. There are many positively charged arginine residues on the surface of NTD protein, which can combine with negatively charged RNA genome by charge interaction to form a core-shell complex, which plays an important role in virus replication. Therefore, in the process of novel coronavirus SARS-CoV-2 therapeutic drug development, NTD inhibitors have become a hot target for drug screening. At the same time, the antigen detection kit developed for NTD provides a more efficient and accurate detection method for SARS-CoV-2 detection.
Picture
Picture
SDS-PAGE

RP-HPLC


