WB result of Neutrophil Elastase Rabbit mAb
Primary antibody: Neutrophil Elastase Rabbit mAb at 1/1000 dilution
Lane 1: Jurkat whole cell lysate 20 µg
Lane 2: THP-1 whole cell lysate 20 µg
Lane 3: U937 whole cell lysate 20 µg
Lane 4: HL-60 whole cell lysate 20 µg
Negative control: Jurkat whole cell lysate
Secondary antibody: Goat Anti-Rabbit IgG, (H+L), HRP conjugated at 1/10000 dilution
Predicted MW: 29 kDa
Observed MW: 29 kDa
(This blot was developed with high sensitivity substrate)
Product Details
Product Details
Product Specification
Host | Rabbit |
Antigen | Neutrophil Elastase |
Synonyms | Bone marrow serine protease, Elastase-2, Human leukocyte elastase (HLE), Medullasin, PMN elastase, ELANE, ELA2 |
Accession | P08246 |
Clone Number | S-R230 |
Antibody Type | Recombinant mAb |
Application | WB, IHC-P, IP |
Reactivity | Hu |
Purification | Protein A |
Concentration | 0.5 mg/ml |
Conjugation | Unconjugated |
Physical Appearance | Liquid |
Storage Buffer | PBS, 40% Glycerol, 0.05%BSA, 0.03% Proclin 300 |
Stability & Storage | 12 months from date of receipt / reconstitution, -20 °C as supplied |
Dilution
application | dilution | species |
WB | 1:1000 | null |
IHC | 1:500-1:2000 | null |
IP | 1:50 | null |
Background
Neutrophil elastase is a serine proteinase in the same family as chymotrypsin and has broad substrate specificity. Neutrophil elastase is secreted by neutrophils during inflammation, and destroys bacteria and host tissue. It also localizes to neutrophil extracellular traps (NETs), via its high affinity for DNA, an unusual property for serine proteases. Neutrophil elastase is an important protease enzyme that when expressed aberrantly can cause emphysema or emphysematous changes. This involves breakdown of the lung structure and increased airspaces. Mutations of the ELANE gene cause cyclic and severe congenital neutropenia, which is a failure of neutrophils to mature. In 2019 study was confirmed that ELANE deletion does not cause neutropenia.
Picture
Picture
Western Blot
IP

Neutrophil Elastase Rabbit mAb at 1/50 dilution (1 µg) immunoprecipitating Neutrophil Elastase in 0.4 mg U937 whole cell lysate.
Western blot was performed on the immunoprecipitate using Neutrophil Elastase Rabbit mAb at 1/1000 dilution.
Secondary antibody (HRP) for IP was used at 1/400 dilution.
Lane 1: U937 whole cell lysate 20 µg (Input)
Lane 2: Neutrophil Elastase Rabbit mAb IP in U937 whole cell lysate
Lane 3: Rabbit monoclonal IgG IP in U937 whole cell lysate
Predicted MW: 29 kDa
Observed MW: 29 kDa
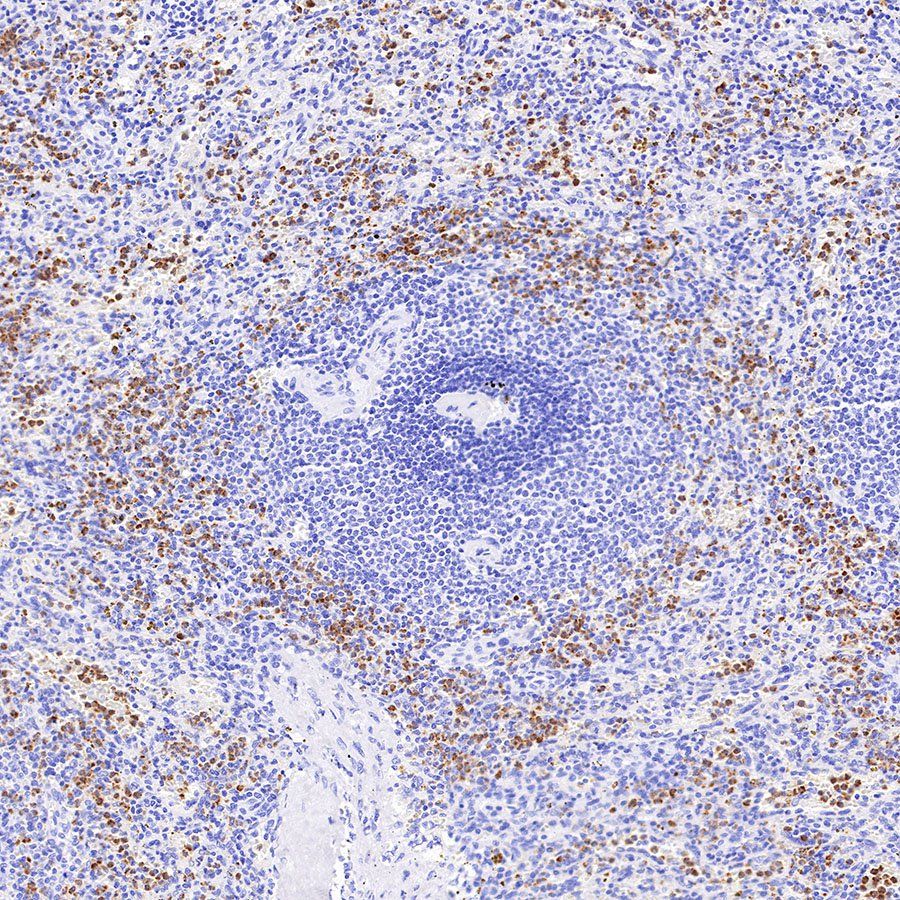
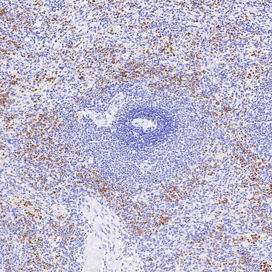
Immunohistochemistry
IHC shows positive staining in paraffin-embedded human bone marrow. Anti-Neutrophil Elastase antibody was used at 1/2000 dilution, followed by a HRP Polymer for Mouse & Rabbit IgG (ready to use). Counterstained with hematoxylin. Heat mediated antigen retrieval with Tris/EDTA buffer pH9.0 was performed before commencing with IHC staining protocol.

IHC shows positive staining in paraffin-embedded human spleen. Anti-Neutrophil Elastase antibody was used at 1/500 dilution, followed by a HRP Polymer for Mouse & Rabbit IgG (ready to use). Counterstained with hematoxylin. Heat mediated antigen retrieval with Tris/EDTA buffer pH9.0 was performed before commencing with IHC staining protocol.


