Flow cytometric analysis of 4% PFA fixed 90% methanol permeabilized SH-SY5Y (Human neuroblastoma epithelial cell) cells labelling Nestin antibody at 1/20 dilution (0.5 μg)/ (Red) compared with a Rabbit monoclonal IgG (Black) isotype control and an unlabelled control (cells without incubation with primary antibody and secondary antibody) (Blue). Goat Anti - Rabbit IgG Alexa Fluor® 488 was used as the secondary antibody.
Product Details
Product Details
Product Specification
Host | Rabbit |
Antigen | Nestin |
Synonyms | NES |
Immunogen | N/A |
Accession | P48681 |
Clone Number | SDT-R112 |
Antibody Type | Rabbit mAb |
Application | IHC-P, ICC, ICFCM, IF |
Reactivity | Hu |
Purification | Protein A |
Concentration | 0.1 mg/ml |
Physical Appearance | Liquid |
Storage Buffer | PBS, 40% Glycerol, 0.05% BSA, 0.03% Proclin 300 |
Stability & Storage | 12 months from date of receipt / reconstitution, -20 °C as supplied |
Dilution
application | dilution | species |
IHC-P | 1:1000 | null |
IF | 1:1000 | null |
ICC | 1:1000 | null |
ICFCM | 1:20 | null |
Background
Nestin is a member of the intermediate filament family, which is expressed in a variety of stem or progenitor cells as well as in several types of malignancies. It was originally described in neuroepithelial stem cells of developing and adult brains and, since then, its expression has been described in many types of stem/progenitor cells in tissues such as the bone marrow, heart, skeletal muscle, pancreas, testis, and hair. In these and other sites, nestin might have a role in active proliferation, wound healing, and tissue regeneration [PMID: 34943921].
Picture
Picture
FC

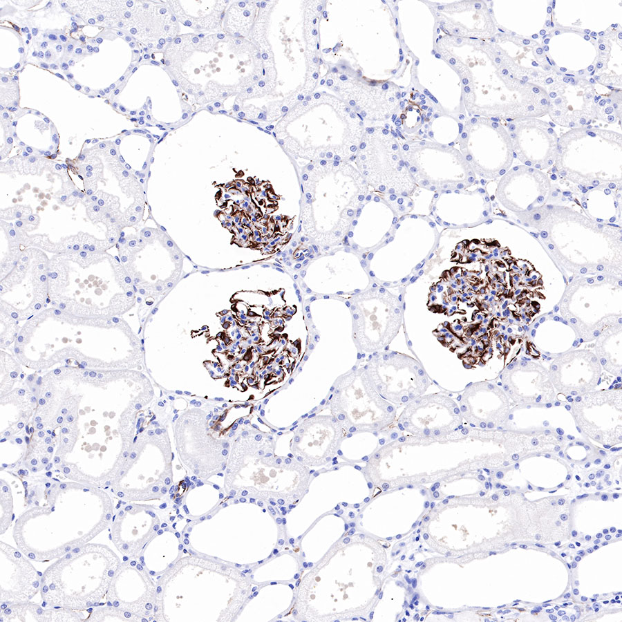
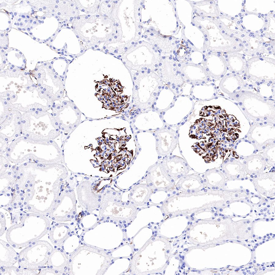
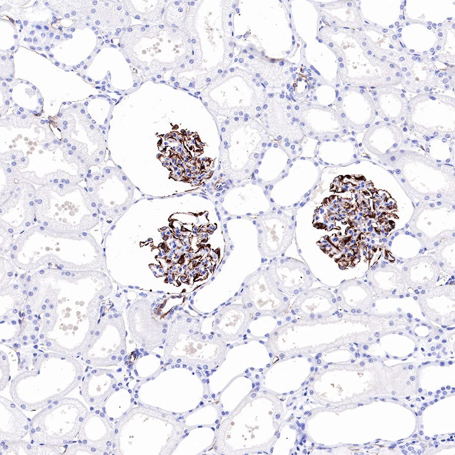
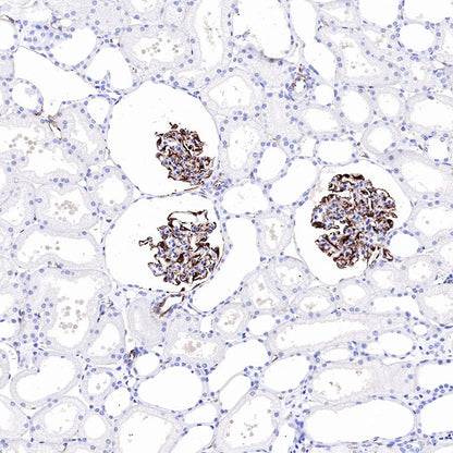
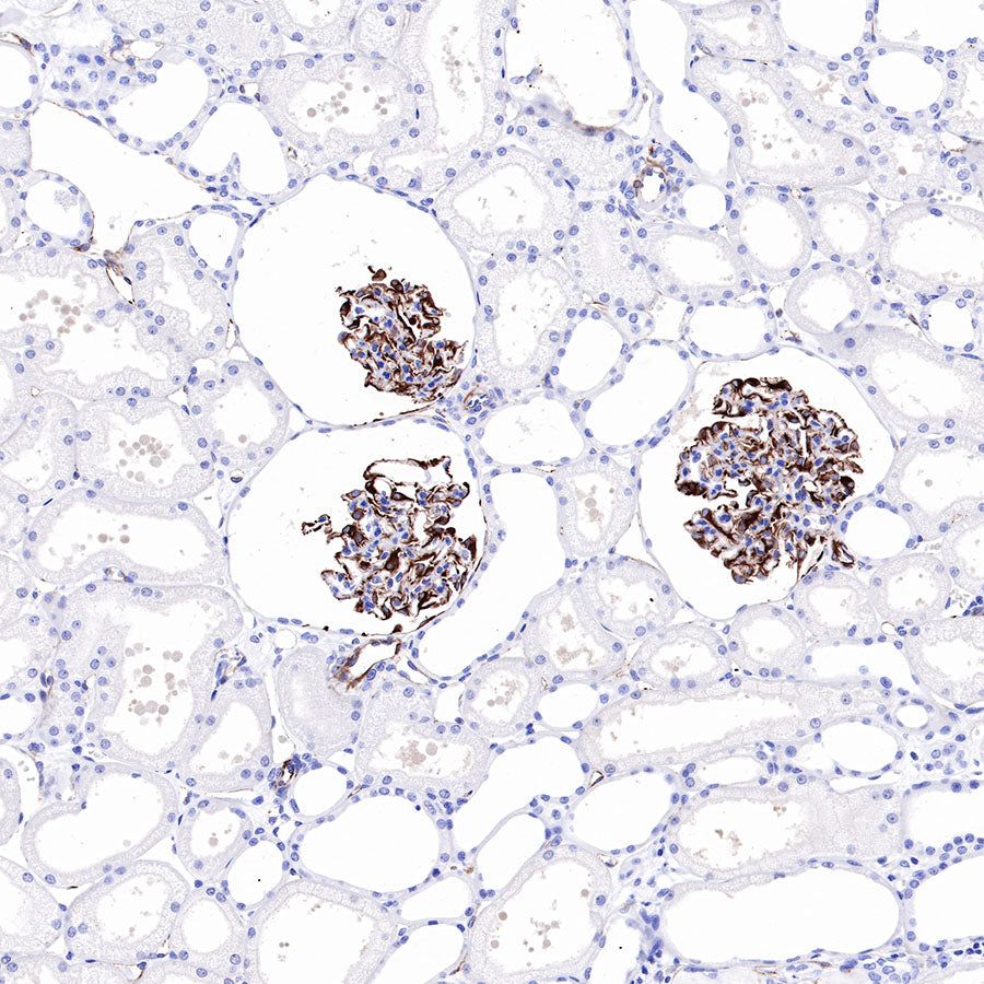
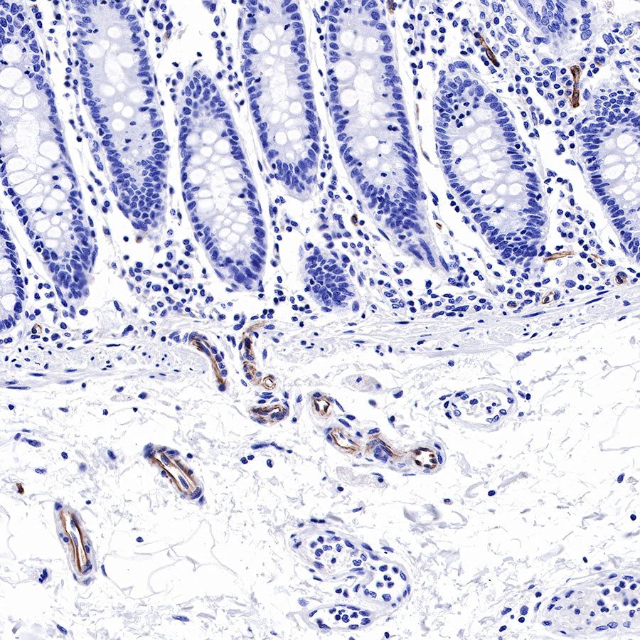
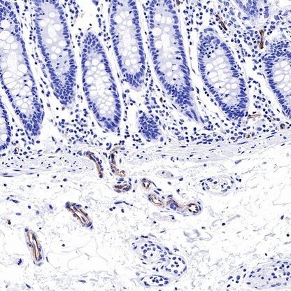
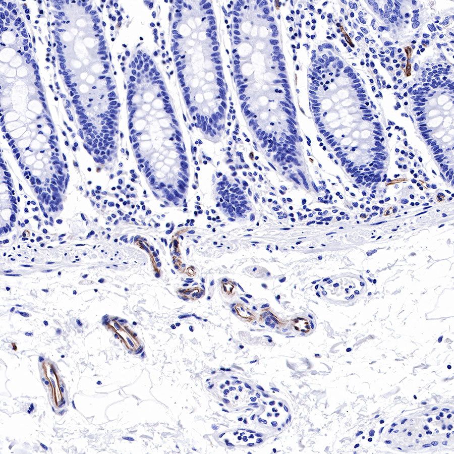
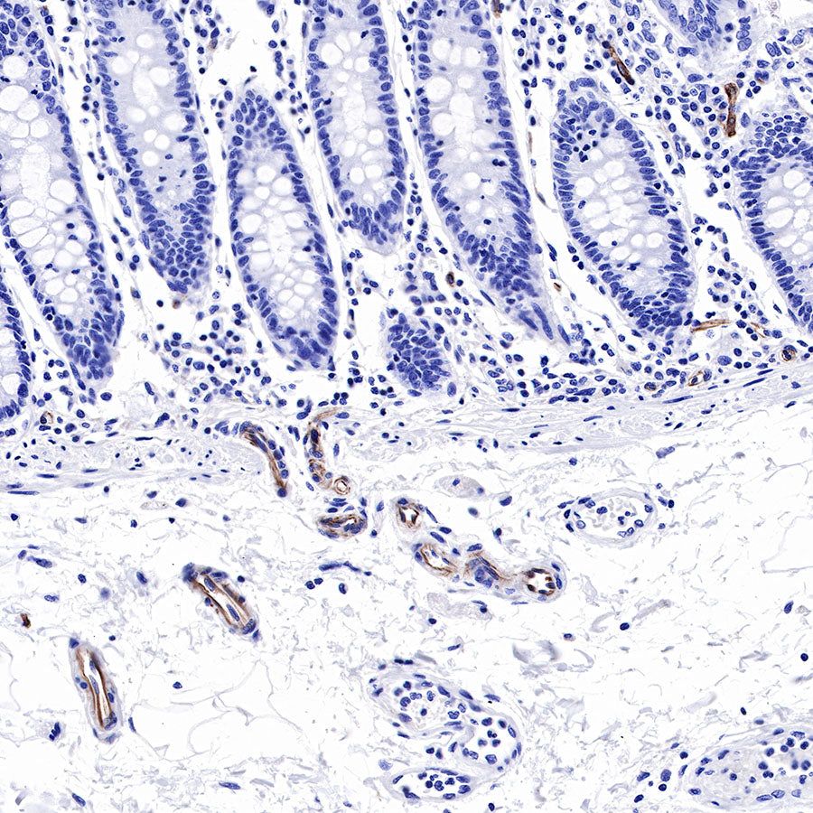
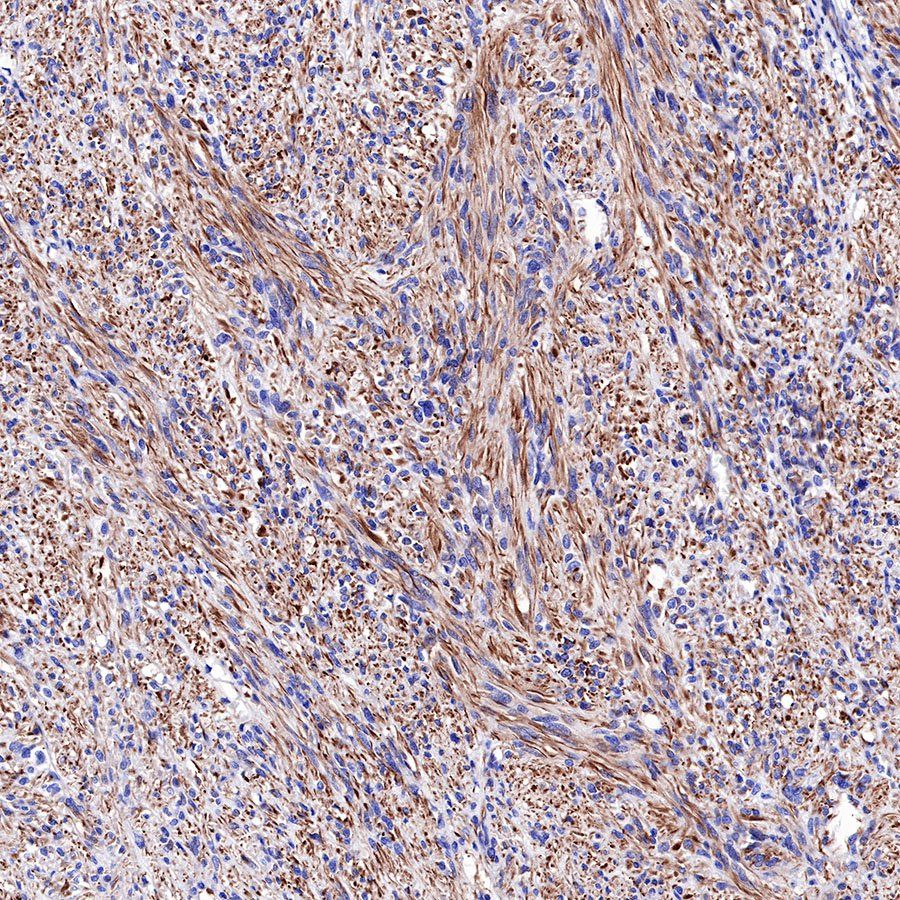
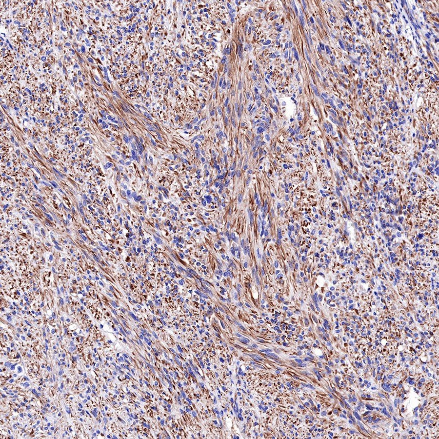
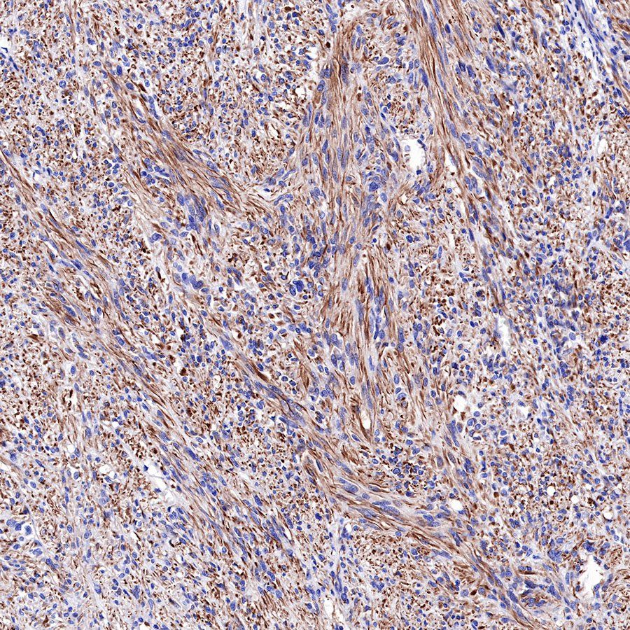
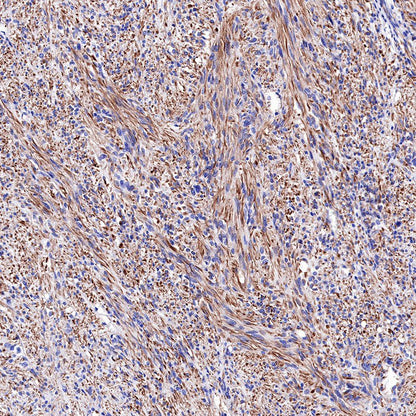
Immunohistochemistry



Immunocytochemistry

ICC shows positive staining in SH-SY5Y cells. Anti-Nestin antibody was used at 1/1000 dilution (Green) and incubated overnight at 4°C. Goat polyclonal Antibody to Rabbit IgG - H&L (Alexa Fluor® 488) was used as secondary antibody at 1/1000 dilution. The cells were fixed with 4%PFA and permeabilized with 0.1% PBS-Triton X-100. Nuclei were counterstained with DAPI (Blue).
Immunofluorescence

IF shows positive staining in paraffin-embedded human kidney. Anti-Nestin antibody was used at 1/1000 dilution (Green) and incubated overnight at 4°C. Goat polyclonal Antibody to Rabbit IgG - H&L (Alexa Fluor® 488) was used as secondary antibody at 1/1000 dilution. Counterstained with DAPI (Blue). Heat mediated antigen retrieval with Tris/EDTA buffer pH9.0 was performed before commencing with IF staining protocol.





