WB result of Lysozyme Rabbit mAb
Primary antibody: Lysozyme Rabbit mAb at 1/1000 dilution
Lane 1: A549 whole cell lysate 20 µg
Lane 2: THP-1 whole cell lysate 20 µg
Lane 3: HL-60 whole cell lysate 20 µg
Negative control: A549 whole cell lysate
Secondary antibody: Goat Anti-Rabbit IgG, (H+L), HRP conjugated at 1/10000 dilution
Predicted MW: 16.5kDa
Observed MW: 15kDa
Product Details
Product Details
Product Specification
Host | Rabbit |
Antigen | Lysozyme |
Synonyms | Lysozyme C, 1,4-beta-N acetylmuramidase C |
Immunogen | N/A |
Location | Secreted |
Accession | P61626 |
Clone Number | SDT-R176 |
Antibody Type | Recombinant mAb |
Application | WB, IHC-P |
Reactivity | Hu |
Purification | Protein A |
Concentration | 0.5 mg/ml |
Conjugation | Unconjugated |
Physical Appearance | Liquid |
Storage Buffer | PBS, 40% Glycerol, 0.05% BSA, 0.03% Proclin 300 |
Stability & Storage | 12 months from date of receipt / reconstitution, -20 °C as supplied |
Dilution
application | dilution | species |
WB | 1:1000 | null |
IHC-P | 1:100 | null |
Background
Lysozyme is a ~14 kDa protein present in many mucosal secretions (tears, saliva, and mucus) and tissues of animals and plants, and plays an important role in the innate immunity, providing protection against bacteria, viruses, and fungi. Three main different types of lysozymes are known: the c-type (chicken or conventional type), the g-type (goose type), and the i-type (invertebrate type) [PMID: 34943746].
Picture
Picture
Western Blot

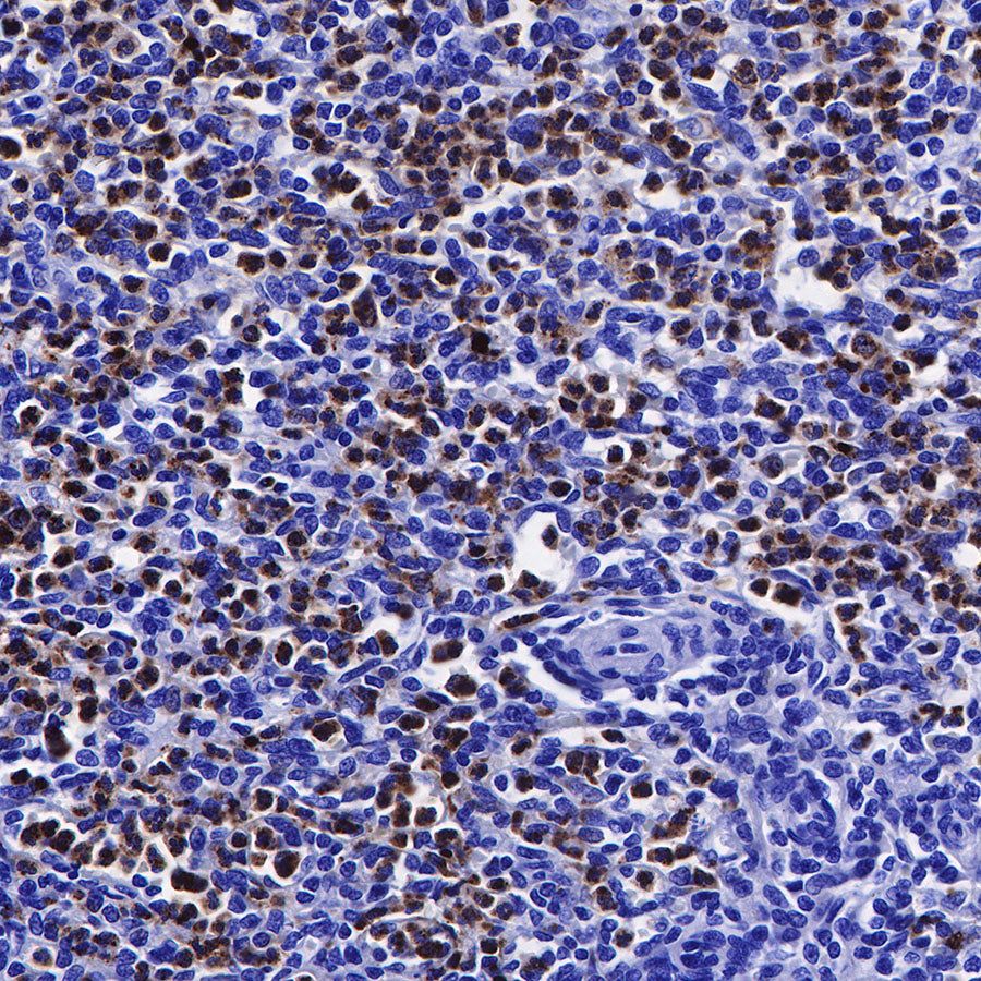
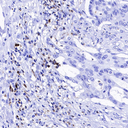
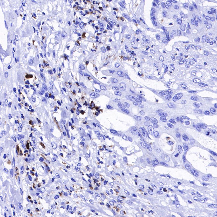
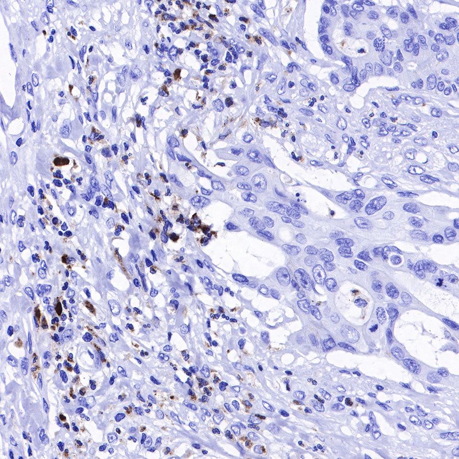
Immunohistochemistry

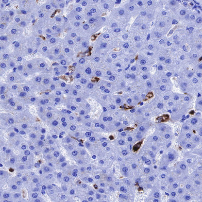
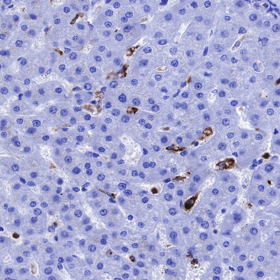
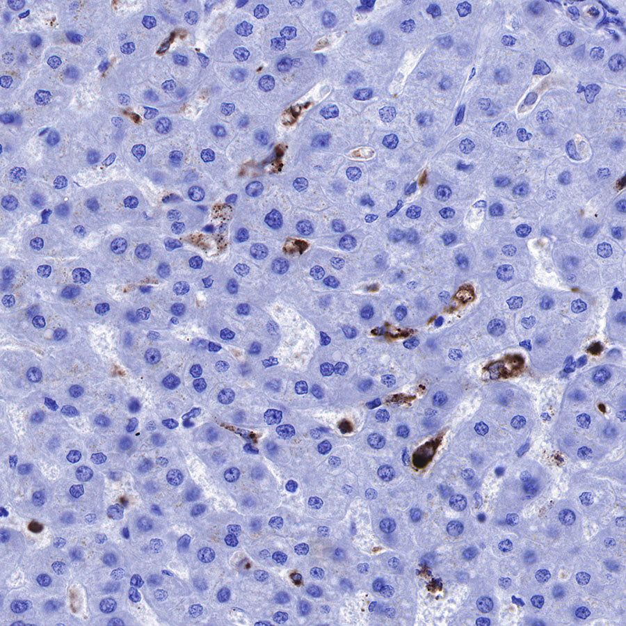
IHC shows positive staining in paraffin-embedded human liver. Anti-Lysozyme antibody was used at 1/100 dilution, followed by a HRP Polymer for Mouse & Rabbit IgG (ready to use). Counterstained with hematoxylin. Heat mediated antigen retrieval with Tris/EDTA buffer pH9.0 was performed before commencing with IHC staining protocol.

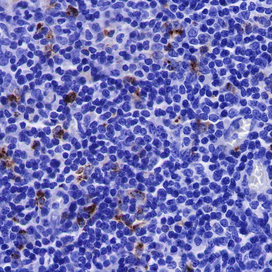
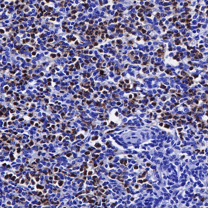
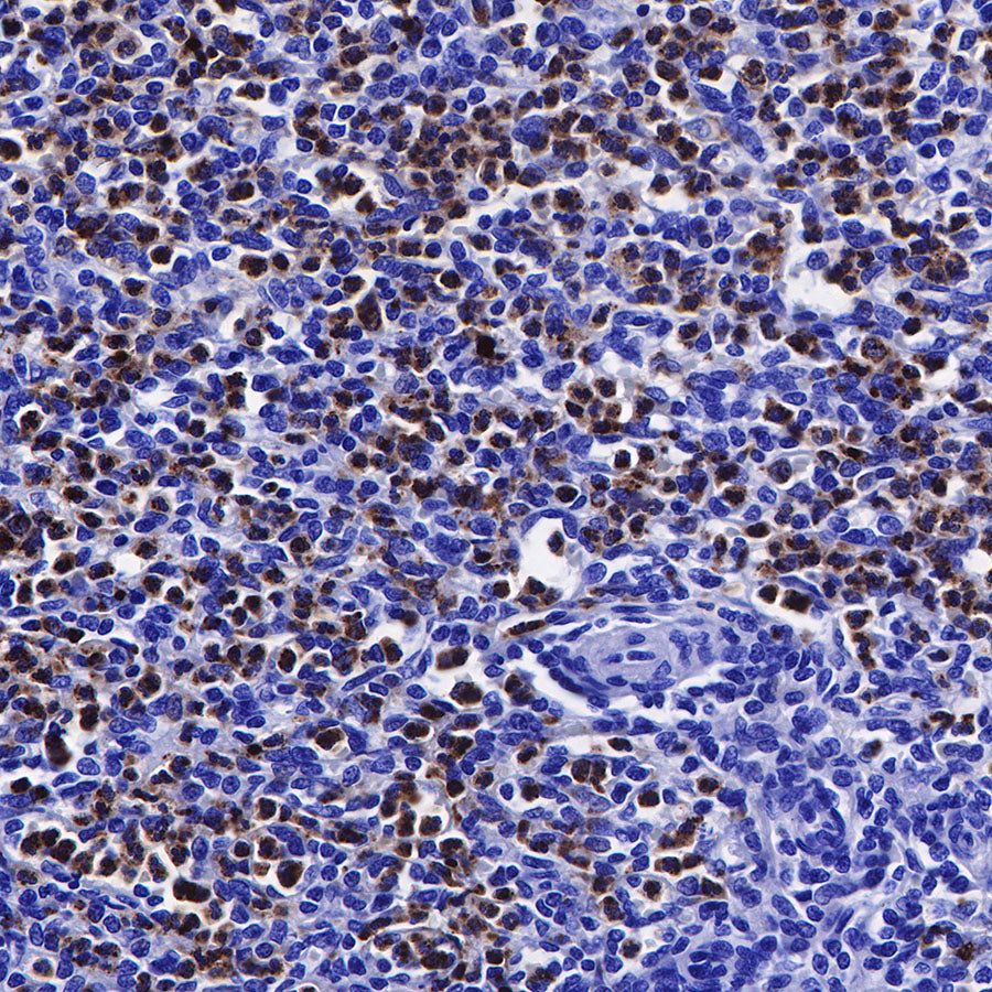
IHC shows positive staining in paraffin-embedded human tonsil. Anti-Lysozyme antibody was used at 1/100 dilution, followed by a HRP Polymer for Mouse & Rabbit IgG (ready to use). Counterstained with hematoxylin. Heat mediated antigen retrieval with Tris/EDTA buffer pH9.0 was performed before commencing with IHC staining protocol.

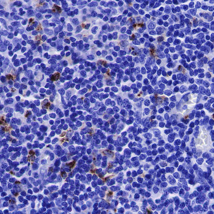
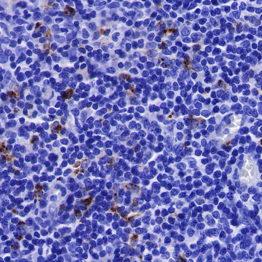
IHC shows positive staining in paraffin-embedded human spleen. Anti-Lysozyme antibody was used at 1/100 dilution, followed by a HRP Polymer for Mouse & Rabbit IgG (ready to use). Counterstained with hematoxylin. Heat mediated antigen retrieval with Tris/EDTA buffer pH9.0 was performed before commencing with IHC staining protocol.

IHC shows positive staining in paraffin-embedded human colon cancer. Anti-Lysozyme antibody was used at 1/100 dilution, followed by a HRP Polymer for Mouse & Rabbit IgG (ready to use). Counterstained with hematoxylin. Heat mediated antigen retrieval with Tris/EDTA buffer pH9.0 was performed before commencing with IHC staining protocol.

IHC shows positive staining in paraffin-embedded human ovarian cancer. Anti-Lysozyme antibody was used at 1/100 dilution, followed by a HRP Polymer for Mouse & Rabbit IgG (ready to use). Counterstained with hematoxylin. Heat mediated antigen retrieval with Tris/EDTA buffer pH9.0 was performed before commencing with IHC staining protocol.

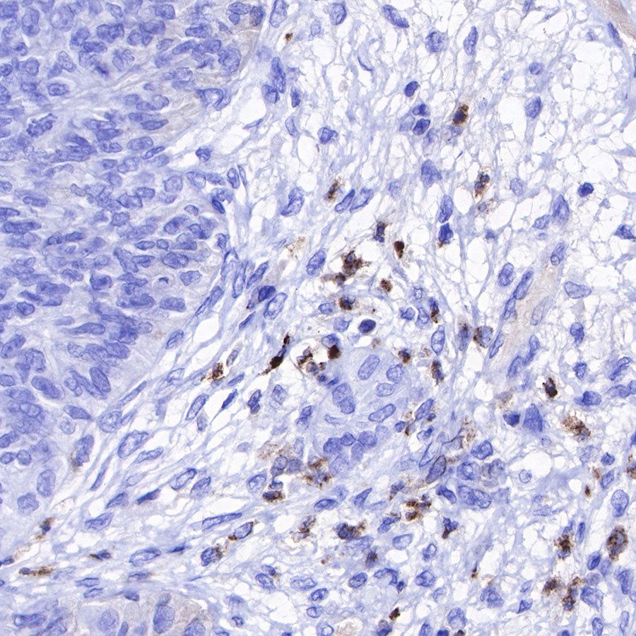
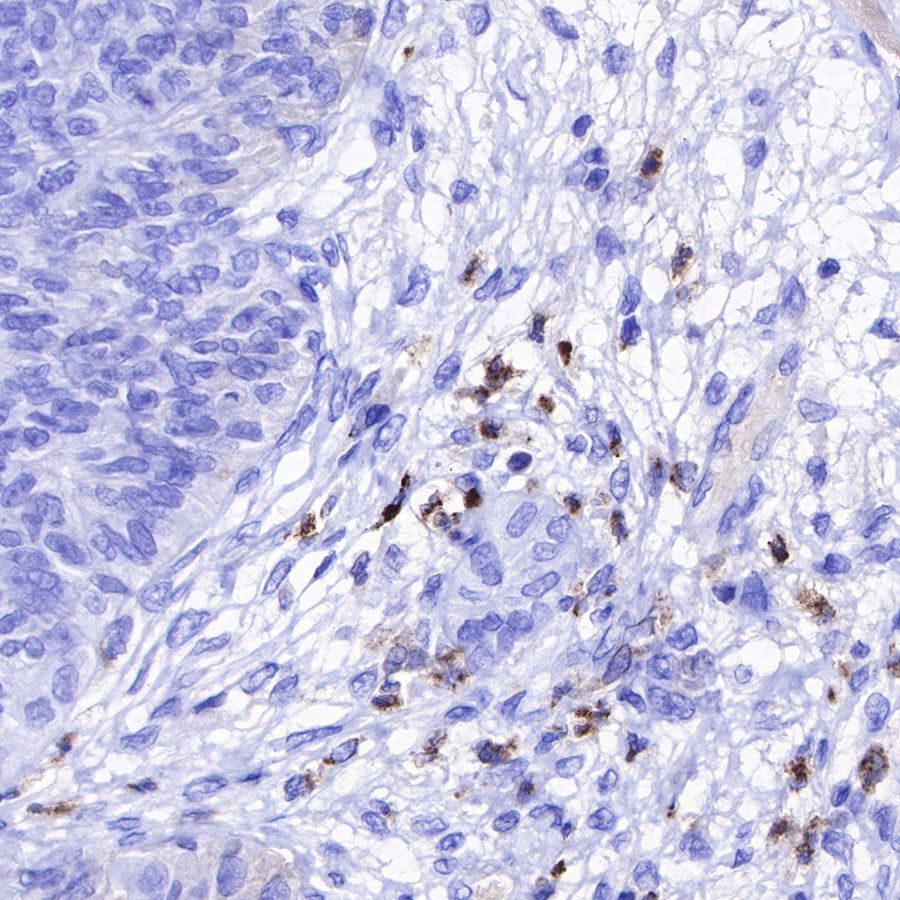
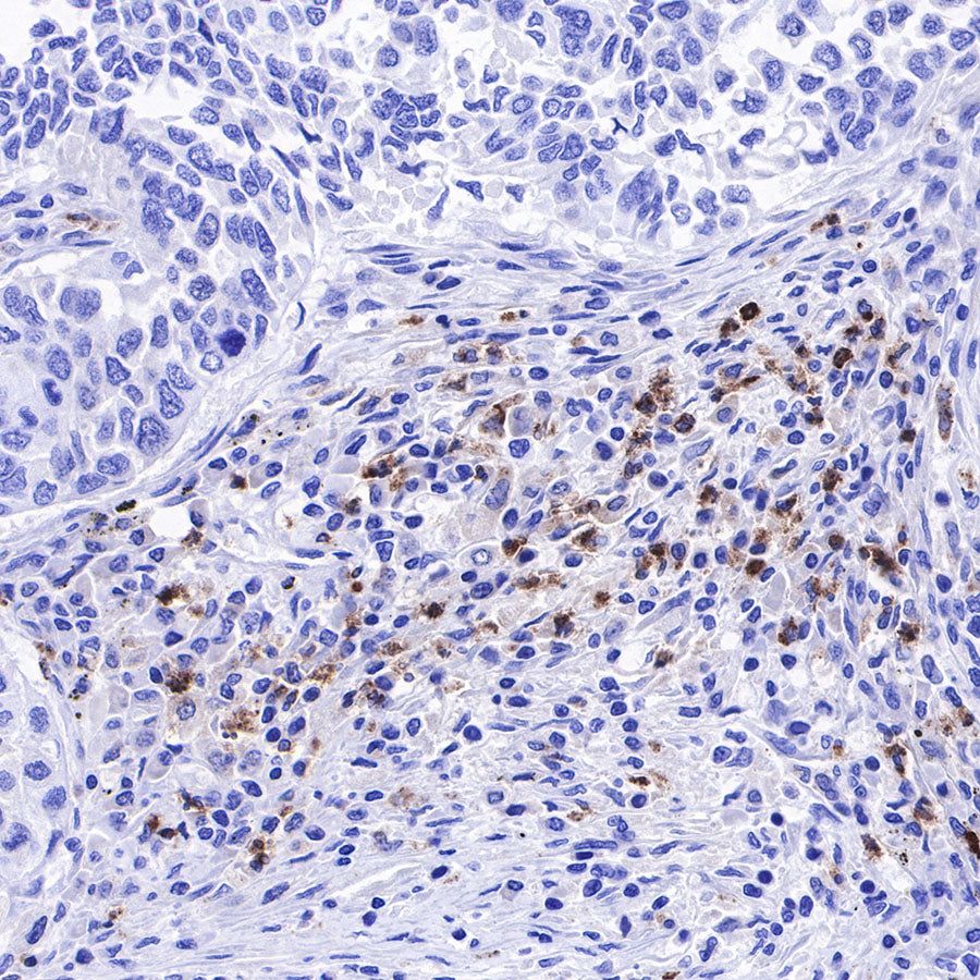
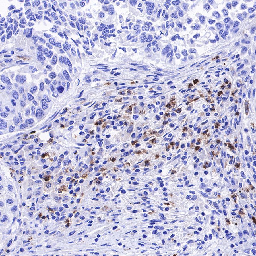
IHC shows positive staining in paraffin-embedded human lung squamous cell carcinoma. Anti-Lysozyme antibody was used at 1/100 dilution, followed by a HRP Polymer for Mouse & Rabbit IgG (ready to use). Counterstained with hematoxylin. Heat mediated antigen retrieval with Tris/EDTA buffer pH9.0 was performed before commencing with IHC staining protocol.

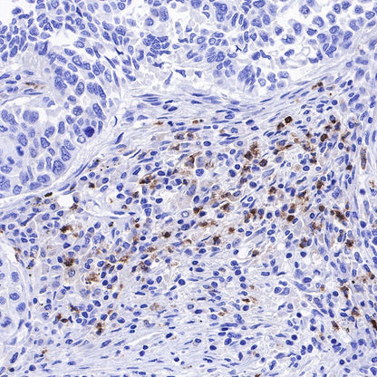
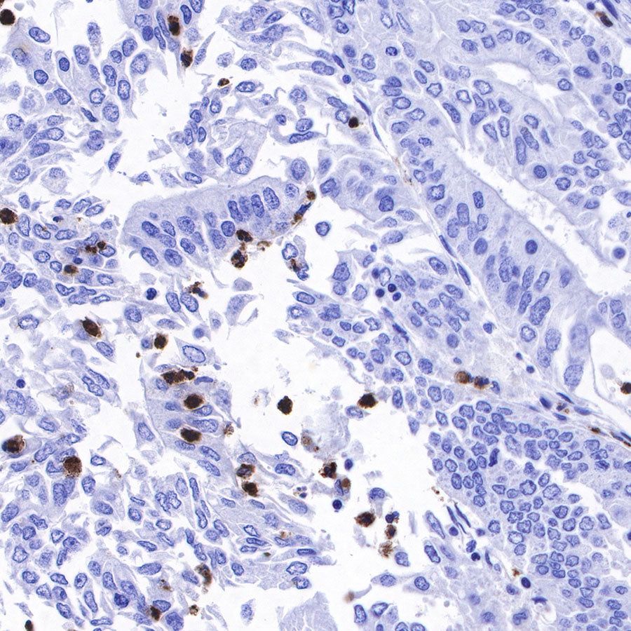
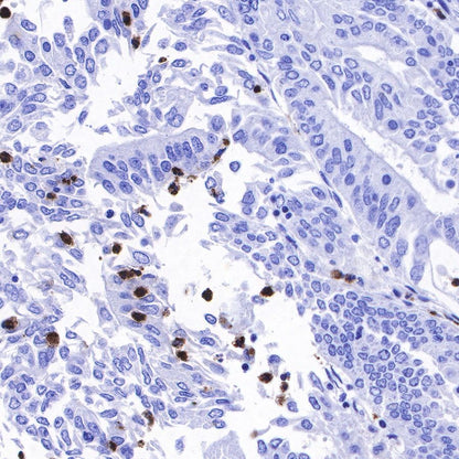
IHC shows positive staining in paraffin-embedded human endometrial carcinoma. Anti-Lysozyme antibody was used at 1/100 dilution, followed by a HRP Polymer for Mouse & Rabbit IgG (ready to use). Counterstained with hematoxylin. Heat mediated antigen retrieval with Tris/EDTA buffer pH9.0 was performed before commencing with IHC staining protocol.







