Immobilized Human IL-10, His Tag at 20 μg/mL (50 μL/well) can bind Active Recombinant Human IL-10 R alpha/IL10RA/CD210 Protein with EC50 of 27.59-36.34 ng/mL.
Product Details
Product Details
Product Specification
Species | Human |
Synonyms | Cytokine synthesis inhibitory factor (CSIF) |
Accession | P22301 |
Amino Acid Sequence | Protein sequence(P22301, Ser26-Asn178, with C-10*His) SENSCTHFPGNLPNMLRDLRDAFSRVKTFFQMKDQLDNLLLKESLLEDFKGYLGCQALSEMIQFYLEEVMPQAENQDPDIKAHVNSLGENLKTLRLRLRRCHRFLPCENKSKAVEQVKNAFNKLQEKGIYKAMSEFDIFINYIEAYMTMKIRNGGGGSHHHHHHHHHH |
Expression System | CHO |
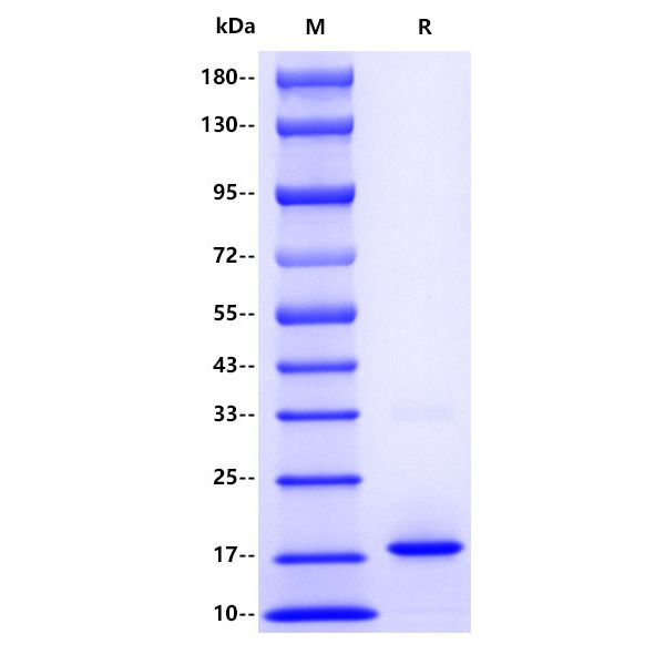
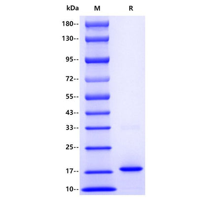
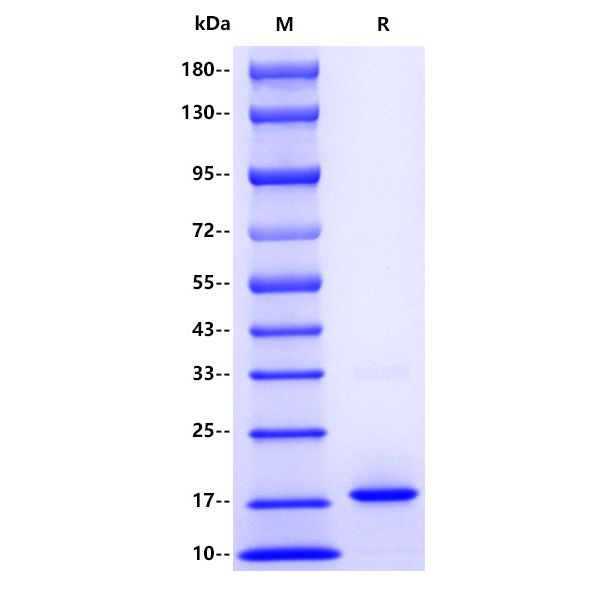
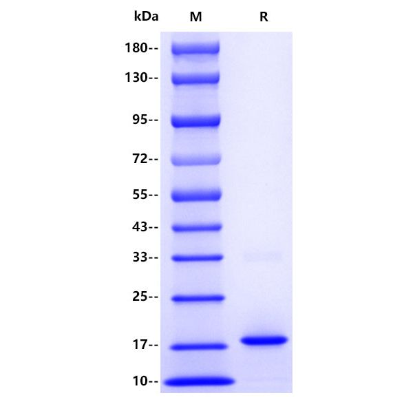
Molecular Weight | Theoretical:17.1kDa Actual:18kDa |
Purity | >90% by SDS-PAGE |
Endotoxin | <1EU/μg |
Conjugation | Unconjugated |
Tag | His Tag |
Physical Appearance | Lyophilized Powder |
Storage Buffer | Lyophilized from a 0.2 μm filtered solution of 0.2M PBS, pH7.4. |
Reconstitution | Reconstitute no more than 1 mg/mL according to the size in deionized water after rapid centrifugation. |
Stability & Storage | 12 months from date of receipt, -20 to -70 °C as supplied. 6 months, -20 to -70 °C under sterile conditions after reconstitution. 1 week, 2 to 8 °C under sterile conditions after reconstitution. Please avoid repeated freeze-thaw cycles. |
Background
Interleukin 10 (IL-10), also known as human cytokine synthesis inhibitory factor (CSIF), is an anti-inflammatory cytokine. In humans, IL-10 is primarily produced by monocytes and, to a lesser extent, lymphocytes, namely type-II T helper cells (TH2), mast cells, CD4+CD25+Foxp3+ regulatory T cells, and in a certain subset of activated T cells and B cells. IL-10 can be produced by monocytes upon PD-1 triggering in these cells. IL-10 is a cytokine with multiple, pleiotropic, effects in immunoregulation and inflammation. It downregulates the expression of Th1 cytokines, MHC class II antigens, and co-stimulatory molecules on macrophages. It also enhances B cell survival, proliferation, and antibody production. IL-10 can block NF-κB activity, and is involved in the regulation of the JAK-STAT signaling pathway.
Picture
Picture
Bioactivity
SDS-PAGE

2μg(R: reducing conditions)

