Skip to product information
1 of 9

DLL3 Recombinant Rabbit mAb (SDT-207-59)

DLL3 Recombinant Rabbit mAb (SDT-207-59)

Catalog Number: S0B2115 Application: WB,IHC-P,ICC,FCM Reactivity: Human Conjugation: Unconjugated Brand: Starter
Price:
Regular price $131.00 SGD
Regular price Sale price $131.00 SGD
Size:
For shipping services or bulk orders, you may request a quotation.
Secure checkout with
View full details

Product Details

Product Specification


Host Rabbit
Antigen DLL3
Synonyms Delta-like protein 3, Delta3
Immunogen Synthetic Peptide
Location Membrane
Accession Q9NYJ7
Clone Number SDT-207-59
Antibody Type Rabbit mAb
Application WB, IHC-P, ICC, ICFCM
Reactivity Hu
Purification Protein A
Concentration 0.5 mg/ml
Physical Appearance Liquid
Storage Buffer PBS, 40% Glycerol, 0.05%BSA, 0.03% Proclin 300
Stability & Storage

12 months from date of receipt / reconstitution, -20 °C as supplied

Dilution


application dilution species
ICC 1:1000
IHC-P 1:1000
WB 1:1000
ICFCM 1:500

Background

Small cell lung cancer (SCLC) accounts for approximately 15% of all lung cancers. elta-like ligand 3 (DLL3) is an inhibitory Notch ligand that is highly expressed in SCLC and other neuroendocrine tumors but minimally expressed in normal tissues. It is therefore being explored as a potential therapeutic target in SCLC.

Picture

Western Blot

WB result of DLL3 Rabbit mAb                        
Primary antibody: DLL3 Rabbit mAb at 1/1000 dilution
Lane 1: HeLa whole cell lysate 20 µg
Lane 2: TT whole cell lysate 20 µg
Negative control: HeLa whole cell lysate    

Secondary antibody: Goat Anti-Rabbit IgG, (H+L), HRP conjugated at 1/10000 dilution
Predicted MW: 65 kDa
Observed MW: 60 kDa
Exposure time: 180s

FC

Flow cytometric analysis of 4% PFA fixed 90% methanol permeabilized HeLa (Human cervix adenocarcinoma epithelial cell, left) / TT (Human thyroid carcinoma epithelial cell, right) cells labelling DLL3 antibody at 1/500 dilution (0.1 μg) / (red) compared with a Rabbit monoclonal IgG (Black) isotype control and an unlabelled control (cells without incubation with primary antibody and secondary antibody) (Blue). Goat Anti - Rabbit IgG Alexa Fluor® 488 was used as the secondary antibody. 
Negative control: HeLa

Immunohistochemistry

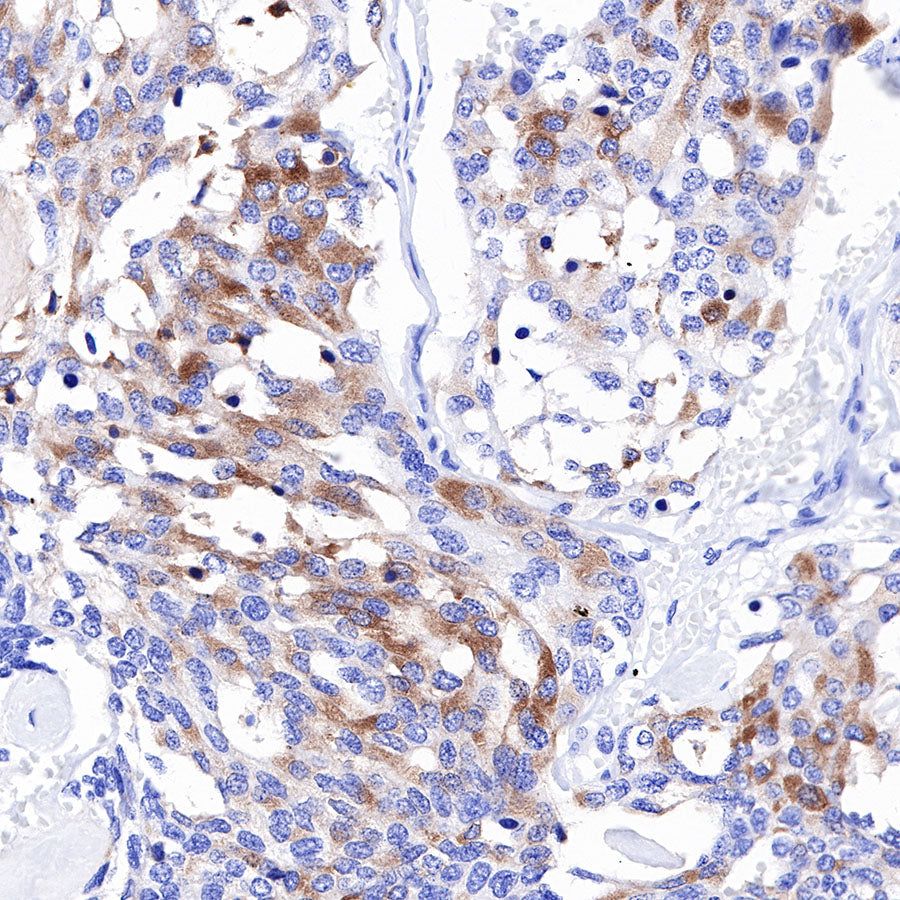
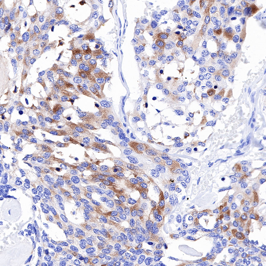
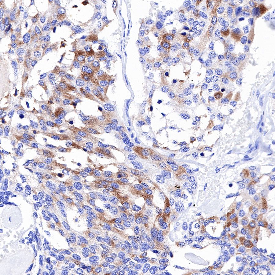
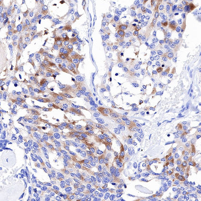
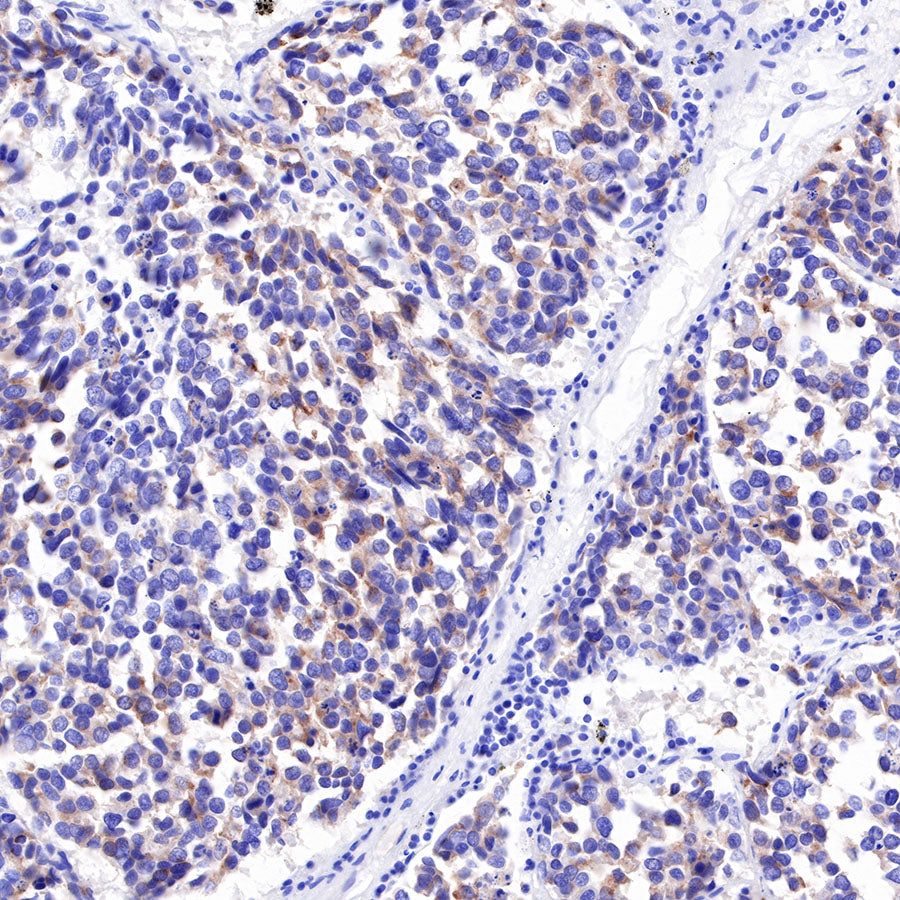
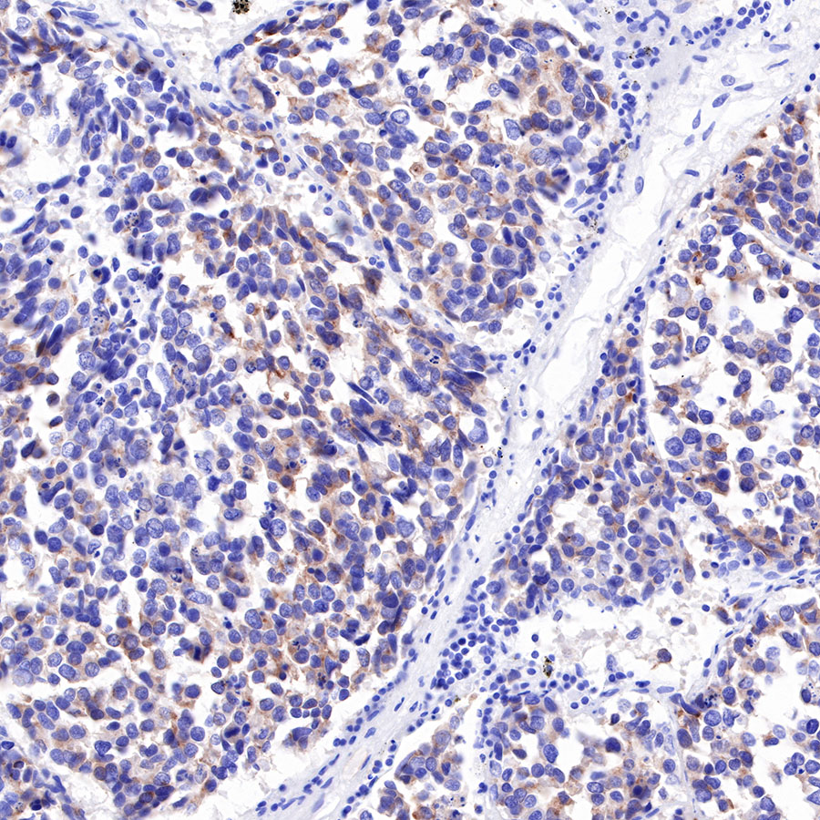
IHC shows positive staining in paraffin-embedded human medullary thyroid carcinoma. Anti-DLL3 antibody was used at 1/1000 dilution, followed by a HRP Polymer for Mouse & Rabbit IgG (ready to use). Counterstained with hematoxylin. Heat mediated antigen retrieval with Tris/EDTA buffer pH9.0 was performed before commencing with IHC staining protocol.

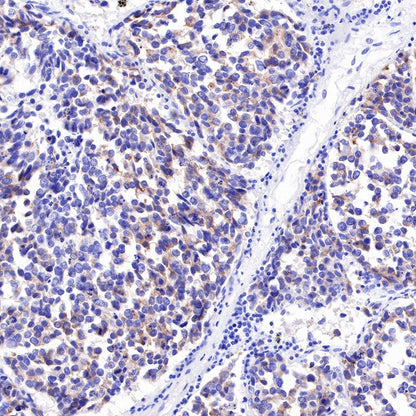
IHC shows positive staining in paraffin-embedded human small cell lung cancer. Anti-DLL3 antibody was used at 1/1000 dilution, followed by a HRP Polymer for Mouse & Rabbit IgG (ready to use). Counterstained with hematoxylin. Heat mediated antigen retrieval with Tris/EDTA buffer pH9.0 was performed before commencing with IHC staining protocol.

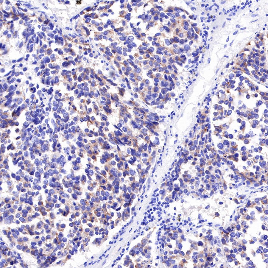
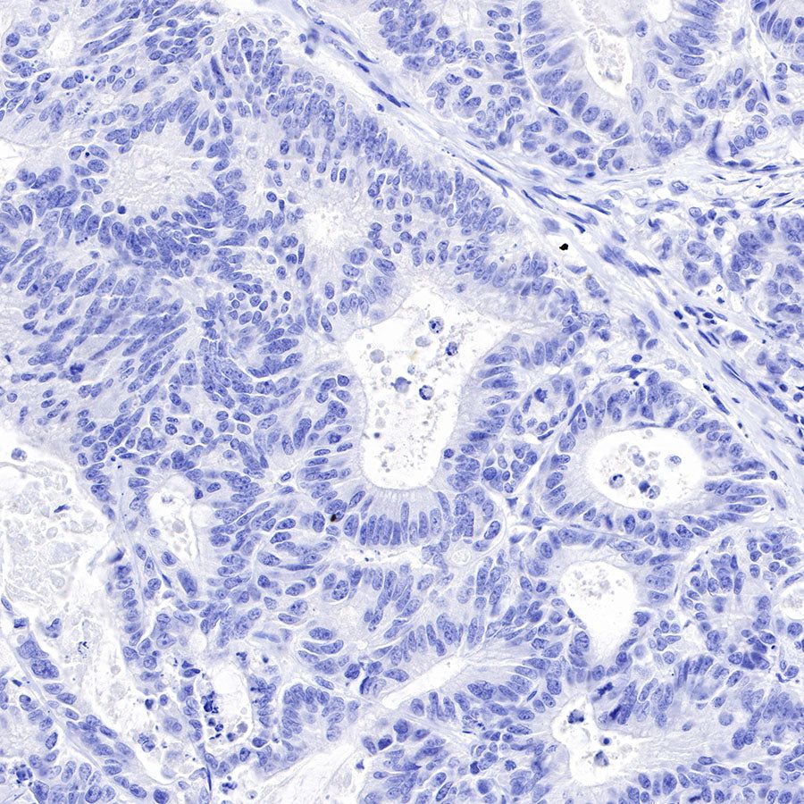
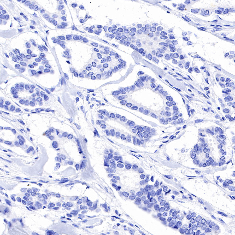
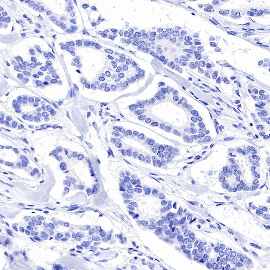
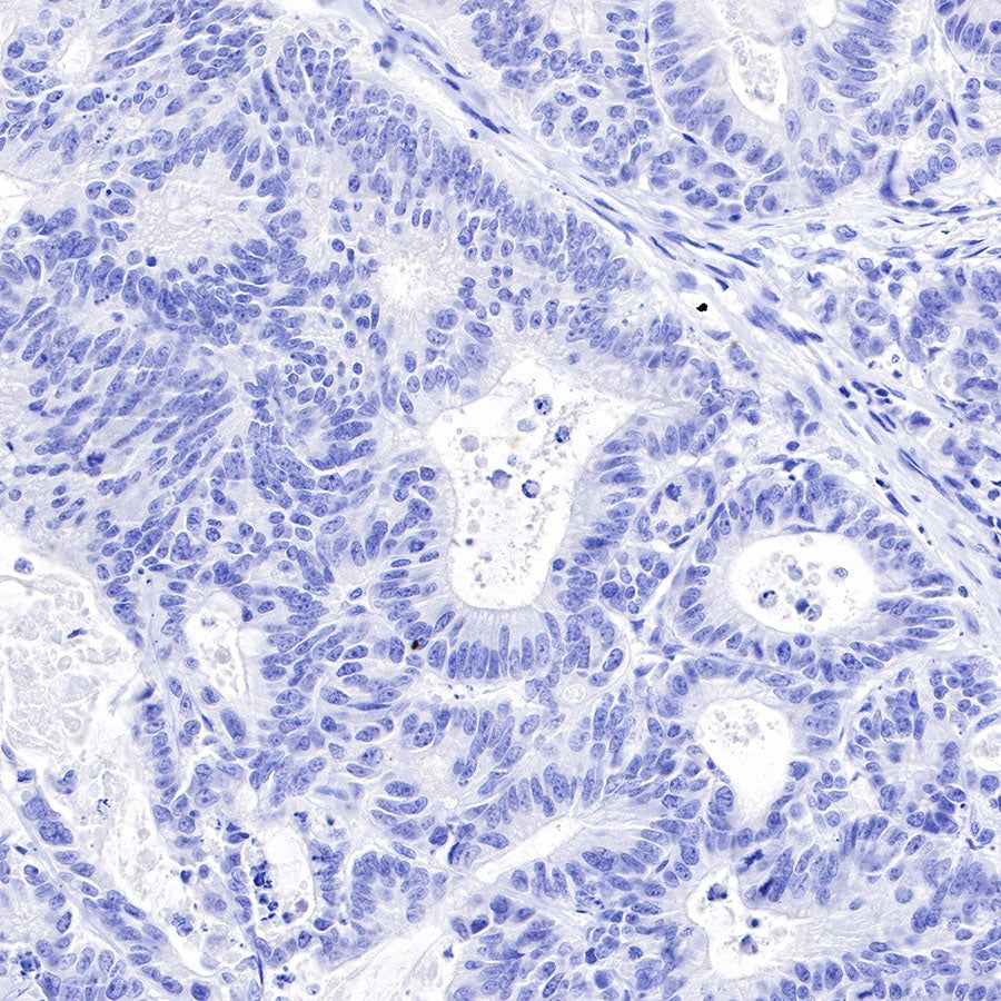
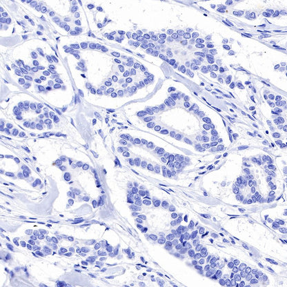
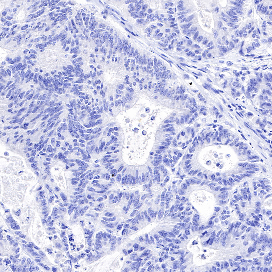
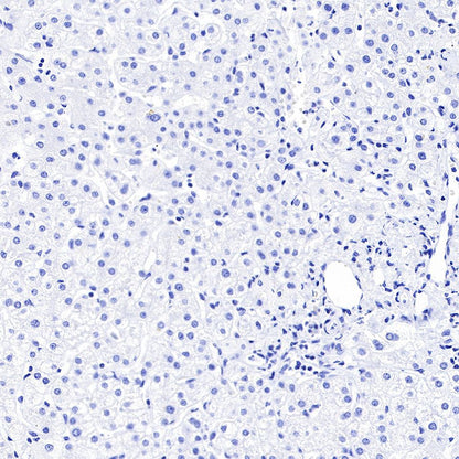
Negative control: IHC shows negative staining in paraffin-embedded human breast cancer. Anti-DLL3 antibody was used at 1/1000 dilution, followed by a HRP Polymer for Mouse & Rabbit IgG (ready to use). Counterstained with hematoxylin. Heat mediated antigen retrieval with Tris/EDTA buffer pH9.0 was performed before commencing with IHC staining protocol.

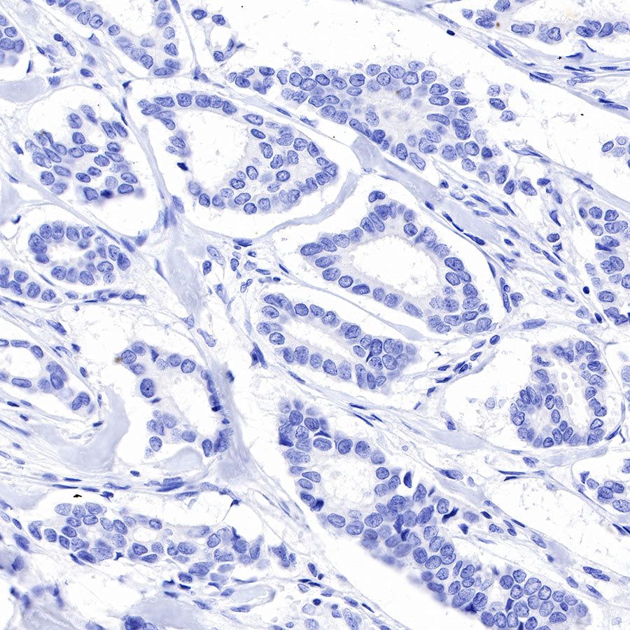
Negative control: IHC shows negative staining in paraffin-embedded human colon cancer. Anti-DLL3 antibody was used at 1/1000 dilution, followed by a HRP Polymer for Mouse & Rabbit IgG (ready to use). Counterstained with hematoxylin. Heat mediated antigen retrieval with Tris/EDTA buffer pH9.0 was performed before commencing with IHC staining protocol.

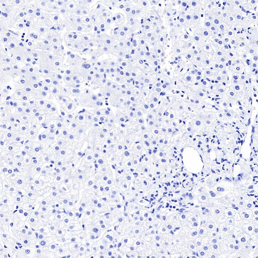
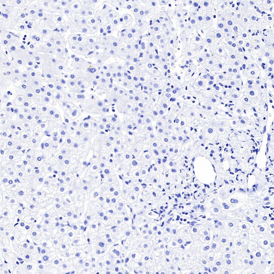
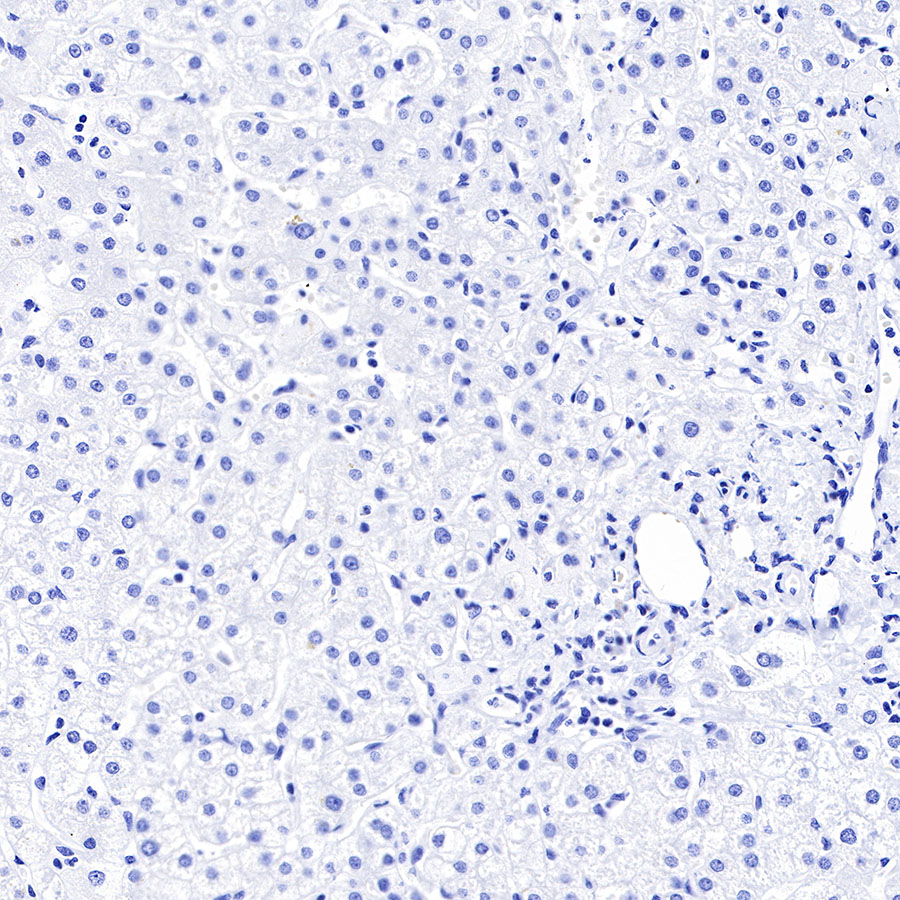
Negative control: IHC shows negative staining in paraffin-embedded human liver. Anti-DLL3 antibody was used at 1/1000 dilution, followed by a HRP Polymer for Mouse & Rabbit IgG (ready to use). Counterstained with hematoxylin. Heat mediated antigen retrieval with Tris/EDTA buffer pH9.0 was performed before commencing with IHC staining protocol.

Immunocytochemistry

ICC shows membrane staining in TT cells. Anti-DLL3 antibody was used at 1/1000 dilution and incubated overnight at 4°C. Goat polyclonal Antibody to Rabbit IgG - H&L (Alexa Fluor® 488) was used as secondary antibody at 1/1000 dilution.The cells were fixed with 100% ice-cold methanol and permeabilized with 0.1% PBS-Triton X-100. Nuclei were counterstained with DAPI.

Negative control: ICC shows negative staining in HeLa cells. Anti-DLL3 antibody was used at 1/1000 dilution and incubated overnight at 4°C. Goat polyclonal Antibody to Rabbit IgG - H&L (Alexa Fluor® 488) was used as secondary antibody at 1/1000 dilution.The cells were fixed with 100% ice-cold methanol and permeabilized with 0.1% PBS-Triton X-100. Nuclei were counterstained with DAPI.