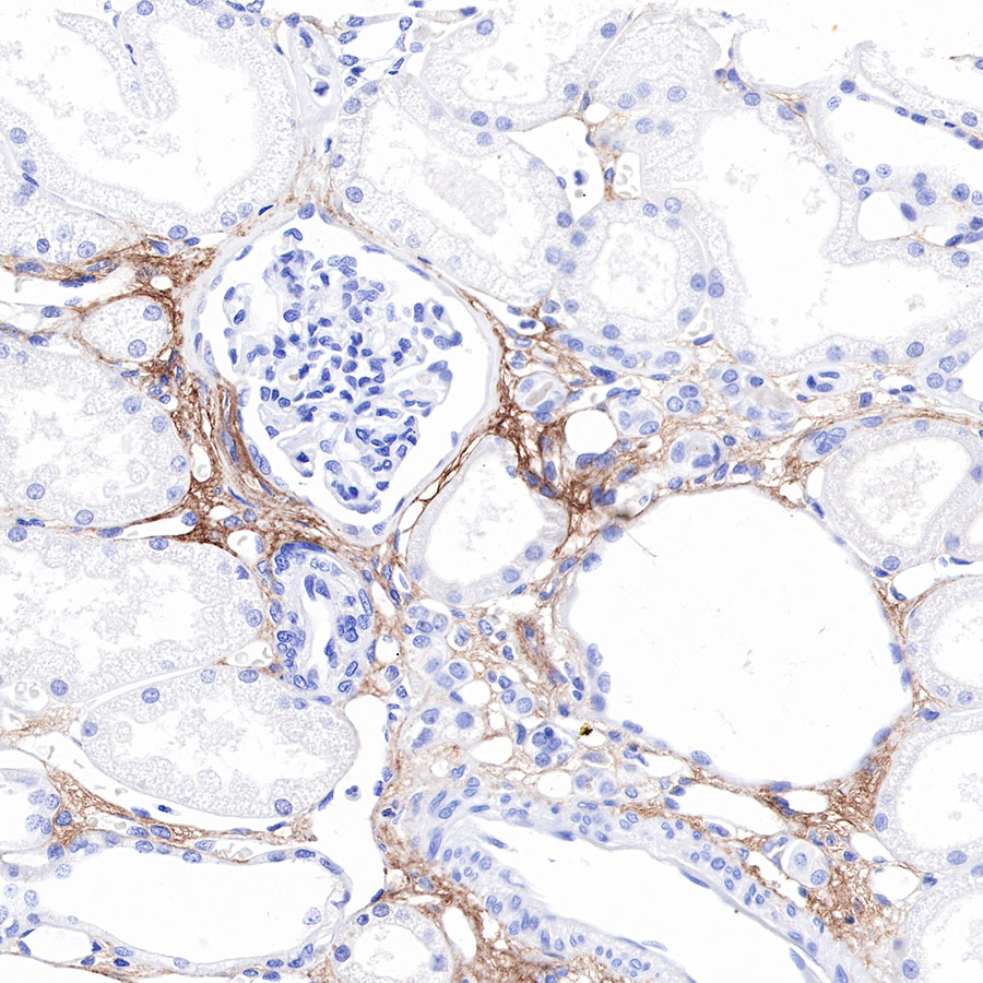
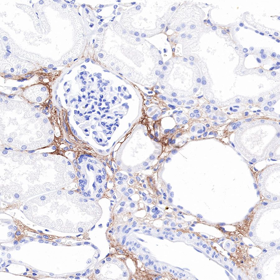
IHC shows positive staining in paraffin-embedded human kidney. Anti-COL3A1(PIIINP) antibody was used at 1/500 dilution, followed by a HRP Polymer for Mouse & Rabbit IgG (ready to use). Counterstained with hematoxylin. Heat mediated antigen retrieval with Tris/EDTA buffer pH9.0 was performed before commencing with IHC staining protocol.
Product Details
Product Details
Product Specification
Host | Rabbit |
Antigen | COL3A1(PIIINP) |
Synonyms | Collagen alpha-1(III) chain |
Immunogen | Recombinant Protein |
Location | Secreted, Extracellular space, Extracellular matrix |
Accession | P02461 |
Clone Number | SDT-149-50 |
Antibody Type | Rabbit mAb |
Application | IHC-P, IF |
Reactivity | Hu |
Purification | Protein A |
Concentration | 0.5 mg/ml |
Physical Appearance | Liquid |
Storage Buffer | PBS, 40% Glycerol, 0.05%BSA, 0.03% Proclin 300 |
Stability & Storage | 12 months from date of receipt / reconstitution, -20 °C as supplied |
Dilution
application | dilution | species |
IHC-P | 1:500 | null |
IF | 1:100 | null |
Background
PIIINP, also known as the collagen alpha-1(III) chain, is a protein that in humans is encoded by the COL3A1 gene. Three alpha 1 chains are required to form the type III collagen molecule which has a long triple-helical domain. Type III collagen, an extracellular matrix protein, is synthesized by cells as a pre-procollagen. It is found as a major structural component in hollow organs such as large blood vessels, uterus and bowel. Other functions of type III collagen include interaction with platelets in the blood clotting cascade and it is also an important signalling molecule in would healing. Mutations in the COL3A1 gene cause the vascular type of Ehlers-Danlos syndrome.
Picture
Picture
Immunohistochemistry


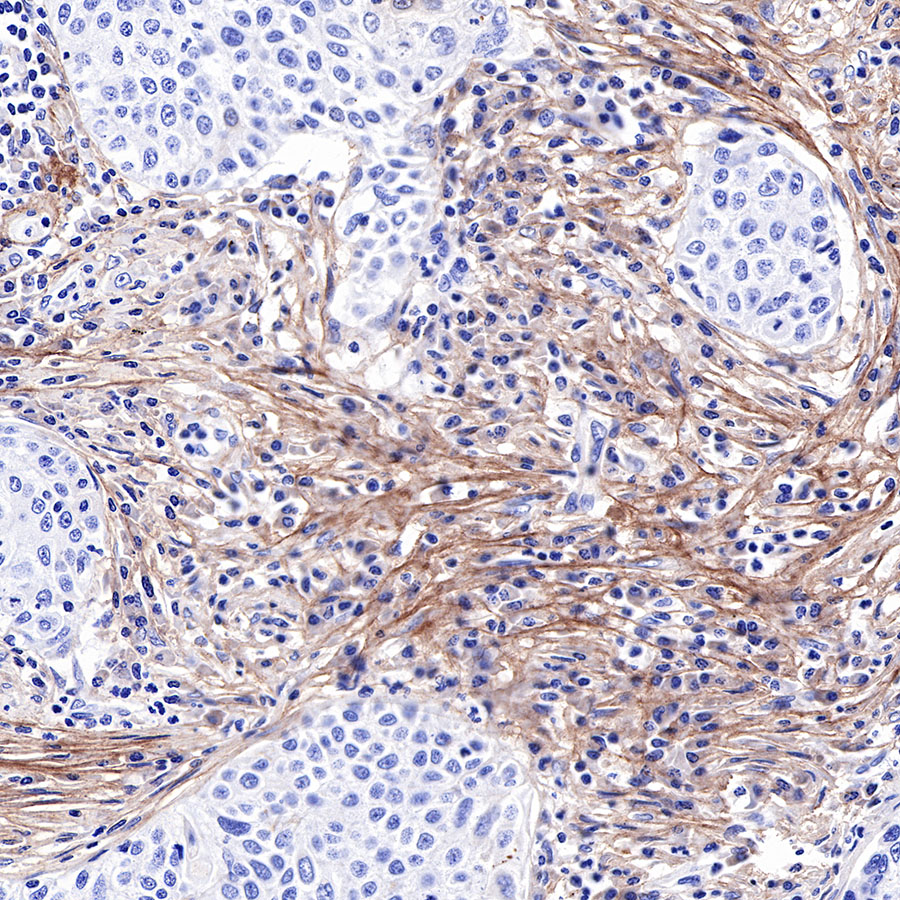
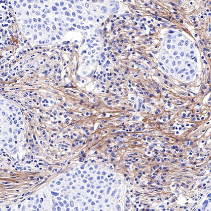
IHC shows positive staining in paraffin-embedded human lung squamous cell carcinoma. Anti-COL3A1(PIIINP) antibody was used at 1/500 dilution, followed by a HRP Polymer for Mouse & Rabbit IgG (ready to use). Counterstained with hematoxylin. Heat mediated antigen retrieval with Tris/EDTA buffer pH9.0 was performed before commencing with IHC staining protocol.

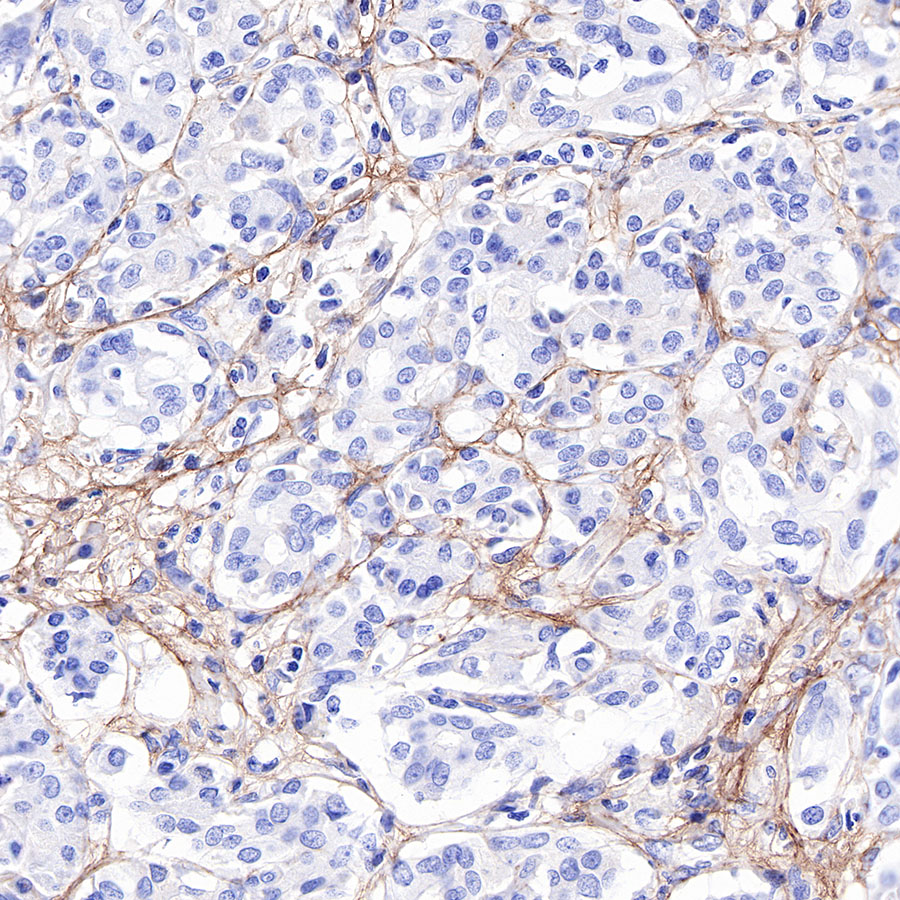
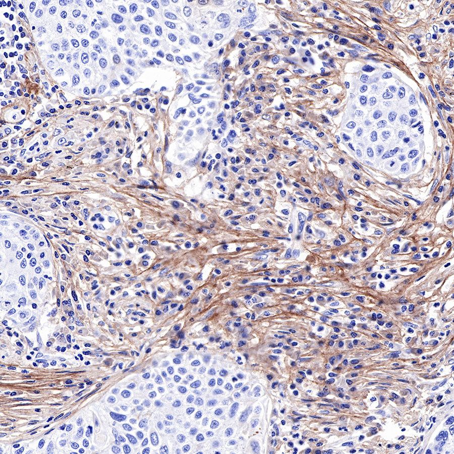
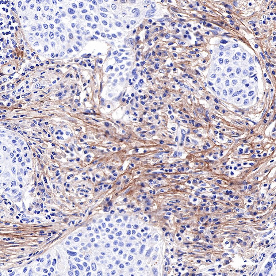
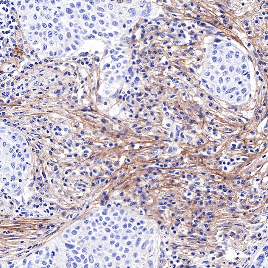
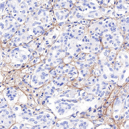
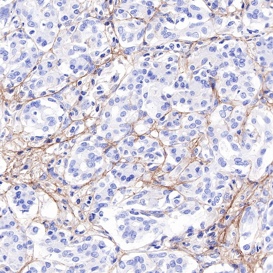
IHC shows positive staining in paraffin-embedded human pancreatic cancer. Anti-COL3A1(PIIINP) antibody was used at 1/500 dilution, followed by a HRP Polymer for Mouse & Rabbit IgG (ready to use). Counterstained with hematoxylin. Heat mediated antigen retrieval with Tris/EDTA buffer pH9.0 was performed before commencing with IHC staining protocol.

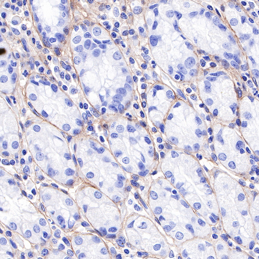
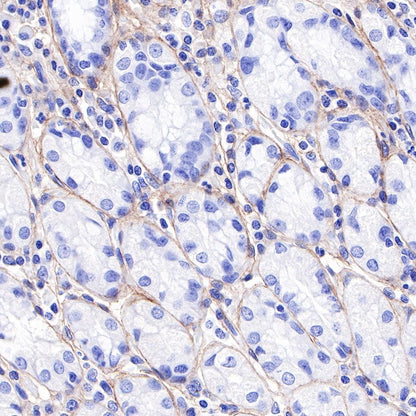
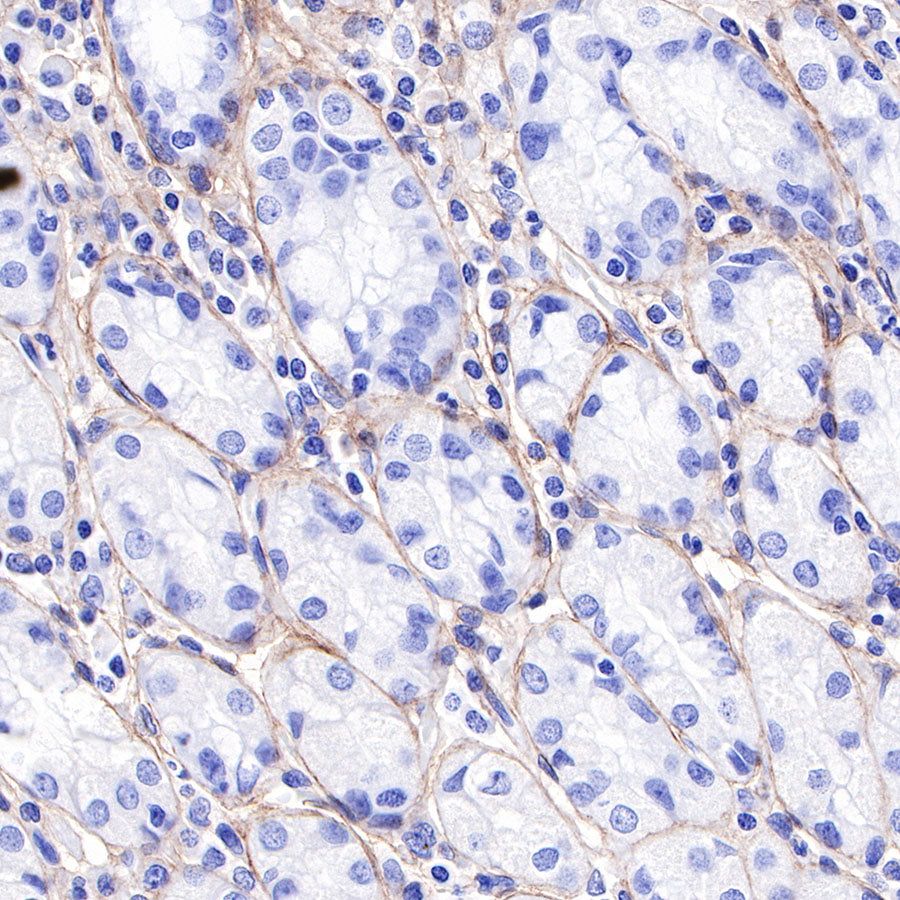
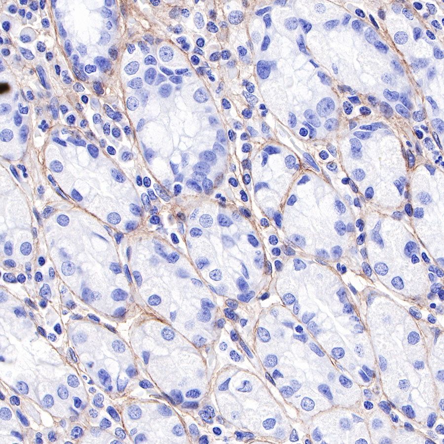
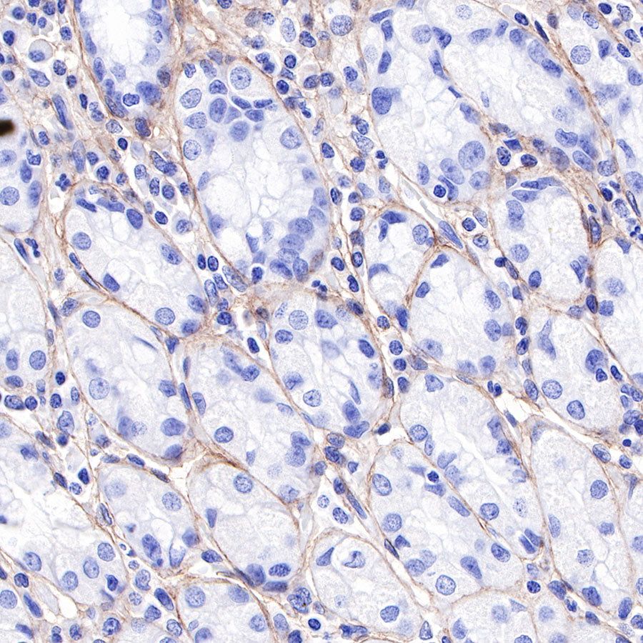
IHC shows positive staining in paraffin-embedded human stomach. Anti-COL3A1(PIIINP) antibody was used at 1/500 dilution, followed by a HRP Polymer for Mouse & Rabbit IgG (ready to use). Counterstained with hematoxylin. Heat mediated antigen retrieval with Tris/EDTA buffer pH9.0 was performed before commencing with IHC staining protocol.
Immunofluorescence

IF shows positive staining in paraffin-embedded human stomach. Anti-Gastrin antibody was used at 1/100 dilution (Green) and incubated overnight at 4°C. Goat polyclonal Antibody to Rabbit IgG - H&L (Alexa Fluor® 488) was used as secondary antibody at 1/1000 dilution. Counterstained with DAPI (Blue). Heat mediated antigen retrieval with EDTA buffer pH9.0 was performed before commencing with IF staining protocol.




