Skip to product information
1 of 7

Chromogranin A Recombinant Rabbit mAb (SDT-R042)

Chromogranin A Recombinant Rabbit mAb (SDT-R042)

Catalog Number: S0B2086 Application: WB,IHC-P Reactivity: Human,Mouse,Rat Conjugation: Unconjugated Brand: Starter
Price:
Regular price $45 USD
Regular price Sale price $45 USD
Size:

For shipping services or bulk orders, you may request a quotation.
Secure checkout with
View full details

Product Details

Product Specification


Host Rabbit
Antigen Chromogranin A
Synonyms CHGA, Pituitary secretory protein I (SP-I)
Immunogen N/A
Location Secreted
Accession P10645
Clone Number SDT-R042
Antibody Type Rabbit mAb
Application WB, IHC-P
Reactivity Hu, Ms, Rt
Purification Protein A
Concentration 0.25 mg/ml
Conjugation Unconjugated
Physical Appearance Liquid
Storage Buffer

PBS, 40% Glycerol, 0.05%BSA, 0.03% Proclin 300

Stability & Storage

12 months from date of receipt / reconstitution, -20 °C as supplied

Dilution


application dilution species
WB 1:500
IHC-P 1:1000

Background

Chromogranin A or parathyroid secretory protein 1 (gene name CHGA) is a member of the granin family of neuroendocrine secretory proteins. As such, it is located in secretory vesicles of neurons and endocrine cells such as islet beta cell secretory granules in the pancreas. In humans, chromogranin A protein is encoded by the CHGA gene. Chromogranin A is the precursor to several functional peptides including vasostatin-1, vasostatin-2,pancreastatin, catestatin and parastatin. These peptides negatively modulate the neuroendocrine function of the releasing cell (autocrine) or nearby cells (paracrine). Chromogranin A induces and promotes the generation of secretory granules such as those containing insulin in pancreatic islet beta cells. Chromogranin A is elevated in pheochromocytomas. It is used as an indicator for pancreas and prostate cancer and in carcinoid syndrome. It might play a role in early neoplasic progression. Chromogranin A is cleaved by an endogenous prohormone convertase to produce several peptide fragments. In immunohistochemistry it can be used to identify a range of neuroendocrine tumours and is highly specific for both benign and malignant cells of this type.

Picture

Western Blot

WB result of Chromogranin A Rabbit mAb                

Primary antibody: Chromogranin A Rabbit mAb at 1/500 dilution
Lane 1: Jurkat whole cell lysate 20 µg
Lane 2: SH-SY5Y whole cell lysate 20 µg
Lane 3: TT whole cell lysate 20 µg

Negative control: Jurkat whole cell lysate    Secondary antibody: Goat Anti-Rabbit IgG, (H+L), HRP conjugated at 1/10000 dilution
Predicted MW: 75 kDa
Observed MW: 70 kDa
Exposure time: 20s (Ultra High Sensitivity ECL)

Immunohistochemistry

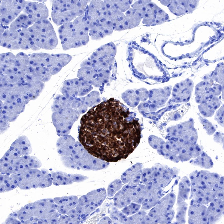
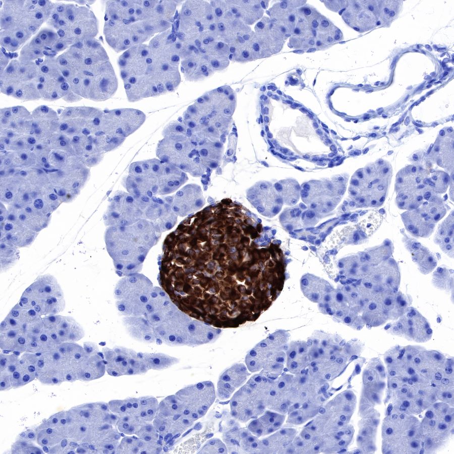
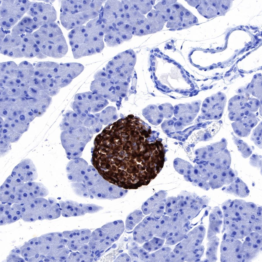
IHC shows positive staining in paraffin-embedded human pancreas.

Anti-Chromogranin A antibody was used at 1/1000 dilution, followed by a Goat Anti-Rabbit IgG H&L (HRP) ready to use. Counterstained with hematoxylin.

Heat mediated antigen retrieval with Tris/EDTA buffer pH9.0 was performed before commencing with IHC staining protocol.

IHC shows positive staining in paraffin-embedded human cerebral cortex.

Anti-Chromogranin A antibody was used at 1/1000 dilution, followed by a Goat Anti-Rabbit IgG H&L (HRP) ready to use. Counterstained with hematoxylin.

Heat mediated antigen retrieval with Tris/EDTA buffer pH9.0 was performed before commencing with IHC staining protocol.

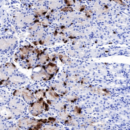
IHC shows positive staining in paraffin-embedded human stomach.

Anti-Chromogranin A antibody was used at 1/1000 dilution, followed by a Goat Anti-Rabbit IgG H&L (HRP) ready to use. Counterstained with hematoxylin.

Heat mediated antigen retrieval with Tris/EDTA buffer pH9.0 was performed before commencing with IHC staining protocol.

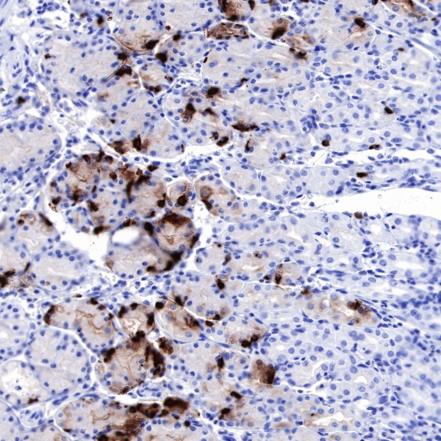
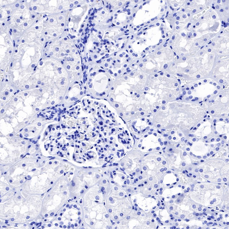
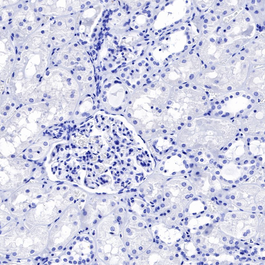
Negative control: IHC shows negative staining in paraffin-embedded human kidney.

Anti-Chromogranin A antibody was used at 1/1000 dilution, followed by a Goat Anti-Rabbit IgG H&L (HRP) ready to use. Counterstained with hematoxylin.

Heat mediated antigen retrieval with Tris/EDTA buffer pH9.0 was performed before commencing with IHC staining protocol.

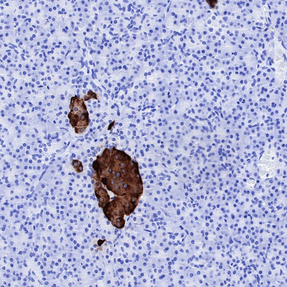
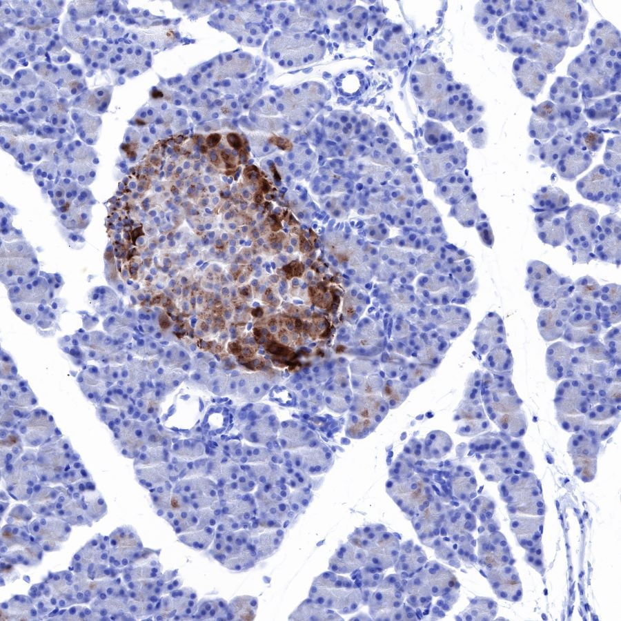
IHC shows positive staining in paraffin-embedded mouse pancreas.

Anti-Chromogranin A antibody was used at 1/1000 dilution, followed by a Goat Anti-Rabbit IgG H&L (HRP) ready to use. Counterstained with hematoxylin.

Heat mediated antigen retrieval with Tris/EDTA buffer pH9.0 was performed before commencing with IHC staining protocol.

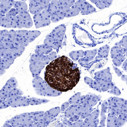
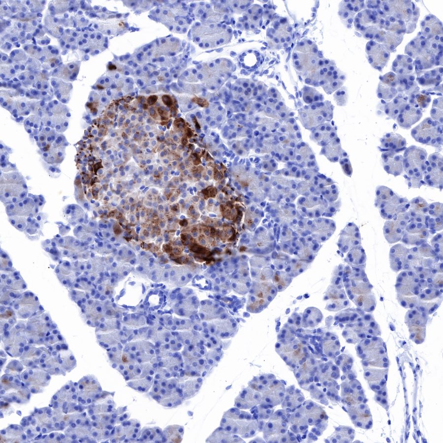
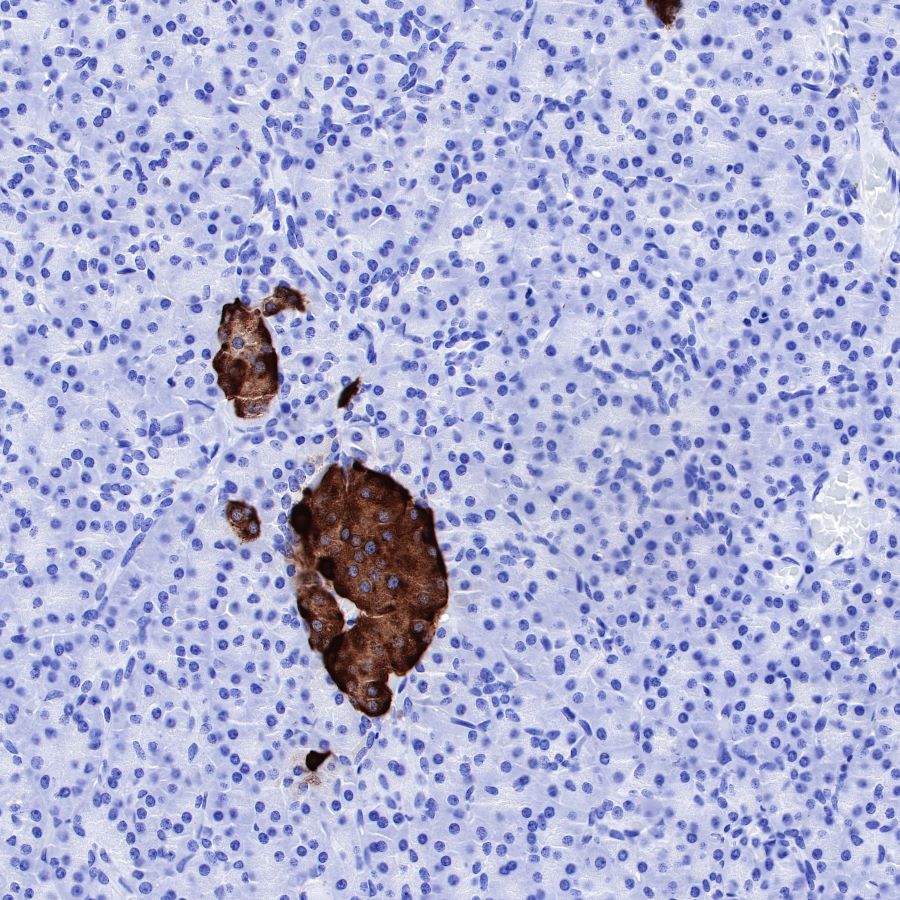
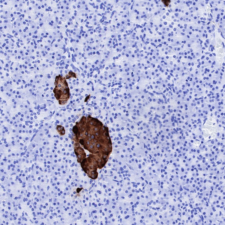
IHC shows positive staining in paraffin-embedded rat pancreas. Anti-Chromogranin A antibody was used at 1/1000 dilution, followed by a Goat Anti-Rabbit IgG H&L (HRP) ready to use.

Counterstained with hematoxylin.

Heat mediated antigen retrieval with Tris/EDTA buffer pH9.0 was performed before commencing with IHC staining protocol.