Skip to product information
1 of 4

CD8α Mouse mAb(SDT-126-8.3)

CD8α Mouse mAb(SDT-126-8.3)

Catalog Number: S0B0012 Application: IHC-P,ICC,IF Reactivity: Human Conjugation: Unconjugated Brand: Starter
Price:
Regular price $131.00 SGD
Regular price Sale price $131.00 SGD
Size:
For shipping services or bulk orders, you may request a quotation.
Secure checkout with
View full details

Product Details

Product Specification


Host Mouse
Antigen CD8a
Synonyms T-lymphocyte differentiation antigen T8/Leu-2, T-cell surface glycoprotein CD8 alpha chain, MAL
Immunogen Synthetic Peptide
Location Membrane
Accession P01732
Clone Number SDT-126-8.3
Antibody Type Mouse mAb
Isotype IgG1,k
Application IHC-P, ICC, IF
Reactivity Hu
Purification Protein G
Concentration 1mg/ml
Physical Appearance Liquid
Storage Buffer PBS, 40% Glycerol, 0.05%BSA, 0.03% Proclin 300
Stability & Storage

12 months from date of receipt / reconstitution, -20 °C as supplied

Background

The CD8 antigen is a cell surface glycoprotein found on most cytotoxic T lymphocytes that mediates efficient cell-cell interactions within the immune system. The CD8 antigen, acting as a coreceptor, and the T-cell receptor on the T lymphocyte recognize antigen displayed by an antigen-presenting cell (APC) in the context of class I MHC molecules. The functional coreceptor is either a homodimer composed of two alpha chains, or a heterodimer composed of one alpha and one beta chain. Both alpha and beta chains share significant homology to immunoglobulin variable light chains. This gene encodes the CD8 alpha chain isoforms. Two alternative transcripts encoding distinct isoforms, one membrane associated and one secreted, have been identified

Picture

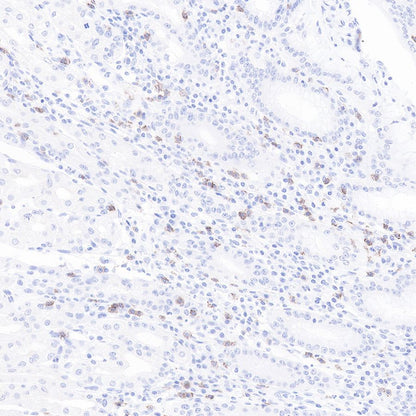
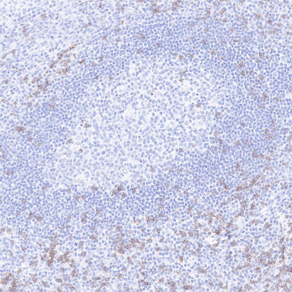
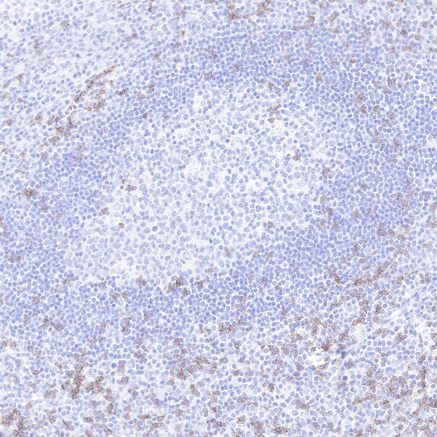
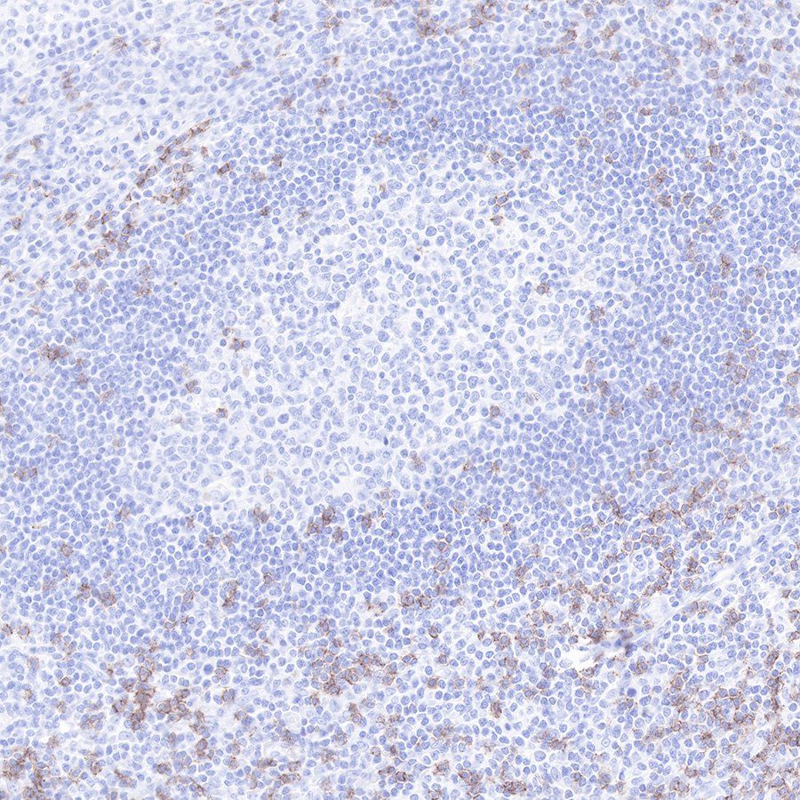
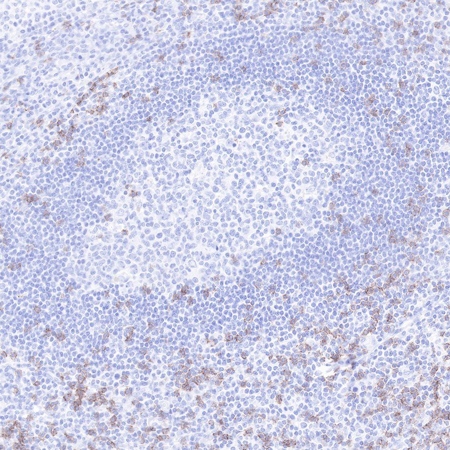
Immunohistochemistry

IHC shows positive staining in paraffin-embedded human tonsil.

CD8α Mouse mAb was used at 1/1000 dilution, followed by a Goat Anti-mouse IgG H&L (HRP) ready to use.

Counterstained with hematoxylin.

Heat mediated antigen retrieval with Tris/EDTA buffer pH9.0 was performed before commencing with IHC staining protocol.

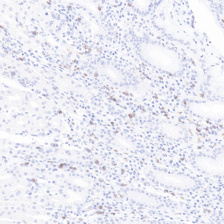
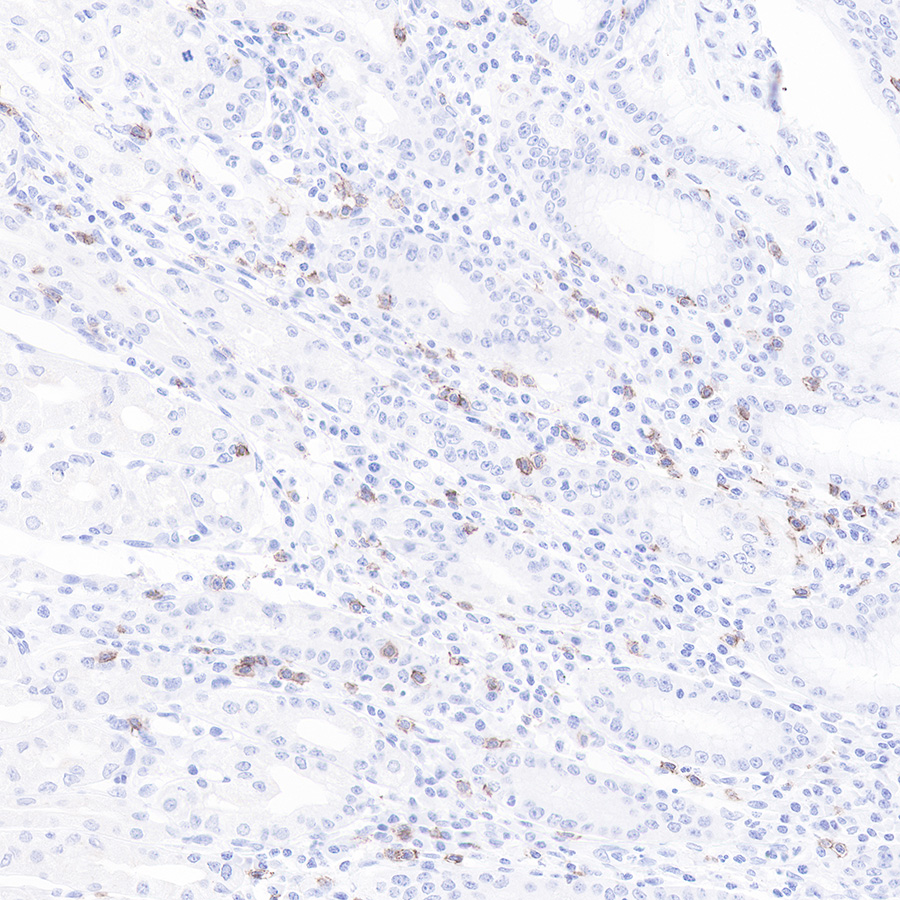
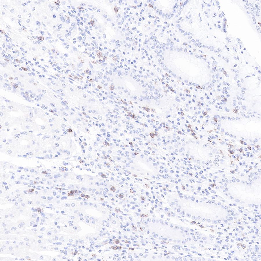
IHC shows positive staining in paraffin-embedded human stomach.

CD8α Mouse mAb was used at 1/1000 dilution, followed by a Goat Anti-mouse IgG H&L (HRP) ready to use.

Counterstained with hematoxylin.

Heat mediated antigen retrieval with Tris/EDTA buffer pH9.0 was performed before commencing with IHC staining protocol.

Immunocytochemistry

ICC shows positive staining in PBMC cells. Anti-CD8a antibody was used at 1/500 dilution (Green) and incubated overnight at 4°C. Goat polyclonal Antibody to Mouse IgG - H&L (Alexa Fluor® 488) was used as secondary antibody at 1/1000 dilution. The cells were fixed with 4% PFA and permeabilized with 0.1% PBS-Triton X-100. Nuclei were counterstained with DAPI (Blue).Counterstain with tubulin (Red).

Immunofluorescence

IF shows positive staining in paraffin-embedded human tonsil. Anti- CD8a antibody was used at 1/1000 dilution (Green) and incubated overnight at 4°C. Goat polyclonal Antibody to Mouse IgG - H&L (Alexa Fluor® 488) was used as secondary antibody at 1/1000 dilution. Counterstained with DAPI (Blue).Counterstain with CD3 epsilon (S0B2132, Red). Heat mediated antigen retrieval with EDTA buffer pH9.0 was performed before commencing with IF staining protocol.